Q&A
Обобщени въпроси и отговори от темата *
Какво е нормалното кръвно налягане по време на бременност?
Защо усещам пукане в тазовите или бедрените кости по време на бременност?
Какви хранителни вещества са полезни по време на бременност и как да се справим с ниския хемоглобин и витамините?
* Предложените въпроси и отговори се генерират машинно от автоматизиран езиков модел на база потребителските мнения в темата. Генерираното съдържание може да е непълно, неактуално, подвеждащо или неподходящо. Вашите оценки спомагат за подобряване на модела и неговото усъвършенстване.
-
Какво е нормалното кръвно налягане по време на бременност?
Нормалното кръвно налягане по време на бременност може да варира, но обикновено се повишава. Преди бременността ниското кръвно налягане е обичайно, но през месеците на бременността тенденцията е да се увеличава. Важно е да се консултирате с лекар, който да наблюдава и оценява всяка индивидуална ситуация.
-
Защо усещам пукане в тазовите или бедрените кости по време на бременност?
-
Какви хранителни вещества са полезни по време на бременност и как да се справим с ниския хемоглобин и витамините?
-
Кои са препоръчителните пробиотици за бременни и кърмещи жени?
-
Какви са причините за тревожността и депресията по време на бременност?

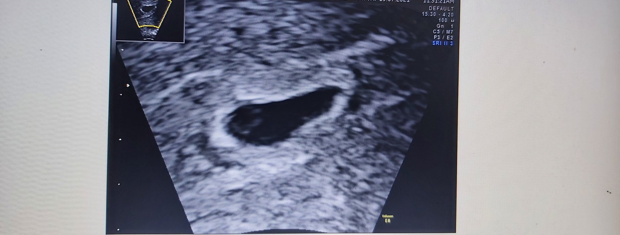
Моля, за мнение момичета! Това са снимките в 5 г.с. и 4 дни. Според вас размерите наред ли са? Сакче - 1,27см и ж.м.- 0,34 см. Предстои ми преглед да видим и чуем ембрион и сърдечна дейност и все си мисля дали се развива дали всичко е наред?🤔


