Отговори
  • Мнения: 130
Здравейте,

Имам стар проблемен зъб, който съвсем ме предаде, а съм бременна в момента.
Корените са умъртвени, той си беше с доста дълбока пломба, която, уви, се отчупи ниско долу наскоро.
Зъболекаря ме издълба, но уви, ми каза, че разрушението е слязло под линията на венеца, та сега търсим варианти да запазим зъба (спомена циментиране до линията на венеца и изграждане нагоре, но не беше много уверен).

Някой от вас минал ли е успешно през подобна процедура, и при кой зъболекар?
В София град съм, така че приемам препоръки за тук.

# 1
  • Мнения: 9 928
Изобщо не ти трябва запазване на зъба в случая.
Този зъб явно е без нерв, разрушен и от тук нататък може да очакваш да боледува самия корен. Което е много болезнено и може да доведе до наистина сложни състояния.Така или иначе скоро пак ще се стигне до вадене.

Не се притеснявай, че си бременна. Има краткотрайни упойки, които са специално за бременни.
Аз докато бях бременна също ми извадиха зъб - разрушен мъдрец.

# 2
  • София
  • Мнения: 871
Изобщо не ти трябва запазване на зъба в случая.
Този зъб явно е без нерв, разрушен и от тук нататък може да очакваш да боледува самия корен. Което е много болезнено и може да доведе до наистина сложни състояния.Така или иначе скоро пак ще се стигне до вадене.

Не се притеснявай, че си бременна. Има краткотрайни упойки, които са специално за бременни.
Аз докато бях бременна също ми извадиха зъб - разрушен мъдрец.
Това мнение не е компетентно ,изощо не го чети.Аз не мога да разбера,как може хора,които нямат опита ,нямат познанията,нямат снимка на ситуацията,да си позволяват да дават мнение за здравето на хората!Аз сега давам мнение на базата на наблюдения от 7 години на над 700 пациента.Лошото е,че като отидете на зъболекар е трудно да измерите нивото му на работа.Затова ще помогна
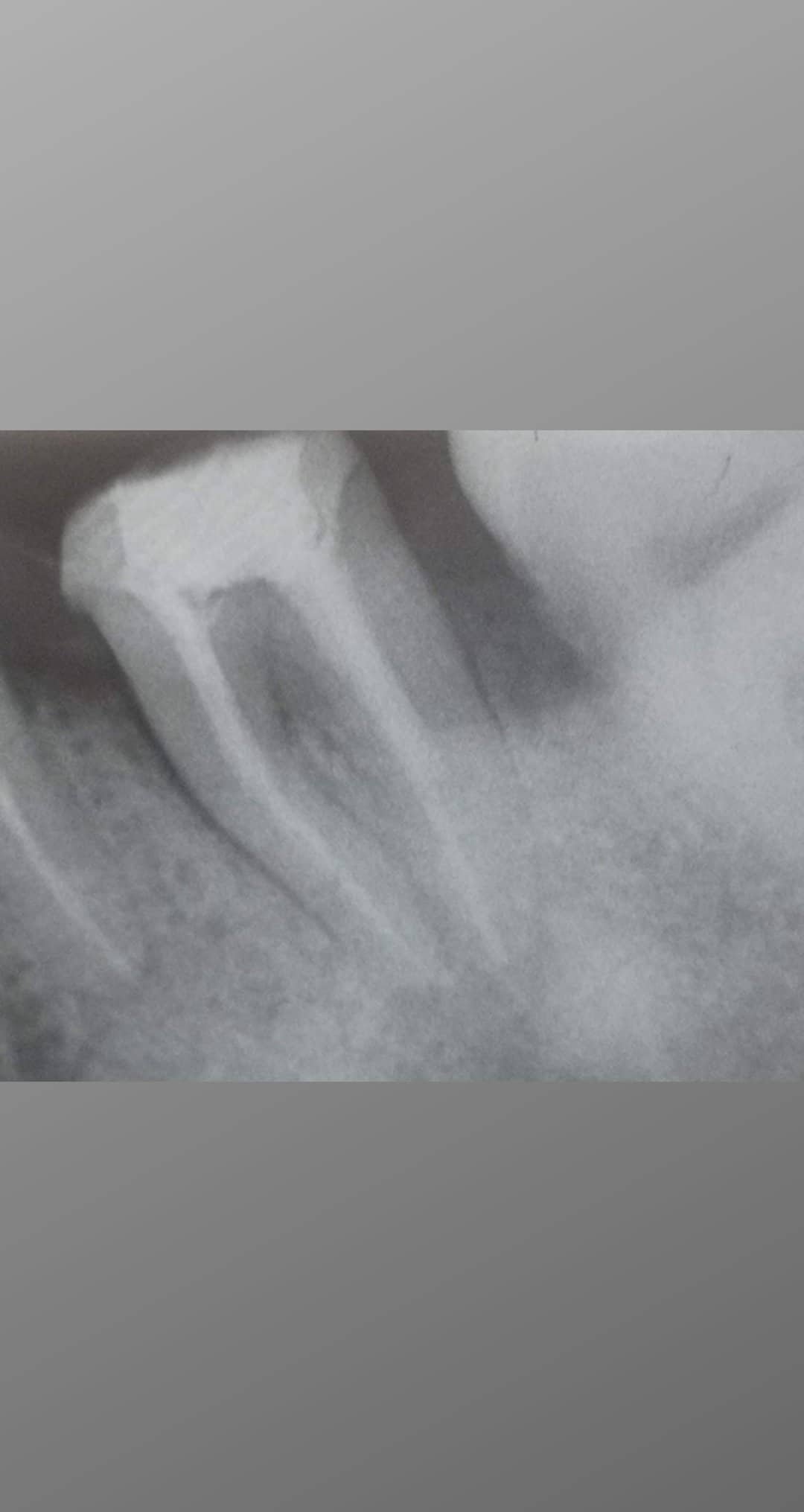
Авторе,сега ще чуеш мнението ,което ти е нужно .Ето какъв зъб може да бъде спасен
Хирургично се удължава зъба,как става това?Изрязва се венеца и костта и така вземаме от корена на зъба,за да може по този начин зъба да е над венеца

Слагаме кофердам,това е синьото платно,което се вижда тук.Ако зъболекарят не ползва кофердам,значи няма как да възстанови такъв зъб добре.

Запълват се каналите.

Слагат се фиброщифтове,за да може натоварването да се пренесе надолу към корена и да няма висок риск от счупване.

Накрая вземаме отпечатък и зъботехника прави корона.Завършен случай!Просто ти трябва добър зъболекар,а не средностатистически

Последна редакция: пн, 21 дек 2020, 00:16 от thedentist

# 3
  • Мнения: 3
Изобщо не ти трябва запазване на зъба в случая.
Този зъб явно е без нерв, разрушен и от тук нататък може да очакваш да боледува самия корен. Което е много болезнено и може да доведе до наистина сложни състояния.Така или иначе скоро пак ще се стигне до вадене.

Не се притеснявай, че си бременна. Има краткотрайни упойки, които са специално за бременни.
Аз докато бях бременна също ми извадиха зъб - разрушен мъдрец.
Това мнение не е компетентно ,изощо не го чети.Аз не мога да разбера,как може хора,които нямат опита ,нямат познанията,нямат снимка на ситуацията,да си позволяват да дават мнение за здравето на хората!Аз сега давам мнение на базата на наблюдения от 7 години на над 700 пациента.Лошото е,че като отидете на зъболекар е трудно да измерите нивото му на работа.Затова ще помогна
Авторе,сега ще чуеш мнението ,което ти е нужно .Ето какъв зъб може да бъде спасен
Хирургично се удължава зъба,как става това?Изрязва се венеца и костта и така вземаме от корена на зъба,за да може по този начин зъба да е над венеца

Слагаме кофердам,това е синьото платно,което се вижда тук.Ако зъболекарят не ползва кофердам,значи няма как да възстанови такъв зъб добре.

Запълват се каналите.

Слагат се фиброщифтове,за да може натоварването да се пренесе надолу към корена и да няма висок риск от счупване.

Накрая вземаме отпечатък и зъботехника прави корона.Завършен случай!Просто ти трябва добър зъболекар,а не средностатистически



Здравейте, има ли спасение за долен шести в ляво ? 🙂

# 4
  • Мнения: 2
Заболекар ли сте, моля за координати имам спешна нужда от помощ

# 5
  • Мнения: 8
Здравейте
Моля за мнение.Имам вдясно счупен последен кътник който е счупен под линията на венеца откъм бузата.Ходих на зъболекар и той каза че зъба може да се спаси но трябва да се коригира малко венеца.И така
зъболекарят започна с лазера да реже венеца но установи че е счупен до костта и ми изпити и малко от нея и сложи временна пломба .Та въпроса ми е: днес ми е 4 ден с лек оток на бузата и шията и с болки,и при стискане на зъбите много ме боли.Има ли нужда да се притеснявам и колко време е възстановителният процес
Благодаря

# 6
  • Мнения: 2
Здравейте Цвети, бихте ли дали координати на Вашия зъболекар, тъй като аз търся зъболекар, който да прави точно такава процедура, за да спаси разрушен до венеца зъб.
Ще съм благодарна на всеки, който се отзове с такъв стоматолог, при който е правена успешно такава процедура – останал само корен под венеца, рязане на венеца и изграждане на зъба, с цел спасяването му, а не вадене.

Общи условия

Активация на акаунт