АВГУСТ 🤱🏼2022 🌸 (ТЕМА 9)☀

  • 42 842
  • 752
  •   1
Отговори
# 630
  • Мнения: 4 354
Витамин В12 се усвоява най-добре през лигавиците. Затова е сублигвинален. Ако просто се гълта, по-скоро няма са има никакъв ефект, а не, че ще е проблем.

# 631
  • Мнения: 524
Иначе и аз сама си пуснах витамините, добре че има интернет и човек може да прочете.

# 632
  • Мнения: 146
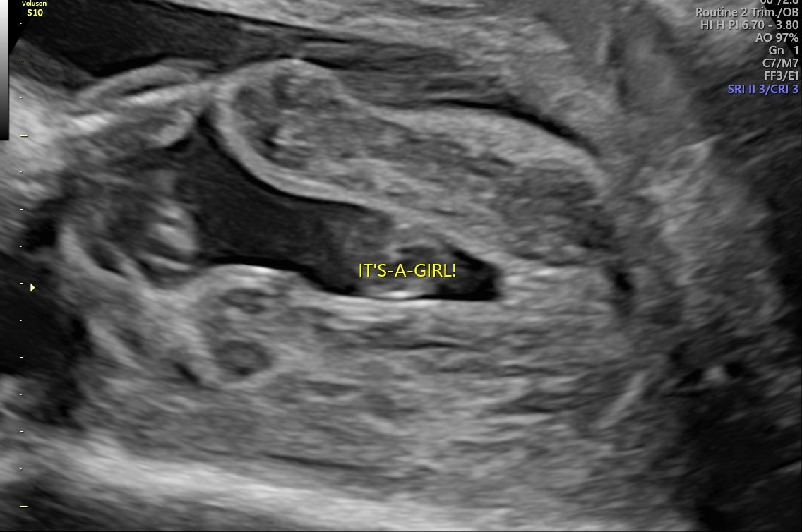
Минах и аз втората фетална,доктора каза момиче на 200% 🌸. В 22г.с съм и бебка тежи 509 гр. Бях накупила малко дрешки за момче,но ще трябва да ги върна ,добре че пазя бележките. 😆 Термина ми засега е 23.08 💓

# 633
  • Варна
  • Мнения: 153


Ето я и моята кукличка от днес Докторката каза, че ще се окаже голяма мислителка 😁 460гр, 21+6 съм





Последна редакция: вт, 19 апр 2022, 21:14 от summer20

# 634
  • Мнения: 3 150
Бих искала да попитам момичетата които приемат вит В12. Може ли да го приемам заедно с магнезий?Понеже приемам и жялзо и стават вече доста неща и се чудя.🤔Както писах приемам доста неща и ми се иска поне някой от тях да съчетая  Също така тези от вас  които приемат протеин за бременни Прегнако или какъвто и да е. Как го приготвяте да е по вкусен? И въобще като цяло имали ефект от него?

Последна редакция: вт, 19 апр 2022, 21:23 от Милото

# 635
  • Мнения: 697
Бих искала да попитам момичетата които приемат вит В12. Може ли да го приемам заедно с магнезий?Понеже приемам и жялзо и стават вече доста неща и се чудя.🤔Както писах приемам доста неща и ми се иска поне някой от тях да съчетая  Също така тези от вас  които приемат протеин за бременни Прегнако или какъвто и да е. Как го приготвяте да е по вкусен? И въобще като цяло имали ефект от него?

Аз пия Прегнако ванилия с половин кофичка кисело мляко, половин банан и вода в нутрибулет, на вкус е като бананов шейк, изследванията ми за момента са добри, предвид, че и не ям вгх, и съм свалила 2кг досега, май е повече от добре, протеинът ми беше малко над долната граница.

# 636
  • Мнения: 3 150
Бих искала да попитам момичетата които приемат вит В12. Може ли да го приемам заедно с магнезий?Понеже приемам и жялзо и стават вече доста неща и се чудя.🤔Както писах приемам доста неща и ми се иска поне някой от тях да съчетая  Също така тези от вас  които приемат протеин за бременни Прегнако или какъвто и да е. Как го приготвяте да е по вкусен? И въобще като цяло имали ефект от него?

Аз пия Прегнако ванилия с половин кофичка кисело мляко, половин банан и вода в нутрибулет, на вкус е като бананов шейк, изследванията ми за момента са добри, предвид, че и не ям вгх, и съм свалила 2кг досега, май е повече от добре, протеинът ми беше малко над долната граница.
Моя е 62 при минимум 60. Ще пробвам по вашия начин дано ми допадне. Аз въглехидрати си ям,но просто месото и млечните ги приемам рядко. Благодаря за включването😊

# 637
  • Мнения: 2 995
И на мен скоро ще ми изпишат такъв протеин, доста жени казват, че е гаден на вкус, няма ли на някоя друга фирма вкусен протеин?


Бих искала да попитам момичетата които приемат вит В12. Може ли да го приемам заедно с магнезий?Понеже приемам и жялзо и стават вече доста неща и се чудя.🤔Както писах приемам доста неща и ми се иска поне някой от тях да съчетая  Също така тези от вас  които приемат протеин за бременни Прегнако или какъвто и да е. Как го приготвяте да е по вкусен? И въобще като цяло имали ефект от него?

Аз пия Прегнако ванилия с половин кофичка кисело мляко, половин банан и вода в нутрибулет, на вкус е като бананов шейк, изследванията ми за момента са добри, предвид, че и не ям вгх, и съм свалила 2кг досега, май е повече от добре, протеинът ми беше малко над долната граница.
Моя е 62 при минимум 60. Ще пробвам по вашия начин дано ми допадне. Аз въглехидрати си ям,но просто месото и млечните ги приемам рядко. Благодаря за включването😊

Последна редакция: вт, 19 апр 2022, 22:44 от Lizi:) :)

# 638
  • Мнения: 697
Беше гаден според мен, сега е с променена формула и опаковка и не е толкова зле, с миналата бременост пиех от стария, изобщо не ми допадаше. Има още един одобрен за бременни ама не помня как се казваше

# 639
  • Бурса
  • Мнения: 656
Здравейте момичета, минавам само да благодаря за сложените линкчета. Клинове си поръчах на синсей, дано съм улучила размера и количката на пег перего ми хареса, но ще го мисля натам, че за количка ми е рано, няма сега къде да я държа. А и порт бебетата са много сладки, запаметила съм страничката.
Аз да споделя, напоследък особено вечер изпитвам една непоносимост от допира с дрехите си, все едно навсякъде ме сърби и то не говоря з корема само, ами навсякъде където например съм се облегнала от нея страна. Незнам дали го обясних добре, но е много неприятно, хваща ме секлета, както казва майка ми. Снощи си легнах само по една супер мека тениска и бях по-добре.

# 640
  • Мнения: 1 478
SunLove да, на фона на зехтин моето си е глезене, кога е сватбата?
Lizi Simple SmileSimple Smile от личната взимам направление за еднокринолог, а той от своя страна ме праща на изследване,но не ми предлага направление.Аз последно намерих лаборатория, в която е по- евтино, така че това вече е по - малък проблем.
Ameliхм, май в такъв случай ще почна да си го смуча..
Tellyаз съм същата - като се преоблека за спане, на която страна лежа ,тя ме сърби адски, после като се облека сутринта за излизане също - най - вече корема.Като се изкъпя и облека дрехи - пак.Не е от праховете за пране , а от самия допир усещам,ужас  е!
Милото аз пия магнезия около 9 сутрин , а б12 към 11 часа.Не съм чувала да трябва отстояние.
Има ли някоя от вас с болка между краката - все едно сте правили шпагат, това сухожилията ли се разтягат , ужас е .

# 641
  • Мнения: 2 995
Бъди по нахална, полага ти се, за какво плащаме осигуровки, аз взимам от всички направления, този месец АГ  ми даде направление за тсх и се уговорихме началото на месеца да ми даде и за ендокринолог.

SunLove да, на фона на зехтин моето си е глезене, кога е сватбата?
Lizi Simple SmileSimple Smile от личната взимам направление за еднокринолог, а той от своя страна ме праща на изследване,но не ми предлага направление.Аз последно намерих лаборатория, в която е по- евтино, така че това вече е по - малък проблем.
Ameliхм, май в такъв случай ще почна да си го смуча..
Tellyаз съм същата - като се преоблека за спане, на която страна лежа ,тя ме сърби адски, после като се облека сутринта за излизане също - най - вече корема.Като се изкъпя и облека дрехи - пак.Не е от праховете за пране , а от самия допир усещам,ужас  е!
Милото аз пия магнезия около 9 сутрин , а б12 към 11 часа.Не съм чувала да трябва отстояние.
Има ли някоя от вас с болка между краката - все едно сте правили шпагат, това сухожилията ли се разтягат , ужас е .

# 642
  • Мнения: 710
И аз от няколко дни съм с такава болка. Точно все една шпагат. Нямам идея, от какво е. На 28ми съм на преглед, ще попитам.
SunLove да, на фона на зехтин моето си е глезене, кога е сватбата?
Lizi Simple SmileSimple Smile от личната взимам направление за еднокринолог, а той от своя страна ме праща на изследване,но не ми предлага направление.Аз последно намерих лаборатория, в която е по- евтино, така че това вече е по - малък проблем.
Ameliхм, май в такъв случай ще почна да си го смуча..
Tellyаз съм същата - като се преоблека за спане, на която страна лежа ,тя ме сърби адски, после като се облека сутринта за излизане също - най - вече корема.Като се изкъпя и облека дрехи - пак.Не е от праховете за пране , а от самия допир усещам,ужас  е!
Милото аз пия магнезия около 9 сутрин , а б12 към 11 часа.Не съм чувала да трябва отстояние.
Има ли някоя от вас с болка между краката - все едно сте правили шпагат, това сухожилията ли се разтягат , ужас е .

# 643
  • Мнения: 491
Протеин е подходящ всеки чист такъв, без добавки на Lcarnitine, BCCA и доуги фитнес модерни неща. Аз от избиране си купих един, който няма да препоръчам с вкус на маракуя, не че няма да го изпия, но не ми носи удоволствие.
Някой приема ли Омега 3/6/9?

# 644
  • Мнения: 1 588
Протеин е подходящ всеки чист такъв, без добавки на Lcarnitine, BCCA и доуги фитнес модерни неща. Аз от избиране си купих един, който няма да препоръчам с вкус на маракуя, не че няма да го изпия, но не ми носи удоволствие.
Някой приема ли Омега 3/6/9?
Аз приемам всеки ден от преди стимулацията, комбинираните на Pregnacare. During pregnancy + Omega 3. Преди това бях на тези които са преди забременяване. Забравих как им беше името.

Общи условия

Активация на акаунт