Кореново лечение (Гранулом)

  • 1 646
  • 3
  •   1
Отговори
  • София
  • Мнения: 22 848
Здравейте,

Позволявам си да пусна нова тема, тъй като старите по този въпрос не са много актуални.
Първо, бих искала да питам - има ли хора, успешно излекувани с добре запълнени канали, които са криви.
Второ, бихте ли препоръчали специалисти ендодонти за София с нормален график (не часове след месеци), имащи микроскоп, които могат да поемат случай.
За момента, изчитайки всички по- стари теми, събрах следните имена:

д-р Кафелов - взима скъпо, но има добра апаратура и хората са доволни като цяло, намерих и едно мнение, че не се е наел да извади счупен инструмент
д-р Дамянов
д-р Ботев
д-р Шияков

Ще се радвам повече хора да споделят своя опит.

# 1
  • Мнения: 3
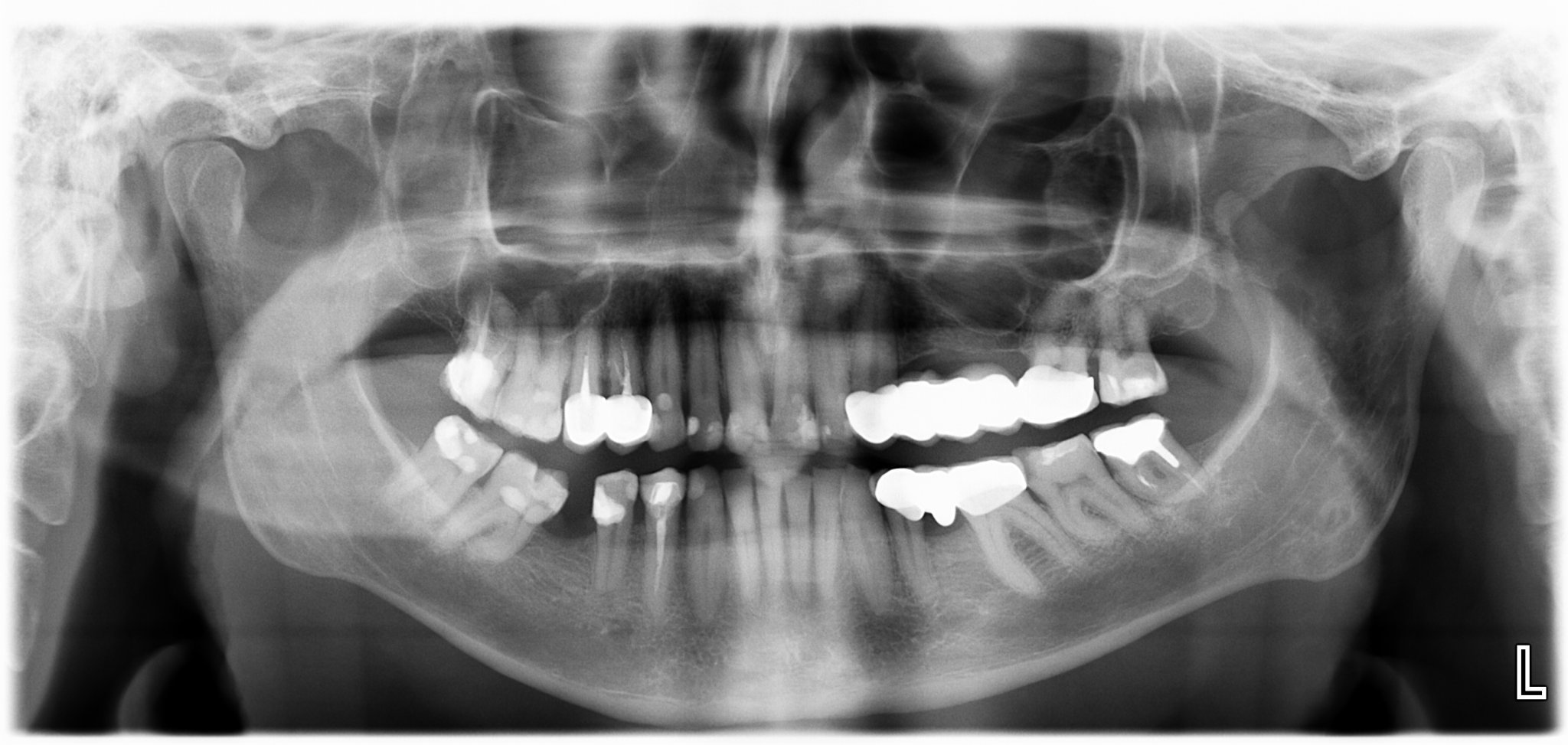
Има дори хора, на които каналите са били запълнени, години след това са направили гранулом, стоматологът е пробил запълнените канали и го е излекувал. При това на мъдрец! Без да се използва микроскоп или ендоскоп.
Грануломът е ограден в червено:

На следващата година положението е по-зле:

След 9 месеца лечение, повторно запълване на канала и поставяне на метало-керамична коронка с пинлей:

# 2
  • Мнения: 10
Здравейте!
📌Казвам се Мария и съм студентка в 5 курс по дентална медицина към Медицински университет- София.
📌Предлагам БЕЗПЛАТНО дентално лечение на деца между 5-18г възраст. Услугите са представени по долу.
📌Лечението се извършва под абсолютния контрол на лекари-преподаватели със специалност детска стоматология! А атмосферата е пригодена така, че децата да се чувстват спокойни и обгрижвани. Принципът ми на работа е след всяка манипулация детето да бъде поощрявано с малки подаръци, които съм приготвила за него.
📌За възрастните също предлагаме дентално лечение на символични цени:
-лечение на кариеси, пулпити, периодонтити
-почистване на зъбен камък, лечение на пародонтити
-екстракция(вадене) на зъби
-изработване на протези, коронки, мостове.

Ще се радвам да Ви бъда полезна, а и Вие на мен! Заповядайте при нас!

# 3
  • София
  • Мнения: 579
Има, има.. Simple Smile

Криви канали, незапълнени добре, с грануломи на 2 зъба, плюс счупен инструмент в S-образен канал. Релечението го проведох преди 4год при д-р Наумова (в момента дамата е по майчинство) и д-р Тодоров, ЕО Дент София.
Към момента всичко е наред.

С микроскопи са навсякъде. Сега съм с временна коронка, при изпилзване на зъба отново се ползва микроскоп. Изключително доволна съм. Относно график - записването е средно за след 1-2 седмици, зависи..

Общи условия

Активация на акаунт