Плоден сак или жлеза виждате?

  • 1 227
  • 30
  •   1
Отговори
  • Мнения: 138

Здравей те! Днес бях при двама лекари,, един казва че им асак, но се е закрепена на секциото ми от предното раждане, а другият казва, че е жлеза в матката. Някой сблъсквали ли се е с такова нещо?

# 1
  • София
  • Мнения: 38 354
Здравей!
Направи тест за бременност - ЧХГ. Той ще покаже дали има или не бременност.
Потърси още едно мнение ... на по-добър УЗ апарат.

# 2
  • Sofia
  • Мнения: 7 798
Жлеза в матката!
За пръв път чувам за подобно нещо.
Сигурна ли си, че така се е изразил лекарят?

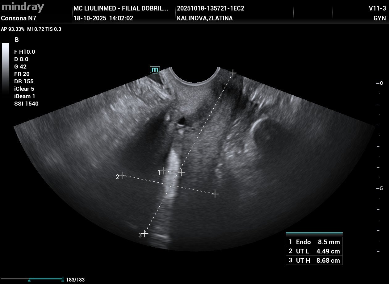
На първата снимка пише, че има един гестационен сак с размер 0,57 см. На втората снимка са яйчниците. На третата е измерена дебелината на ендометриума/маточната лигавица.

ПП: Хубаво е да си махнеш имената от снимките.

Последна редакция: нд, 19 окт 2025, 08:29 от Brin de muguet

# 3
  • Мнения: 2 447
Аз мисля, че е плоден сак, но е много ниско долу закрепен. Буквално е над шийката. И е много мъничко още .
Трябва да се проследи.

# 4
  • Мнения: 138
Здравей!
Направи тест за бременност - ЧХГ. Той ще покаже дали има или не бременност.
Потърси още едно мнение ... на по-добър УЗ апарат.
Направих бета чхг и е отрицателно, а това в матката ми не знам какво е, не ми идва цикъл и гърдите са ми подути а всички уринарни тестова са положителни

# 5
  • Sofia
  • Мнения: 7 798
Няма логика кръвния тест да е отрицателен, а уринарните положителни.
Кръвният хваща покачване още от 0 mlU, докато уринарните засичат повишение чак след 10-20mlU.

В каква последователност си ги правила?

# 6
  • Мнения: 138
Няма логика кръвния тест да е отрицателен, а уринарните положителни.
Кръвният хваща покачване още от 0 mlU, докато уринарните засичат повишение чак след 10-20mlU.

В каква последователност си ги правила?
Първо имях зяцапване кафяво от 10.10-12.10, на 13 ти направих 3 теста и трите бяха положителни, а на 14 ти бета чхг беше 5mIU

# 7
  • Sofia
  • Мнения: 7 798
Значи е много възможно да е имало бременност, но тя вече да не се развива.

# 8
  • Мнения: 138
Значи е много възможно да е имало бременност, но тя вече да не се развива.
а, ехогравската снимка каква е? Какво е това там? Вчера беше прегледа... Много съм притеснена

# 9
  • Sofia
  • Мнения: 7 798
На първата снимка пише GS, което е Gestational Sac (гестационен/плоден сак).
Размерите му са 0,57 см.
В същото време обаче не е определен срока на бременността - GA/Gestational Age (OOR - Out of Range), което е странно. Възможно е да отговаря на (прекъсната) много ранна бременност, под 4гс. 5-6мм гест. сакче отговаря точно горе-долу на 3-4гс., но не знам дали толкова рано може да се отчита/брои от ехографа.

Да започнем от там - кога ти беше първият ден на последната менструация?

Последна редакция: нд, 19 окт 2025, 17:11 от Brin de muguet

# 10
  • Мнения: 138
На първата снимка пише GS, което е Gestational Sac (гестационен/плоден сак).
Размерите му са 0,57 см.
В същото време обаче не е определен срока на бременността - GA/Gestational Age (00R), което е странно. Възможно е да отговаря на (прекъсната) много ранна бременност, под 4гс.

Да започнем от там - кога ти беше първият ден на последната менструация?
цикълът ми е доста странен. На 23.08 беше цикъл на 16.09-18-09 зяцапване и на 10.10-12-10 пак зяцапване кафяво

# 11
  • Sofia
  • Мнения: 7 798
Значи, ако приемем, че става въпрос за бременност - на 16-18.09 зацапването може да е било менструация. С тези дати се връзва и размерът на гестационното сакче.

# 12
  • Мнения: 138
Значи, ако приемем, че става въпрос за бременност - на 16-18.09 зацапването може да е било менструация. С тези дати се връзва и размерът на гестационното сакче.
Тоест истинска менструация на 16.09. Опит за бебе сме правили само на 4.10.. И бременноста да е от тогава?

# 13
  • Sofia
  • Мнения: 7 798
Хм... Уринарни тестове, които позитивират 9 дена след полов акт!
Звучи ми невероятно. Коя марка са?

Само знам, че на тази снимка пише GS и са му дадени размерите.
Не виждам обаче снимката на другия АГ, който твърди, че е жлеза.

# 14
  • Мнения: 138
Хм... Уринарни тестове, които позитивират 9 дена след полов акт!
Звучи ми невероятно. Коя марка са?

Само знам, че на тази снимка пише GS и са му дадени размерите.
Не виждам обаче снимката на другия АГ, който твърди, че е жлеза.
Шура чек и престо са тестояете, а другият не даде снимка при него бях за много бързо между пациентите му и той бързаше

Общи условия

Активация на акаунт