Разчитане на снимка от ехограф

  • 83 629
  • 519
  •   1
Отговори
# 465
  • Мнения: 134
В понеделник в 5 г с + 6 дни бях отново на преглед. Вече не се вижда отлепване. Има жълтъчно мехурче, но няма сърдечна дейност. Забелязвам сянка между мехурчето и стената на сака. Това ли евентуално трябва да е ембриончето?

Рано е да се види ембрионче и сърдечна дейност, отидете отново около 7 г.с, тогава вече трябва да се види.
при мен 8 г с и 3 дни се чу сърдечна дейност

# 466
  • Мнения: 10 181
По принцип при мен в 5+4 се дочу някаква сърдечна дейност, но тогава е много рано да се каже със сигурност. След 7-ма ще чуете. Възможно е дори и след 8 г.с. Важното сега е, че нямате отлепяне. Всичко ще е наред ❤

# 467
  • Мнения: 32
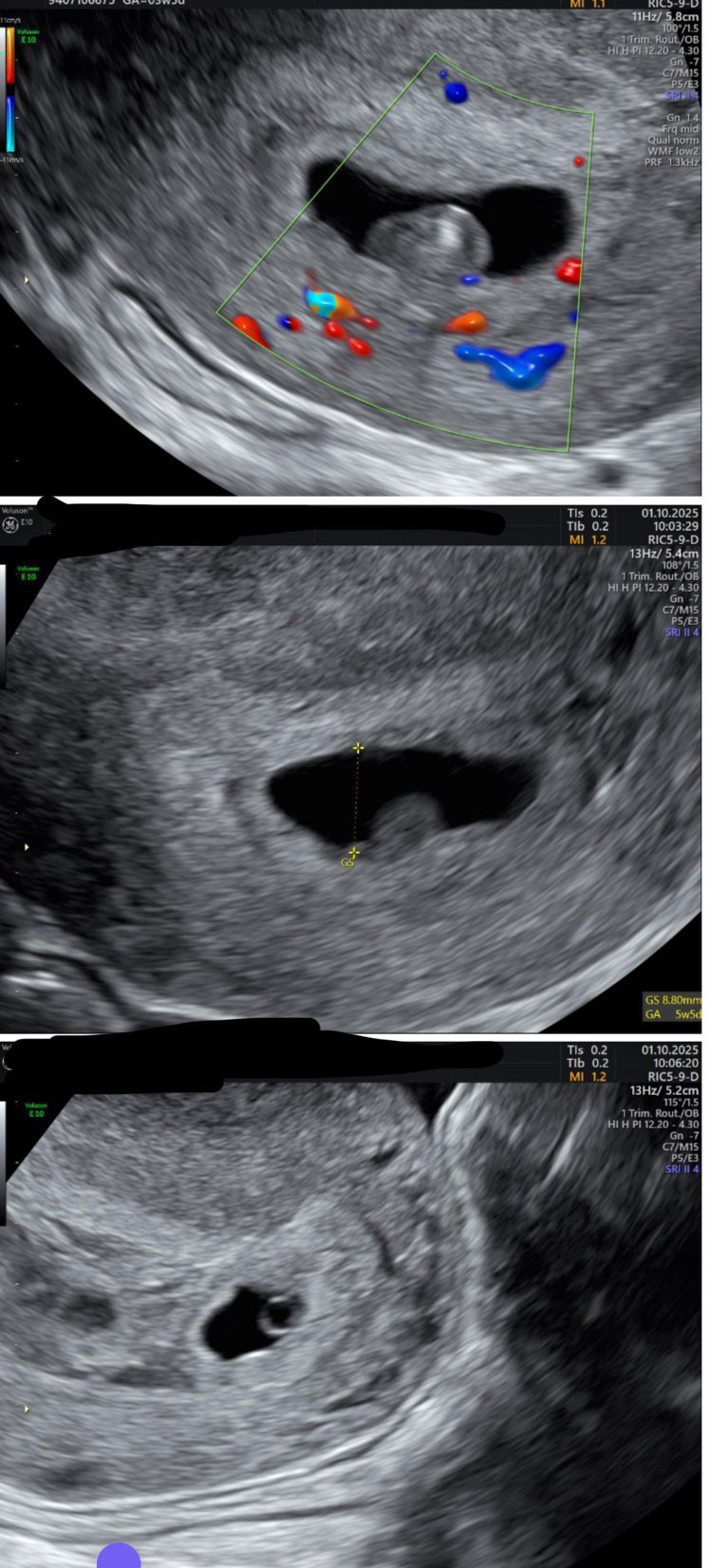
Здравейте! Днес бях на преглед и според последния цикъл съм в 5гс +4. Бихме ли ми казали дали е нормално да не се види самият плод. Това е снимката, с която се сдобих, а според лекарят отбелязаното е плоден сак. Вика ме след 2 седмици отново.

# 468
  • Мнения: 690
Здравейте! Днес бях на преглед и според последния цикъл съм в 5гс +4. Бихме ли ми казали дали е нормално да не се види самият плод. Това е снимката, с която се сдобих, а според лекарят отбелязаното е плоден сак. Вика ме след 2 седмици отново.
Да, много е рано да се види ембрионче, на този етап само сакче и жълтъчно мехурче се вижда.

# 469
  • Мнения: 1 417
Зависи кога е била овулацията. Съвсем спокойно може да е рано да се види сак, а ембрион се вижда чак към 7ма седмица. Ако сте изследвали ЧХГ, едва при стойност над 1000 може да се види сак.
По самата снимка не мога да се изкажа.

# 470
  • Мнения: 32
Овулация всъщност е леко късна - на 19.08. А той е сигурен, че това е сакът. А също и на 02.09 (тоест преди седмица) ЧХГ беше едва 200. Поради това изчакахме да ме види на ехограф днес, за да се покачи.

# 471
  • Мнения: 1 417
Вероятно се е покачило достатъчно ЧХГ тогава, за да се види сак. Моят изглеждаше различно, но сигурно е до апаратура.
Иначе ембрион няма как още на този етап, така че ако докторът твърди, че всичко е ОК, значи е.

# 472
  • Мнения: 32
Докторът не е многословен за жалост. Каза “да, бременна си, има сак. Записваме час, за да видим плод и ритъм след две седмици”. Силно се надявам да е наред. Благодаря за отговора!

# 473
  • Мнения: 690
Докторът не е многословен за жалост. Каза “да, бременна си, има сак. Записваме час, за да видим плод и ритъм след две седмици”. Силно се надявам да е наред. Благодаря за отговора!
Може да пуснеш ЧХГ през 48 часа да видиш дали се удвоява правилно.

# 474
  • Мнения: 1 263
Достатъчно многословен е бил, вижда се сак. Плод още няма, защото е много рано за да се е формирал. След две-три седмици като се формира ще отидете да го видите. Няма нужда от други изследвания. Лека бременност!

# 475
  • Мнения: 28

Здравейте, момичета. Казусът е малко сложен, утре трябва да пускам второ чхг. Касае се за забременяване веднага след медикаментозен аборт. По изчисления на АГ трябва да е някъде 7 г.с. , но отговаря по-скоро на 4-5 г.с. Съмняваше се да не е извънматочна бременност и на листа от прегледа пише "суспекция за гестационен сак". ЧХГ е 2247.43 mIU/ml. Според вас това гестационен сак ли или нещо друго?

# 476
  • Мнения: 97
Здравейте! Днес бях на преглед (5+5 според дата на трансфер или 5+1 според ПМЦ). След трансфер съм на два 5-дневни ембриона. На ехографа се видя, че двата ембриона имат 3 дена разминаване спрямо размерите, но повече ме притеснява как изглежда по-големият ембрион.
Лекарката не беше много сигурна на какво ѝ прилича, но предположи вариант - хематом, който скрива жълтъчно мехурче и ембриона и всичко изглежда като една маса. Пусна доплера и се видя, че има активен кръвоток към сака и че според нея има ембрион.
Последната снимка е на второто ембрионче, което е по-малко, но изглежда с правилни размери.
Някоя в подобна ситуация да в била? Всякакви мнения ще са ми полезни.

# 477
  • Мнения: 1 738
Да ви кажа на мен първия " ембрион" ми изглежда по-зле от втория. На втория поне се вижда жълтъчно мехурче и сака е с нормална форма. Първия сак е сплеснат и това....не мисля, че е ембрион, няма как в 5+1 да видите ембрион. По-скоро е много голямо жълтъчно мехурче, но това е лош знак. Обикновено е свързано с хромозомна аномалия, възможно е тялото да го абсорбира и просто да не се развие, а другия ембрион да си е здрав.. Случва се често при двуплодна бременност. Отидете на доктор, който си разбира от работата, какво значи това, че не знаела какво е. Ако ние тук във форума знаем повече от нея, явно не я бива за АГ. Хематома е съвсем друго, той се вижда като черна маса близо до сака, може да е малък, може да е голям. Освен това е свързан с кървене. Г.с се броят спрямо вашата ПРМ, т.е. сте в 5+1, а в толкова ранна седмица се вижда само плоден сак и жълтъчно мехурче. Изчакайте една седмица и отидете на пулс, но при друг лекар.

# 478
  • Мнения: 97
Много благодаря за мнението! Последните дни ги прекарах в ровене на информация и според мен първият не изглежда ОК и не мисля, че ще се развие. Надявам се второто да успее, въпреки че изостава с няколко дни.
Запазила съм си час при друг лекар след седмица и дано имам добри новини.

# 479
  • Мнения: 51
Здравейте, момичета! Имам нужда от вашата помощ. Днес бях на преглед за потвърждение на бременност, потвърдена е... Но доктора беше изключително груб, не ме гледа вагинално, само коремно, не ми каза в коя седмица съм. Каза че не вижда ембрион, а на мен сякаш ми се вижда. Последния цикъл ми беше на 28 август. Моля, дайте вашето мнение относно седмиците и снимката.

Общи условия

Активация на акаунт