"Бременна ли съм?" - тема за бързи въпроси и отговори №67

  • 26 304
  • 737
  •   1
Отговори
# 45
  • Мнения: 221
Изглежда положителен Blush направете още един утре с първа сутрешна. Успех Hug

# 46
  • Мнения: 11
Изглежда положителен Blush направете още един утре с първа сутрешна. Успех Hug
Абсолютно отрицателен е тазсутрешния!

# 47
  • Мнения: 221
Следва със сутрешната урина да е по-наситен и ясен резултатът. В случая явно няма бременност, но не пречи да направите още един тест след няколко дни, ако не се появи цикълът.

# 48
  • Мнения: 456
Престо така и не успяха да си оптимизират процеса за адекватно отчитане на бременност с уринарните тестове. ЧХГ= 300iU/L, а по-горе е на лейди тест, докато престо все още е отрицателен. Апелирам да не се използва, даде ми грешна посока, като мислейки, че не съм бременна щях да се докарам до аборт или поставя в рискова ситуация.

# 49
  • Мнения: 43
Здравейте! След закъснение съм, но ми е трудно да определя колко дни, тъй като ми идва на 25 или 27 дни, днес е 30-ти. Има твърде бледа черта, която според мен не би следвало да е толкова бледа на дните закъснения, дали виждате изобщо такава или аз си я фантазирам?

# 50
  • Мнения: 1 079
Вижда се, и то много ясно. Пуснете си кръвен, за да потвърдите резултата. Успех!

# 51
  • Sofia
  • Мнения: 1 067
Здравейте! След закъснение съм, но ми е трудно да определя колко дни, тъй като ми идва на 25 или 27 дни, днес е 30-ти. Има твърде бледа черта, която според мен не би следвало да е толкова бледа на дните закъснения, дали виждате изобщо такава или аз си я фантазирам?


Направо си е положителен. Успех!

# 52
  • Бургас
  • Мнения: 424
Здравейте! След закъснение съм, но ми е трудно да определя колко дни, тъй като ми идва на 25 или 27 дни, днес е 30-ти. Има твърде бледа черта, която според мен не би следвало да е толкова бледа на дните закъснения, дали виждате изобщо такава или аз си я фантазирам?



С моята такава, дори и по- бледа (в началото) чертичка съм вече в 3 месец 😊

# 53
  • Мнения: 178
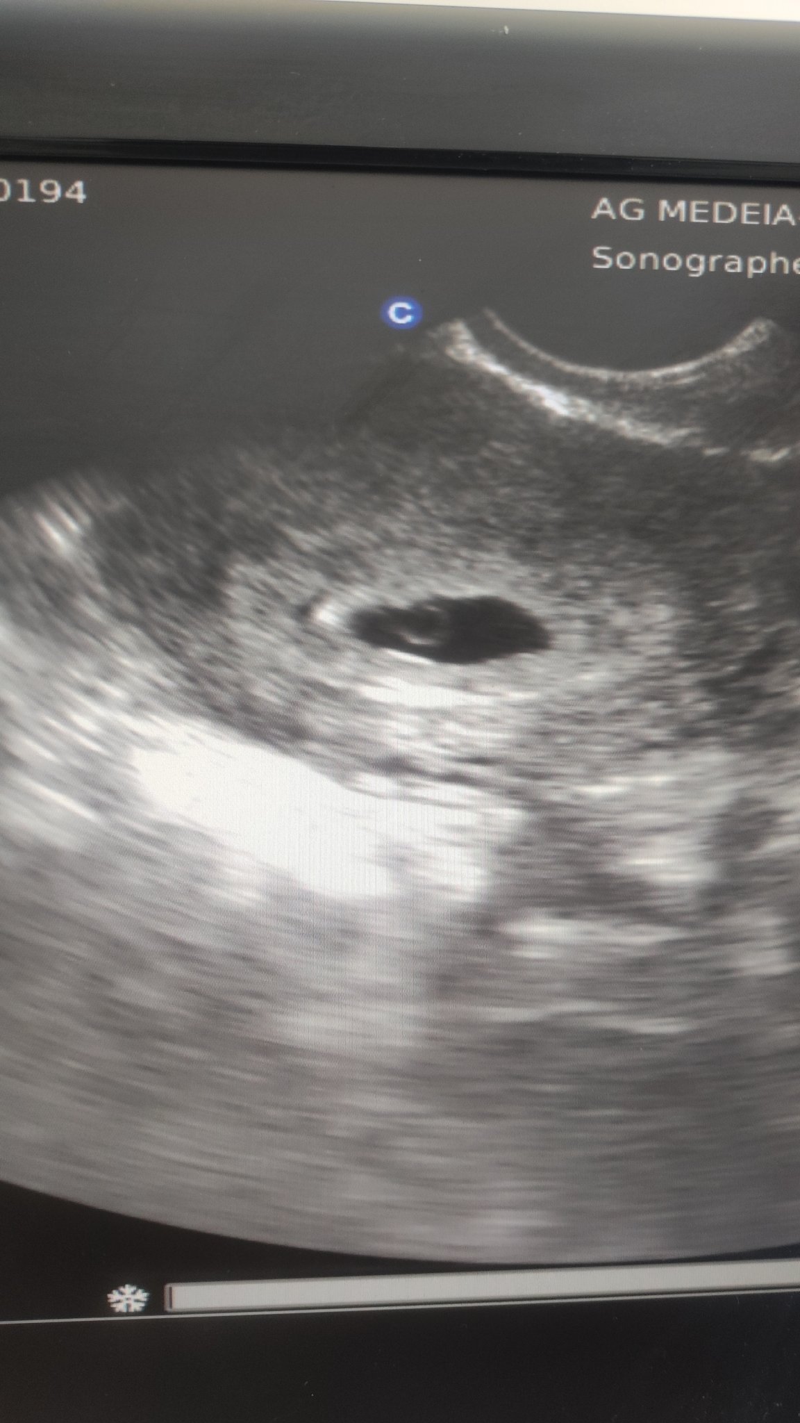
Здравейте , днес ми беше прегледа при АГ. Видя се само плоден сак и жълтъчно мехурче , ембрион не се видя. Според мои изчисления съм в 5 г.с. и 4 дни , а според ехографа сака отговаря на 6г.с. и 5 дни... Според вас нормално ли е това и защо не се вижда още ембрионче😞

Последна редакция: чт, 12 юни 2025, 13:09 от Iliyanaah

# 54
  • Мнения: 456
Когато бластоцита попадне в матката започва да се излюпва (hatching), ако е по-дебела обвивката (zona pellucida) хетчингът може да продължи от 12-24 часа. След което започва имплантацията: ранна от 6 ден, при повечето жени 8-10 ден и късна 10-12 ден. Тя може да трае от 2-3 дни. Вие няма как да предвидите в какъв диапазон от време са се случили тези събития, ако ембриона се развива бързо - една седмица изпреварване отговаря на развитието, а не толкова на времето. А на въпроса, защо не се  вижда ембрионче само лекаря може да Ви отговори и зависи от чхг. Жълтъчен сак =1000-2000чхг. Ембрион чхг= 5000-6000. Всички тези данни се отнасят до трансвагинален ехограф, при коремен обикновено се вижда 1 седмица по-късно.

Здравейте , днес ми беше прегледа при АГ. Видя се само плоден сак и жълтъчно мехурче , ембрион не се видя. Според мои изчисления съм в 5 г.с. и 4 дни , а според ехографа сака отговаря на 6г.с. и 5 дни... Според вас нормално ли е това и защо не се вижда още ембрионче😞

Последна редакция: чт, 12 юни 2025, 15:27 от Alfafa

# 55
  • Мнения: 1 079
При някои се вижда на по-късен етап, може би трябва да се изчака 1 седмица и пак да се види на прегледа, дали има или не ембрионче. Дано има!

# 56
  • Мнения: 221
Илияна, за този срок на бременността сте видели достатъчно Blush има сакче и то където трябва. Когато отидете на следващия преглед, съветвам ви след десетина дни, ще се види ембриончето, а може би дори и сърдечна дейност (но не откачайте, ако още няма такава). Всяко нещо по реда си. Засега имате една съвсем нормално развиваща се бременност. Радвайте се Hug

# 57
  • София
  • Мнения: 9 381
Тук общо взето всеки споделя личен опит.
Но това което пише Alfafa е доста голямо изключение от правилата, така че по-скоро е добре да се довериш на тях. Уринарен тест сутрин и кръвен не по-рано от 10 ден след доказана овулация, не полов акт.

# 58
  • Мнения: 456
Разбирам, че форумът разчита на свободен обмен на личен опит, но когато се коментират медицински въпроси, е особено важно твърденията да се основават на достоверна и научно проверена информация. Моето мнение не е просто лично – подкрепено е с медицински източници, образование и практически опит.

Учудващо е, че се санкционира коментар, в който не е имало лична нападка, а предупреждение за възможно подвеждане на други участници. Това не е конфликт – това е отстояване на отговорност, когато се обсъждат здравни теми.

Разбира се, всеки има право да споделя опит. Но когато става въпрос за интерпретация на медицински тестове и време за диагностика, трябва да се подхожда внимателно. Неправилно поднесена информация може да създаде ненужно напрежение или да доведе до грешни решения.

Тук общо взето всеки споделя личен опит.
Но това което пише Alfafa е доста голямо изключение от правилата, така че по-скоро е добре да се довериш на тях. Уринарен тест сутрин и кръвен не по-рано от 10 ден след доказана овулация, не полов акт.

# 59
  • Sofia
  • Мнения: 1 067
Не разбирам какво е това заяждане. Фактите сочат, че има някакъв много блед положителен тест и на следващата сутрин, повторният е отрицателен според потребителката. Тук е важно да се отчете дали тестовете са на една и съща марка. Никой не може да й каже дали е бременна или не докато не пусне кръвен или не направи тест на по-късен етап. Ако е имало положителен и в крайна сметка след това повторният е отрицателен опциите са 2: Или първият тест е дал грешен резултат или се е случила биохимична.

Последна редакция: чт, 12 юни 2025, 22:15 от Rouina91

Общи условия

Активация на акаунт