Q&A
Обобщени въпроси и отговори от темата *
Кои зеленчуци са подходящи за супи според потребителите на форума?
Какво е мнението на участниците за сладките картофи по отношение на диетичното хранене?
Какви са наблюденията на участниците относно киселите млека в магазините?
* Предложените въпроси и отговори се генерират машинно от автоматизиран езиков модел на база потребителските мнения в темата. Генерираното съдържание може да е непълно, неактуално, подвеждащо или неподходящо. Вашите оценки спомагат за подобряване на модела и неговото усъвършенстване.
-
Кои зеленчуци са подходящи за супи според потребителите на форума?
Потребителите на форума препоръчват използването на различни зеленчуци в супите, като лук, моркови, цвекло, тиквички, целина и пащърнак. Те предпочитат да нарязват зеленчуците на малки парчета и да ги добавят към супата, когато тя започне да се готви, като гарантират, че текстурата и вкусът на зеленчуците се запазват.
-
Какво е мнението на участниците за сладките картофи по отношение на диетичното хранене?
Сладките картофи предизвикват дискусия сред участниците, като някои смятат, че те не са подходящи за хора с диабет, докато други смятат, че умереното им количество в ястието не би повлияло негативно. Важно е да се вземе предвид индивидуалният подход към храненето, тъй като различните хора реагират по различен начин на елементи в диетата си.
-
Какви са наблюденията на участниците относно киселите млека в магазините?
Някои участници са изразили недоволство от киселите млека, налични в магазините, тъй като смятат, че много от тях не съдържат необходимите пробиотични култури, като Lactobacillus reuteri, след определен период от време. Те твърдят, че много продукти на пазара не отговарят на стандартите и им липсват полезни микроорганизми.
-
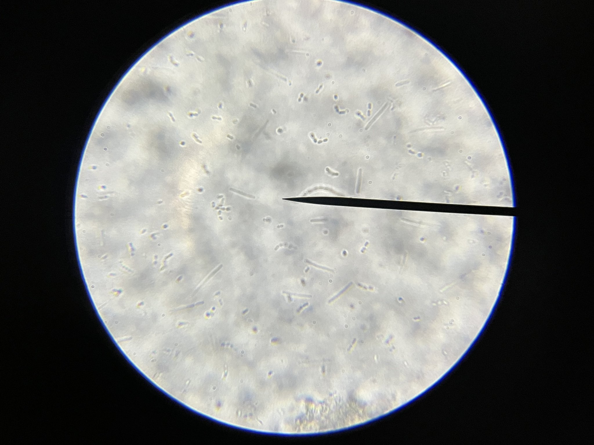
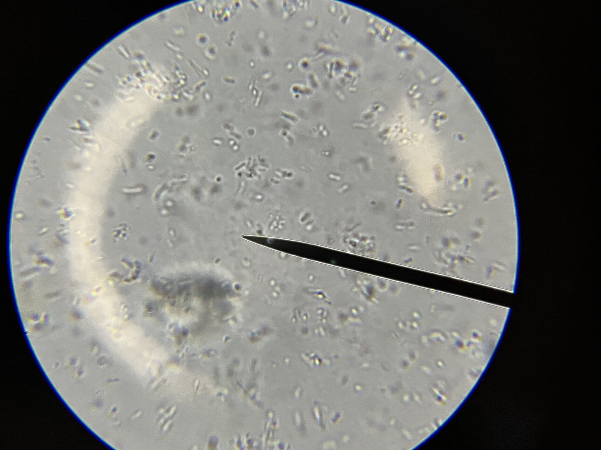
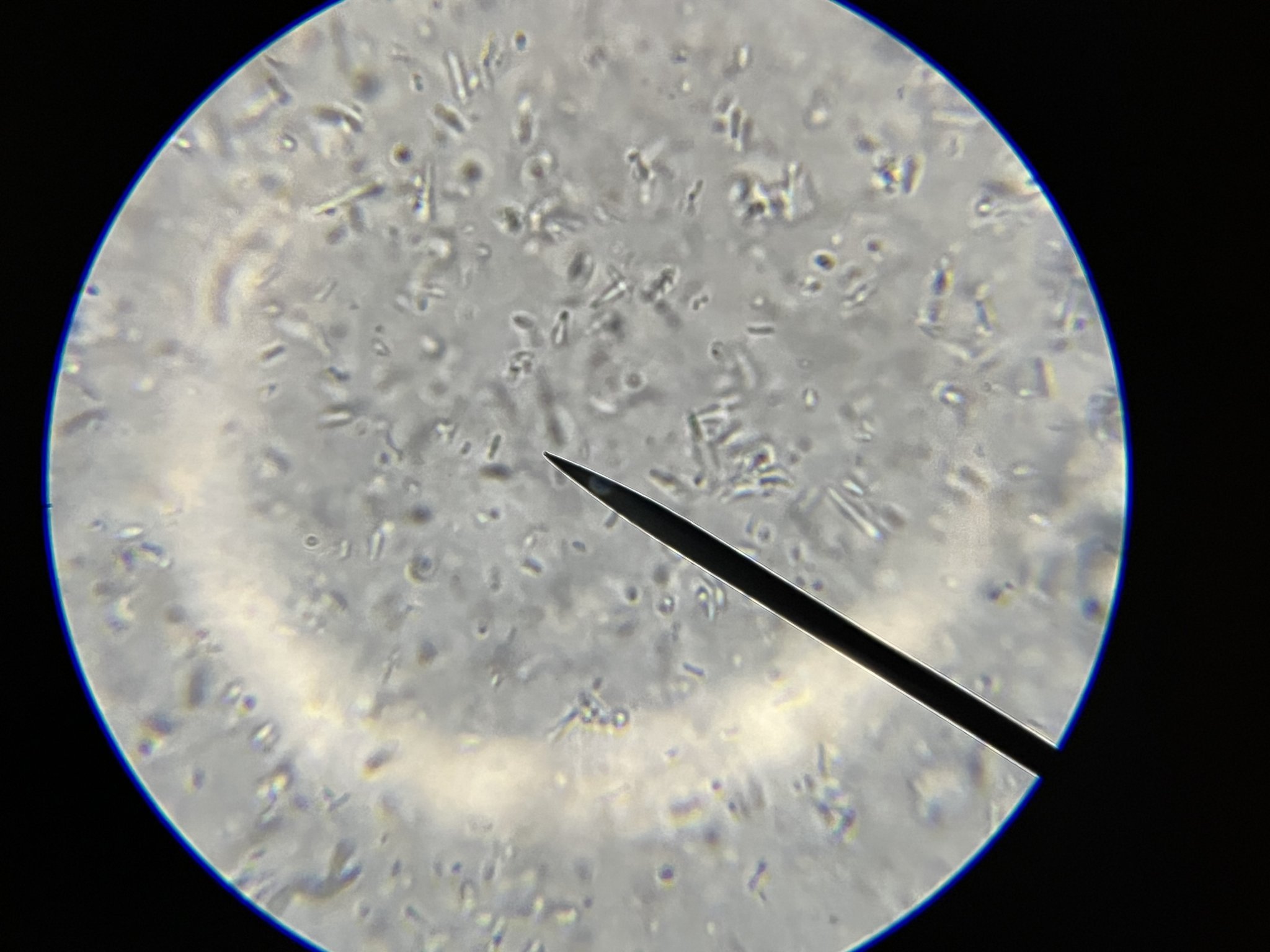
Какви видове бактерии са открити в домашно приготвените продукти?
-
Защо някои хора смятат, че в киселото мляко не присъства Lactobacillus reuteri след 36 часа?

То е ЯСНО, че квото и да има - си го пием и те тва е, нали ема ефект? Това е важното... но и малко информация по въпроса за мен е любознателно и важно 






