Зъбен гранулом

  • 398 920
  • 897
  •   1
Отговори
# 885
  • Варна
  • Мнения: 451
Имам един зъб с гранулом,който ме мъчи активно повече две седмиции .Пих антибиотик и от няколко дена ми е по-добре,не ме боли толкова и поддутото,което напипвах с върха на езика изчезна.Дадоха час за зъболекар след една седмица като ми казаха,че часът ми ще е достатъчно дълъг около 2 часа,за да може всичко да се пролекува и затвори.
Аз обаче се притеснявам дали наистина всичко може да се направи и затвори в едно посещение колкото и дълго да е то.Не трябва ли първо да се почисти,да се сложи лекарство...да мине малко време да се види как ще е ,има ли нужда от още някакви процедури и тогава да се довърши окончателно.
Верно е,че зъболекаря е  опитен и знае какво прави,но някак си ми е притеснено с едно посещение ,да не вземе нещо да се възпали и после да трябва пак да се отваря и пак наново всичко.

Според мен не трябва да се притеснявате.
Не е необходимо кореновото лечение да се прави в две или повече посещения. При адекватно лечение ние “окъпваме” каналите с лекарство. През цялото време до самото запълване. Това гарантира дезинфекцията им и излекуването на проблема.

# 886
  • England
  • Мнения: 218
Здравейте! Имам проблем с един мост. Преди година сложих мост на долната челюст. Всичко беше наред до края на февруари, когато от нищото венеца се поду. Отидох, направих снимка и моя зъболекар назначи антибиотично лечение и каза, че ако оттокът не спадне ще се вади. Мина време спадна но венеца остана леко подут, което ме навежда на мисълта, че не се е излекувал. Днес съм на преглед за да видим, какво следва, има ли гранулом или не, може ли да се лекува или не.
Тук се появявя и основният ми проблем. Преди няколко години и подобна случка се наложи вадене на зъба. Беше с гранулом. Съответно тогавашния зъболекар( различен от сегашния) час и половина ми вади зъба. Бях с 4 упойки и нито една не ме хвана. Ясно ви е че ваденето си беше баш на живо. От там насетне изпитвам ужас, паника, фобия, страх или и аз не знам как да го нарека. Въпросът ми е следния, АКО зъба се налага да бъде махнат, може ли да се случи с упойка под пълна анестезия? Благодаря ви!

# 887
  • София
  • Мнения: 849
Здравейте! Имам проблем с един мост. Преди година сложих мост на долната челюст. Всичко беше наред до края на февруари, когато от нищото венеца се поду. Отидох, направих снимка и моя зъболекар назначи антибиотично лечение и каза, че ако оттокът не спадне ще се вади. Мина време спадна но венеца остана леко подут, което ме навежда на мисълта, че не се е излекувал. Днес съм на преглед за да видим, какво следва, има ли гранулом или не, може ли да се лекува или не.
Тук се появявя и основният ми проблем. Преди няколко години и подобна случка се наложи вадене на зъба. Беше с гранулом. Съответно тогавашния зъболекар( различен от сегашния) час и половина ми вади зъба. Бях с 4 упойки и нито една не ме хвана. Ясно ви е че ваденето си беше баш на живо. От там насетне изпитвам ужас, паника, фобия, страх или и аз не знам как да го нарека. Въпросът ми е следния, АКО зъба се налага да бъде махнат, може ли да се случи с упойка под пълна анестезия? Благодаря ви!
Пълната анестезия изисква наличие на анестезиолог.Веднъж пратих пациент за такова нещо,но цената на пълната упойка и ваденето на зъба му бяха обявили цена от 2500 лева.Така че може,но има 2 или 3 места в България,където това може да стане и цените са високи

# 888
  • Мнения: 57
Здравейте,бихте ли ми казали зъб с гранулом задължително ли трябва да се извади от хирург?

# 889
  • Някъде там
  • Мнения: 5 825
Здравейте, искам да попитам на снимка вижда ли се когато има гранулом?

# 890
  • Мнения: 5 071
Здравейте, искам да попитам на снимка вижда ли се когато има гранулом?

Да, вижда се.

# 891
  • Мнения: 29
Здравейте. Искам да попитам, ако има пулпит или възпален зъбен нерв, това би ли се видяло при пълна кръвна картина? Понеже знам, че тя показва ако има възпаление или инфекция в организма.

# 892
  • Мнения: 16
Здравейте! Имам проблем с един мост. Преди година сложих мост на долната челюст. Всичко беше наред до края на февруари, когато от нищото венеца се поду. Отидох, направих снимка и моя зъболекар назначи антибиотично лечение и каза, че ако оттокът не спадне ще се вади. Мина време спадна но венеца остана леко подут, което ме навежда на мисълта, че не се е излекувал. Днес съм на преглед за да видим, какво следва, има ли гранулом или не, може ли да се лекува или не.
Тук се появявя и основният ми проблем. Преди няколко години и подобна случка се наложи вадене на зъба. Беше с гранулом. Съответно тогавашния зъболекар( различен от сегашния) час и половина ми вади зъба. Бях с 4 упойки и нито една не ме хвана. Ясно ви е че ваденето си беше баш на живо. От там насетне изпитвам ужас, паника, фобия, страх или и аз не знам как да го нарека. Въпросът ми е следния, АКО зъба се налага да бъде махнат, може ли да се случи с упойка под пълна анестезия? Благодаря ви!
Пълната анестезия изисква наличие на анестезиолог.Веднъж пратих пациент за такова нещо,но цената на пълната упойка и ваденето на зъба му бяха обявили цена от 2500 лева.Така че може,но има 2 или 3 места в България,където това може да стане и цените са високи
Здравейте! Имам проблем с един мост. Преди година сложих мост на долната челюст. Всичко беше наред до края на февруари, когато от нищото венеца се поду. Отидох, направих снимка и моя зъболекар назначи антибиотично лечение и каза, че ако оттокът не спадне ще се вади. Мина време спадна но венеца остана леко подут, което ме навежда на мисълта, че не се е излекувал. Днес съм на преглед за да видим, какво следва, има ли гранулом или не, може ли да се лекува или не.
Тук се появявя и основният ми проблем. Преди няколко години и подобна случка се наложи вадене на зъба. Беше с гранулом. Съответно тогавашния зъболекар( различен от сегашния) час и половина ми вади зъба. Бях с 4 упойки и нито една не ме хвана. Ясно ви е че ваденето си беше баш на живо. От там насетне изпитвам ужас, паника, фобия, страх или и аз не знам как да го нарека. Въпросът ми е следния, АКО зъба се налага да бъде махнат, може ли да се случи с упойка под пълна анестезия? Благодаря ви!
Пълната анестезия изисква наличие на анестезиолог.Веднъж пратих пациент за такова нещо,но цената на пълната упойка и ваденето на зъба му бяха обявили цена от 2500 лева.Така че може,но има 2 или 3 места в България,където това може да стане и цените са високи
Здравейте,бихте ли ми препоръчали добра Клиника ,където може под пълна упойка да ми извадят 2 зъба.

# 893
  • Мнения: 1 319
Тук се появявя и основният ми проблем. Преди няколко години и подобна случка се наложи вадене на зъба. Беше с гранулом. Съответно тогавашния зъболекар( различен от сегашния) час и половина ми вади зъба. Бях с 4 упойки и нито една не ме хвана. Ясно ви е че ваденето си беше баш на живо. От там насетне изпитвам ужас, паника, фобия, страх или и аз не знам как да го нарека. Въпросът ми е следния, АКО зъба се налага да бъде махнат, може ли да се случи с упойка под пълна анестезия? Благодаря ви!
Това го преживях преди седмица - 12 упойки, за да го извадят - ад и ужас. Не е виновен хирургът. При наличие на такъв процес упойката не може да се разнесе добре и затова така се получава.
Моят гранулом беше и причината едно непрекъснато главоболие от месеци, което накрая спря да минава и от обезболяващи. На снимка се видя и зъбът беше неспасяем. Трябва да се действа възможно най-рано.

# 894
  • София
  • Мнения: 1 933
Здравейте!
Скоро имах час за естетичен бондинг,но...10 дни по-рано започна тъпа болка към ухото и челюстта в дясно.
Направих снимка,стоматолога я видя и ми каза,че е по-добре да го отложим,понеже вижда изтриване на зъбите и че най-вероятно се касае за бруксизъм.
Препоръча ми поставяне на ботокс в масетерите с цел релаксиране на челюстта.
Освен това е възможно болката да се дължи и на зъби,които вече са правени от 3ма стоматолога преди 2 год и пак....не са направени добре........(16 ти и 17ти зъб)
След това заради тях съм ходила при доста хвалени ендодонти просто на преглед,за да ми кажат за прелекуване ли са или не и така и категорично никой не ми каза.
46ти зъб долу със сигурност е фатално зле,но се надявам да може да се спаси.
Въпросите са ми дали е възможно сега да имам болка от някои от тези зъби?
Възможно ли е да не е от тях,а да е от стискането на зъбите?
Кой зъб е най-спешен за правене и важно ли е да е направен от ендодонт?
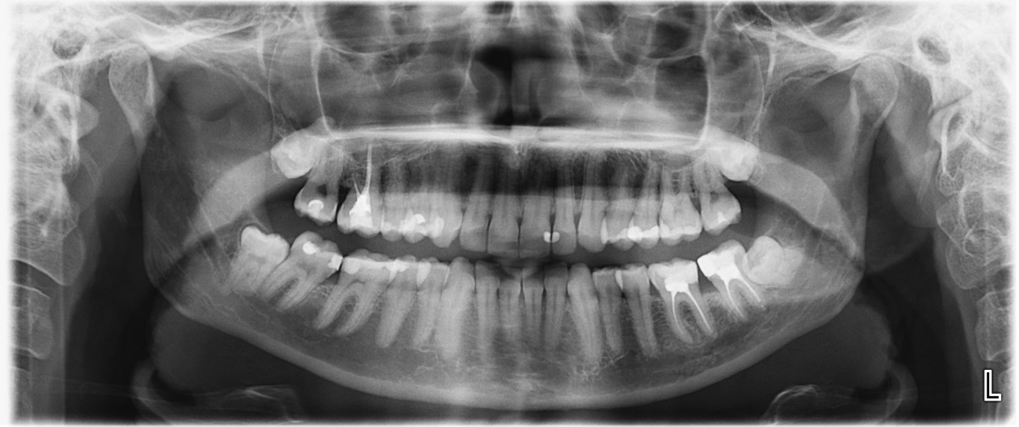
Прилагам снимка.

# 895
  • София
  • Мнения: 464
И аз идвам с въпрос. Преди 2,5 месеца ми се наложи да си извадя горен ляв мъдрец. На панорамната снимка се видя гранулом на 6-ти долен ляв зъб. Тази вечер бях при зъболекаря, да видим какво ще го правим. Първо не беше сигурен дали да го отваря, по-спешен му се струвал 7-мия. Но аз от около месец имам леки постоянни болки нощем и реших, че не трябва да отлагам. След като го отвори видя, че зъбчето е болно,но не можа да стигне до края на канала. Продължаваме следващата седмица. Сега се чудя, какво толкова спешно видя на 7-мия зъб. Ако някой разбира - да удари едно рамо:

# 896
  • Мнения: 255
Здравейте, лекуваме умъртвен зъб кътник. Отвори го зъболекарката ми, изчистихме на 2 пъти двата корена с каналите. Но от два дни усещам силна болка. Пих нурофен и беналгин, за малко ми се успокоява, но болката продължава. Днес венецът ми е леко подут. Мажа го с Пародиум също ме успокоява. Зъболекарката ми иска да пия антибиотик, защото явно според нея се е получила инфекция, щом ме боли умъртвен зъб. Аз не искам да пия антибиотик. Взех си прополисова тинктура, за да правя промивка.

Днес бях на преглед при друг зъболекар за преглед и консултация. Каза ми, че щом не е подут венецът и видимо нямам инфекция да не пия антибиотик. Та аз хубаво няма да пия антибиотик, но се притеснявам да не се получи после по-голямо усложнение. Винаги ли при лечение на гранулом на умъртвен зъб се пие антибиотик, или ако не е наложително мога да се размина и без?

# 897
  • Мнения: 15
Здравейте. Възможно ли е от гранулом да се усеща гаден мирис от зъба (на канализация)?

Общи условия

Активация на акаунт