Февруарски бебета 2021 ☀️Тема лятна 🌊

  • 26 208
  • 746
  •   1
Отговори
# 435
  • Мнения: 269
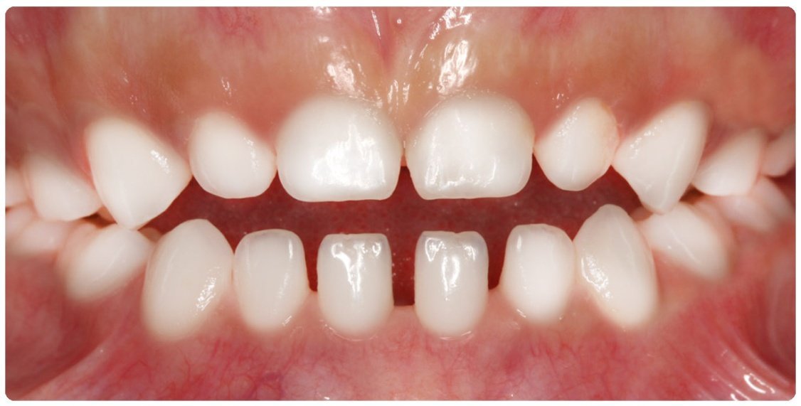
И аз се замислям дали да не върна прекраснонкрасивите пастелни и уникално харесвани от бебешоците по цял свят Бибс. До колкото четох и знам захапката на детето се оформя най- съществено 2-3 година/ няма шанс да я държа с биберон до тогава / ако изобщо използва смятам до 11 месец да я махна. Новите тенденции в храненето са в насока , че няма значение дали ще започнеш с или без глутен, но да - като започнеш глутена го даваш продължително , за да се натрупа и евентуално тогава би се проявила реакция. От генетичните тестове знам, че дъщеря ми няма алергия и много рано го въведох, защото тя категорично не яде оризова каша. Покрай поста на Антигона се сетих- каква вода ползвате? Гледате ли за количеството на флуор?

# 436
  • Мнения: 443
Все още преварявам чешмяна, като първо я минавам през кана Аквафор. Чудя се и аз дали да продължавам да преварявам. На скоро й дадох и Бебелан, знам, че след първото отваране може и без преваряване, а аз бях забравила да й взема преварената вода. Ми пи си я...

# 437
  • Мнения: 429
Преварям само когато правя АМ и ми трябва топла. Иначе давам всякаква изворна, подходяща за деца, откакто е на 5 месеца.
За бибите - след като пробвах и категорично отказа НУК доста пъти, му оставих Бибса, но той ползва буквално за мунита-две като се буди нощем и ги плюе. Не ползва през деня, за заспиване или докато спи, та не се притеснявам изобщо.
Глутен съм казвала, че въведох с кус-кус още преди 6-тия месец. Днес (6++) въвеждам сиренето и ще замествам и закуска или следобедна, както дойде.

# 438
  • Мнения: 90
Здравейте, надявам се да ме приемете при вас Blush
Малкия е роден на 03.02.💙 По принцип уж гледам мартенските, че по термин сме март, но като ви чета сме си за тук 🙂
Да питам има ли някой с алергии? Мн мн мъчно ми е това захранване. Никой от родата не е с алергии и уж не сме предразположени. Като ви чета до къде сте стигнали с яденето и го съжалявам моя дивак.
По колко пъти в деня спят мъниците ви? Ние проблем с нощния сън за сега нямаме, само като седне докато спи го лягам, ​но през деня е ужас. Имаме си нощно хранене, но си заспива след него.
Малкия лази на колена и ръце от средата на 6тия месец. Края на август започна и да сяда от поза пълзене и вече е стабилен. Май и аз ще пробвам люлките. Вече се примирих с близането на ламинат.
Вода ползвам на Бебелан и не я преварявам от 4тия месец по съвет на неонатоложката. Но пък не мога психически да се насиля да спра да стерилизирам шишетата от млякото, луда работа.

# 439
  • Мнения: 3 486
През деня спи межсу 1.5и 3 часа разделени на три дремки. 2 по половин час пруди обяд и над вечер и още една евентуално по дълга около 14 часа. Все още го приспиваме на ръце, което е може да отнеме около 20 мин. Тук добавям и още 10-тина за повторно приспиване при следобедния сън. Гадното е че няма как да легнеш с него, докато го приспиш, докато легнеш и той се разбудил. Нощния сън е от 21-21.30 до 7-8. Рядко се разбужда и бързо заспива след хранене или дундуркане.
Аз все още преварявам вода, че ми трябва за приготвяне на АМ топла вода.
При нас захранването в началото беше ужас. Спряхме за 2 дни и почнахме пак и все едно беше друго бебе. От тогава си яде с апетит, отваря устенца, сам тика лъжицата.
Ще замразявате ли пресни зеленчуци за зимата? Мисля да взема тиква и карфиол. Друго може ли да се замрази.

# 440
  • Мнения: 444
Само аз явно не приготвям АМ с топла вода No Mouth А защо преварявате Бебелана ?
Антигона глвно за това, друго трудно ще забележиш сама.
Скрит текст:
Март захапката при млечно съзъбие не е проблема обикновено. Позицията на езика и тонуса на мускулатурата в ЛЧО обаче идват много преди пробива дори на първия зъб. Виждам, че много си се засегнала за Бибс, пак казвам, не е било лично насочено. За мен тези проблеми са ежедневие и ако съм помогнала дори на една майка тук ми е достатъчно. Разбира се напълно осъзнавам и факта, че не всички имат нужда от помощ. Няма да взема отношение по въпроса в флуора, понеже за мен това е адски комплексен въпрос и нещо, с което от години се занимавам и не искам да предизвиквам повече такива страсти като с бибс. Само ще кажа, че не се доверявам на съдържанието по етикет и бих давала изворна вода само по изключение, навън, на път и т.н
nikidim към какво е алергичен?
Аз не знам моята по колко спи - понякога има две дремки, понякога една. Нощно време си спи по 8-10 часа. През деня е много различно, но не засичам и не я следя. Като й се доспи почва да мрънка, слагам я и я оставям, тя си заспива сама.
miss_chichi печени чушки може ако даваш и бланширан зелен фасул. Аз съм замразила малини, горски ягоди и боровинки, защото като им беше сезон аз още тъкмо почвах със захранването. Зеленчуци няма да замразявам, че като се знам каква съм готвачка ще ги забравя за догодина Grin

# 441
  • Мнения: 1 660
Nikidim, Добре си дошла при нас !
Да си призная надничам и чета януарската тема, за да знам какво ме очаква 😍
Аз от раждането ползвам само вода Бебелан без да преварявам / така пише на нея и по съвет на педиатъра/.
Бибс имат ли шишета ?
Аз избрах случайно нук, видях, че имат много шишита вкл. от стъкло и с размери на дупката  и така реших, че са сериозна фирма.
Не знам има ли значение, но моето дете, което дърпа нук има два зъба на 6м.++. Толкова има и комшийското бебе на 1г.+, което ползва бибс.

# 442
  • Мнения: 90
Fishy за момента е с уж алергия към белтъка на кравето мляко, това от както беше на 20 дни. Сега при захранването ми реагира на картоф, тиквичка, ориз и елда. Надявам се това да е. Иначе хапва пащърнак, бял морков, тиква, круша, батат, броколи и царевична каша.
А се захранваме от както е на 5 месеца и 18 дни.
И ние правим млякото с хладка вода, че иначе много горчи.
Назад в постовете прочетох за Бибс. Ние не сме ги ползвали, но малкия само на томи типи ортодонтските признаваше/да не кажа, че по форма са почти същите като бибс/. Купувала съм от всички възможни марки и все едно му се гадеше и плюеше. Та имаме 2 зъба, все още са около 3мм излезли и се стреснах, та го пробвах с на Нук и взе, че ги прие. Иначе шишетата за ядене са на Нук още от началото 🤷‍♀️.
Питам за съня, защото моя започна да спи по-начесто. Става към 6.30, преди обяд спи 2 пъти по около 40мин. После има час-1 и 30 и после пак 40мин. Ляга синв зависимост от последната дрямка м/у 7.30-8.30
Имам чувството, че цял ден само приспивам. Лесно заспива, но и толкова лесно се буди. Ако не ме е хванал за ръка или не ме види да съм там става цирк. А преди нямаше такива работи. И това е само за дневния сън. Вечер го слагам в чувала и заспива.
Аз се чудя дали да не взема чувалче с крачета вече, че се опитва да се изправя, заплита се и пада. Висок е и стига горната част на леглото като застане на колена. 74см и 7.700кг сме. А се роди 49см.

# 443
  • Мнения: 1 046
Какви бяха реакциите от алергията ?
Fishy за момента е с уж алергия към белтъка на кравето мляко, това от както беше на 20 дни. Сега при захранването ми реагира на картоф, тиквичка, ориз и елда. Надявам се това да е. Иначе хапва пащърнак, бял морков, тиква, круша, батат, броколи и царевична каша.
А се захранваме от както е на 5 месеца и 18 дни.
И ние правим млякото с хладка вода, че иначе много горчи.
Назад в постовете прочетох за Бибс. Ние не сме ги ползвали, но малкия само на томи типи ортодонтските признаваше/да не кажа, че по форма са почти същите като бибс/. Купувала съм от всички възможни марки и все едно му се гадеше и плюеше. Та имаме 2 зъба, все още са около 3мм излезли и се стреснах, та го пробвах с на Нук и взе, че ги прие. Иначе шишетата за ядене са на Нук още от началото 🤷♀.
Питам за съня, защото моя започна да спи по-начесто. Става към 6.30, преди обяд спи 2 пъти по около 40мин. После има час-1 и 30 и после пак 40мин. Ляга синв зависимост от последната дрямка м/у 7.30-8.30
Имам чувството, че цял ден само приспивам. Лесно заспива, но и толкова лесно се буди. Ако не ме е хванал за ръка или не ме види да съм там става цирк. А преди нямаше такива работи. И това е само за дневния сън. Вечер го слагам в чувала и заспива.
Аз се чудя дали да не взема чувалче с крачета вече, че се опитва да се изправя, заплита се и пада. Висок е и стига горната част на леглото като застане на колена. 74см и 7.700кг сме. А се роди 49см.

# 444
  • Мнения: 90
сложно@е! Към белтъка на кравето мляко решиха, че има заради много осъра уртикария по цялото тяло, жестоки болки в корема и повръщане на фонтан, завишени еозенофили в кръвната картина. Факт е, че след като започнахме Фризолак ПЕП всичко се оправи. Надявах се да е само предположение... за ориза предполагахме, защото докато пиеше Омнибиотик панда / има оризово нишесте вътре/ все беше с обриви и слуз. Но това докато го разбера бяха минали 2 месеца.
От картоф му избиха първо червени пъпки около устата и по шията и врата, които до няколко часа се сляха пак в уртикатии и имаше страшно много слуз в акото. От елдата му излязоха екземи, ориза - разтройство, болки в стомаха, слуз и обрив по корема и гърба. Тиквичката само обрив. Общо взето всичко го пробвахме по 2 пъти след отшумяване на симптомите, че да съм сигурна. За кръв в акото няма как да видя, защото от раждането пие малтофер, че е с анемия и акото му е черно.
Още не сме правили тестове, защото все така ни съветваха-бил малък и т.н., но вече се чудя.

Последна редакция: сб, 11 сеп 2021, 23:21 от nikidim

# 445
  • Мнения: 53
И моето детенце е с АБКМ. Започнах захранването на 5 месеца без 1 седмица. Вмомента закусва овесена каша с малко плодово пюре. За обяд зеленчуково с месо/жълтък, следобед остатъка от плодовото. Освен от млечните, засега е реагирал само с лек обрив около устата от кайсия /обелена/. Морковите като цяло трудно ги храносмила (колики и т.н ) затова по съвет на педиатрите давам много рядко и по малко. Проблемът ми е че не мога да разнообразя закуската. Гледам че вече почват мамите с попарите, а аз се чудя без извара и масло какво да докарам. Моето дете много лесно се запича, затова ползвам овесена каша, кус-кус и подобни мисля, че също няма да действат в наша полза. Освен твърдата храна е на кърма. Адапт. Мляко го ползвам основно, за да забъркам с него каши (не се научих да се цедя), но моето не ми горчи без значение дали е с топла или студена вода. Понякога като си набия филм, че не му е стигнала кърмата му давам по 30-60 мл АМ, а пък колкото изпие. За изместване на хранения не се боря. Виждам, че се получава по естествен път и оставям детето да води. Общо взето забелязвам, че дневните кърмения се превръщат по -скоро в такива за успокоение и приспиване отколкото за наяждане. Вода давам преварена от кана, но май само се лигави с нея, не пие някакви количества - 3-4 глътки макс. Сега мисля да започна да го уча на чаша. Четох някъде, че първо помага за приучване към правилно преглъщане, второ имало деца, които започвали да пият вода когато се научели от чаша, т.е. тези преходни и подобни чаши ги възприемали по-скоро за играчки. Търся си за целта малка чашка тип шотче, силиконова или в краен случай пластмасова. Ако някой е попадал на подобна да сподели. Тестове и аз не съм правила, според личната е безпредметно на този етап.

# 446
  • Мнения: 444
nikidim аз пусках прдиатричен панел 2 в Геника и ходихме при д-р Димитров. Беше на 2 месеца и половина, за момента всичко от тестовете е вярно.
m.a.velinova в Икеа съм виждала, даже щях да ходя да купувам тези дни. Аз съм много далече от закуска, попара и заместване на каквото и да било и честно казано не целя кой знае какво разнообразие, то ще дойде с времето.

# 447
  • Мнения: 21
Моето момче е на Фризолак Пеп от четвъртия месец, тъй като се появи кръв в изпражненията. Тогава не правихме никакви изследвания, л.л  директно ни даде протокол за това мляко. Сега иска да ни дава направление за алерголог , някой да ме насочи за такъв който да работи по здравна каса? За Димитров от Токуда знам, че иска предишни изследвания и резултати ( поне така са ми казвали) , а ние реално нямаме нищо, просто л.л. се усъмни за алергия към белтъка на кравето мляко и директно ни даде Фризолак Пеп. Захранен е с доста неща и до този момент не е проявил реакция към нищо .
nikidim аз пусках прдиатричен панел 2 в Геника и ходихме при д-р Димитров. Беше на 2 месеца и половина, за момента всичко от тестовете е вярно.
m.a.velinova в Икеа съм виждала, даже щях да ходя да купувам тези дни. Аз съм много далече от закуска, попара и заместване на каквото и да било и честно казано не целя кой знае какво разнообразие, то ще дойде с времето.

# 448
  • Мнения: 90
Хич не ни се прибавяше още един лекар към списъка ни, но май ще ми е по-мирна главата. И аз съм се насочила към Димитров, бях ходила при него преди операция за тестове към лекарства и упойки и ми допадна.
Далеч съм още от мисълта за заместване на хранене. Не само, че той плюе, но и ако не съм сложила от неговото мляко за "вкус" не иска да близне.
m.a.velinova аз от тези гледах чашки гледах
Моя пие по малко, давала съм му от чашка с мек и с твърд накрайник и да само ги дъвче. С твърдия като му пусне вода като не очаква и се дави. Със стъклено шотче е ок, но му е тежко и се плъзга в олигавените пръсти хахха.

# 449
  • Мнения: 53
Благодаря момичета! Май ще поръчам от този сайт таралежка. Иначе и аз имам от чашите с мек накрайник..същата работа - гризе я да се чеше на нея и се олива целия с вода. За 360 градусовата чаша ми се струва че е още малък, въобще не знае какво да я прави. Не се забавлява дори да я гризе, а и самата й обиколка ми се струва голяма за неговата уста все още. Общо взето всичките тези вариации на чаши за пореден път ме убеждават в това, че по-голямата част от бебешките продукти на пазара са всъщност за радост на мама, а не в помощ на бебе. Дори някои от тях по-скоро възпрепятстват правилното усвояване на дадено умение у децата. Ама пусто майките на първо детенце, все искаме от всичко да купим, всичко да видим, всичко да пробваме...

Общи условия

Активация на акаунт