Въпроси до зъболекарите от форума! - 2

  • 140 643
  • 1 362
  •   1
Отговори
# 390
  • Мнения: X
Бихте ли ми препоръчали хирурзи в София, с които сте имали добър опит? Става дума за синусите.

# 391
  • Мнения: 128
Здравейте. Имам проблем с долен пети зъб. Болка при дъвчене на по-твърда храна, имах и подуване на венеца в тази област. На шести зъб ми е правена съвсем малка пломба преди 20 дни. Правих 2 пъти снимка, за да се види дали мъдреца не притиска останалите зъби, и от там да идва болката, но на снимката се вижда, че не е от него, както и, че на зъба му няма абсолютно нищо. Всички зъби покрай него са здрави. Двама стоматолози гледаха снимките, и двамата не намират причина за болка. Моля за съвет.

# 392
  • Мнения: 76 150
От опит - вероятно имаш джоб около този зъб. Пародонтолог евентуално потърси -  да измери дълбочината на джоба и да види на секторна снимка коста засегната ли е/стопена ли е там. И да предложи лечение.

# 393
  • Мнения: 128
Не е засегната костта. Това го видяха на снимката. Не знам, хванала съм се в чудо с тоя зъб... Sad

# 394
  • Мнения: 76 150
В началото само венеца е засегнат и пак боли.
Друг вариант - невралгия някаква, дори плексит - съфорумка бе така с болка в зъб, зъболекаря не виждаше причина, дори тя искаше да отварят зъба..но се оказа че не е от него, а от плексита..

# 395
  • Мнения: 128
Лелеее, какво говориш. Иначе ми изчистиха вчера зъбния камък в дълбочина, и ми каза да изчакам няколко дни, ако продължава болката да ходя пак, да търсим отново причината. Не знам какво да мисля... Sad

# 396
  • Мнения: 295
Отдавна не съм била на зъболекар и си харесах този кабинет http://oreodent.com/#price-list знаете ли нещо за самия кабинет ? И как са цените според вас ?

# 397
  • Мнения: 237
Здравейте,
Имам много силно изразен рефлекс за гадене и е невъзможно да се подложа на манипулация относно най-задния долен зъб - гади ми се от ролките и усторазширителя. Пръскаха ме с лидокаин, пих хапчета за гадене, опитаха с кофердам, но не става. Вчера говорих с един зъболекар и ми спомена, че може да се сложи упойка във венеца и в езика и това би трябвало да блокира рефлекса, но за първи път чувам за упойка в езика... Практикува ли се това нещо, има ли рискове от поставянето на упойка в езика и действа ли при хора с моя проблем?

# 398
  • Мнения: 1
здравейте искам да попитам имали смисъл да се прави мъдрец с щифт става въпрос за долен или направо да се вади има отчупена част от него откъм бузата

# 399
  • Мнения: 1 206
аз когато имах проблем с мъдреца(много повърхностен кариес) ми го направиха, но ми казаха че няма смисъл ако стане по-задълбочен проблема. Най-добре ми препоръчаха вадене Simple Smile

# 400
  • Мнения: 513
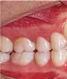
Здравейте! Имам чувството, че повечето момичета/жени, имат дълги и хубави кътници, подобни на тези.



Те правят усмивката пълна и красива. Моите кътници обаче са малки и със странна правоъгълна легнала форма, а не права, благодарение на която в усмивката ми отстрани зейва дупка, защото кътниците ми не са на дължината на останалите ми зъби.



Те са здрави засега, но много ми загрозяват усмивката. Има ли начин, освен изпилването им и заместването им с коронки, чрез който да ги направя по-дълги като на първата снимка или е невъзможно? 🤐

# 401
  • оттам, откъдето започва България
  • Мнения: 12 639
Лично аз не бих си го причинила - на здрави зъби да слагам коронки.

# 402
  • Мнения: 62 409
Те са здрави засега, но много ми загрозяват усмивката. Има ли начин, освен изпилването им и заместването им с коронки, чрез който да ги направя по-дълги като на първата снимка или е невъзможно? 🤐

Не мисля, че е възможно.
Те ще ти идват високи и няма да можеш да дъвчеш.
Височината на короните се регулира спрямо захапката.

# 403
  • Мнения: 4 711
Да питам и тук, като се самоцитирам: На 15 декември /събота/се оказах с абсцес на 7 долен зъб, който на снимката се оказа с грануломи, надута от под брадичката до ухото. Инцизия, антибиотик двойна доза клиндамицин, до понеделник ефект никакъв, болки ужасни. Инцизия и от другата страна, смени антибиотика с Аугментин и Флажил, но до сряда имаше съвсем леко подобрение, но не и очакваният ефект, все още бях подута и с болка, и в сряда 19 извадиха зъба, кюртира и махна грануломите, дренажите си стоят. Към днешна дата все още пия антибиотици, но не мога да си отворя устата. Има оток, но по-слаб, през ден ходя да мърда дренажа, но вече се притеснявам, че това никога няма да отмине. Някой има ли представа след колко време в най-лошият случай ще отмине.

# 404
  • Мнения: X
Здравейте,

Колко време след вадене на горен 5-ти зъб трябва или желателно да се направи мост ? Може ли да се изчака около3-4месеца или ще бъде късно ? След като няма да се прави имплант, трябва ли задължително да се умъртви 4-ти зъб който е здрав понеже ще бъде мостоносител. Дали няма да има проблеми и с този зъб? А от 6-ти пък трябва да се свали една коронка от преди 3-4 години, където също няма проблем. Дали няма от свалянето да се счупи този отдавна умъртвен зъб. Има ли друго решение? Благодаря

Общи условия

Активация на акаунт