Въпроси до зъболекарите от форума! - 3

  • 217 144
  • 3 583
  •   1
Отговори
# 690
  • Мнения: 1 369
Травмата най-вероятно е довела до това състояние.

Добра хигиена, редовна профилактика (клинични прегледи), като цяло това е. Защото все пак не само травми водят до хронични възпалителни процеси, а и усложнен кариес например.

Да, зъбът е мъртъв. Да, гранулом се наблюдава около корена на зъба.

# 691
  • Мнения: 6
Благодаря много, @Fiffy!

# 692
  • Бургас
  • Мнения: 1 771
Сложиха ми металокерамични коронки. Забелязвам, че са по-бели от зъбите ми.
Възможно ли е да ми ги потъмнят десетина дни след като са ми поставени?

# 693
  • Мнения: 1 369
Ябълкова, ако са вече циментирани постоянно - не, ако не са - има шанс. Казвам “има шанс”, защото, когато короните са били вече във функция една такава корекция може да доведе до напукване на керамиката (изпичат се в специална пещ), което принципно зъботехникът може да си коригира, просто му се отваря повече работа. Simple Smile

# 694
  • Бургас
  • Мнения: 1 771
Благодаря много! А нормално ли е като стисна зъби от дясната страна, да усещам нещо като мърдане на короните заедно с пънчетата отдолу, които са от лявата страна? Короните ми са 14 на брой и са слепени една за друга, цяла конструкция е.

# 695
  • Мнения: 1 369
Благодаря много! А нормално ли е като стисна зъби от дясната страна, да усещам нещо като мърдане на короните заедно с пънчетата отдолу, които са от лявата страна? Короните ми са 14 на брой и са слепени една за друга, цяла конструкция е.

Конструкцията с постоянен или временен цимент е залепена?

# 696
  • Бургас
  • Мнения: 1 771
С постоянен.

# 697
  • София
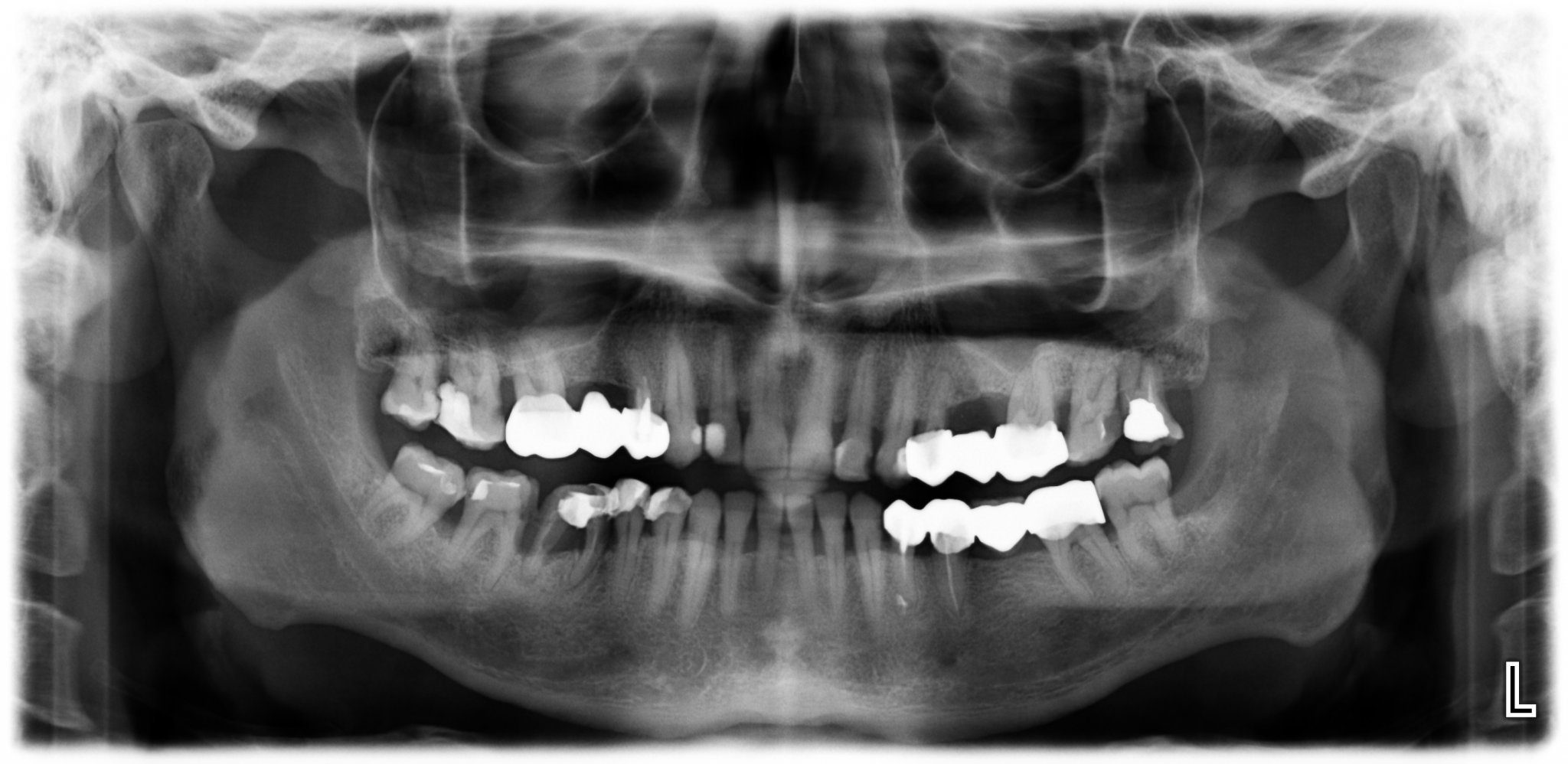
  • Мнения: 1 609
На снимката 6-ти долу вдясно е изваден. Ще се прави мост. Стоматологът ми се двоуми моста на 5-ти и 7-ми ли да стъпи или да включи и 4-ти.
Ще се радвам на компетентното ви мнение, за което Благодаря още от сега !

# 698
  • Мнения: 1 369
Ябълкова, в такъв случай това усещане може да е, ако конструкцията не е добре залепена или зъбите под нея са в много лошо състоянието, но това бих го изключила като факт, просто, защото се надяваме, че никой не би направил конструкция върху зъби без потенциал. Като казахте пънчета се сещам и за друга причина, ако са направени от материал за пломба с или без щифт може да са разлепени самите те.

buty, причините да иска да включи и 4ти зъб най-вероятно са, че е с доста голяма обтурация (пломба) и стопяването на костта около 6ти зъб. Не е лош вариант. Simple Smile

# 699
  • Бургас
  • Мнения: 1 771
Пънчетата са моите собствени изпилени зъби. Усещането ми е, че не ми е добре залепена конструкцията. Но допускам, че може и да е заради това, че не съм свикнала още, защото е поставена преди няколко дни. Късно ли ще е да ида при зъболекаря след 4-5 дни и да ми я свали и залепи отново?

# 700
  • Мнения: 1 369
Възможно е, аз изказвам само предположения. Отидете задължитлено на контролен преглед.

Иначе вече залепена конструкция доста трудно се сваля, да не кажа невъзможно без щети.

# 701
  • Бургас
  • Мнения: 1 771
Fiffi, сърдечно благодаря за отговорите! ❤️ Ще отида на преглед след няколко дни, просто сега няма как, тъй като съм в болница.
Но се сетих друго - от двете страни последните зъби от конструкцията са без пънчета отдолу - зъбите ми там са извадени преди години. Ами там май ще се събира храна Grin Или няма? Какво да правя? Да почиствам нещо там? Нормално ли е?

# 702
  • София
  • Мнения: 1 609
buty, причините да иска да включи и 4ти зъб най-вероятно са, че е с доста голяма обтурация (пломба) и стопяването на костта около 6ти зъб. Не е лош вариант. Simple Smile

Аргументите са, че от една страна пломбата на 4-тия е голяма, другото е, че моста ще е по-стабилен ако е и върху 4-тия. Странното е, че стоматолога иска аз да реша кой от двата варианта да се осъществи, а не той(тя).

# 703
  • Мнения: 77 184
Не съм стоматолог, но като пациент с пародонтит виждам че костта е стопена доста от кэм петия зъб, седмият също е с оголени корени...колко ще са стабилни тези мостоносители 5 и 7 с това стопяване ?

# 704
  • Мнения: 1 369
Ябълкова, най-вероятно ще влиза храна, щом са последните зъби може с конец под конструцкията да се почиства.

buty, конструкцията ще стане по-стабилна, ако се включи и 4ти зъб, предвид състоянието на другите два.

Общи условия

Активация на акаунт