Въпроси до зъболекарите от форума! - 3

  • 216 424
  • 3 570
  •   1
Отговори
# 3 570
  • Мнения: 185
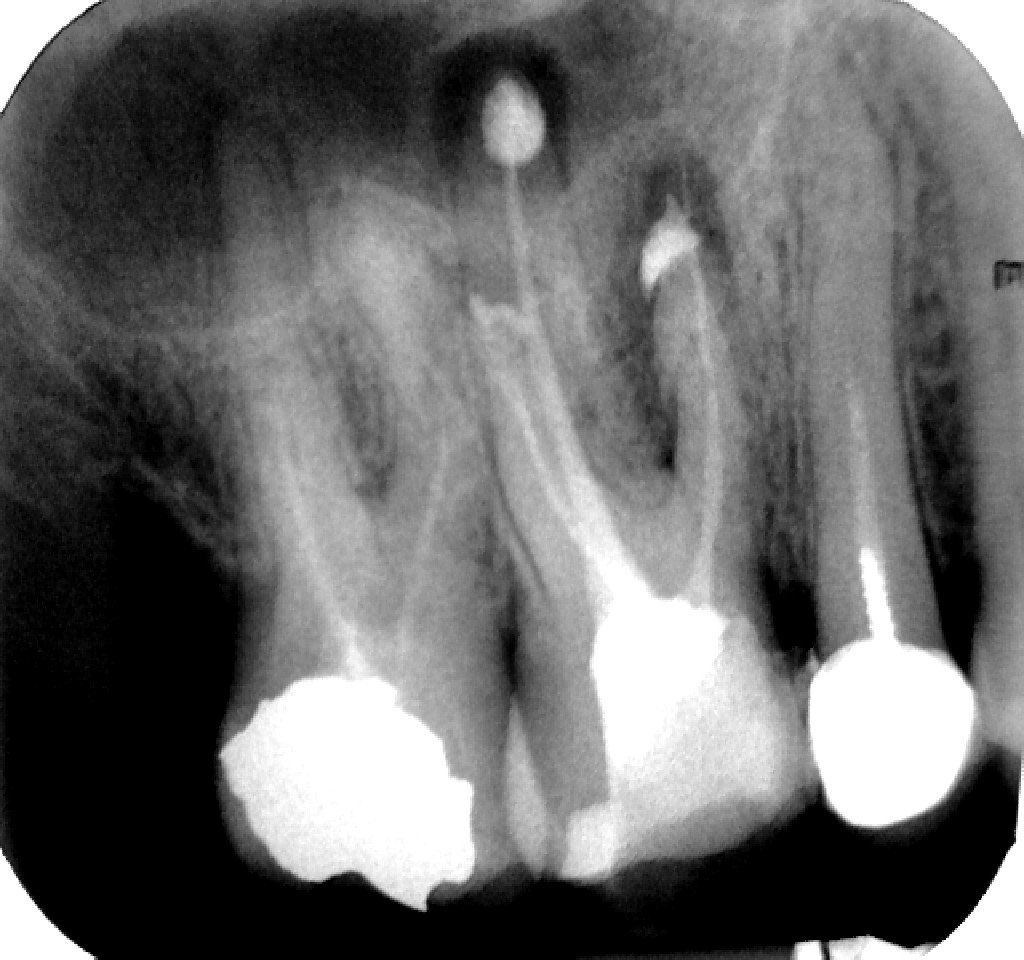
Добре ли са запълнени каналите на 6-ти горен зъб, след лекуване на гранулом ?

Общи условия

Активация на акаунт