Въпроси до зъболекарите от форума! - 3

  • 207 607
  • 3 465
  •   1
Отговори
# 2 820
  • Мнения: 4 572
При мен слава богу не стигнахме до усложнения, но самото вадене 4 часа ми докара много голям "дискомфорт" както обичат да казват зъболекарите Simple Smile Simple Smile .Моя грешка беше, че много бързо решихме да го извадим и си нямах идея с какво се захващам.

# 2 821
  • Мнения: 126
Извадих 4 мъдреци наведнъж преди 2 седмици.Най голямата болка беше след като ме отпусна упойката, взех 800 мг. Ибупрофен и след 30 минути се успокоиха нещата.
Общо взето като цяло при мен беше поносима болката в следващите дни. Успех и дано бързо мине.

# 2 822
  • оттам, откъдето започва България
  • Мнения: 12 594
Всеки случай е индивидуален, няма как да се обобщи. При едни мъдреците се вадят лесно, при други с операции, при трети с усложнения и т.н.

# 2 823
  • Цюрих
  • Мнения: 519
Аз пак да питам. Някой може ли да даде отзиви за д-р Нели Пашинова от Манастирски ливади, ул. Синанишко езеро 9А,която е детски зъболекар, мисля?Или за друг добър детски зъболекар?

# 2 824
  • Мнения: 3 155
Ох съчувствам ти. Сега как си? Според мен не е добре да те боли чак толкова и още повече да търпиш на такава болка. Звънни му или иди обезателно да ти изпише антибиотик за да зарасне по добре раната. Иди и да те погледне за всеки случай. Аз незнам къде ги намирате тия некадърници и кой им е позволил да станат лекари.. Честно.. Търсете мнения от други хора, допитвайте се до познати. Внимавайте много на кого се доверявате. Това не е шега.

# 2 825
  • Мнения: 3
Здравейте,от близо седмица имам големи болки на небцето, и около венците горе в ляво.Ходих на зъболекар, на унг нито един от двамата не знае какво ми е.Мазах грануфорин,пръсках афтамил ,пих Нурофен и нищо.Сега съм на нещо като експериментално лечение.Не мога да се храня,пия вода със сламка.външно  не изглежда като нещо сериозно но е мн болезнено.ще прикача снимка и моля за мнение. Има следи от гранофурин на снимката.Благодаря

# 2 826
  • Мнения: 743
Извадих 4 мъдреци наведнъж преди 2 седмици.Най голямата болка беше след като ме отпусна упойката, взех 800 мг. Ибупрофен и след 30 минути се успокоиха нещата.
Общо взето като цяло при мен беше поносима болката в следващите дни. Успех и дано бързо мине.

Вчера сутринта ми извадиха 2 навендъж. За щастие съм лек случай - пробили мъдреци, няма оплетени корени и т.н. За 2мин буквално ми ги извади. Повече време отне упойката да подейства отколкото самата манипулация. Упойката ме държа 4 часа, но след като ефектът й отмина, буквално все едно ляата страна на главата ми щеше да експлодира. Някак не усещах локална болка на мястото на вадене. Подух се мноого леко, но веднага сложих студен компрес у дома, както ми заръча зъболекаря. Пих Нурофен три броя общо за вчера и днес сутринта един, като болката днес е доста тъпа, но ми пречеше да работя и затова пих обезболяващо. Това, което забелязах е, че дупката долу във венеца вече се затваря или поне има някакво покритие, което я защитава явно. Схваната ми е леко челюстта, но си отварям устата нормално. С 4 не знам каква болка е било в началото, много сте смела!

# 2 827
  • Мнения: 73
никой нищо не коментира за зъболечение в Турция има ли доволни, от коя клиника ? .. На какво мнение са нашите родни зъболекари ? Струва ли си ?

# 2 828
  • Мнения: 1 031
За импланти в Турция беше коментирано по- назад в темата. За други дейности няма писано.

# 2 829
  • София
  • Мнения: 578
Имам двама познати, с импланти и фасети - цялостно. Благо Джизъса лайв.. Съжалявам, но не бих - зъбите им са 1:1 направени, неестествено бели и подравнени, абсолютно еднакви визуално, все едно под един калъп правени. Разглеждах профилите на клиниките от любопитство - никаква естетика, всичките пациенти с еднакви зъби, отврат.
Лично мнение.

# 2 830
  • Мнения: 743
Здравейте,от близо седмица имам големи болки на небцето, и около венците горе в ляво.Ходих на зъболекар, на унг нито един от двамата не знае какво ми е.Мазах грануфорин,пръсках афтамил ,пих Нурофен и нищо.Сега съм на нещо като експериментално лечение.Не мога да се храня,пия вода със сламка.външно  не изглежда като нещо сериозно но е мн болезнено.ще прикача снимка и моля за мнение. Има следи от гранофурин на снимката.Благодаря

Най-добре потърсете друг добър зъболекар. Не знам точно какво визирате, че не изглежда толкова зле. Аз различавам синьо по небцето, което на мен не ми изглежда изобщо добре. Възможно е да събрана кръв, може друго да е, но със сигурност има причина за болката. Можете и кръвни изследвания да си пуснете - 100% ще излезе, че има възпаление в тялото.

# 2 831
  • Мнения: 3
Синия цвят е от гранофурина,оказа се херпес

# 2 832
  • гр.Пловдив
  • Мнения: 4 228
Имам двама познати, с импланти и фасети - цялостно. Благо Джизъса лайв.. Съжалявам, но не бих - зъбите им са 1:1 направени, неестествено бели и подравнени, абсолютно еднакви визуално, все едно под един калъп правени. Разглеждах профилите на клиниките от любопитство - никаква естетика, всичките пациенти с еднакви зъби, отврат.
Лично мнение.

Абсолютно!
Изглеждат огромни и неестествени -направо конска става физиономията .Не бях виждала някои от колежките ми ,понеже бях в майчинство и направо все едно друг човек гледам и особено на малка глава с такива конски зъби устата става огромна ..Хич не е естествено и незнам как са ги излъгали ,но те не бяха с кофти или липсващи зъби ,защо са решили да минат под тоя калъп те си знаят ..

# 2 833
  • Цюрих
  • Мнения: 519
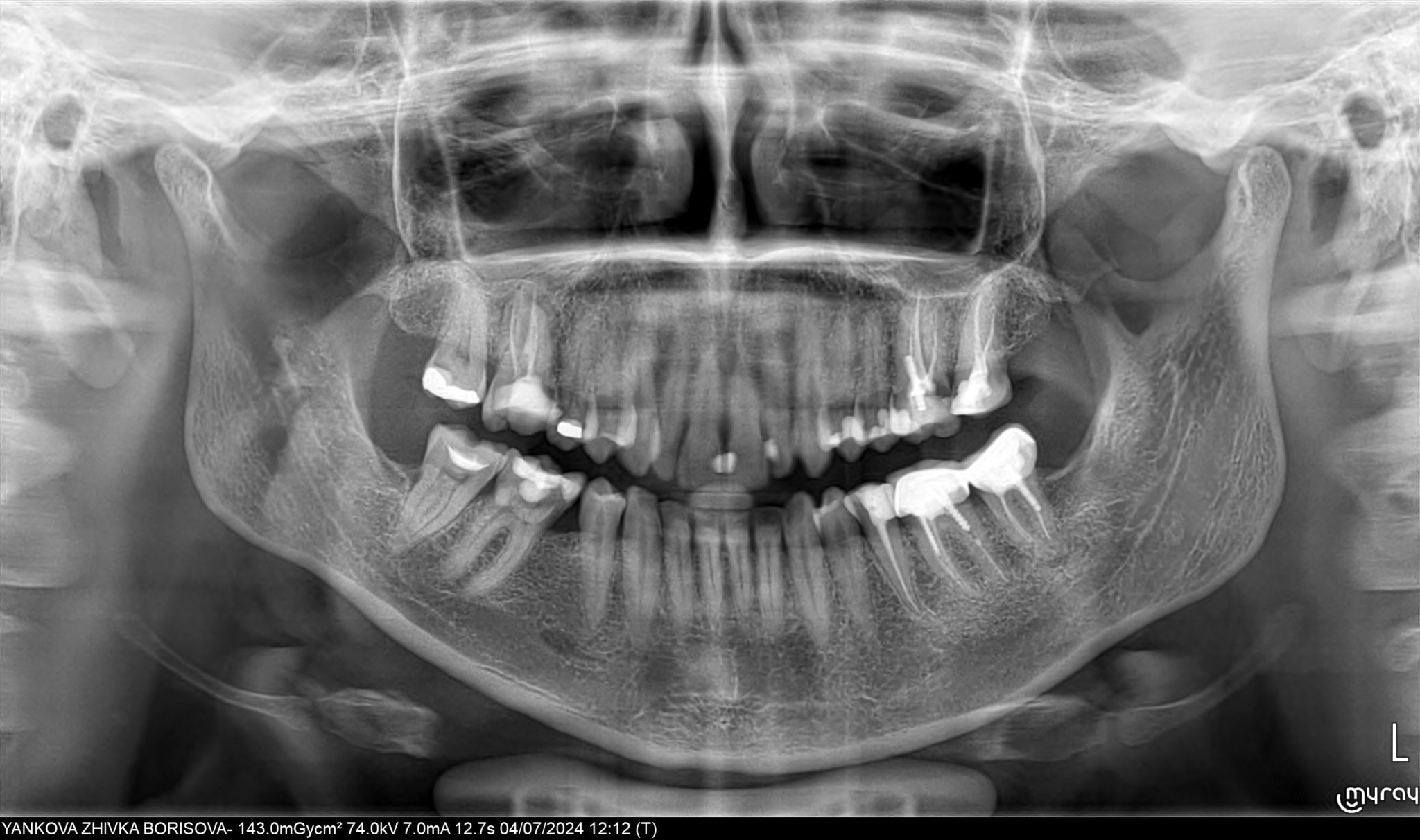
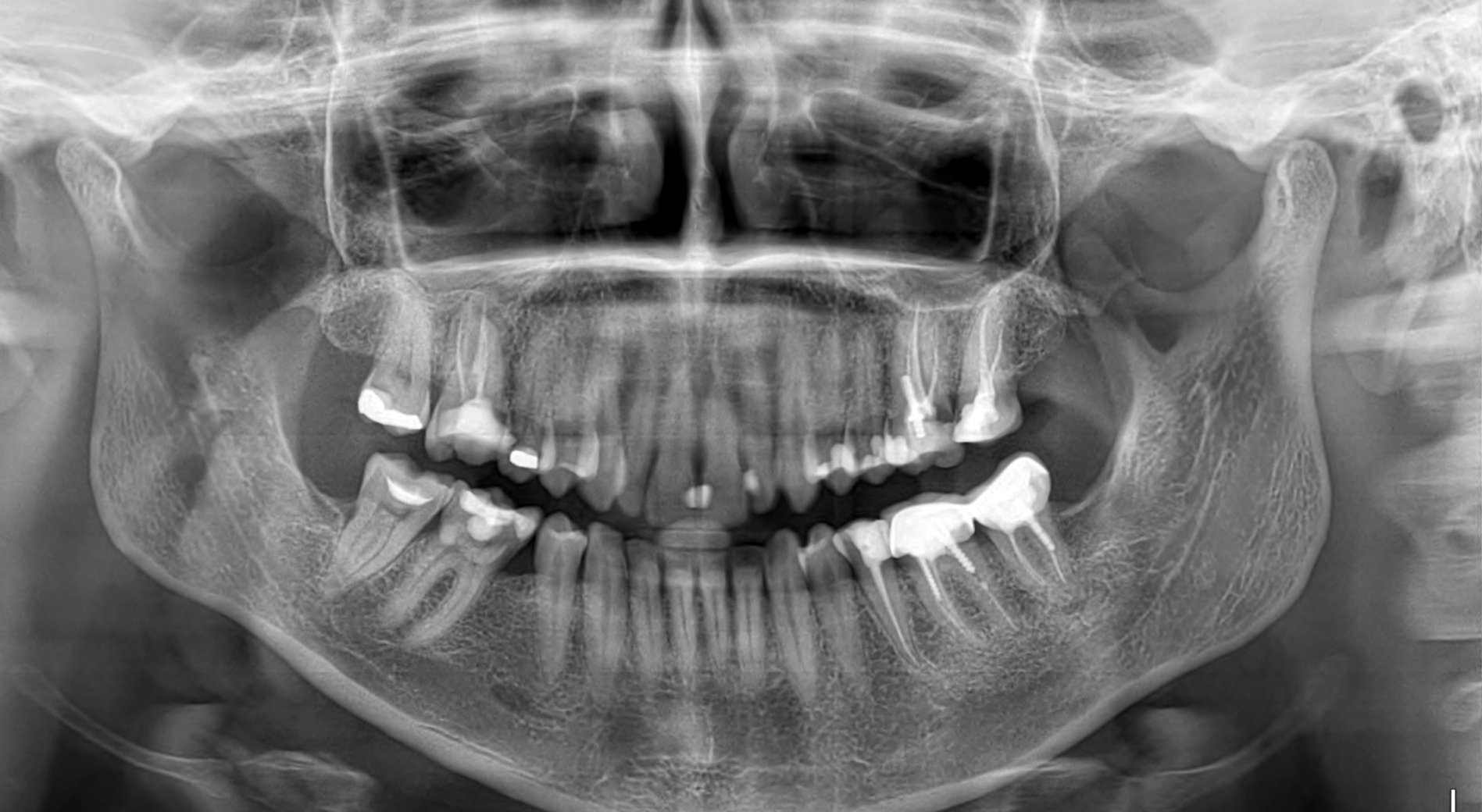
Здравейте! Аз свикнах да си пиша и никой да не ми отговаря, ама карай.. Днес ми се наложи да отида на зъболекар. Оказа се, че имам кариес под нивото на венеца, вижда се на снимката, вляво е. Стоматоложката каза, че трябва да се прелекуват добре двата зъба и да се направи една обща коронка. Притеснението ми е, че като го отвори, зъбът много миришеше. Работи ме около 3ч и половина. За това време може ли адекватно да се прелекува, дезинфекцира и каквото е необходимо там да се направи?През цялото време се притеснявах да не ми се перфорират каналите и в момента усещам нещо като леко тръпнене на венеца. Това нормално ли е? Утре ще направя панорамна снимка. От нея може ли да се види добре дали каналите са запълнени както трябва? Как да съм сигурна, че лекарката си е свършила добре работата?

Последна редакция: пт, 08 ное 2024, 18:17 от Шоколад

# 2 834
  • София
  • Мнения: 821
Здравейте! Аз свикнах да си пиша и никой да не ми отговаря, ама карай.. Днес ми се наложи да отида на зъболекар. Оказа се, че имам кариес под нивото на венеца, вижда се на снимката, вляво е. Стоматоложката каза, че трябва да се прелекуват добре двата зъба и да се направи една обща коронка. Притеснението ми е, че като го отвори, зъбът много миришеше. Работи ме около 3ч и половина. За това време може ли адекватно да се прелекува, дезинфекцира и каквото е необходимо там да се направи?През цялото време се притеснявах да не ми се перфорират каналите и в момента усещам нещо като леко тръпнене на венеца. Това нормално ли е? Утре ще направя панорамна снимка. От нея може ли да се види добре дали каналите са запълнени както трябва? Как да съм сигурна, че лекарката си е свършила добре работата?
На панорамната снимка няма да видите нищо за запълването на каналите. Трябва малка сегментна, но само ако вече е запълнила каналите окончателно.

Общи условия

Активация на акаунт