Въпроси до зъболекарите от форума! - 3

  • 217 348
  • 3 583
  •   1
Отговори
# 3 015
  • Мнения: 1 369
Да

Не всички случаи са подходящи за поставяне на изкуствена кост, трябва да се направи консумация  с конкретен специалист.

По поводи разклатения зъб на потребителката по-горе, според мен прогнозата не е положителна.

# 3 016
  • Мнения: 16
Рентгенова снимка можете да направите и без предложение от зъболекар. И с новата снимка да посетите друг стоматолог за мнение или лечение.

знаете ли дали е възможно рентгенът да се поеме от НЗОК? и знаете ли кабинети които правят това?
Вероятно може, но една рентгенова сничка не е толкова скъпа / 5лв/ беше септември.

наистина, в коя клиника?  Казаха ми, че може да струва 50лв или повече. 

също така чух за някакъв специален скенер, който показва повече информация от рентгенова снимка, къде мога да направя това?

# 3 017
  • Мнения: 1 369
Има 3д снимки, те са триизмерни, цената им е по-висока, в зависимост от обмена, над 100тина лева, но вече какви са цените с точност на различните места не знам.

# 3 018
  • Мнения: 15 257
Ти питаш за рентгенова снимка, т.е. секторна, те са най- евтини. Ако питаш за панорамна или 3Д вече цените са много нагоре.

# 3 019
  • Мнения: 16
Ти питаш за рентгенова снимка, т.е. секторна, те са най- евтини. Ако питаш за панорамна или 3Д вече цените са много нагоре.

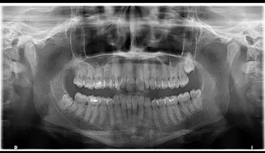
това за секторна рентгенова снимка ли се счита (не е моя)?  в какви случаи се препоръчват 3D и панорамните?


също така съм чувал за специален инструмент, който може да види по-добре кариеса или състоянието на зъбите, но не мисля че е вид рентгенова снимка. някой има ли повече информация за това или кои офиси го използват?

# 3 020
  • Somewhere far away
  • Мнения: 6 103
Не. това е панорамна

# 3 021
  • Мнения: X
Здравейте, преди 3 години ми откриха киста на зъба, долу в ляво и след операцията получих парестезия на венеца и устната и малко от брадичката, като пипна устната се усеща все едно има студена течност, хирурга не ме е предупреждавал за такива последствия, в края на процедурата подписах и документ в който явно е да се защитят ако нещо стане... И 3 години по късно не минава, има ли лечение, с физиотерапия ли се възвръща чувствителността?

# 3 022
  • Мнения: 16
препоръчва ли се 3D сканиране за изваждане на мъдрец?

# 3 023
  • Мнения: 1 451
препоръчва ли се 3D сканиране за изваждане на мъдрец?
Може да се препоръча, ако е ретиниран и наблизо минава нерв или поради друга причина, която усложнява нещата. Ако е нормален мъдрец за вадене, чак 3D не би било нужно. Панорамната снимка е златния стандарт.
Рентгенова снимка можете да направите и без предложение от зъболекар. И с новата снимка да посетите друг стоматолог за мнение или лечение.

знаете ли дали е възможно рентгенът да се поеме от НЗОК? и знаете ли кабинети които правят това?
Не зная дали се правят рентгенови снимки по НЗОК. Досега съм си ги плащала и когато зъбът се лекува по здравна книжка, и когато сама съм искала секторна снимка. Около 10-12 лв. беше една снимка. Рентгенологът, при добро желание, може да "хване" и съседните зъби в една снимка и да се получи по- добра представа за ситуацията. И да се плати за една снимка, вместо за 2-3. Зависи от него.

Последна редакция: вт, 04 фев 2025, 11:20 от DNT177

# 3 024
  • Мнения: 1 353
Бях на 02.02 на зъболекар.Пусна ми панорамна снимка с направление.Направих я веднага и ми взеха точно 2.90 (потребителска такса)
Въпроса ми е друг.Извадиха ми нерва и сега ме боли временната пломба когато дъвча.Остра и неприятна болка.Общо взето не мога да се сетя преди болеше ли ме,когато са ми вадили?Беше много отдавна.При вас боляло ли ви е?

# 3 025
  • Мнения: 200
Бях на 02.02 на зъболекар.Пусна ми панорамна снимка с направление.Направих я веднага и ми взеха точно 2.90 (потребителска такса)
Въпроса ми е друг.Извадиха ми нерва и сега ме боли временната пломба когато дъвча.Остра и неприятна болка.Общо взето не мога да се сетя преди болеше ли ме,когато са ми вадили?Беше много отдавна.При вас боляло ли ви е?

При мен също беше така и като го затвориха, започна ходенето ми по мъките. Вече 1 година… не давайте да го затварят, ако ви боли!

# 3 026
  • Мнения: 302
След чистене на зъбен камък вече 6-ти ден ме болят венците, червени са и имам много афти болезнени. На какво се дължи това? При другите хора не се случва чак така… Жабуря с какво ли не и не минава…

# 3 027
  • Somewhere far away
  • Мнения: 6 103
Ако всичко е наред не трябва да ви боли. Зъб с изваден нерв не боли! Или зъболекаря не си е свършил работата както трябва...

# 3 028
  • пустинята Гоби
  • Мнения: 8 865
Може да има някаква тъпа болка. Силна болка не би трябвало да има.

# 3 029
  • Мнения: 198
Здравейте, има ли нещо притеснително в горния десен мъдрец?



Общи условия

Активация на акаунт