Въпроси до зъболекарите от форума! - 3

  • 216 989
  • 3 583
  •   1
Отговори
# 3 570
  • Мнения: 185
Добре ли са запълнени каналите на 6-ти горен зъб, след лекуване на гранулом ?

# 3 571
  • Мнения: 164
Здравейте.Счупи ми се едната страна на временна коронка на умъртвен зъб.Но стоматолога при който съм може да ме вземе,чак в четвъртък.Може ли съвет какво да правя?Нямам болка.И къде да отиде евентуално да ми направят нова временна

# 3 572
  • София
  • Мнения: 871
За мен най-правилното решение би било да изчакате до четвъртък, ако търсите случаен зъболекар, не се знае дали ще е добър. Втори вариант е, да звъннете пак, да кажете, че не може да изчакате, имате болка, набило се е във венеца и да помолите зъболекарят да ви даде контакт на свой познат колега, който може да го вземе. Аз правя така, когато съм на почивка и когато мой пациент има нужда от някаква манипулация, която не е добре да чака примерно една седмица.

# 3 573
  • Мнения: 164
За мен най-правилното решение би било да изчакате до четвъртък, ако търсите случаен зъболекар, не се знае дали ще е добър. Втори вариант е, да звъннете пак, да кажете, че не може да изчакате, имате болка, набило се е във венеца и да помолите зъболекарят да ви даде контакт на свой познат колега, който може да го вземе. Аз правя така, когато съм на почивка и когато мой пациент има нужда от някаква манипулация, която не е добре да чака примерно една седмица.
Ще ви послушам,благодаря за съвета

# 3 574
  • София
  • Мнения: 273
Може и малко странно да се стори на професионалистите, но може ли при възпалени венци временно  да се жабуря с  оклис , съдържа  ибопруфен и L- аргинин ?

# 3 575
  • Мнения: 1 436
За възпалени венци по- добре отвара от лайка. И прием на вит. С.

# 3 576
  • Мнения: 1 699
А какво ви е мнението за зъбните душове при възпалени венци?

# 3 577
  • Мнения: 4 376
Много добре се отразява, особено ако течността е отвара от смрадлика или лайка

# 3 578
  • Мнения: 480
Може и малко странно да се стори на професионалистите, но може ли при възпалени венци временно  да се жабуря с  оклис , съдържа  ибопруфен и L- аргинин ?
Аз не съм специалист, но за обезболяване работят спреьовете за болки в гърлото (тип Тантум Верде)

# 3 579
  • София
  • Мнения: 273
За възпалени венци по- добре отвара от лайка. И прием на вит. С.

Знам   и за лайка и за смрадлика и  за солена вода и за какво ли не още  . Но въпросът ми е конкретно за   оклис.

# 3 580
  • Мнения: 1 436
ИИ казва, че жабуренето с ибопруфен не се препоръчва.

# 3 581
  • София
  • Мнения: 273
ИИ казва, че жабуренето с ибопруфен не се препоръчва.

Да, знам. Четох.  Също пишеше,  че  местното му приложение в устата може да доведе до локално дразнене и  алергични реакции.
Само че аз имам точно  тези проблеми  с водите за уста, които съдържат какво ли не. Ето например състава на ежедневната , безобидна  вода за уста Листерин  :
Вода, алкохол, сорбитол, аромат, полоксамер 407, бензоена киселина, цинков хлорид, , калиптол, метил салицилат, натриев захарин, тимол, ментол, натриев бензоат, натриев флуорид, сукралоза, бензилов алкохол, CI 16035, CI 42090.
 
Има пластири с ибупрофен, които се държат до 24ч  върху  тялото при нужда, там пък  има цял ферман с предупреждения.
Разбира се, че ИИ  не би препоръчал, но аз днес, докато се ровех  в гуглето открих / не помня марката/ продукт за  уста и венци, който съдържаше  НСПВС/нестероидно противовъзпалително/, каквото е и ибупрофена.

# 3 582
  • Мнения: 1 436
Най- компетентен отговор биха дали от фирмата- производител.

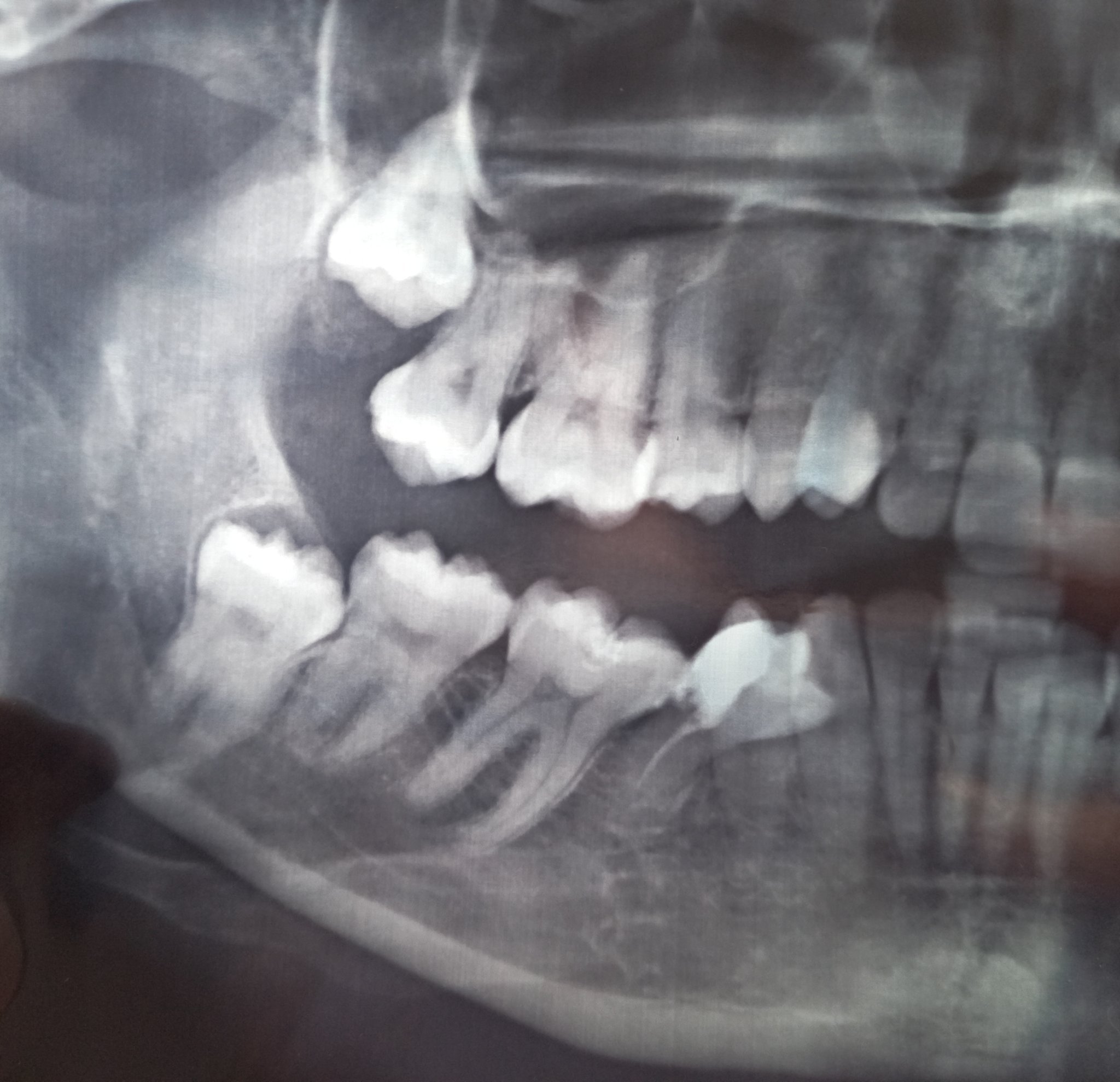
# 3 583
  • Мнения: 2
Здравейте, след недобро кореново лечение и поправки от неизчистен кариес(5ти ляв долен зъб,беше и леко крив ) получих пулсации около зъбите от 4ти наляво чак до венеца.Има миризма на гной, на снимка не излиза от къде е локализирана гнойта.Премахнаха ми зъба, но състоянието продължава.Пулсации без болка и миризма на гной от някъде.Някой експерт може ли да каже на какво се дължи и как да се открие проблема.Имам отпадналост и сърцебиене, безапетитие от тогава.Възможно ли е около костта да гнои или под съседни зъби да е преминало възпалението?

Общи условия

Активация на акаунт