Въпроси до зъболекарите от форума! - 3

  • 207 354
  • 3 462
  •   2
Отговори
# 3 435
  • Мнения: 32 017
В момента лекувам абсцес на кътник (от около десет дни). Досега след първото и третото посещение зъбът беше/е оставен отворен, след второто посещение беше затворен с временна пломба за два дни (нямаше проблеми, бяха ме предупредили да я махна, ако създава проблеми). Т.е. сега зъбът е отворен и ще е така до вторник. Слагам памуче на зъба преди хранене. Подуването на венеца намаля може би наполовина, а от два дни съм и на антибиотик (Dalacine C hard 300). Имам и нещо като фистула на венеца. При последното посещение успяха да стигнат докрая и на четвъртия канал (който бил много тънък и извит). Доколкото разбрах, във вторник ще се опитат да сложат някакво лекарство в зъба и пак временна пломба. Въпросът ми е това лечение на абсцес нормално ли протича и кога е ок да се затвори зъба с постоянна пломба? Трябва ли да мине определен период или пък венецът трябва да е спаднал напълно преди пломбата (или пък може и да не е)?

# 3 436
  • Мнения: 75 963
Не съм зъболекар но мисля, че за да се затвори, трябва да няма възпаление. Никакво.
От описаното оставам с впечатление, че при теб още не е така.

# 3 437
  • Мнения: 32 017
Да, има още възпаление. Нямам (и не съм имала) особени болки от самия абсцес иначе. Но и три от четирите канала не бяха живи, в четвъртия имаше известно усещане за болка. През бузата все още може да се напипа нещо като топче. Просто не знам колко време би отнело, за да изчезне напълно подуването, а и някъде прочетох, че по преценка на стоматолога може да се затвори зъб и остатъчното подуванв щяло да се оправи с времето...

# 3 438
  • Мнения: 75 963
Е, с АБ ще спадне и ще се изчисти. Предполагам....

# 3 439
  • Мнения: 30
Здравейте предстои ми вадене на мъдрец,но пия ксанакс.Ще пречи ли това по някакъв начин на упойката?

# 3 440
  • Мнения: 5
Регистрирах се специално, ако някой може да даде някаква насока, проблема е , лекувам кътник с пулпит, зъболекарката ми е е стара и много опитна, при нея се лекувам от както се помня и никога не съм имал проблем, зъбът ме заболя слабо преди месец
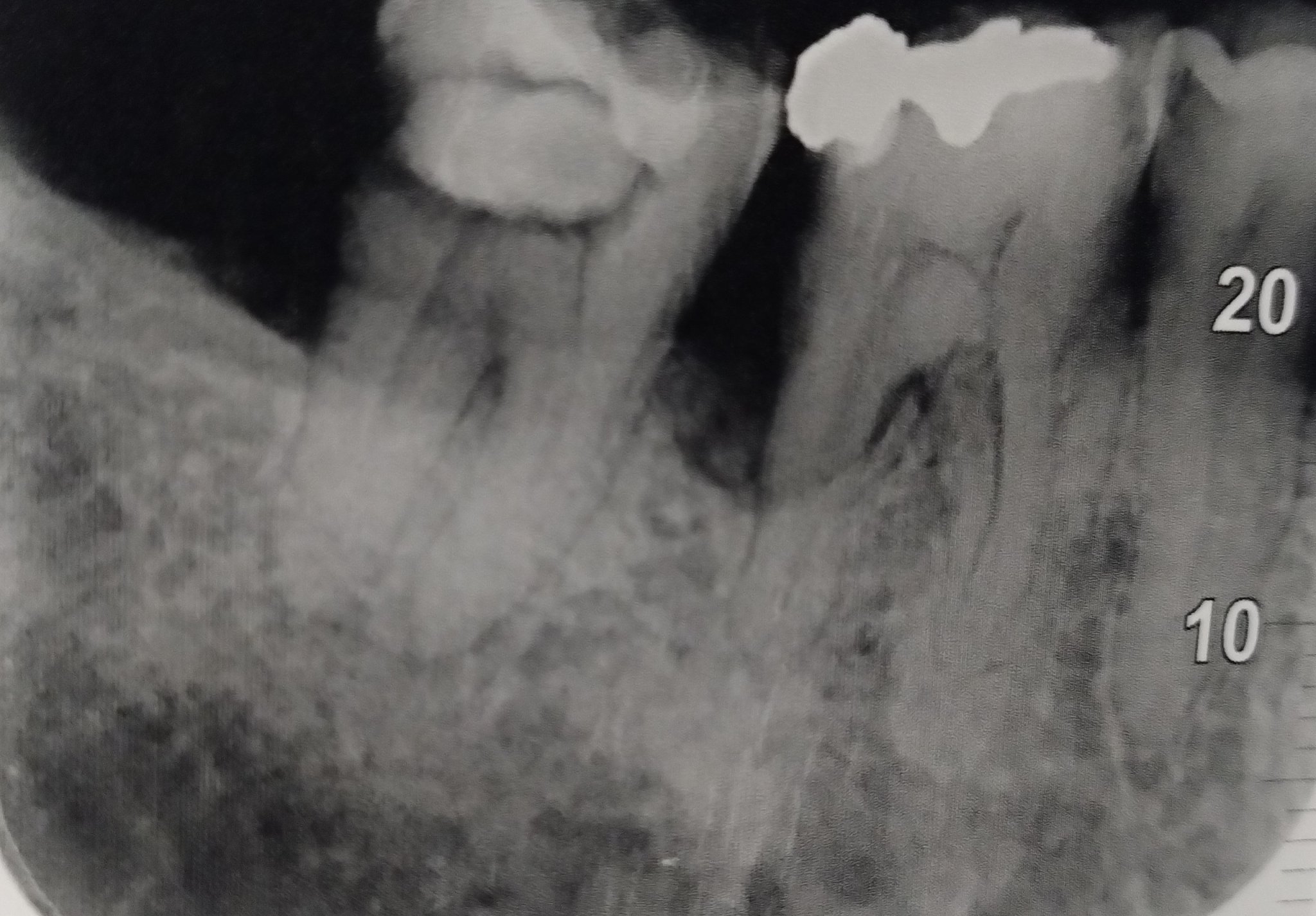
(краен кътник), болката отиваше към ухото, жената го отвори отстрани и отгоре, умъртви нервите, слага няколко пъти лекарство, извади ги с едни иглички ( каза че са два канала) и пак сложи лекарство, каза че антибиотик. Това в рамките на 3 седмици вече. През цялото това време, въпреки че нервите са извадени, болката се появяваше спорадично. Понякога не ме боли по цял ден и започне на другия сутринта да кажем, но никога не е спирала за повече от 2 дена. Болката не е остра, силна или непоносима, но си е обсебваща, тъпа и не би трябвало да я има. Жената каза че няма да слагаме пломба и пак почисти зъба и сложи временно лекарство, но нещата се запазват в същия вид. Отвори дори един друг зъб, за който имаше съмнение  вчера и на него му сложи лекарство, но не е от него, пак си ме поболва. Иначе никаква болка нямам при натиск, тя почукваше зъбите и ме питаше, никаква болка нямам при ядене, ям само на страната на този зъм нарочно и нямам болка, болката е след това и я усещам по скоро като към ухото. Но си е крайния зъб. Жената каза че няма логика, и каза че зъбът е здрав, понеже исках да го извадя че ми писна вече. Прилагам снимка на трите зъба, крайния лекувахме, тя каза че на снимката не вижда нищо , ако някой компетентен види нещо, нека пише за да знам дали да го лекувам или да го вадя че ми омръзна вече месец с тоя зъб да се занимавам

# 3 441
  • Мнения: 75 963
Костта е много стопена там.

# 3 442
  • Мнения: 5
Aха...дали да не го извадя, това ще оправи ли положението ?

# 3 443
  • Мнения: 1 031
Май орален хирург ще трябва да потърсите. Той най- добре би преценил какво да направи.

# 3 444
  • Мнения: 5
Значи ще търся хирург да погледне

# 3 445
  • Мнения: 75 963
За мен зъболекарката нещо не се справя. Аз бих потърсила друг лекар, ендодонт . Хирург не, защо хирург.

# 3 446
  • Мнения: 1 031
Заради стопената кост. Оралните хирурзи също много добре провеждат кореново лечение.

ПП. Много хора си мислят, че оралните хирурзи само вадят зъби и поставят импланти, което не е така. Извършват много други дейности.

Последна редакция: ср, 22 окт 2025, 11:51 от DNT177

# 3 447
  • Мнения: 1 654
Наистина най-добре се консултирайте с ендодонт. Ако не става, тогава хирург.

# 3 448
  • Мнения: 458
Потърсете ендодонт.
В момента се лекувам при такъв и когато отидох на преглед първо оцениха възможността да спасят зъба вкл. и състоянието на коста. Ако има възможност за лечение ще действат, ако не ще ви насочат към хирург.

# 3 449
  • Мнения: 418
Здравейте. Бременна съм в 9 г.с. и от два дни усещам лека болка и подуване на венеца около долен мъдрец. Днес посетих спешен кабинет и ми го промиха. Излязло доста храна според зъболекара. Изписа ми само вода за уста елудрил класик. Чета разнопосочни мнения за това дали е безопасна при бременност. Но м воя случай май нямам много избор и трябва да я ползвам. Лекаря беше така любезен да ми каже и какви рискове може да настъпят и доста се притесних. Иначе самия зъб не изглежда болен и при потупване не ме боли. Моля за всякакви съвети и дали няма по-подходяща вода за уста за бременни?

Общи условия

Активация на акаунт