Q&A
Обобщени въпроси и отговори от темата *
Какви са някои от митовете за брекетите?
Какви са методите за почистване на зъбите с брекети?
Какви са промените в структурата на лицето по време и след проведено ортодонтско лечение?
* Предложените въпроси и отговори се генерират машинно от автоматизиран езиков модел на база потребителските мнения в темата. Генерираното съдържание може да е непълно, неактуално, подвеждащо или неподходящо. Вашите оценки спомагат за подобряване на модела и неговото усъвършенстване.
-
Какви са някои от митовете за брекетите?
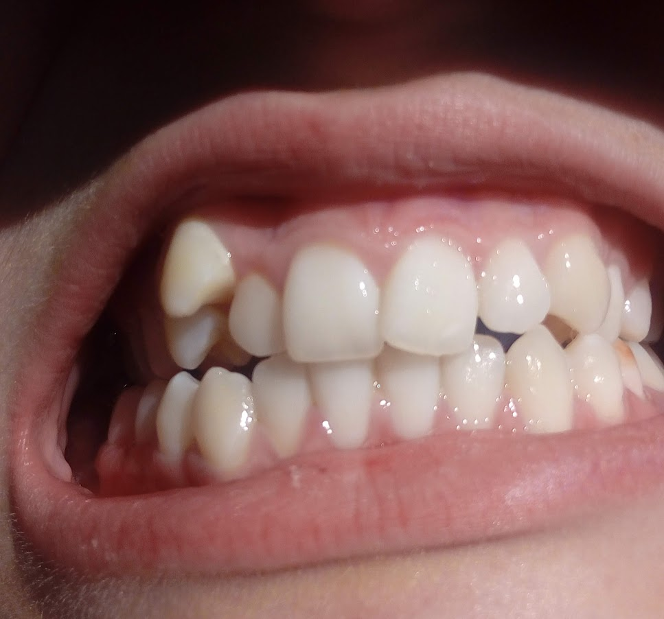
Някои от митовете за брекетите включват убеждението, че брекетитe развалят зъбите, че са само за деца, че пречат на целувките, че водят до фъфляне и че зъбите се връщат след свалянето им. Всички тези митове обаче са развенчани. Всъщност е доказано, че брекетите не увреждат зъбите, няма възрастова граница за тях, не пречат на целувките, не причиняват фъфлене и при спазване на правилата за лечение и план за стабилизация ефектът от лечението е траен за цял живот.
-
Какви са методите за почистване на зъбите с брекети?
Почистването на зъбите с брекети включва използването на конци, които минават между дъгата и брекетите, както и четкане на зъбите с кръгови, вибриращи движения около венечната линия. За труднодостъпните места се препоръчва използването на интердентлни четки и душове за уста. Освен това използването на ултразвукова четка за зъби и зъбен душ може да бъде от полза за по-ефективно почистване. Ортодонтите могат да препоръчат специални ортодонтски четки, междузъбни четки и ултразвукови зъбни душове. Почистването след хранене може да включва изплакване и използване на специална четка.
-
Какви са промените в структурата на лицето по време и след проведено ортодонтско лечение?
Провеждането на ортодонтско лечение може да доведе до промени в структурата на лицето, като изразени скули, издължено лице, по-изпъкнал нос и подчертани устни. Тези промени са видими при много хора, които са преминали през лечение с брекети. Въпреки че първоначално промените могат да предизвикат дискомфорт, постепенно хората се адаптират към новото си „аз“ и дори започват да се харесват повече от преди.
-
Какви са разликите между метални и керамични брекети?
-
Какви са цените за ортодонтски лечения в Пловдив?

