Борбата с рака на гърдата - духовно оцеляване, физическо преодоляване тема 90

  • 29 039
  • 751
  •   1
Отговори
# 285
  • Мнения: 967
Алатеа, не сме се разбрали Simple Smile
Да, и хормон зависим рак може да е агресивен и да свети, не е валидно само за хер и 3-.
БИРАДС 4 е червен светофар, кой каквото и да говори за проценти, определят ли те на  БИРАДС 4, нещата са сериозни.
В Надежда е Щерев, а той е дружка с Вълкан Иванов, двамата се чуват често и се консултират за пациенти. Аз като бях при Вълкан Иванов на преглед, той му се обади да го пита нещо за моя случай и Щерев веднага му вдигна. Минуса е,че нямат отличната образна диагностика на Сити Клиник. Но нищо не е перфектно.

Последна редакция: пт, 25 юли 2025, 12:05 от haidi

# 286
  • Мнения: 76
Неда, прекрасна. Понеже и аз съм се чудела, ето подробно:
Как се определя процентът на риск от злокачественост (например 5%)?

Този процент не е математическо изчисление, а оценка на базата на медицински стандарти, основно използвайки класификацията BI-RADS (Breast Imaging Reporting and Data System), създадена от Американския колеж по радиология.

Какво включва тази оценка?
   1.   Образни характеристики
   •   Формата, ръбовете и плътността на образуванието се виждат при ехография, мамография или ЯМР.
   •   Пример: гладко, овално образувание с ясно изразени граници и без кръвоснабдяване → нисък риск.
   2.   Класификация по BI-RADS
   •   Примерни категории и вероятност за злокачественост:
   •   BI-RADS 1–2: 0% риск → без притеснение
   •   BI-RADS 3: <2% риск → вероятно доброкачествено, само наблюдение
   •   BI-RADS 4A: ~5–10% риск → нисък риск, препоръчва се биопсия
   •   BI-RADS 4B/4C и 5: по-висок риск, често >50% (до 95% при 4C)
Така че когато някой лекар каже „5% шанс“, обикновено има предвид BI-RADS 4A.
   3.   Физикален преглед
   •   Ако при опипване образуванието е меко, подвижно и без други тревожни симптоми – рискът е по-нисък.
   4.   Допълнителни фактори
   •   Възраст, фамилна обремененост, предишни биопсии, хормонални нива – всичко това влияе на оценката.

Моля да ме извините за неинформираността,но как се определя 5 % шанс за злокачественост...,на база образни, преглед ...

# 287
  • Мнения: 889
Неда, прекрасна. Понеже и аз съм се чудела, ето подробно:
Как се определя процентът на риск от злокачественост (например 5%)?

Този процент не е математическо изчисление, а оценка на базата на медицински стандарти, основно използвайки класификацията BI-RADS (Breast Imaging Reporting and Data System), създадена от Американския колеж по радиология.

Какво включва тази оценка?
   1.   Образни характеристики
   •   Формата, ръбовете и плътността на образуванието се виждат при ехография, мамография или ЯМР.
   •   Пример: гладко, овално образувание с ясно изразени граници и без кръвоснабдяване → нисък риск.
   2.   Класификация по BI-RADS
   •   Примерни категории и вероятност за злокачественост:
   •   BI-RADS 1–2: 0% риск → без притеснение
   •   BI-RADS 3: <2% риск → вероятно доброкачествено, само наблюдение
   •   BI-RADS 4A: ~5–10% риск → нисък риск, препоръчва се биопсия
   •   BI-RADS 4B/4C и 5: по-висок риск, често >50% (до 95% при 4C)
Така че когато някой лекар каже „5% шанс“, обикновено има предвид BI-RADS 4A.
   3.   Физикален преглед
   •   Ако при опипване образуванието е меко, подвижно и без други тревожни симптоми – рискът е по-нисък.
   4.   Допълнителни фактори
   •   Възраст, фамилна обремененост, предишни биопсии, хормонални нива – всичко това влияе на оценката.

Моля да ме извините за неинформираността,но как се определя 5 % шанс за злокачественост...,на база образни, преглед ...
Благодаря ти,мила.За бързия и изчерпателен отговор.
Няма нужда да споменавам,че моят "горещ " опит е от САЩ,там направиха всички възможни тестове..(без 5 скенер) ,но никой,никога не споменава %,вероятности,прогнози...
Парадокса е,че тук всички цитират американците...и оставят пациентите да се лутат и взимат тежки решения...
Защо не чета статистики,вече писах...
За мен нещата са съвсем прости...50/50...
Разбирам че е трудно да се приеме...смятането,и пресмятането ,точно при тази диагноза си е руска рулетка...
Радикалните мерки,също не са панацея...но изгориш ли...
Пожелавам от сърце,за всички здраве,и да са в светлата статистика..
И няма да спра да го повтарям,не отлагайте и правете всичко,на макс..
.

Последна редакция: пт, 25 юли 2025, 12:25 от неда2

# 288
  • Мнения: 303
Бирадс 4 с може ли да се определи само от ехограф и мамограф? Може ли да е толкова зле и същевременно размера да е 16 мм?

# 289
  • Варна
  • Мнения: 1 788
Бирадс 4 с може ли да се определи само от ехограф и мамограф? Може ли да е толкова зле и същевременно размера да е 16 мм?
Dalinda82. По назад съм качила образно Birads 4C,което излезе карцином, потвърден с биопсия. Докато нямате резултат от патология, никой не може да каже на 100%. Размера няма никакво значение.

# 290
  • Мнения: 4 087
I.r.e.n, нито в Надежда е толкова трудно да направиш друго изследване, нито в Сити е толкова лесно.
Ти още си в шок и мислиш в крайности, всяко нещо което прочетеш го преувеличаваш.
Извинявай, че така ти говоря, знам колко ти е трудно в момента, колко е ново и страшно всичко за теб. Още малко и ще почнат да се нареждат нещата.
В Надежда правят само скенер, но не съм се молила, ако трябва нещо друго. Миналата година само споменах ямр и проф. Щерев в следващата минута вече търсеше дата.
После като се видя нещо на черния дроб, пак ми дадоха направление за ямр, макар че аз не се възползвах, защото не можех да чакам един месец и го направих платено в Токуда. Но дадоха.
Тази година, след като се видя нещо на костите, веднага ми казаха да си търся пет скенер и че ще ми дадат направление.
При първото посещение проф. Щерев ми разясни защо според него не ми е нужен пет скенер, но ми каза, че ако искам, ще ми даде направление.
За Сити не мога да кажа от първа ръка, но от други хора съм чувала, че не правят изследвания с лека ръка, само защото имат апаратурата. Отказват пет скенер или ямр, дори ако пациентът настоява. Как, защо, на кои случаи,, основателно ли, не мога да кажа.
Така че, моят съвет е това да не ти е водещото при избор на болница.
Търси си лекар, на когото да имаш доверие и да не те неглижира. Това е най-важното.
Ямр или пет скенер има на много места.
Лекарите са малко.

# 291
  • Мнения: 967
Бирадс 4 с може ли да се определи само от ехограф и мамограф? Може ли да е толкова зле и същевременно размера да е 16 мм?
Размерът няма абсолютно никакво значение.

# 292
  • Добрич
  • Мнения: 6 335
Скрит текст:
Момичета, относно сентинелната биопсия, четох че е най-добре точно комбинирания метод, за да няма пропуснати лимфни възли. Не знаех, че някой го прилага, браво! И аз бих искала така, понеже по скенер излиза, че нямам уголемени, но това както знаем не означава, че нямам заразени и много ме е страх да не се пропусне някой.

Иначе Хер ми излезе вчера. Положителен. И май официално се водя тройноположителна. Така че скоро започвам с химиотерапията.
Вчера бях на преглед при В. Йорданов, понеделник ще ме маркира. Действително е невероятен специалист и човек!  Прегледа ме и каза, че ракът е 25/15 мм и е далече от размера, който ми определиха във ВМА - 35 мм. Пак ми прегледа лимфите - каза, че са чисти ( според  ВМА съм с подут лимфен възел). Най интересното е, че във ВМА,  освен биопсията, нищо друго не са ми правили, дори обикновен ехограф нямам. Как определиха тумора и лимфите - не знам. Май са ме готвели за яко кълцане...
Скрит текст:
Имам и запазен час при Вълкан Иванов на 20.08., отсега да уговарям предстоящата операция след 6 месеца.

Аз все още съм в дилема къде да се зачисля. В Надежда, или в Сити Клиник. Може ли някой с малко повече информация относно Сити Клиник - колко струват вливките. Дават ли без зор направления за ЯМР и Пет скенер. И въобще как стои въпросът с плащанията на разни неща. Пак ли искат пари, ако онкологът ти е там. Че тия в Надежда си знаят КТ и Мамограф с контраст (ясно защо) . Не искам да им се моля за всяко нещо..

i.r.e.n. , как нямаш ехограф? Нали писа, че си с кор биопсия.  Тя се извършва под ехографски контрол.

# 293
  • Мнения: 303
Бирадс 4 с може ли да се определи само от ехограф и мамограф? Може ли да е толкова зле и същевременно размера да е 16 мм?
Dalinda82. По назад съм качила образно Birads 4C,което излезе карцином, потвърден с биопсия. Докато нямате резултат от патология, никой не може да каже на 100%. Размера няма никакво значение.
Не го откривам.

# 294
  • Варна
  • Мнения: 1 788
От Холандия е изследването.

# 295
  • Мнения: 359
Аз пак да се оплача. Днес ми е десети ден след химиотерапия и цял ден съм с температура между 37,5 и 38,5. Пуснах кръвни изследвания и онколога ми каза, че най-вероятно е летен вирус, че няма активна инфекция и да не се притеснявам. Да пия много вода, булюн, парацетамол... Надявам се утре да съм по добре, защото този път го карам много тежко. Цяла седмица бях на легло... Светна ми.. Два три дни бях добре и сега това... 😔

# 296
  • Мнения: 277
Вела , та беше писала, че е с отворена "кор биопсия", каквито си правят там обичайно..
Момичета, къде могат да ми направят перука от моята коса?
DZ, Котка, почна ли косопада при вас?

# 297
  • Мнения: 359
Вела , та беше писала, че е с отворена "кор биопсия", каквито си правят там обичайно..
Момичета, къде могат да ми направят перука от моята коса?
DZ, Котка, почна ли косопада при вас?
[/quote перука от твоята коса... В Магама

# 298
  • Over the hills and far away
  • Мнения: 233
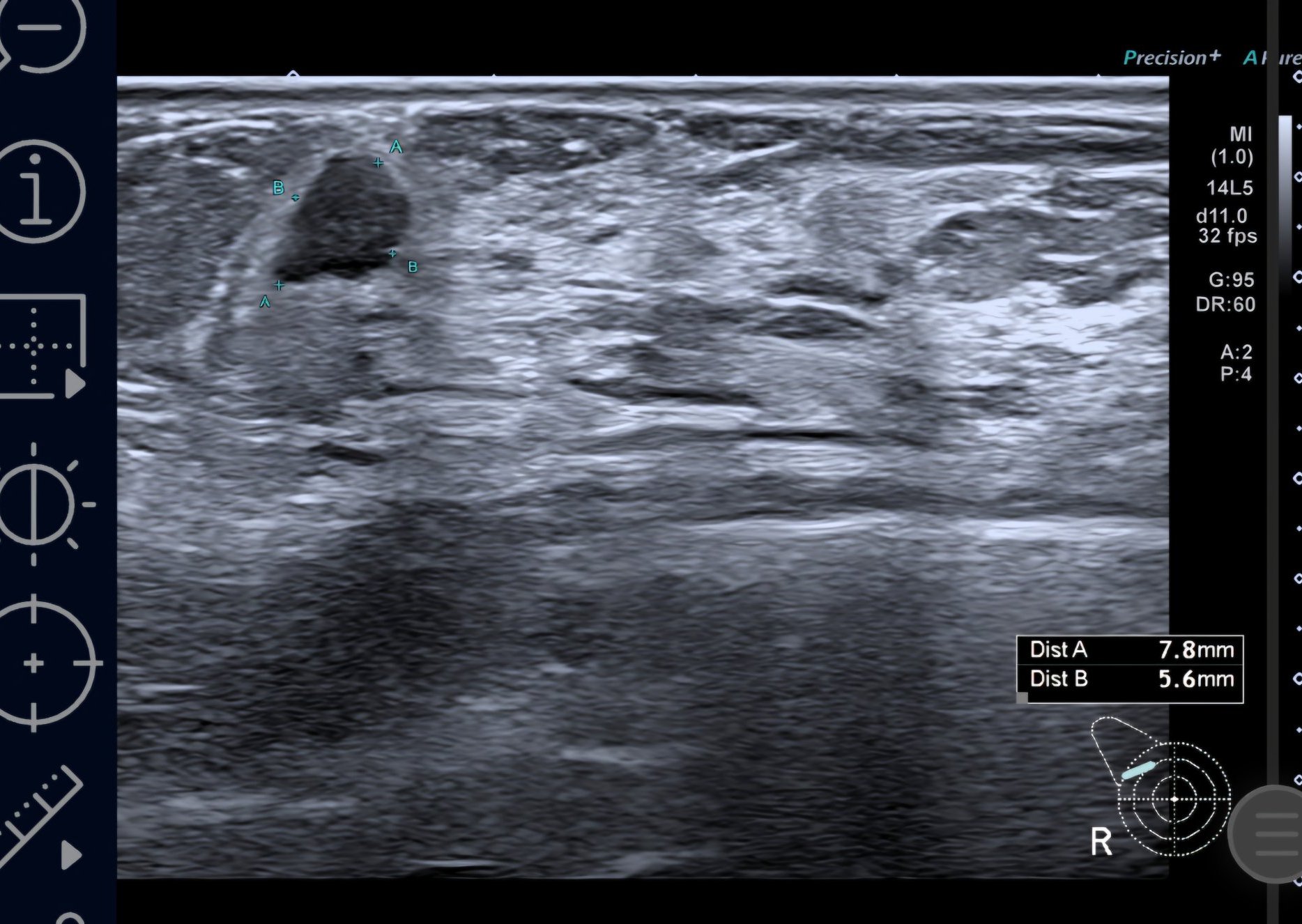
Далинда, ето малко картинки от BIRADS 4c ( най- вече вляво) , само по образни. Това са първите картинки, оттогава имам още нови попълнения. Биопсията не показа точно какво е и какво не е, според лекарите може би не са "уцелили" точното място в лезията, защото има известно разминаване. Вчера бях на ПЕТ, само сумтяха и ми казаха, че ще разбера резултатите от лекуващата другата седмица, след като е минала Туморната комисия 🤷‍♀️
 



# 299
  • Мнения: 967
Iren, ехографа също дава неточни размери.
Моят тумор също В.Йорданов го измери 1,4-1,7 см на ехограф, на ЯМР излезе 3,2-2,4 см, пак В. Йорданов го гледа....Тъй че не разчитай много на ехографа. Ако ВМА са рязали и мерили директно на мястото, информацията на ВМА е по надеждна.
Marie curie, твоето само по формата и е силно подозрително за рак. Неправилни, наръбени форми са червена лампа.

Общи условия

Активация на акаунт