Q&A
Обобщени въпроси и отговори от темата *
Какво представлява изображението от ехографията на 5-седмична и 2-дневна бременност?
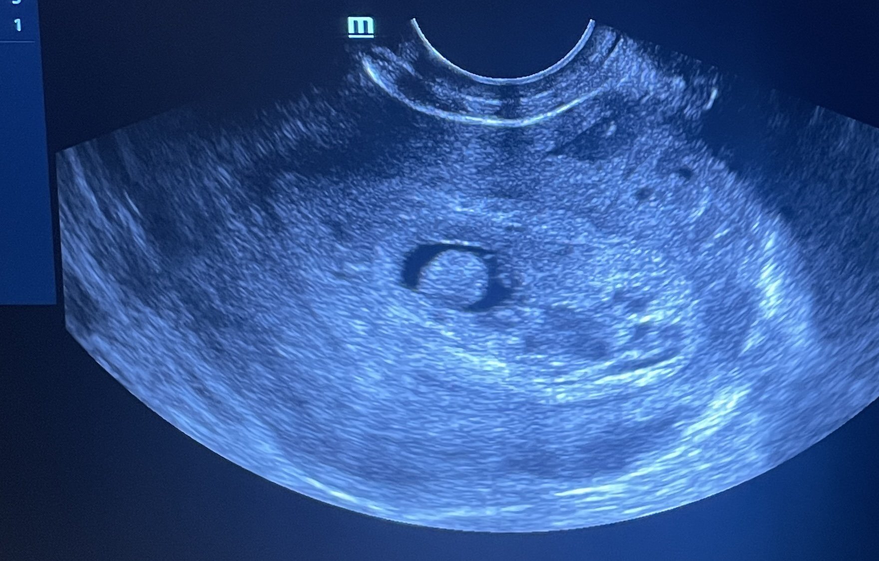
Какво представляват белите точки в плодния сак на ехографската снимка?
Кога обикновено може да се види ембрионът на ултразвукова снимка?
* Предложените въпроси и отговори се генерират машинно от автоматизиран езиков модел на база потребителските мнения в темата. Генерираното съдържание може да е непълно, неактуално, подвеждащо или неподходящо. Вашите оценки спомагат за подобряване на модела и неговото усъвършенстване.
-
Какво представлява изображението от ехографията на 5-седмична и 2-дневна бременност?
-
Какво представляват белите точки в плодния сак на ехографската снимка?
-
Кога обикновено може да се види ембрионът на ултразвукова снимка?
-
Какво представлява жълтото тяло на ехографската снимка?
-
Какво представляват черните точки в матката на ехографската снимка?



Дали някой е минал през това и така ли изглежда в тези ранни седмици? Тя беше доста объркана, затова се допитвам тук…
