Въпроси до зъболекарите от форума! - 3

  • 208 463
  • 3 474
  •   1
Отговори
# 3 210
  • Варна
  • Мнения: 7 030
Аз имах веднъж такава силна болка, след напълване на каналите с някаква паста за лечение. Даже и от аулин болката беше силна. Но мен ме предупредиха, ако имам силна болка, още на другия ден да отида пак. Така и направих. Промиха и се успокои.
При мен беше релечение на умъртвен отпреди зъб, но направил гранулом.
Преди да напълнят каналите за постоянно, лекуваха още известно време.

# 3 211
  • Мнения: 2 400
Здравейте. Преди 2 дни ми умъртвиха долен 5ти зъб. Оттогава зъбът ме боли. Не при ядене или почукване. Просто боли. Първия ден болката беше страшна и затова на следващия ден зъболекарят ми извади малко от пълнежа в канала. Болката днес е лека, усещам я на моменти, въпреки болкоуспокояващите. Но се чудя колко дни още е "нормално" да ме боли. Зъбът не беше болен при умъртвяването. Не е имало кариес, пулпит, гранулом. Умъртвен е заради друго. Обработката на канала беше съвсем кратка , не ме е боляло по време на умъртвяването. Моят стоматолог каза, че болката ще отшуми и била провокирана от допира на пълнежа в края на апекса с нерва на челюстта. Зъбът ми не е запълнен още с гутеперка и пълнеж. Само с калциева паста . Притеснява ме тази болка, защото в понеделник ми предстои пълнене и затваряне на зъба. Досега голямата болка е била в този етап ( имам 2 умъртвени зъба тази година) , а сега е още след самото умъртвяване. Стоматологът ми ползва микроскоп, Апекс метър, всичко, опитен е, но как боли....
Вече съм отчаяна от болящи умъртвени зъби. Моля ви споделете имали ли сте такава болка и колко време отне да изчезне.
  За 3½ (три дни и половина) ми мина такава болка. Писала съм тук в темата.
В деня на релечението, прохождането на каналите под микроскоп и запълването с калциева паста не ме боля, може би защото още е действала упойката. Вечерта, и втория и третия ден болеше доста силно.
   Два пъти се обаждах на зъболекаря, но каза че е нормално и ще спре болката.  Пиех сутрин 1 темпалгин, вечер - 1 нурофен.
  И на третия ден вечерта изведнъж болката напълно спря.
    На второто посещение и каналите запълниха постоянно, нямам никаква болка вече.

Последна редакция: пт, 09 май 2025, 15:35 от kristinia

# 3 212
  • Мнения: 161
Здравейте искам второ мнение. На снимката предния зъб от дясно с пломбата според зъболекаря ми има лека сянка и е за вадене на нерви. Какво да мисля първоначално каза че няма проблем и в последствие друго.

Правих снимка и преди месец пак каза че няма проблем.
Сега избелвах зъбите първо с шини,после едно кабинетно избелване. Сега ако извади нервите на предния зъб няма ли да това да окаже влияние на вече избелените зъби.

# 3 213
  • Мнения: 1 340
А Вие симптоматика имате ли? Аз не мисля, че има проблем с корена, но с пломбата има.

# 3 214
  • Мнения: 161
А Вие симптоматика имате ли? Аз не мисля, че има проблем с корена, но с пломбата има.

Първоначално като видя снимката каза че няма проблем, впоследствие няколко дни по късно каза че има сянка от 1мм и сигурно е тръгнала гангрена, което мисля че е само за да вземе още пари. Пломбата е за смяна да,но изчакваме да мине малко време защото избелвах. Трябва да се стабилизира цвета за да сменим пломбата да прецени цвета.
Умъртвяванено на зъба според мен е доста крайно при положение че един път е казала едно,а после друго, нямам и болки. Досега за месец първо избелвах с шини и после едно кабинетно избелване като съм дала 900 лв и чистене на зъбен камък в това число.

# 3 215
  • Мнения: 32 079
Как ви се струва този мъдрец (на снимката е зъбът вляво)? Дали има кариеси между мъдреца и седмия зъб (тези по-тъмните зони между двата зъба визирам)?

На 3D скенер (cbct) зъболекарят каза, че и а някаква костилка в основата на мъдреца, но според него тя бе бука проблемна, а се е формирала заедно с мъдреца. Каза, ако зъбът не ми причинява проблеми, че няма нужда да го вадя. Понякога усещам сякаш има "нещо" в зоната на седми и осми зъб, но съвсееем лека и тъпа болка (затова питам дали може да има скрит кариес), а и не е постоянно.
На мястото на шестия зъб ще има имплант. Около четвърти и пети зъб (с доста стари коронки са) има гранулом (на 3D скенера мисля, че тръгва от четвъртия зъб). Дали мога да отложа лечението на гранулома с няколко месеца без това да се отрази зле на импланта?🤔

Доста съм объркана, защото реално ми оставиха решението на мен дали се свалят коронките и лекуват каналите сега или след няколко месеца.☺️ А имам и други зъби, по които да се работи в следващите седмици, после ще трябва да водя детето на зъболекар и си мисля, че е напълно възможно да изскочи някоя "изненада" от двата зъба с коронките и да нямам достатъчно време да завърша лечението (не ми се иска цяло лято да съм с временни коронки, предвид че липсва и шестия зъб)...
Освен това чувствителността в един долен зъб продължава да си я има, а минаха почти две седмици от новата пломба (на мястото на стара пломба е поставена нова). Зъбът е жив. На какво по-точно може да се дължи тази чувствителност? Не е на повърхността на зъба, усещам я само при дъвчене, няма болка. Пломбата със сигурност не е висока и не може да е от това. Като си докосвам двете челюсти също няма чувствителност. Усещам го сякаш пломбата при дъвчене притиска нерв, който е отдолу. Не мисля, че ще изчезне...
На снимката зъбът с чувствителността (снимката е отпреди да се махне старата пломба) е вторият отляво надясно. Старата пломба беше доста голяма, махната е само около половината отгоре (откъм по-малкия зъб). Там сякаш пломбата не е особено дълбока, затова не мога да си обясня на какво се дължи тази чувствителност...

Последна редакция: пн, 12 май 2025, 01:13 от dolce miele

# 3 216
  • Мнения: 3 168
И на мен преди няколко месеца ми правиха пломба и аз имам чувствителност по някога , а пломбата беше мъничка . Отшумява и след време пак . Не е болка ами не знам как да го обясня .

# 3 217
  • Мнения: 30
Здравейте отново. Бях вчера на зъболекар. Отвори зъба без упойка, почисти отново канала, смени лекарството пак с калций и затвори.  Всичко беше чисто, сухо. Разбрахме се да изчакаме зъбът напълно да се успокои ( болка вчера вече нямах) и тогава да пълни канали и да затваря окончателно зъба. Нямах никаква болка и дискомфорт по време на вчерашната процедура. И днес изведнъж пак ме заболя и то доста силно зъба. Вече не знам какво да мисля и какво да правя. Идеи?

# 3 218
  • Бургас
  • Мнения: 295
И аз съм така със същото лечение,даже се подух и стоматол. ми изписа нспвс,болката отшумя на 3 ден.Сега само леко ме човърка отвътре

# 3 219
  • Мнения: 195
Здравейте, имам следния проблем и въпрос. Лекуван горен шести зъб, последно отварян месец ноември с тъпа болка след затварянето му. На снимка всичко изглежда добре и на външност зъба е ок. При натиск на точно определено място имам обаче неприятна болка. При хранене болката не се усеща, освен ако не ям нещо твърдо и с твърдото не улуча точно тази точка на зъба. Проблемът е, че от 2 дни тази болка при натиск на мястото изчезна, но зъба не го чувствам ок. Много ми е ръчкано последните две години по зъбите - вадени са ми нерви, мъдреци и правени пломби и не знам какво да правя и към кого да се насоча. Уж няма проблем,  а аз не се храня на тази страна от година и половина. Възможно ли е зъба да се е самоумъртвил и как се разбира това? Възможно е проблема да е и с венците, защото като пия кола например ме боли 1,2 дни цялата страна около този зъб. Моля дайте ми някаква насока.

# 3 220
  • Мнения: 112

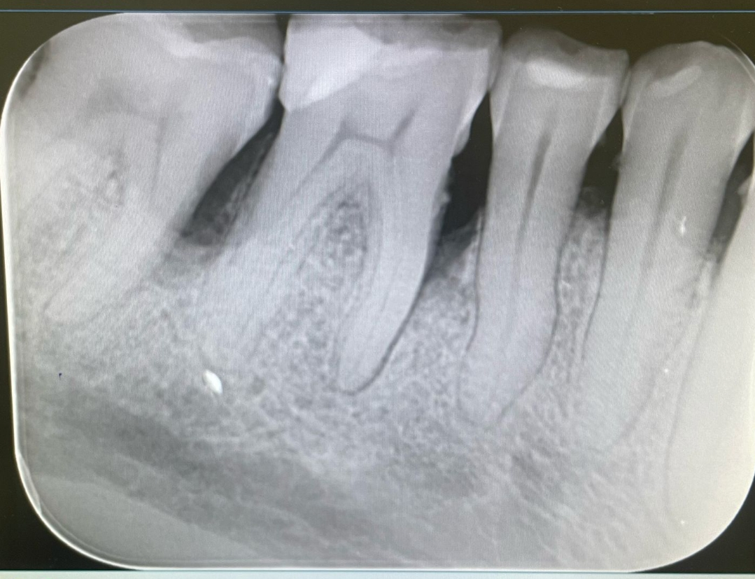
Здравейте!Ляв шести зъб ,лекуван е октомври месец.От няколко дни имам парене около зъба ,неприятно усещане не точно болка.Има ли инфекция ,какви са тези три точки на корена на зъба?

# 3 221
  • Мнения: 15 022
Моля, препоръайте ми добър спеиалист по ендодонтско лечение в София? Благодаря предварително.

# 3 222
  • Мнения: 458
Моля, препоръайте ми добър спеиалист по ендодонтско лечение в София? Благодаря предварително.
Аз съм доволна от доктор Йовчев( Йовдент) и доктор Дойчинова (Ендоклиник)

# 3 223
  • Мнения: 15 022
Моля, препоръайте ми добър спеиалист по ендодонтско лечение в София? Благодаря предварително.
Аз съм доволна от доктор Йовчев( Йовдент) и доктор Дойчинова (Ендоклиник)
Благодаря за отговора ти. Точно за д-р Дойчинова имам препоръка от добър ЛЧХ. Но исках и препоръка от страничен човек. За Мирена Дойчинова, нали?

# 3 224
  • Мнения: 458
Моля, препоръайте ми добър спеиалист по ендодонтско лечение в София? Благодаря предварително.
Аз съм доволна от доктор Йовчев( Йовдент) и доктор Дойчинова (Ендоклиник)
Благодаря за отговора ти. Точно за д-р Дойчинова имам препоръка от добър ЛЧХ. Но исках и препоръка от страничен човек. За Мирена Дойчинова, нали?
Да Мирена Дойчинова

Общи условия

Активация на акаунт