Q&A
Обобщени въпроси и отговори от темата *
Може ли дискова протрузия да се излекува без операция?
Какви са най-ефективните методи за облекчаване на болката при дискова херния?
Какво представлява дълбоката осцилация?
* Предложените въпроси и отговори се генерират машинно от автоматизиран езиков модел на база потребителските мнения в темата. Генерираното съдържание може да е непълно, неактуално, подвеждащо или неподходящо. Вашите оценки спомагат за подобряване на модела и неговото усъвършенстване.
-
Може ли дискова протрузия да се излекува без операция?
-
Какви са най-ефективните методи за облекчаване на болката при дискова херния?
Възможните лечения за облекчаване на болката при дискова херния включват физиотерапия, масажи, озонна терапия, дълбока осцилация и лекарства без рецепта. Освен това акупунктурата и манипулативната терапия могат да бъдат опция за справяне с болката. Формулярът обсъжда различни методи за облекчаване на болката, включително инжекции с кортикостероиди, лекарства като милгама, физиотерапия, физически упражнения и опит с различни лекарства като линефор/лирика и габагама. Най-ефективните методи за облекчаване на болката при дискова херния включват приемане на мускулен релаксант като мидокалм, витамини като милгама и магнезиев цитрат, физиотерапия, декомпресионни и стречинг упражнения, както и специална седалка с опора за гръбначния стълб.
-
Какво представлява дълбоката осцилация?
-
Какви са потенциалните странични ефекти от лекарства като дипрофос и линефор?
-
Как мога да намеря добър невролог?
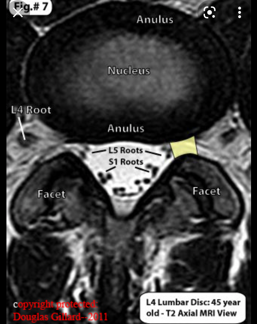
Тук можеш да видиш разликата между фораминална и екстрафораминална:
Също ѝ викат латерална на екстрафораминалната. 
