Въпроси до зъболекарите от форума! - 3

  • 208 147
  • 3 473
  •   2
Отговори
# 2 550
  • София
  • Мнения: 825
Здравейте, на 20.09 ми извадиха два зъба, един до друг. Оперативно и имам шевове. От време на време ме поболва. Това нормално ли е? Отделно сякаш бузата ми трепти 😂 не тупти, а трепти, като тик… За първи път ми вадят зъби и не знам така ли трябва да се чувствам. Пия антибиотик 2х1 аугментин. Ще ми се да пия и обезболяващо, но ме е страх защото петък, събота и неделя пих по един аулин на ден. Не искам да натоварвам организма ми допълнително. Колко и какви мога да пия?  Хирурга нищо не каза, само да се жабуря с вода с половин лъжица сол, като не мога да ида при него отново, поне не скоро, защото той е в София, а аз съм на 150км от София. Благодаря предварително!
Жабуренето на раната не е желателно, през първите 3 дни след ваденето. Причината е, че така се изсмуква съсирека и се оголва раната, преди да се е затворила. Жабуренето е добре да става след третия ден.

# 2 551
  • Мнения: 76
Казаха, че конци няма да се свалят, резорбирали се. По принцип на кой ден се свалят?


Slynchev.chovek
не трябва да жабуриш, а да държиш водата в устата и да се опитваш по- дълго да е от страната на извадените зъби. На зададените от теб въпроси не мога да отговоря, но те съветвам да посетиш стоматолог, който ти е наблизо. Извадиха ли ти конците?


   
При шевове пак ли има съсирек? Също ми казаха, че са ми сложили някакви колагенови конуси. Това какво е?

Здравейте, на 20.09 ми извадиха два зъба, един до друг. Оперативно и имам шевове. От време на време ме поболва. Това нормално ли е? Отделно сякаш бузата ми трепти 😂 не тупти, а трепти, като тик… За първи път ми вадят зъби и не знам така ли трябва да се чувствам. Пия антибиотик 2х1 аугментин. Ще ми се да пия и обезболяващо, но ме е страх защото петък, събота и неделя пих по един аулин на ден. Не искам да натоварвам организма ми допълнително. Колко и какви мога да пия?  Хирурга нищо не каза, само да се жабуря с вода с половин лъжица сол, като не мога да ида при него отново, поне не скоро, защото той е в София, а аз съм на 150км от София. Благодаря предварително!
Жабуренето на раната не е желателно, през първите 3 дни след ваденето. Причината е, че така се изсмуква съсирека и се оголва раната, преди да се е затворила. Жабуренето е добре да става след третия ден.

# 2 552
  • Мнения: 76 008
Към десетия ден...

# 2 553
  • Мнения: 1 340
Щом има има конци защо да не жабури, нали всичко е зашито… И да не беше вече е 4ти ден след ваденето, според мен няма проблем, но си вземете р-р за уста, а не вода и сол.

Обадете му се щом не можете да отидете, ние няма как да знаем какво е състоянието на раната.

# 2 554
  • Мнения: 3 155
Желателно е специалист за види раната дали зараства добре. Не Джибури защото ще извадиш съсирека без който раната ще заздравее бавно.

# 2 555
  • Мнения: 23
Здравейте, искам да попитам ЗК поема ли фото полимерна пломба, защото досега винаги съм си доплащала, моя позната каза, че не доплаща, което ме учуди и какво точно поема ЗК в момента, да не би да има промени.

# 2 556
  • Мнения: 1 654
Фотополимер не покрива Simple Smile
Само амалгама или химиополимер, но кой ли работи с такива материали....

# 2 557
  • Мнения: 48
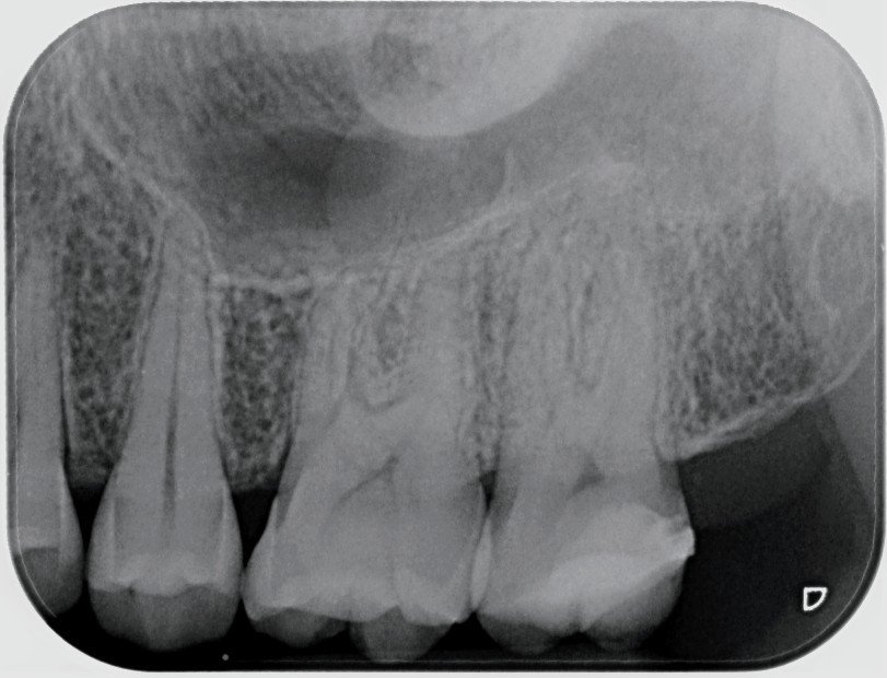
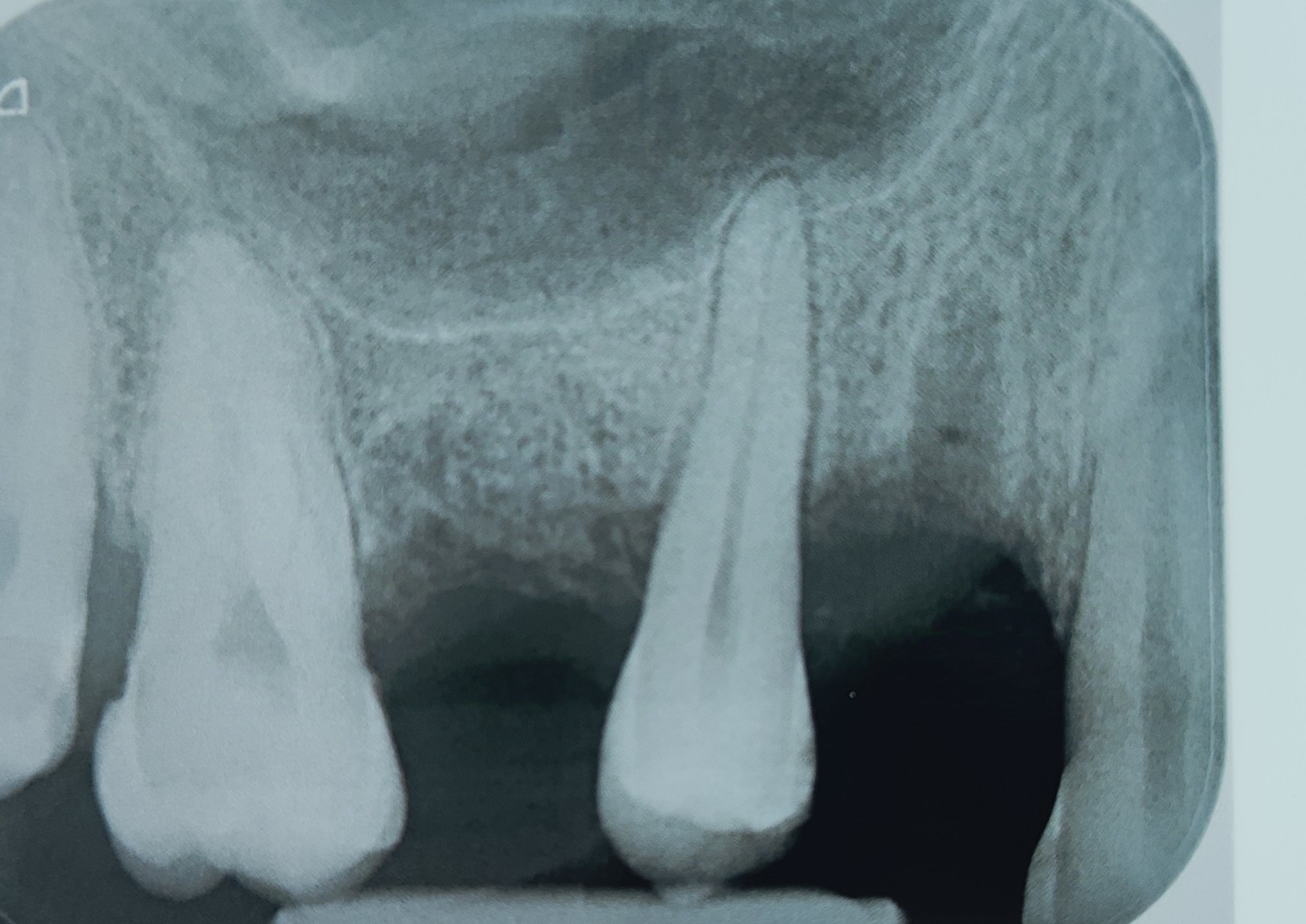
Здравейте, извадих два зъба 4 и 6 -ти при една зъболекарка в моя малък град, оказа се че не беше изчистила добре 6-ти зъб ,корена беше вътре на половина , ходих след това при хирург и ми извади това ,което е останало... но гледайки снимката ,която бях занесла се усъмни ,че и в четвърти имало нещо ,но не бил сигурен и трябвало да ми направи ревизия чак другия месец към края .... Аз днес си направих нова снимка ,защото вече нямам вяра на никой , 6 ти зъб изглежда изчистен, за четвърти виждам едно тунелче (така казано),което може би прилича на корен ,но пък на панорамната снимка на цялата дясна страна (защото той ме беше накарал да направя и такса ) , това тунелче  не се вижда и го няма ... Прикачвам последната снимка и моля зъболекар да ми каже има ли нужда от ревизия ,вижда ли се нещо? Мога да кача и панорамната на цялата стана ,пак казвам там не се вижда нищо на 4 ти зъб... Изобщо моля за второ мнение ,защото самия хирург не беше сигурен,може да има ,а може и да няма ,трябва да го отвори отново и да види ... То до края на другия месец ще се затвори ... Моля помагайте!

# 2 558
  • София
  • Мнения: 22 588
Някой може ли да ми каже нещо за последен 6- ти зъб. Имам предположение, но не съм специалист.

# 2 559
  • Мнения: 195
Здравейте, дали може да ми кажете каква е разликата между скенер на Горна челюст  и панорамна рентгенова снимка? Казаха ми, че е добре да си направя скенер, тъй като имам болка в няколко Горни зъба и единия е умъртвен и не би следвало да ме боли. Та снимка или скенер е по-логично да бъде направен?

# 2 560
  • Мнения: 1 340
Bambina, всичко е наред.

Тhe catcher, какви са оплакванията?

Luna, скенерът е много по-информативен и се виждат структорите в няколко измерения и на срезове. По-скъпо е, но и стойността, която носи е доста по-голяма.

# 2 561
  • София
  • Мнения: 22 588
Болка при натиск и дъвчене. Отпусна ме леко от аулин снощи. Не е остра като на нерв... все още

# 2 562
  • Мнения: 161
Отивай на стоматолог

# 2 563
  • Мнения: 48
Bambina, всичко е наред.

Тhe catcher, какви са оплакванията?

Luna, скенерът е много по-информативен и се виждат структорите в няколко измерения и на срезове. По-скъпо е, но и стойността, която носи е доста по-голяма.
Много Ви благодаря! Вие зъболекар ли сте? Защо се вижда това тунелче ?

# 2 564
  • София
  • Мнения: 22 588
Защото е имало зъб там, костта ще се възстанови.

Ивайло, ще ходя, но искам да знам дали може да изчака до другата седмица. С часовете не е много лесно. Аз не виждам гранулом на снимката, но е факт, че ме боли при натиск. Поне не пулсира.

Общи условия

Активация на акаунт