Разчитане на рентген

  • 3 386
  • 31
  •   1
Отговори
  • Мнения: 32
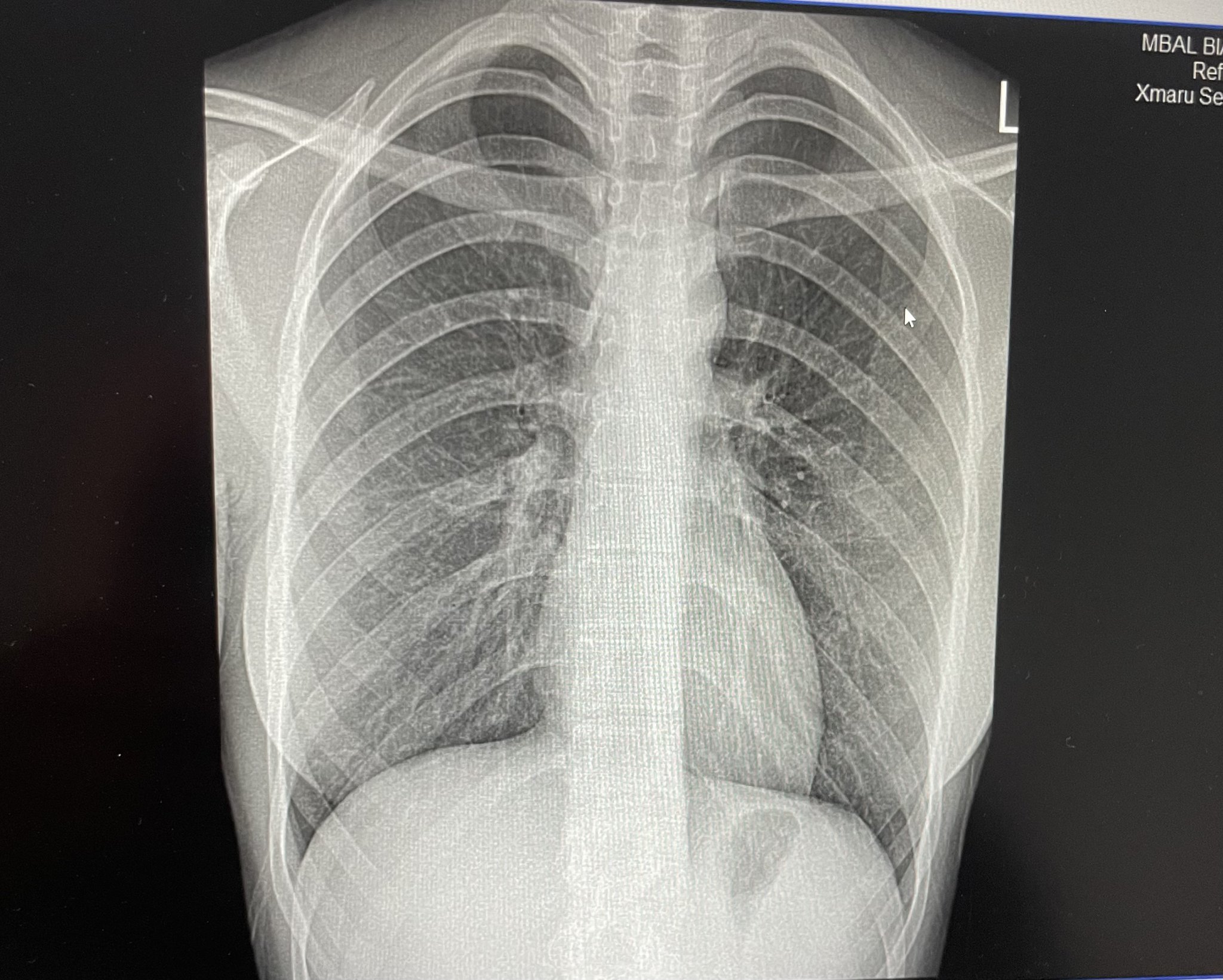
Здравейте, много ви моля без нападки и подобни неща. Достатъчно съм уплашена. На 16.05.24 ми правиха рентгенография на гръден кош и бял дроб, отидох на лекар с оплакванията: нямам достатъчно въздух, задъхвам се при всяко движение. Изпратиха ме на снимка, отидох, но няма кой да я разчете, казаха ми чак в понеделник, но не мога да чакам до тогава, не знам какво да правя, страх ме е.. моля ако някой разбира да си каже мнението.

# 1
  • Мнения: 1 364
Здравейте, много ви моля без нападки и подобни неща. Достатъчно съм уплашена. На 16.05.24 ми правиха рентгенография на гръден кош и бял дроб, отидох на лекар с оплакванията: нямам достатъчно въздух, задъхвам се при всяко движение. Изпратиха ме на снимка, отидох, но няма кой да я разчете, казаха ми чак в понеделник, но не мога да чакам до тогава, не знам какво да правя, страх ме е.. моля ако някой разбира да си каже мнението.
Нищо не разбирам но на мене ми изглежда добре. По принцип се гледа да е хомогенна снимката. Да няма сенки. Не се притеснявай. Не се вижда много добре. Няма ли някаква констатация на ретгенолога?

# 2
  • Мнения: 32
Здравейте, много ви моля без нападки и подобни неща. Достатъчно съм уплашена. На 16.05.24 ми правиха рентгенография на гръден кош и бял дроб, отидох на лекар с оплакванията: нямам достатъчно въздух, задъхвам се при всяко движение. Изпратиха ме на снимка, отидох, но няма кой да я разчете, казаха ми чак в понеделник, но не мога да чакам до тогава, не знам какво да правя, страх ме е.. моля ако някой разбира да си каже мнението.
Нищо не разбирам но на мене ми изглежда добре. По принцип се гледа да е хомогенна снимката. Да няма сенки. Не се притеснявай. Не се вижда много добре. Няма ли някаква констатация на ретгенолога?
Никой нищо не ми каза, дадоха ми само диска и това е. А ако не е проблема там. Защо не мога да дишам, защо се задъхвам? Не разбирам..

# 3
  • Мнения: X
https://,не съм доктор,но съм изяла доста рентгенови снимки в живота си . Снимката е чиста ,ако се притесняваш че има нещо страшно .По вероятно да става дума за задушаване от алергия,която се проявява лятото от разцъфтяването на дърветата,цветя .

# 4
  • Мнения: 32
https://,не съм доктор,но съм изяла доста рентгенови снимки в живота си . Снимката е чиста ,ако се притесняваш че има нещо страшно .По вероятно да става дума за задушаване от алергия,която се проявява лятото от разцъфтяването на дърветата,цветя .
Благодаря Ви, но аз все още се притеснявам и най- вече защото имам болка в гърдите…

# 5
  • Мнения: X
https://,не съм доктор,но съм изяла доста рентгенови снимки в живота си . Снимката е чиста ,ако се притесняваш че има нещо страшно .По вероятно да става дума за задушаване от алергия,която се проявява лятото от разцъфтяването на дърветата,цветя .
Благодаря Ви, но аз все още се притеснявам и най- вече защото имам болка в гърдите…
Пристъп ,алергичен пристъп .Намери си от някъде сироп Вентолин ,ще те отпусне

# 6
  • Мнения: 2 272
Задух може да има от много неща...може и от проблем със сърцето...не искам да те плаша...а може и от нерви...казвам го от личен опит,като човек който имаше...надявам се да си остане в минало време ужасно паническо разтройство....такъв задух,болки в гърдите и невъзможност да дишам имах,че си мислих че ще умра ..дишах като риба на сухо....

# 7
  • Мнения: X
Задух може да има от много неща...може и от проблем със сърцето...не искам да те плаша...а може и от нерви...казвам го от личен опит,като човек който имаше...надявам се да си остане в минало време ужасно паническо разтройство....такъв задух,болки в гърдите и невъзможност да дишам имах,че си мислих че ще умра ..дишах като риба на сухо....
Включително и паник атаки,но снимката е Ок

# 8
  • Мнения: 32
Задух може да има от много неща...може и от проблем със сърцето...не искам да те плаша...а може и от нерви...казвам го от личен опит,като човек който имаше...надявам се да си остане в минало време ужасно паническо разтройство....такъв задух,болки в гърдите и невъзможност да дишам имах,че си мислих че ще умра ..дишах като риба на сухо....
Днес се чувствам по-добре, имам кашлица, болката продължава и сега е точно между гърдите все едно съм се ударила така боли и също ме боли и гърба. Благодаря ви, за отговорите. Успокоихте ме поне, че на снимката всичко е добре. В понеделник ще отида на лекар отново.

# 9
  • Мнения: 972
Не съм лекар, но дали не сте си докарали костохондрит от кашлицата, а самата кашлица да е от алергия или астма? Той също може да е причина за болка в гърдите.

Тази пролет много хора се оплакват от силно обостряне на алергиите, които имат (и аз в това число, майка ми също).

# 10
  • Мнения: 32
Не съм лекар, но дали не сте си докарали костохондрит от кашлицата, а самата кашлица да е от алергия или астма? Той също може да е причина за болка в гърдите.

Тази пролет много хора се оплакват от силно обостряне на алергиите, които имат (и аз в това число, майка ми също).
Нямам представа наистина, но днес се направих студен компрес на гърдите и значително намали болката.
Все още в главата са ми всякакви неща, и задуха също още го има, надявам се да не е нещо лошо не знам и аз вече….

# 11
  • Мнения: 2 437
Диагнозата е бронхит - усилен белодробен рисунък има.

# 12
  • Мнения: 32
Диагнозата е бронхит - усилен белодробен рисунък има.
Здравейте, благодаря Ви за отговора, но наистина ли? Много съм изплашена.

# 13
  • Мнения: 1 364
Бронхит се лекува. От какво во е страх?
Диагнозата е бронхит - усилен белодробен рисунък има.
Здравейте, благодаря Ви за отговора, но наистина ли? Много съм изплашена.

# 14
  • Мнения: 32
Бронхит се лекува. От какво во е страх?
Диагнозата е бронхит - усилен белодробен рисунък има.
Здравейте, благодаря Ви за отговора, но наистина ли? Много съм изплашена.
Страх ме е от това, че не знам какво ми е. Цяла нощ не съм спала от кашлица, не знам какво да правя.

Общи условия

Активация на акаунт