Q&A
Обобщени въпроси и отговори от темата *
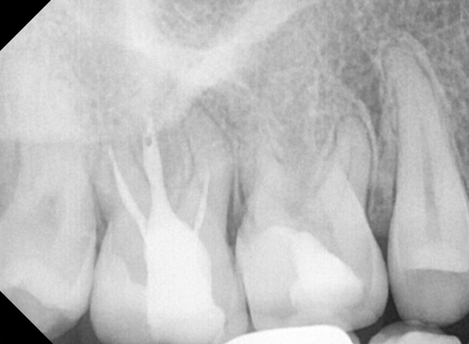
Как се лекува хроничен периодонтит на млечни зъби?
Какво се случва с кореновия канал, ако пълнежът излезе извън него?
Какви са причините за белите петна по зъбите и какво представлява флуорозата?
* Предложените въпроси и отговори се генерират машинно от автоматизиран езиков модел на база потребителските мнения в темата. Генерираното съдържание може да е непълно, неактуално, подвеждащо или неподходящо. Вашите оценки спомагат за подобряване на модела и неговото усъвършенстване.
-
Как се лекува хроничен периодонтит на млечни зъби?
Лечението на хроничен периодонтит на млечни зъби включва премахване на инфекцията и възстановяване на здравето на зъбите. Обикновено се извършва кореново канално лечение, което включва почистване на кореновия канал и запълване със специални материали. При наличие на фистули и гноене може да се наложи и антибиотична терапия. В случай на продължаващи проблеми, консултацията с орален и лицево-челюстен хирург или ортодонт може да бъде от полза.
-
Какво се случва с кореновия канал, ако пълнежът излезе извън него?
Ако пълнежът излезе извън коренови канал, това може да създаде проблеми. Излизането на пълнежа може да доведе до инфекция или реинфекция на зъба. В такъв случай е необходимо да се консултирате със зъболекар, който може да прецени дали е необходимо повторно лечение на кореновите канали или други процедури за спасяване на зъба.
-
Какви са причините за белите петна по зъбите и какво представлява флуорозата?
Белите петна по зъбите могат да бъдат причинени от фактори като флуороза, кариес или други причини. Флуорозата е състояние на зъбите, което възниква поради прекомерно излагане на флуор по време на образуването на зъбите, което води до появата на бели или кафяви петна. За да се определи причината и подходящото лечение, препоръчително е да се консултирате със зъболекар.
-
Какви са причините за кафявите тънки линии по задните зъби?
-
Какво да правя, ако зъбната корона падне?


,макар да ми е крайно неудобно.