Неприятно усещане след пломба

  • 1 253
  • 3
  •   1
Отговори
  • Мнения: 138
Здравейте,
Бях при зъболекар и ми откри 2 кариеса, които много бързо почисти и сложи лекарство. При следващато посещение сложи пломба, но като се прибрах усещам разстояние между пломбирания зъб и съседния - процепче и като се храня влиза храна. И преди ми влизаше храна, но много по-малко. Мислите ли, че проблема е в пломбата или си внушавам? За 1 път съм при този зъболекар и се усъмних.

Последна редакция: ср, 19 май 2021, 15:55 от Ava-maria

# 1
  • Мнения: 77 346
Провери - като вкараш конец между тези зъби, трябва да се чува едно пукане, и да се усеща леко напрежение/съпротивление, при вкарването на конеца. Ако ги няма тези неща, контактът между зъбите не е добре направен, и следва да се коригира, за да няма задържане на храна, и за да може да се дъвче добре, защото опирайки се, зъбите си предават един на друг напрежението което се получаване по време на дъвчене.

# 2
  • Мнения: 8
Като цяло ще свикнеш аз имам една която е красива ,но малко по висока и като ми каза жената да я проверя и да я пилне много бързах и така си остана дразнеше ме два три дена и свикнах и сега не я усещам ,но ако се притесняваш отиди пак ще ги оформи както искаш

# 3
  • София
  • Мнения: 888
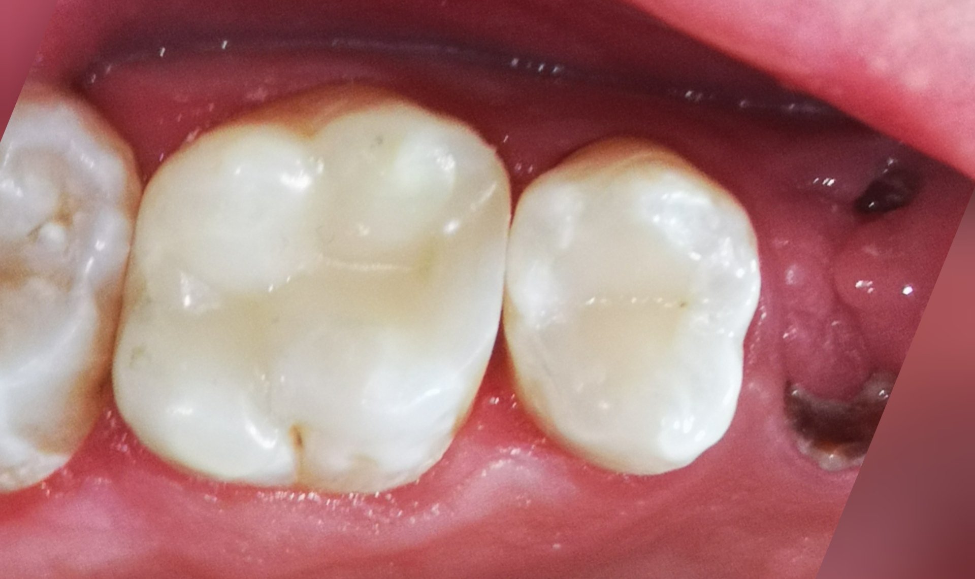
Здравейте,
Бях при зъболекар и ми откри 2 кариеса, които много бързо почисти и сложи лекарство. При следващато посещение сложи пломба, но като се прибрах усещам разстояние между пломбирания зъб и съседния - процепче и като се храня влиза храна. И преди ми влизаше храна, но много по-малко. Мислите ли, че проблема е в пломбата или си внушавам? За 1 път съм при този зъболекар и се усъмних.
Здравейте,много лесно може да проверите,дали зъболекарят е направил пломбата добре.
1Вземете си един конец на Oral B
2.вкарайте го между два случайни задни зъба-ще чуете едно щтракане
3.След това-го вкарайте между двата зъба,които са ви правили-ако конеца минава лесно,без да се чу звук,или пък конеца не влиза или се къса-значи пломбата не е добре направена

Двата зъба е добре да опират плътно един до друг и да може да минава конец

Общи условия

Активация на акаунт