Въпроси до зъболекарите от форума! - 3

  • 216 296
  • 3 570
  •   2
Отговори
# 810
  • Мнения: 1 364
По-скоро придружаващи заболявания биха компрометирали имплантологичното лечение (диабет, активно лечение при онкологично болни пациенти, чернодробни заболявания, също тютюнопушене, лоша хигиена), не толкова алергична реакция. Изследвания, касаещи придружаващите заболявания при нужда и 3д снимка задължително.

По отмиеше на изваждане на зъба веднага и поставяне на имплант или не, наистина всеки процедира различно, на мен ми е трудно да дам адекватен съвет, защото не практикувам тази част от стоматологията, от колеги знам, че при наличие на възпаление или заден зъб (голяма рана) избягват да е едноетапно, във видимата област до около 4ти, 5ти зъб слагат едноетапно, дори натоварват директно с временна корона. Според мен основно зависи колко кост ще има, за да се осигури първичната стабилност на импланта. Simple Smile

# 811
  • Мнения: 786
Бях писала,че преди 10 дни ми беше изваден 7 долу от ляво, но сега усещам някакво остро връхчета   с езика.Какво може да е и какво се прави?

# 812
  • Мнения: 1 364
Бях писала,че преди 10 дни ми беше изваден 7 долу от ляво, но сега усещам някакво остро връхчета   с езика.Какво може да е и какво се прави?

Ръбче от кост, което не е загладено при самото изваждане на зъба.

# 813
  • Мнения: 786
Бях писала,че преди 10 дни ми беше изваден 7 долу от ляво, но сега усещам някакво остро връхчета   с езика.Какво може да е и какво се прави?

Ръбче от кост, което не е загладено при самото изваждане на зъба.
Благодаря  Ви  за отговора.Трябва ли да ходя пак при хирурга?

# 814
  • Мнения: 1 364
Бях писала,че преди 10 дни ми беше изваден 7 долу от ляво, но сега усещам някакво остро връхчета   с езика.Какво може да е и какво се прави?

Ръбче от кост, което не е загладено при самото изваждане на зъба.
Благодаря  Ви  за отговора.Трябва ли да ходя пак при хирурга?

Във времето може да се заглади, но ако ви дразни много или разранява лигавица/езика отидете да го заглади.

# 815
  • Мнения: 416
При почистване на зъбен камък с ултразвук може ли да се пукне зъб или да му се направи дупка?
Много рязко и силно ме заболя когато бръкна между два зъба и сега виждам едно неравенство отстрани между въпросните, което преди го нямаше..
Да уточня, че ходя редовно за почистване, ползвам конец, така че определено там не е имало буца зъбен камък, която да крие неравенството.
Зъбът все още е чувствителен и се усеща леко неприятно. Болка е силно казано..

# 816
  • Мнения: 786
Бях писала,че преди 10 дни ми беше изваден 7 долу от ляво, но сега усещам някакво остро връхчета   с езика.Какво може да е и какво се прави?

Ръбче от кост, което не е загладено при самото изваждане на зъба.
Благодаря  Ви  за отговора.Трябва ли да ходя пак при хирурга?

Във времето може да се заглади, но ако ви дразни много или разранява лигавица/езика отидете да го заглади.
Не,не ме дразни,само  с език го усещам

# 817
  • Мнения: 1 364
При почистване на зъбен камък с ултразвук може ли да се пукне зъб или да му се направи дупка?
Много рязко и силно ме заболя когато бръкна между два зъба и сега виждам едно неравенство отстрани между въпросните, което преди го нямаше..
Да уточня, че ходя редовно за почистване, ползвам конец, така че определено там не е имало буца зъбен камък, която да крие неравенството.
Зъбът все още е чувствителен и се усеща леко неприятно. Болка е силно казано..

Честно казано при агресивна работа и високи вибрации не го изключвам като възможност.

# 818
  • Мнения: 34
Здравейте. Миналия месец ми извадиха оперативно долен десен мъдрец. Всичко беше нормално и на 8ми ден ми извадиха конците ( трудничко беше поради трудното отваряне на устата). След малко повече от месец извадих долен ляв мъдрец с операция и горен ляв мъдрец наведнъж. Изключвам по-тежкото подуване, малко температура и повече болка - все пак бяха извадени два в един ден. На 9тия ден отидох за сваляне на конците, но се отложи понеже си отварям устата много малко и общо взето ще са мъки. Предстои повторен опит за сваляне на конци може би на 15тия ден от операцията. Притеснявам се, че все още ми е доста ограничено отварянето на устата и дори при опит да разтворя усещам някаква течност, че излиза. Това нормално ли е? Някакви съвети за упражнения на мускулите ли са необходими или топли компреси ? Моля, дайте ми съвет. 🙂🙂🙂

# 819
  • Мнения: 162
Здравейте. Миналия месец ми извадиха оперативно долен десен мъдрец. Всичко беше нормално и на 8ми ден ми извадиха конците ( трудничко беше поради трудното отваряне на устата). След малко повече от месец извадих долен ляв мъдрец с операция и горен ляв мъдрец наведнъж. Изключвам по-тежкото подуване, малко температура и повече болка - все пак бяха извадени два в един ден. На 9тия ден отидох за сваляне на конците, но се отложи понеже си отварям устата много малко и общо взето ще са мъки. Предстои повторен опит за сваляне на конци може би на 15тия ден от операцията. Притеснявам се, че все още ми е доста ограничено отварянето на устата и дори при опит да разтворя усещам някаква течност, че излиза. Това нормално ли е? Някакви съвети за упражнения на мускулите ли са необходими или топли компреси ? Моля, дайте ми съвет. 🙂🙂🙂

При такъв тип екстракция на горна и долна челюст е възможно такъв тип реакция, не е нещо не срещано.Евентуално с въпросния зъболекар или хирург да обсъдите физиотерапия, ако състоянието продължава.

# 820
  • Мнения: 77 096
Ваден ми е горен и долен мъдрец в едно посещение, не сэм имала такива проблеми. Болката бе лека и отмина след няколко часа напълно.
Зъбите бяха израстнали, прави.
При вас не разбрах ретинирали ли са били, операция или просто вадене?

# 821
  • Мнения: 1 364
Аз също бих добавила, че ограничение в отваряне на устата може да настъпи и в резултат на поставяне на  упойката, не само от техниката на изваждане на зъба.

Посетете стоматолога си, за да прецени реално ситуацията. Simple Smile

# 822
  • Мнения: 200
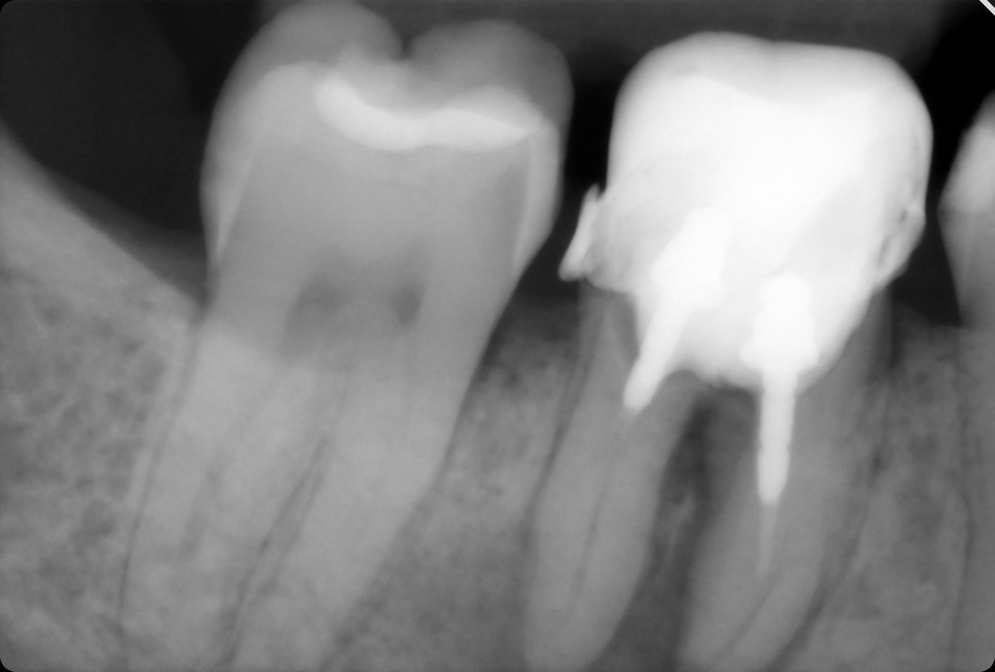
Здравейте, появи ми се гнойна торбичка на умъртвен зъб. Искам да попитам има ли нещо притеснително  на снимката?Според зъболекаря разтоянието между корените се дължало на някакъв дефект.  🤔🤔

# 823
  • Мнения: 34
Здравейте. Миналия месец ми извадиха оперативно долен десен мъдрец. Всичко беше нормално и на 8ми ден ми извадиха конците ( трудничко беше поради трудното отваряне на устата). След малко повече от месец извадих долен ляв мъдрец с операция и горен ляв мъдрец наведнъж. Изключвам по-тежкото подуване, малко температура и повече болка - все пак бяха извадени два в един ден. На 9тия ден отидох за сваляне на конците, но се отложи понеже си отварям устата много малко и общо взето ще са мъки. Предстои повторен опит за сваляне на конци може би на 15тия ден от операцията. Притеснявам се, че все още ми е доста ограничено отварянето на устата и дори при опит да разтворя усещам някаква течност, че излиза. Това нормално ли е? Някакви съвети за упражнения на мускулите ли са необходими или топли компреси ? Моля, дайте ми съвет. 🙂🙂🙂

При такъв тип екстракция на горна и долна челюст е възможно такъв тип реакция, не е нещо не срещано.Евентуално с въпросния зъболекар или хирург да обсъдите физиотерапия, ако състоянието продължава.


Onewomann Благодаря Ви за отговора! 🙂
teta75 Долния беше ретиниран, а горния нормално израстнал. Съответно единия беше с операция, а др като нормален зъб го извадиха.

# 824
  • Мнения: 1 364
nelicka, зъбът има обширно възпаление (по-тъмната част, която съм посочила със стрелка), която може да се дължи на лошото лечение на кореновите канали, а също и на изтънялото “дъно” на зъба, оградила съм с кръг, пломбата изглежда много дълбока и е възможно да има перфорация, ще се прецени най-добре, ако се свали цялата пломба и се огледа хубаво зъбът.

Общи условия

Активация на акаунт