Разчитане на снимка от ехограф

  • 83 960
  • 519
  •   1
Отговори
# 195
  • София
  • Мнения: 229
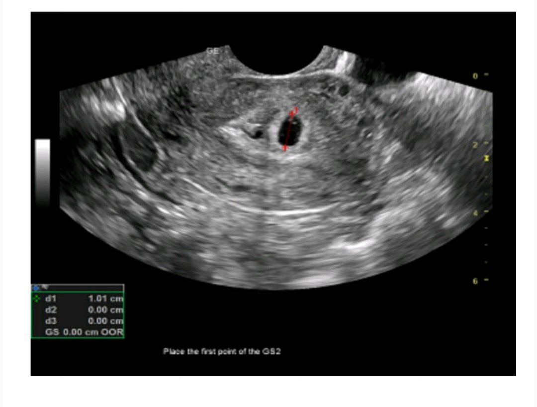
Здравейте ! Първият ми ден от последната ми менструация беше на 20.09 ( като имам нередовен цикъл ).След няколко положителни теста , днес беше и първият ми преглед . Ще прикача снимки от него . Според лекаря съм имала късна овулация и съм още в самото начало на бременноста . Видя се правилно закрепено плодно сакче , с големина 4мм ( около 5 и 6 г.с), но без ембрион , защото е още много рано . След 2 седмици пак съм на преглед . Притеснява ме големината на плодния сак , не е ли малък ?
какво каза лекарят. Пише без ембрион. Не знам

# 196
  • Мнения: 16
Здравейте ! Първият ми ден от последната ми менструация беше на 20.09 ( като имам нередовен цикъл ).След няколко положителни теста , днес беше и първият ми преглед . Ще прикача снимки от него . Според лекаря съм имала късна овулация и съм още в самото начало на бременноста . Видя се правилно закрепено плодно сакче , с големина 4мм ( около 5 и 6 г.с), но без ембрион , защото е още много рано . След 2 седмици пак съм на преглед . Притеснява ме големината на плодния сак , не е ли малък ?
какво каза лекарят. Пише без ембрион. Не знам

Каза че за този период е рано още да се види ембрион и да отида след 2 седмици

# 197
  • Мнения: 275
Здравейте ! Първият ми ден от последната ми менструация беше на 20.09 ( като имам нередовен цикъл ).След няколко положителни теста , днес беше и първият ми преглед . Ще прикача снимки от него . Според лекаря съм имала късна овулация и съм още в самото начало на бременноста . Видя се правилно закрепено плодно сакче , с големина 4мм ( около 5 и 6 г.с), но без ембрион , защото е още много рано . След 2 седмици пак съм на преглед . Притеснява ме големината на плодния сак , не е ли малък ?
И аз бях по същия начин и даже при същата лекарка , след 2 седмици се видя и ембриона.Вече съм към края на бременността🙂

# 198
  • Мнения: 16
Здравейте ! Първият ми ден от последната ми менструация беше на 20.09 ( като имам нередовен цикъл ).След няколко положителни теста , днес беше и първият ми преглед . Ще прикача снимки от него . Според лекаря съм имала късна овулация и съм още в самото начало на бременноста . Видя се правилно закрепено плодно сакче , с големина 4мм ( около 5 и 6 г.с), но без ембрион , защото е още много рано . След 2 седмици пак съм на преглед . Притеснява ме големината на плодния сак , не е ли малък ?
И аз бях по същия начин и даже при същата лекарка , след 2 седмици се видя и ембриона.Вече съм към края на бременността🙂

Ще чакам да минат тези дълги две седмици и да има добри новини . На вас , лек финал 😊

# 199
  • Мнения: 4
Здравейте момичета!
Моля за помощ за разчитането и на моята снимка.
В 4г.с съм, гестационният сак е 10 мм. и се визуализира и жълтъчно мехурче. Казаха ми да дойда след около 2 седмици, за да чуем и сърдечния ритъм.
Предупредиха ме, че може да имам евентуално кървене, но да не се притеснявам.
Ще се радвам да чуя и второ мнение и не разбирам кое точно е жълтъчното мехурче и каква е тази малка черна точка в ляво - това ли е мехурчето? Благодаря!

Последна редакция: ср, 01 ное 2023, 20:52 от leksa025

# 200
  • Мнения: 2 280
Аз имах киста на жълтото тяло когато забременях ...не знам така ли е изглеждала,но не ми създава проблеми ..след 12 г.с когато вече се образува плацентата кистата изчезна сама

# 201
  • Мнения: 56
Здравейте, това е ехографа след прегледа ми днес. Понеже съм с нередовен цикъл и не знам точно кога съм забременяла. Според мен трябва да съм около 5-6 г.с, но според ехографа преди две седмици бях в 5г.с а днес в 7г.с. Гледаха ме с коремен ехограф, но според доктора за седмиците който излизат на ехографа все още няма ембрион и ме викна отново другата седмица в четвъртък. Според вас има ли нещо притеснително?


Това са снимките от двата ехографа и двата са коремни, в нашия грах нямаме вгинални.

# 202
  • Мнения: 2 280
При мен до 10 седмица,че и малко повече с коремен нищо не се виждаше,защото се оказа,че съм с обърната матка...с вагинален всичко се видя...друг съвет е да отидеш на следващия преглед с пълен пикочен мехур...така има много по добра видимост в началото

# 203
  • София
  • Мнения: 4 243
Не е ясно за пикочния. Мен са ме карали да ходя да пишкам точно защото не виждат добре в началото при пълен мехур.

А как така няма вагинален, то е един и същи уред с различни приставки и се сменят само настройките на екрана? Иначе при мен с коремен се виждаше много добре в 8гс (различаваха се главичка, ръчички, крачета). Отиди си и другата седмица. Щом си с нередовен цикъл може да е нужно още време да се види нещо, иначе в 7гс вече и пулс спокойно се чува освен визуализирането на ембриончето.

# 204
  • Мнения: 32
Здравейте. Вчера бях на преглед закъсняваше ми 13 дни нито правих някакви тестове. Вече имам спонтанен аборт миналата година и кюртаж
както и биохимична бременност.
Оказа се че съм бременна последната ми менструация беше 20.10 не знам какво да очаквам пак…опитвам се да съм спокойна а се и стряскам и плаша от най малкото.
Трябва да съм в 6-та гестационна седмица
6,22мм

# 205
  • Мнения: 2 280
Както се вижда има ембрион има и пулс...честито и ти пожелавам успех до финала...изследвай си прогестерона за всеки случай да видиш да не е нисък и ако не си е хубаво да направиш едно изследване за тромбофилия...

# 206
  • Мнения: 32
Както се вижда има ембрион има и пулс...честито и ти пожелавам успех до финала...изследвай си прогестерона за всеки случай да видиш да не е нисък и ако не си е хубаво да направиш едно изследване за тромбофилия...

Благодаря дано всичко да е наред този път.
Имам нисък прогестерон преди няколко месеца си направих изследване сега пия дуфастон а за тромбофилия не знам.

# 207
  • Мнения: 2 280
Както се вижда има ембрион има и пулс...честито и ти пожелавам успех до финала...изследвай си прогестерона за всеки случай да видиш да не е нисък и ако не си е хубаво да направиш едно изследване за тромбофилия...

Благодаря дано всичко да е наред този път.
Имам нисък прогестерон преди няколко месеца си направих изследване сега пия дуфастон а за тромбофилия не знам.
Хубаво е да се изследва щом имаш и загуби...в лаборатория лина има пакет с доста от мутацийте...казва се пакет тромбоза разширен...ако имаш мутаций хематолог преценя дали трябва да се включи нещо против съсирване на кръвта...

# 208
  • Мнения: 78
Здравейте, какво мислите? Всичко наред ли е, защото след прегледа ме прати на биохимичен скрининг и се притеснявам 😓 Благодаря за отговорите предварително ❤

# 209
  • Мнения: 4 924
Какво точно ви притеснява? Биохимичният скрининг е стандартен тест да за всички бременни.
Тук гинеколози няма, няма как да коментираме снимките Ви.

Общи условия

Активация на акаунт