Q&A
Обобщени въпроси и отговори от темата *
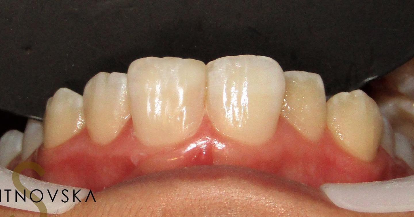
Как се поставят фасети?
Каква е гаранцията, която стоматолозите дават за фасетите и коронките?
Как се поставят светлинни?
* Предложените въпроси и отговори се генерират машинно от автоматизиран езиков модел на база потребителските мнения в темата. Генерираното съдържание може да е непълно, неактуално, подвеждащо или неподходящо. Вашите оценки спомагат за подобряване на модела и неговото усъвършенстване.
-
Как се поставят фасети?
Фасетите се поставят след изпиляване на зъбите. След това изкуствените фасетки се залепват върху изпилената повърхност. Процедурата не е болезнена, тъй като се извършва с анестезия, която намалява усещането за болка. Цената на фасетите може да варира в зависимост от различни фактори, като материалите, използвани за изработката им и опита на стоматолога.
-
Каква е гаранцията, която стоматолозите дават за фасетите и коронките?
Гаранцията за фасети и коронки обикновено включва трайност от 20 години. В случай на счупване или падане на фасетка или корона, гаранцията обикновено покрива изработването на нова. Важно е да се консултирате със своя стоматолог относно условията на гаранцията, тъй като те могат да варират в зависимост от клиниката и спецификата на процедурата.
-
Как се поставят светлинни?
Светлинните се поставят чрез директна художествена реставрация, която представлява многослойно възстановяване на загубени твърди зъбни тъкани с материали, които точно повтарят зъбната анатомия. Тази процедура се извършва от специално обучени дентални лекари в клиники, адаптирани към естетическите изисквания. Светлинните са подходящи за възстановяване на загубени твърди зъбни тъкани и корекция на естетични дефекти.
-
Каква е трайността на бондинга и фасетите?
-
Какво бихте препоръчали за подобряване на усмивката ми, тъй като имам два зъба, които не са израснали достатъчно?



Намерих и нейни снимки :
