Разчитане на снимка на бял дроб

  • 354
  • 4
  •   1
Отговори
  • Мнения: 32
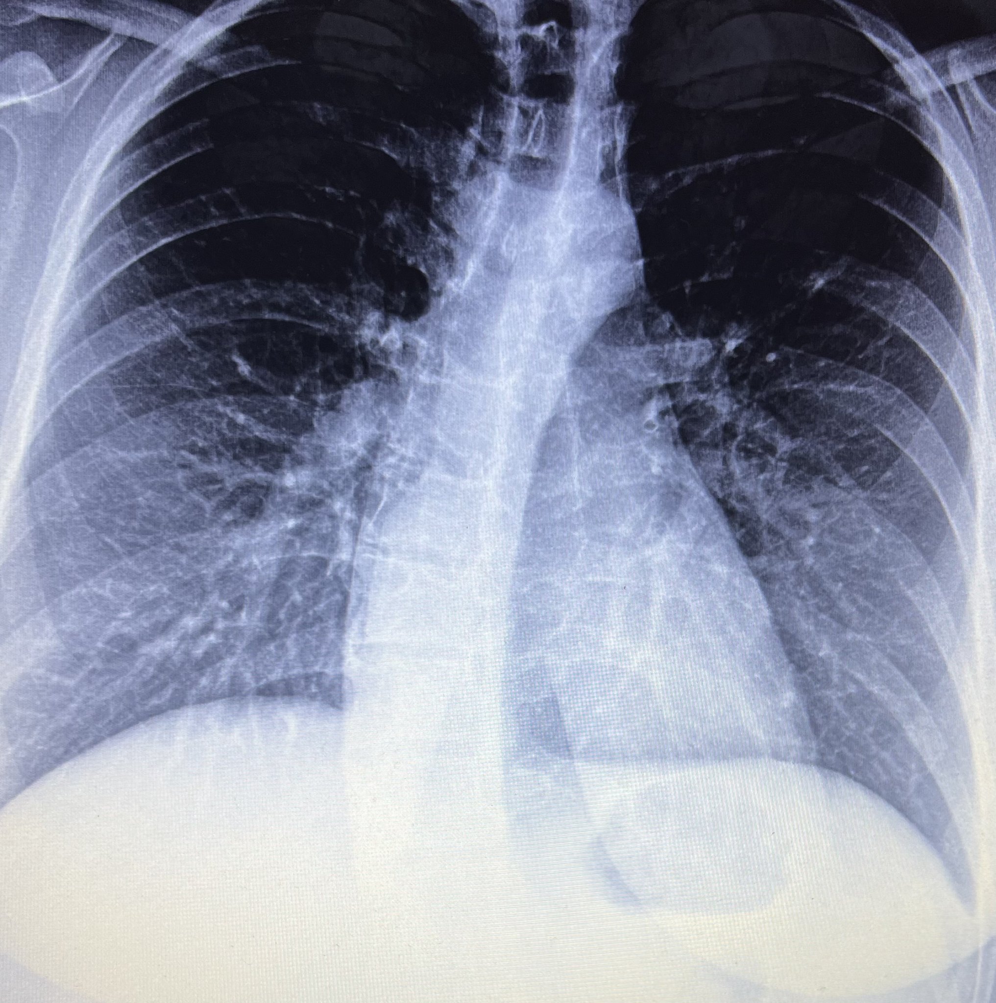
Здравейте,
От 3 месеца съм с кашлица. Излезе ми снимката на белия дроб днес но лекарката е на смяна чак в Понеделник. Моля ако някой има идея да даде мнение. Рентгенолога е написал слабо усилен белодробен рисунък базално.всички изследвания са ми ок. Само леко завишени моноцити имам.

# 1
  • Мнения: 1 761
Пусни я през chatGpT много подробни разчетки прави

# 2
  • Мнения: 2 468
Здравейте,
От 3 месеца съм с кашлица. Излезе ми снимката на белия дроб днес но лекарката е на смяна чак в Понеделник. Моля ако някой има идея да даде мнение. Рентгенолога е написал слабо усилен белодробен рисунък базално.всички изследвания са ми ок. Само леко завишени моноцити имам.


Освен възпаление на белия дроб имате и много тежко изкривяване на гръбначния стълб. Много изразено. Вземете някакви мерки, ще ви прави много проблеми във времето.

# 3
  • Мнения: 32
Здравейте,
От 3 месеца съм с кашлица. Излезе ми снимката на белия дроб днес но лекарката е на смяна чак в Понеделник. Моля ако някой има идея да даде мнение. Рентгенолога е написал слабо усилен белодробен рисунък базално.всички изследвания са ми ок. Само леко завишени моноцити имам.


Освен възпаление на белия дроб имате и много тежко изкривяване на гръбначния стълб. Много изразено. Вземете някакви мерки, ще ви прави много проблеми във времето.

Да така е. Просто се чудех да белия дроб да не е нещо по-сериозно предвид тази продължителна кашлица и перфектни изследвания….

# 4
  • Мнения: 2 468
Или недолекувано или обострено хронично възпаление. Трябва да се лекува, за да се изчисти напълно.

Общи условия

Активация на акаунт