Въпроси до зъболекарите от форума! - 3

  • 207 682
  • 3 465
  •   1
Отговори
# 2 730
  • Мнения: 75 986
Цените са различни. Всеки зъболекар има различен ценоразпис.
Моята циркониева корона над импланта например струва 1000 лв.

Силвия я съветвам да нагласи доста пари. Както казах,даването им започва след ваденето. Поинтересувайте се от адхезивните мостове.

Ако ще правите класически мост, пригответе пари за умъртвяване на съседните здрави, за изпиляването им до пънчета, за временен мост и чак накрая за постоянният.
По принцип е безумно на 24г да съсипваш до неузнаваемост два здрави зъба. Направо е жалко.
Помислете за имплант по-добре.

# 2 731
  • Мнения: 44
Цените са различни. Всеки зъболекар има различен ценоразпис.
Моята циркониева корона над импланта например струва 1000 лв.

Силвия я съветвам да нагласи доста пари. Както казах,даването им започва след ваденето. Поинтересувайте се от адхезивните мостове.

Ако ще правите класически мост, пригответе пари за умъртвяване на съседните здрави, за изпиляването им до пънчета, за временен мост и чак накрая за постоянният.
По принцип е безумно на 24г да съсипваш до неузнаваемост два здрави зъба. Направо е жалко.
Помислете за имплант по-добре.
Искам да питам друго сега виждам на мястото където ми изкарала зъбът горе на венеца вътрешно има като гной така се вижда поне а не мога да жабуря за да се зарасне добре раната възможно ли гнойта да е останала

# 2 732
  • Мнения: 4 572
Адхесивните мостове не са ли много временно решение? Издържат колкото една пломба, а са около 800 лв?

# 2 733
  • Мнения: 75 986
Не са. Особено за предни зъби.

# 2 734
  • Мнения: 5 547
Здравейте. Взех си този сет за избелване,но няма никакви инструкции. Този спрей имате ли представа как се ползва? Пише само да не се поглъща. Предполагам се пръска и изплаква или?

# 2 735
  • Мнения: 403
Здравейте. Взех си този сет за избелване,но няма никакви инструкции. Този спрей имате ли представа как се ползва? Пише само да не се поглъща. Предполагам се пръска и изплаква или?

# 2 736
  • Мнения: 282
Здравейте! Моля помагайте за рецесия на венци, как, и какво се прави? Благодаря!

# 2 737
  • Мнения: 5 547
LittleWolf, благодаря ти!

# 2 738
  • София
  • Мнения: 578
...точно преден зъб е ще си сложа циркониев зъбен мост...

Така си решила, така си направила, няма да коментирам правилно или не, няма смисъл.
Сега, за празното място - лично моето мнение - събери пари и си сложи имплант. Не от евтините и бързи - базални, сложи си нормален имплант при специалист. Изрично казвам специалист, защото прочетох, че си извадила зъба при зъболекар, предполагам ендодонт, щом за такъв проблем си ходила.. принципно такива процедури е хубаво да се извършват от хирург. Та, събираш парички, слагаш си имплант и забравяш. Прочетох някъде по-горе сумата от 'над 1000 лв' за имплант, по скоро 2-3 пъти по нея, но пак си заслужава.
Млада си, не пили, не жертвай съседни зъби. Мястото на зъбчето е мъничко - най-вероятно ще сложите малък размер имплант, не ти е носещ зъб, така че от тази гледна точка няма грижи.

(Единствено - ако решиш за имплант, сега е момента да прецениш дали имаш нужда от ортодонтско лечение (брекети:)), по скоро зъболекарят да те консултира.)

# 2 739
  • Мнения: 11 680
А който няма толкова пари, правят се и мини протези с 1 зъб. Важното е да не се разместят другите зъби и дупката да се запълни навреме.
Само да кажа, че и имплантите, дори и най-добрите, имат определен живот. И след това става още по-сложно.

# 2 740
  • Мнения: 75 986
Не е точно така за имплантите, изрично съм разпитвала моя лекар в тази насока.

# 2 741
  • Мнения: 11 680
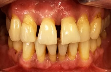
Погледнах какво е базален имплант и се ужасих от една снимка в сайта на софийска дентална клиника. За мен, тази снимка е антиреклама на клиниката. Не мога да повярвам, че на този пациент не са му предложили друг начин, а са го обеззъбили, за да му натрескат импланти. Мисля, че тези хора са забравили, че са лекари, а не търговци.
Няма нищо по-добро от истинските зъби на човека и трябва да се прави всичко възможно да се запази всеки зъб.

Надявам се, зъболекарите тук да кажат, имало ли е други начини да се подобри визията на този пациент.
Скрит текст:

Последна редакция: пт, 25 окт 2024, 12:51 от Diorela

# 2 742
  • София
  • Мнения: 578
А който няма толкова пари, правят се и мини протези с 1 зъб. Важното е да не се разместят другите зъби и дупката да се запълни навреме.
Само да кажа, че и имплантите, дори и най-добрите, имат определен живот. И след това става още по-сложно.

Не мога да коментирам дали след мини протеза може да се сложи имплант и дали би било ОК за временно решение на проблема. Относно разместването - да, и не само, с ГОДИНИТЕ се получава точно това, даже и на противостоящите зъби, така че относително казано - време има.
И не, не става сложно, АКО процедурата се извършва наистина от специалист, както и вие се грижите за импланта.

Офф топик - смея да твърдя, че финансите вложени в здравето са най-добре похарчените пари - дамата е едва на 24г. На нейната възраст и аз изгубих зъб. Първия ми изтеглен кредит беше за оправяне на зъби от пишман работа. Така че... да мислим за бъдещето си. Пари се изкарват.

# 2 743
  • Мнения: 11 680
Много хора са с протези, имплантите навлязоха в последните години. Дори и днес, много хора не могат да си ги позволят по финансови причини, не могат да си позволят и кредит. А има хора, при които организмът, по една или друга причина, не понася чуждо тяло, каквото е импланта.
Аз нямам импланти, не съм толкова наясно, но на моя позната й паднаха, прочетох и за проблем, наречен периимплантит, което не зная как се преодолява.

# 2 744
  • Мнения: 75 986
Кой е лекарят сложил имплан на твоята приятелка?

Иначе, те и мостове се чупят, разхлабват, и т.н..което не е причина да не се правят. За имплантите е същото...

Важен е изборът на лекар!

Общи условия

Активация на акаунт