Бременност, бременни - бързи въпроси и отговори - тема 93

  • 18 974
  • 556
  •   8
Отговори
# 525
  • Мнения: 307
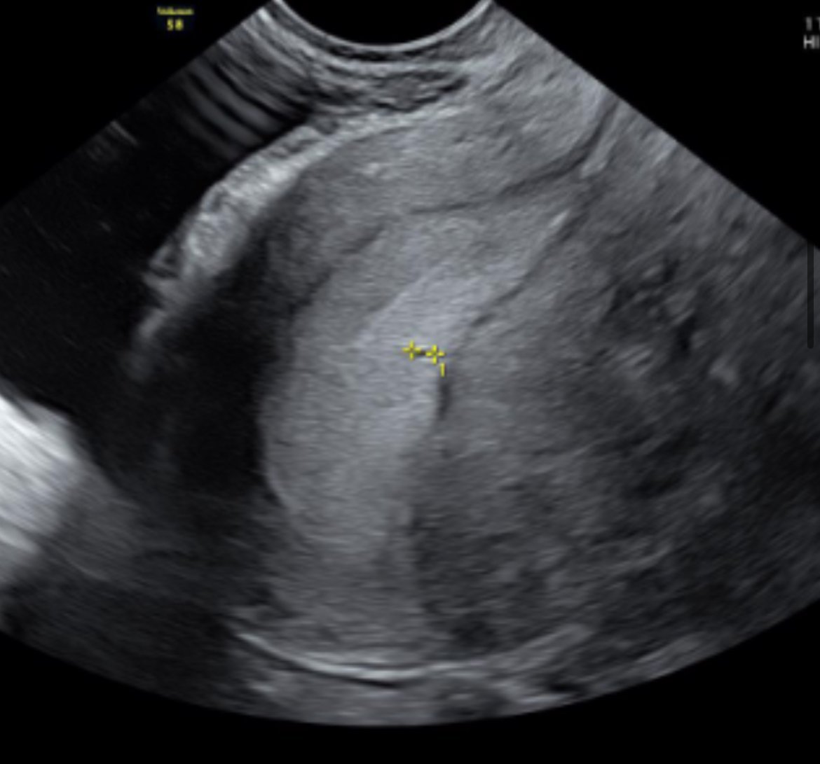
А каза ли Ви да пуснете ЧХГ два пъти през 48ч., за да се види най-сигурно? Не казвам, че тестовете са грешни, но на много АГ им е практика да пращат и на ЧХГ.

Иначе прикачвам и моята снимка от миналата година в 4г.с.+4, когато се видя точица.

Може би не се вижда много добре, но има бяло около нея. Тогава доктора ми го изтъкна това и каза, че ако наистина съм бременна това трябва да е околоплодното сакче.

# 526
  • Мнения: 2
А каза ли Ви да пуснете ЧХГ два пъти през 48ч., за да се види най-сигурно? Не казвам, че тестовете са грешни, но на много АГ им е практика да пращат и на ЧХГ.

Иначе прикачвам и моята снимка от миналата година в 4г.с.+4, когато се видя точица.

Може би не се вижда много добре, но има бяло около нея. Тогава доктора ми го изтъкна това и каза, че ако наистина съм бременна това трябва да е околоплодното сакче.

Единственото, което ми каза е да отида отново в понеделник при него.Сега преди малко отново отидох до тоалетна и пак имаше кафява кръв не знам на какво се дължи…имам чувството че е от вагиналния ехограф.

# 527
  • Мнения: 182
А каза ли Ви да пуснете ЧХГ два пъти през 48ч., за да се види най-сигурно? Не казвам, че тестовете са грешни, но на много АГ им е практика да пращат и на ЧХГ.

Иначе прикачвам и моята снимка от миналата година в 4г.с.+4, когато се видя точица.

Може би не се вижда много добре, но има бяло около нея. Тогава доктора ми го изтъкна това и каза, че ако наистина съм бременна това трябва да е околоплодното сакче.

Единственото, което ми каза е да отида отново в понеделник при него.Сега преди малко отново отидох до тоалетна и пак имаше кафява кръв не знам на какво се дължи…имам чувството че е от вагиналния ехограф.
Може да ви е нисък прогестерона, обикновено от това има зацапване.

# 528
  • Мнения: 822
Пуснете кръвни ЧХГ и прогестерон, за да ги покажете на прегледа в понеделник и при нужда да ви добавят прогестерон.

# 529
  • Мнения: 307
Аз не разбирам хормоните как са свързани със зацапването така че не мога да кажа. Помня само че моя приятелка точно когато забременя имаше зацапване, което било в следствие на оплождането. Престана от самосебе си. Може при Вас да е същото, може и нещо различно. Пуснете си ЧХГ задължително.

# 530
  • Мнения: 1 558
При нисък прогестерон може да се получи отлепване на сакчето и от там кървене/зацапване. Затова е хубаво да се следят нивата му в начална бременност и при нужда да се приема добавка.

# 531
  • Мнения: 822
Може да е имплантационно, може да е и нисък прогестерон, който е важен за задържане на бременност. Затова е хубаво да го има изследването, за да може навреме да се включи при нужда.

# 532
  • Мнения: 731
Тъй като миналата година моята бременност вървя със съща дата -1ден на последен цикъл и точно по това време видяхме сакче с ембрион и след няколко часа бях и с кървене, и зацапване точно от нисък прогестерон, който доведе до отлепване на сака.
Най-добре е да се чусне ЧХГ за потвърждение, че има бременност, а с него и прогестерон, защото при ниски нива може да има нужда се изпише допълнителен.

# 533
  • Мнения: 44
Хора във 37г.с  имам някакво усещане ,когато се движа и дори и да седя права от време на време усещам болка като ръчкане във областа на влагалището и преди съм имала но 1 боцкане а сега вече от около 10 15 мин е постоянна болка която при движение се усеща още повече  и другото което е от днес когато се забърша след тоалетна по малка нужда имам нещо  слузето  и  разтегливо  по хартията това тапата ли е ???

# 534
  • Мнения: 5
Здравейте, момичета! Вече съм на 33г.с. Споделявам с вас резултатите ми от кръв и урина. Оказа, че съм имала кръв в урината, а в предишните ми изследвания бяха с отлични резултати. Исках да видя и вашето мнение относно сегашните ми резултати.

# 535
  • Мнения: 257
В начална бременност имате ли засилено течение.
Нямам по бельото нищо , но като се погледна на огледано винаги има секрет вътре около 1 мл. При всеки ли е така

# 536
  • Мнения: 88
Ако има вече родили дами, може ли да ми кажете кога ви падна тапата? Вече съм в 39+5 г.с. и все още не е падала тапата ми, а пробвах всичко що прочетох в интернет за предизвикване на раждането.

# 537
  • Мнения: 222
Тапата може да падне и много преди раждане, и в хода на раждането, това не е определящо. На мен ми падна в петък сутринта, в събота имах малко кръв - the bloody show. В неделя малко преди полунощ ми изтекоха водите с 1-2 см разкритие без контракции и в понеделник около обяд родих без окситоцин. Опитай със секс, но трябва да получиш оргазъм, за да контрахира матката. Тапата ми падна точно след като предната вечер се бяхме обичали с мъжа ми. 😉 Обаче не се изтощавай с твърде много разходки и стълби, че ще ти трябва сила за раждането. И гледай да не се стресираш, защото тръгването на раждането може да се забави, ако тялото ти “усеща”, че си в “опасност”. Успех! 💕

# 538
  • Мнения: 7 084
В 40+0 падна една част, в 40+1 започнаха контракции. Не е задължително да падне предварително. Може и в хода на раждането. Както и при паднала тапа може да отнеме няколко седмици, докато започне раждане. Не бих се вглеждала толкова.

# 539
  • Мнения: 731
Аз имах насрочено секцио за 39+5, а приемът ми беше за 39+4. Сутринта докато се оправях да тръгваме за болницата видях, че имам зацапване с доста парче разтеглива слуз. Като стигнахме до болницата докторът каза, че е започнало падане на тапата, прегледа ме и каза, че има започнало и разкритие. Контракции не усещах, но на тоновете се виждаха. До вечерта имах само слаби, а вечерта започнаха на половин час - секциото ми беше за рано сутринта, та изчаквахме. Към 4-5ч падна огромно парче, контракции имах на ок.10мин и допреди да ме вкарат в операционна бяха на под 5мин. Но пък съм чувала за доста жени, на които им пада и в 36/7г.с, но нямат разкритие и контракции и си доносват нормално, без падането на тапата да значи раждане до часове.

Последна редакция: сб, 11 окт 2025, 16:10 от genome

Общи условия

Активация на акаунт