Разчитане на резултати от медицински изследвания - тема 12

  • 31 740
  • 689
  •   1
Отговори
# 315
  • София
  • Мнения: 9 890
И какво ще отрече диагнозата, защото няма оплаквания? Какви оплаквания се търсят? Защото и аз нямах докато не се позагледах в себе си. Тръгнат ли да се изследват по обстойно нещата излизат доста дефицити ако и се занимава да пусне вместо да отрича Simple Smile

# 316
  • Мнения: 13 023
Сменете лекаря, или започнете да се образовате сама по темата. Тук във форума има тема - Автоимунен тиреоидит на Хашимото, на първата страница има доста информация. Детето трябва да се следи от тук нататък.

# 317
  • Мнения: 32
Благодаря ви за отговора.  Не очаквах дете на 7 годишна възраст да има това заболяване. Със сигурност ще потърсим друг детски ендокринолог.
Хубав ден ви желая!

# 318
  • Мнения: 13 023
Заболяванията нямат възраст за съжаление, синът ми го има от 8 годишен, както и много други деца, не е прецедент искам да кажа.

# 319
  • София
  • Мнения: 9 890
То и аз не вярвах, че има преждевременен ранен детски пубертет преди 2г възраст ама има… Успех и си намерете адекватен лекар за следене и назначаване на изследвания ако са му нужни на детето.

# 320
  • Мнения: 29
Здравейте, може ли разчитане на изследвания на дете на 2 години . Направени са за детската градина , но има неща , които ме объркаха . Благодаря!

# 321
  • Мнения: 4
Здравейте,
Може ли някой да ми разчете това изследване, дали има нещо притеснително ,че часът ми за лекар е чак на 18,09,2025.

# 322
  • Мнения: 7 627
Не мога да коментирам резултата. Пиша, за да скриете личните данни от снимката.

# 323
  • Мнения: 470
Това е становище от цитонамазка, пише че си II група което, ако има раждане е нормално. Няма  други патологични находки и изменения.

Здравейте,
Може ли някой да ми разчете това изследване, дали има нещо притеснително ,че часът ми за лекар е чак на 18,09,2025.

# 324
  • Мнения: 4
Благодаря

# 325
  • Мнения: 490
Защо едно раждане прави резултата нормален? Кое по точно ? И има ли значение кога е било раждането?

# 326
  • Мнения: 470
Заради физиологичните и механични промени които настъпват по време на бременността и раждането. Няма значение кога е било , „II група“ след раждане не означава нищо страшно. Това е често срещано и обикновено се интерпретира като „нормална находка с възпалителни промени.  

Защо едно раждане прави резултата нормален? Кое по точно ? И има ли значение кога е било раждането?

# 327
  • Мнения: 1 818
Добър вечер.
При прием на 1 прием  даден антибиотик .
Може ли на следващия ден да се пусне ПКК,СРП и СУЕ.За дете става въпрос.

# 328
  • Мнения: 32
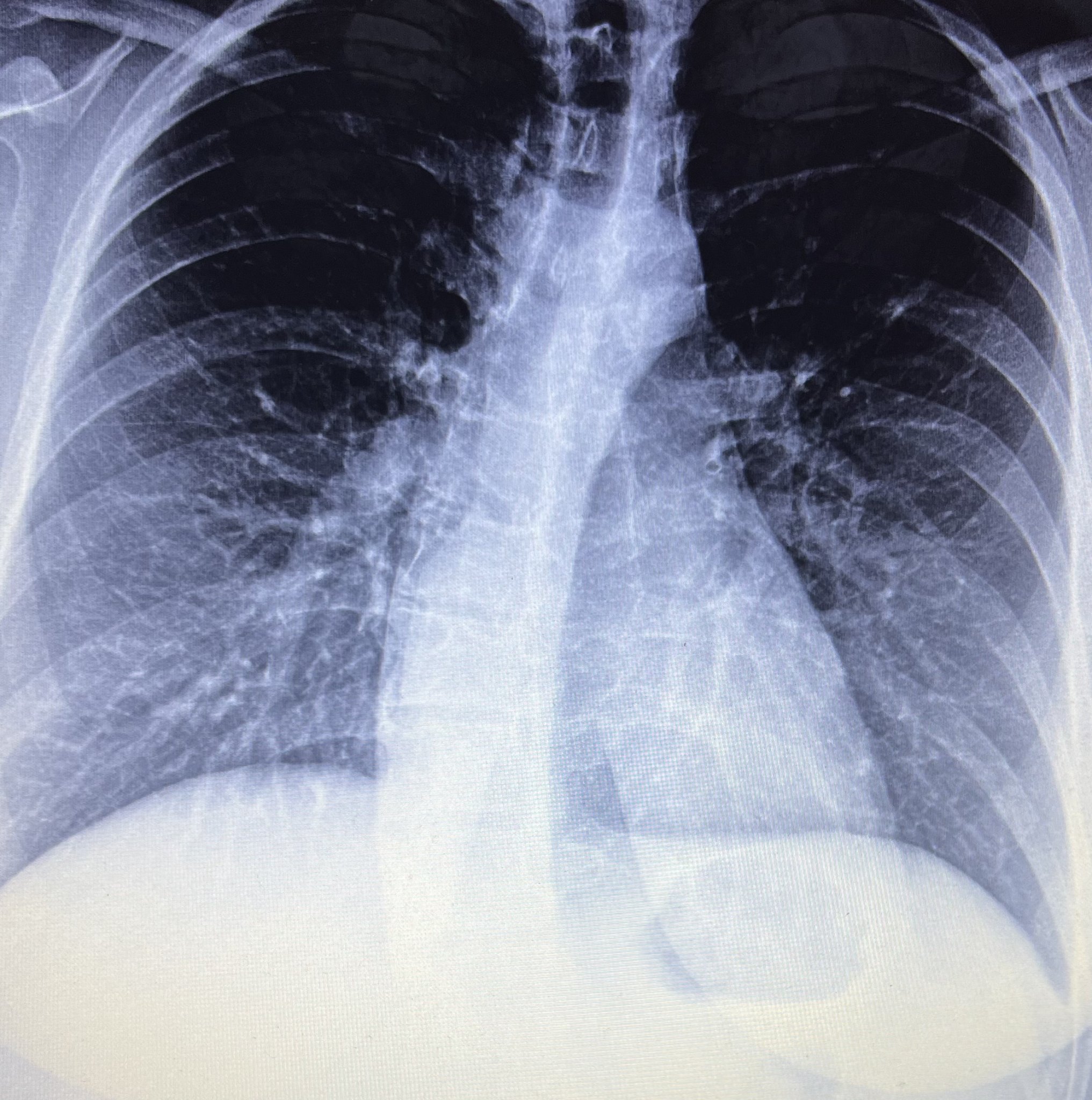
Здравейте, с кашлица съм от 3 месеца. Вчера си направих снимка на бял дроб , но тъй като лекарката е чак утре на работа много моля за някакви мнения , че ми е притеснено. Рентгенолога е написал усилен белодробен рисунък базално


.

# 329
  • Мнения: 9 542
Добър вечер.
При прием на 1 прием  даден антибиотик .
Може ли на следващия ден да се пусне ПКК,СРП и СУЕ.За дете става въпрос.
То за можене, може, ама защо е започнал приема, преди да се пусне CRP-то поне?
Аз съм пускала следобед-вечер... после антибиотик и на третия ден на приема пак да се види накъде вървят нещата...

Общи условия

Активация на акаунт