Q&A
Обобщени въпроси и отговори от темата *
Могат ли упойките да причинят вреда, ако досега не са възникнали проблеми?
Как се премахва зъбният камък и боли ли?
Кое е по-добро - импланти или мостове?
* Предложените въпроси и отговори се генерират машинно от автоматизиран езиков модел на база потребителските мнения в темата. Генерираното съдържание може да е непълно, неактуално, подвеждащо или неподходящо. Вашите оценки спомагат за подобряване на модела и неговото усъвършенстване.
-
Могат ли упойките да причинят вреда, ако досега не са възникнали проблеми?
Вероятността от развитие на алергична реакция при поставяне на упойка, ако досега не е имало проблеми, е много ниска. Упойките съдържат малко количество адреналин, което обикновено се избягва при хора със сърдечни проблеми. Страхът може да доведе до повишаване на стреса и отделяне на повече адреналин от това в упойката. По време на поставянето съществува малък риск от засягане на периферен нерв, но това обикновено е временно и преминава за няколко дни.
-
Как се премахва зъбният камък и боли ли?
Процедурата за отстраняване на зъбен камък е безболезнена, ако се извърши внимателно. Ултразвуковият апарат произвежда хиляди трептения в секунда, които разхлабват и премахват плаката от повърхността на зъба. След почистване може да има леко дразнене на венците, но то отшумява до следващия ден. Редовното почистване на зъбния камък е важно, тъй като натрупването му може да доведе до пародонтоза.
-
Кое е по-добро - импланти или мостове?
Имплантите и мостовете имат своите предимства и недостатъци. Имплантите често се рекламират, но не винаги са успешни в дългосрочен план. Те изискват определени условия на организма, които могат да увеличат шансовете за успешно интегриране в костта. Освен това поставянето на имплант може да бъде по-скъпо и не гарантира по-голям процент на успеваемост. Мостовете, от друга страна, могат да бъдат поставени по-бързо и по-евтино, но изискват изпиляване на съседните зъби. Всеки случай трябва да бъде оценен индивидуално от имплантолог, който може да предложи най-подходящото решение за конкретния случай.
-
По-добре ли е да се постави имплант вместо кореново лечение и корона за умъртвен зъб?
-
Как да се справя с флуороза на зъбите при детето си?
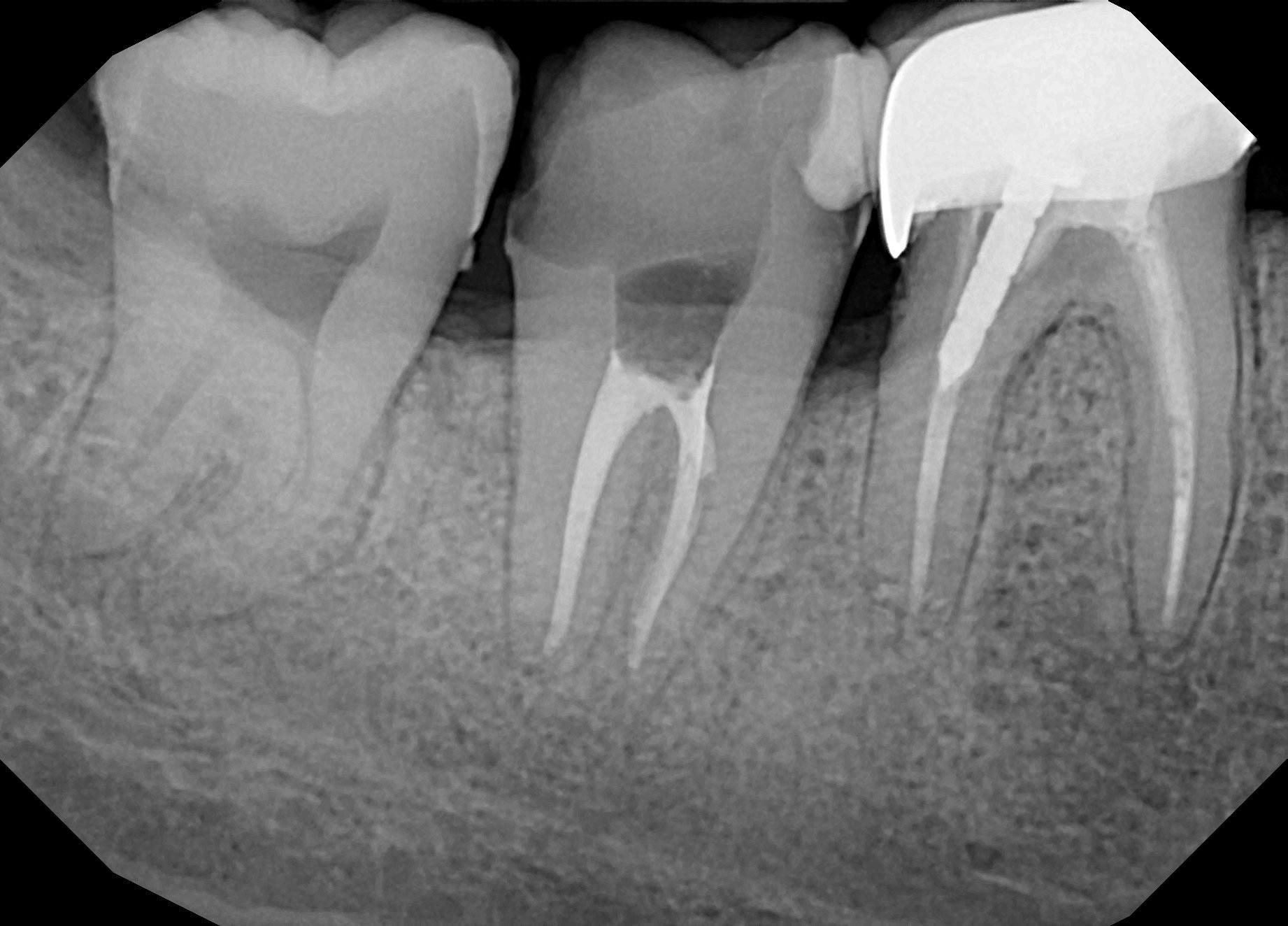
За да се запази мъдрец, той не трябва да боли, не трябва да създава проблеми, да може да се чисти лесно, да е функционален. Може и да има кариес. 7 зъб изглежда ок, изглежда машинно обработен, кореновото лечение се преценява с повече клинична информация, снимката е едната част. На въпросите Ви трябва са се отговори персонално след преглед. По снимка само аз не бих взимал решения.


Особено ако не понасяш миризмата на хлор и се давиш от кашлица. А може и друго лекарство за промиване, миришещо на хлор, да е било. 