🤰Февруарски снежинки 2026 - Тема 2 🍀🌸

  • 9 050
  • 330
  •   1
Отговори
# 315
  • Мнения: 44
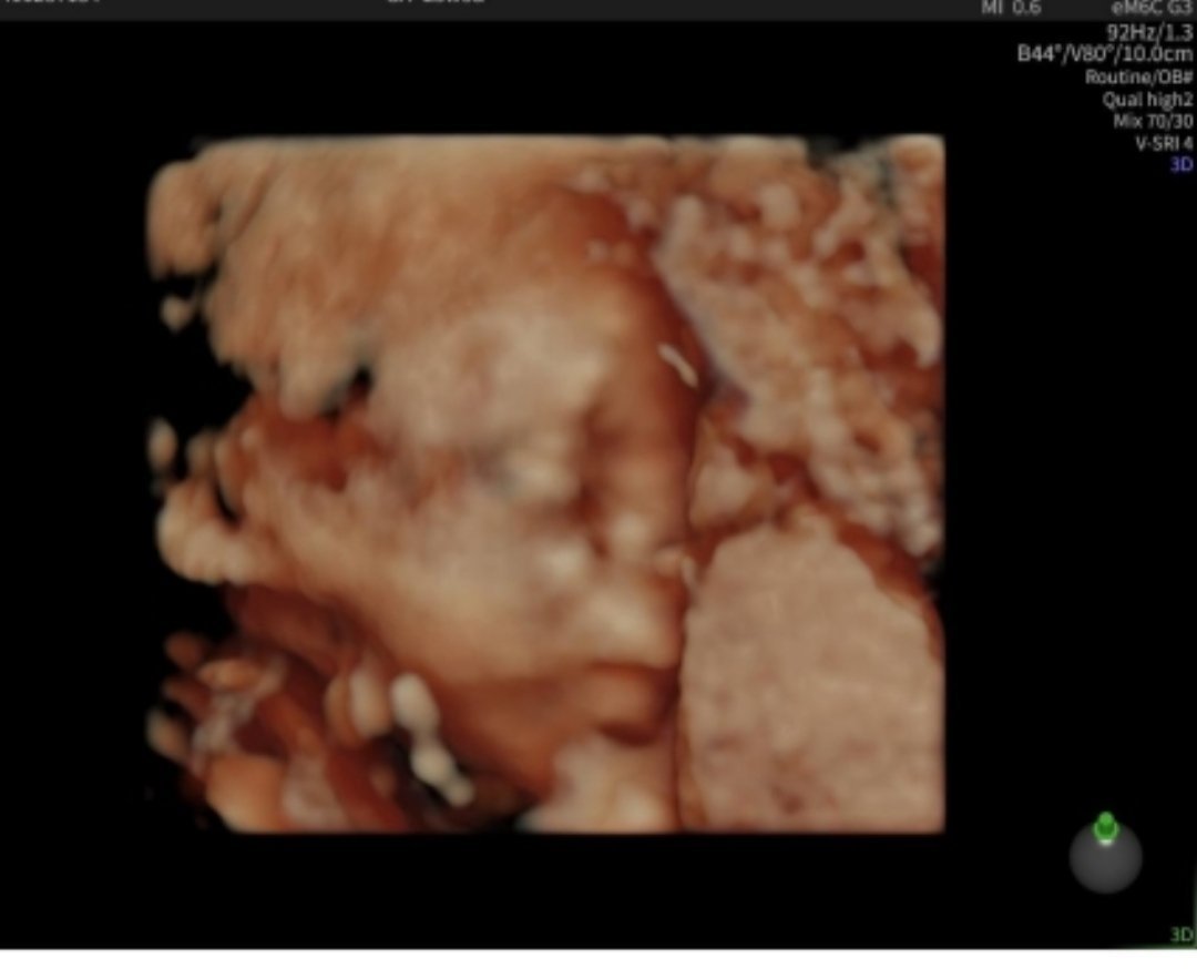
Здравейте момичета, мина и моята фетална. Всичко е нормално и се успокоих. Прегледа беше около 30 минути, тъкмо си гледам видеата с малкия. 372 грама е и влизам днес в 20 седмица, като естествено това са апарати, които не показват с точност. Увеличи ми само магнерота, другото си остава както си е.

# 316
  • Мнения: 155
Прекрасно!
Здравейте момичета! И моята фетална морфология мина днес в 22+5г.с. съм., всичко е наред прегледа продължи около 45-50 мин. гледаха я много обстойно и лекаря каза, че всичко е перфектно. Тежи 550гр. 🩷 Прегледа ми струваше 170лв и бих искала да ви запозная с малката ми Селина 🩷🎀

# 317
  • Мнения: 31
Честито за прекрасните кадри, Iliyanaah! Hug
Живи и здрави да сте със Селина! HugHeart

Ние също много искахме да видим нашия момък, обаче той упорито се криеше с ръце и беше забил муцунка в стената на матката.
Едвам си откраднахме един кадър. Дано на следващата ФМ като е по-голям да успеем да надникнем как изглежда преди да се роди. Ако не стане, ще се видим направо на живо в родилната зала Joy

Здравейте момичета! И моята фетална морфология мина днес в 22+5г.с. съм., всичко е наред прегледа продължи около 45-50 мин. гледаха я много обстойно и лекаря каза, че всичко е перфектно. Тежи 550гр. 🩷 Прегледа ми струваше 170лв и бих искала да ви запозная с малката ми Селина 🩷🎀

# 318
  • Мнения: 117
Честито за прекрасните кадри, Iliyanaah! Hug
Живи и здрави да сте със Селина! HugHeart

Ние също много искахме да видим нашия момък, обаче той упорито се криеше с ръце и беше забил муцунка в стената на матката.
Едвам си откраднахме един кадър. Дано на следващата ФМ като е по-голям да успеем да надникнем как изглежда преди да се роди. Ако не стане, ще се видим направо на живо в родилната зала Joy

Здравейте момичета! И моята фетална морфология мина днес в 22+5г.с. съм., всичко е наред прегледа продължи около 45-50 мин. гледаха я много обстойно и лекаря каза, че всичко е перфектно. Тежи 550гр. 🩷 Прегледа ми струваше 170лв и бих искала да ви запозная с малката ми Селина 🩷🎀

Благодаря искрено за пожеланията ! Вие също бъдете живи и здрави и пухкав финал!💙👣

# 319
  • Мнения: 155
А случайно някое друго име със С да си си харесала (идейки?) 😁
Дейзи и нашето бебоче си слага ръцете пред лицето, забива глава в плацентата, брадичката в гърдите си.. трудна работа беше със снимките Simple Smile
Честито за прекрасните кадри, Iliyanaah! Hug
Живи и здрави да сте със Селина! HugHeart

Ние също много искахме да видим нашия момък, обаче той упорито се криеше с ръце и беше забил муцунка в стената на матката.
Едвам си откраднахме един кадър. Дано на следващата ФМ като е по-голям да успеем да надникнем как изглежда преди да се роди. Ако не стане, ще се видим направо на живо в родилната зала Joy

Здравейте момичета! И моята фетална морфология мина днес в 22+5г.с. съм., всичко е наред прегледа продължи около 45-50 мин. гледаха я много обстойно и лекаря каза, че всичко е перфектно. Тежи 550гр. 🩷 Прегледа ми струваше 170лв и бих искала да ви запозная с малката ми Селина 🩷🎀

Благодаря искрено за пожеланията ! Вие също бъдете живи и здрави и пухкав финал!💙👣

# 320
  • Мнения: 117
Sunshine..@ , Ами не , това ми дойде с тази буква искахме и това остана , за друго не сме мислили. На кратко ще и казваме Лина.🩷 И вие ли искате вашето бебче да се казва със "С"?🤗

# 321
  • Мнения: 31
Здравейте искам да ви питам усещате ли болка около пъпа. На няколко пъти все едно леко ме стяга като се изкашлям или като ставам, не е силна ами е много лека. И понякога като вървя пеш ме стяга корема или отляво или отдясно и сядам да почивам докато мине .

# 322
  • Мнения: 155
При вървенето дали не са контракции?
Около пъпа не, но ниско вдясно често. Дори като се завъртя някой път или наведа и ме прорязва отляво или дясно над пъпа за секунда. Единия доктор ми вика: така ще е.
Iliyanaah аз съм се спряла на име с буквата С, надявам се таткото да няма нищо против, но още не сме обсъждали темата.
Здравейте искам да ви питам усещате ли болка около пъпа. На няколко пъти все едно леко ме стяга като се изкашлям или като ставам, не е силна ами е много лека. И понякога като вървя пеш ме стяга корема или отляво или отдясно и сядам да почивам докато мине .

Последна редакция: сб, 11 окт 2025, 08:46 от Sunshine..@

# 323
  • София
  • Мнения: 4 568
Ех, че хубави снимки на малките бебоци. Да растат все така сладурчести. Със С се сещам Сияна.
Аз се колебая между Дея, Тея и Рая - много искам да е кратко името и лесно да се произнася извън България, но сестра ми каза, че ще се обръща на галено с Дейче и направо лошо ми стана ха ха. Simple Smile))))
 Сещате ли се на тези кратките как се казва на галено или направо ще сменям концепцията с имената Simple Smile))))))

Момичета, редактирам се, за да ви покажа какво сътворих чрез ИИ. Дадох му 3 вида колички, за които четох, че са добри и малко подробности, къде живея, какво искам. Направи ми доста интересен анализ. Копирам само първата част, защото след това му задавах още въпроси с подробности и накрая ми направи топ 3 колички, които да пробвам.




Какво означава това за теб

Най-леко усещане + големи гуми: Bugaboo Fox Cub съчетава реално ниско тегло с големи гуми (20/28 cm) и много добра амортизация. Маневрена е и се сгъва достатъчно компактно, включително вариант „самостоятелно стоене“ след сгъване. Ако често вдигаш количката по стълби или в кола — това е фаворит.
bugaboo.com
+2
Babyroad
+2

Баланс цена/практичност + компактно сгъване: Easywalker Harvey 5 е малко по-тежка от Fox Cub, но пак много маневрена, с прилично големи колела (≈20/28 cm) и много компактно сгъване без седалката. Добър „универсал“ за град + паркове.
Baby Plus
+1

Макс. стабилност и най-големи задни гуми: Venicci (Tinum Edge / Upline) имат най-големите задни колела (до 29 cm) и „по-пухкаво“ возене, особено на калдъръм/зима. Минусът е теглото – усеща се по-тежка при носене/качване. Ако живееш на места с по-лоши настилки и рядко носиш количката — Venicci е силен избор.
Venicci
+1

Коя бих ти препоръчал според сценарий

Живееш в града, често сгъваш и вдигаш количката (асансьор, кола): Bugaboo Fox Cub.

Искаш универсална, маневрена, компактна при нужда на по-добра цена: Easywalker Harvey 5.

Приоритет са неравни настилки, сняг/зима, максимален комфорт: Venicci Tinum Edge или Upline 2.

Малки детайли, които да провериш на живо

Височина на дръжката спрямо ръста ти (и на двамата родители).
bugaboo.com
+1

Реален обем на багажника в колата ти спрямо сгънатите размери.
Family Nation
+2
Baby Plus
+2

Колко „меко“ вози върху павета/бордюри във вашия квартал.

Последна редакция: сб, 11 окт 2025, 10:12 от Yellow_girl

# 324
  • Мнения: 155
Аз съм Сияна, така че отпада, иначе си е мн хубаво 😁 и Дея ми харесва,но може би Рая повече и пак ще си е Райче на галено, Анна - също не е мн дълго.
Ех, че хубави снимки на малките бебоци. Да растат все така сладурчести. Със С се сещам Сияна.
Аз се колебая между Дея, Тея и Рая - много искам да е кратко името и лесно да се произнася извън България, но сестра ми каза, че ще се обръща на галено с Дейче и направо лошо ми стана ха ха. Simple Smile))))
 Сещате ли се на тези кратките как се казва на галено или направо ще сменям концепцията с имената Simple Smile))))))

Момичета, редактирам се, за да ви покажа какво сътворих чрез ИИ. Дадох му 3 вида колички, за които четох, че са добри и малко подробности, къде живея, какво искам. Направи ми доста интересен анализ. Копирам само първата част, защото след това му задавах още въпроси с подробности и накрая ми направи топ 3 колички, които да пробвам.




Какво означава това за теб

Най-леко усещане + големи гуми: Bugaboo Fox Cub съчетава реално ниско тегло с големи гуми (20/28 cm) и много добра амортизация. Маневрена е и се сгъва достатъчно компактно, включително вариант „самостоятелно стоене“ след сгъване. Ако често вдигаш количката по стълби или в кола — това е фаворит.
bugaboo.com
+2
Babyroad
+2

Баланс цена/практичност + компактно сгъване: Easywalker Harvey 5 е малко по-тежка от Fox Cub, но пак много маневрена, с прилично големи колела (≈20/28 cm) и много компактно сгъване без седалката. Добър „универсал“ за град + паркове.
Baby Plus
+1

Макс. стабилност и най-големи задни гуми: Venicci (Tinum Edge / Upline) имат най-големите задни колела (до 29 cm) и „по-пухкаво“ возене, особено на калдъръм/зима. Минусът е теглото – усеща се по-тежка при носене/качване. Ако живееш на места с по-лоши настилки и рядко носиш количката — Venicci е силен избор.
Venicci
+1

Коя бих ти препоръчал според сценарий

Живееш в града, често сгъваш и вдигаш количката (асансьор, кола): Bugaboo Fox Cub.

Искаш универсална, маневрена, компактна при нужда на по-добра цена: Easywalker Harvey 5.

Приоритет са неравни настилки, сняг/зима, максимален комфорт: Venicci Tinum Edge или Upline 2.

Малки детайли, които да провериш на живо

Височина на дръжката спрямо ръста ти (и на двамата родители).
bugaboo.com
+1

Реален обем на багажника в колата ти спрямо сгънатите размери.
Family Nation
+2
Baby Plus
+2

Колко „меко“ вози върху павета/бордюри във вашия квартал.

# 325
  • 🌊
  • Мнения: 1 230
Аз използвах ИИ за столчетата по същата методология, но за количките не може да ми намери много информация.
Ако на някоя ще помогне ето я моята таблица - леки колички с лесно сгъване, които ги има във варненски магазини и имат положителни отзиви от темите тук.
Скрит текст:


Вчера ми дойде помпата за кърма и малко други неща за бебето. +1 за немския Амазон, дойдоха си за 5 дена, самата помпа я взех за 45лв, докато в България е 99, което ми е доста неразбираемо защо за пореден път сме цакани.

Но добре, че са почивните дни, защото вчера бях ритана до 3 и явно съм заспала от преумора. Скрие ли се слънцето се почва, вече откри ритането настрани, та и предна плацента не ме пази.

# 326
  • Мнения: 29
Преди втората ФМ, правят ли се пак по-специални кръвни изследвания 1 ден преди това? Thinking

# 327
  • Мнения: 155
Нито за първата, нито за втората някой ми е казвал да правя предварително каквито и да е изследвания
Преди втората ФМ, правят ли се пак по-специални кръвни изследвания 1 ден преди това? Thinking

# 328
  • София
  • Мнения: 4 568
Няма нужда от никакви изследвания.

Чебурашка, благодаря за твоята таблица. Ще огледам още и пак ще дам на моя Гошо (ИИ) да мисли.

# 329
  • Мнения: 155
Момичета, намерих днес малко свободно време и седнах да прегледам линковете, които бяхте качили за списък за бебето... И както имам много неща... Така и набързо направих списък с има няма 50 неща 😆 и това без количка, легло, дрехи изброени по видове(които имам или ще ми дадът) и т.н. и ако трябва сега някоя мама да обзаведе изцяло едно първо новородено бебе... Може би трябва заем да се тегли.... Това е ненормално с тези цени, повтарям се, ноооо.... Ужас е.

Общи условия

Активация на акаунт