глаукома

  • 229 348
  • 1 066
  •   1
Отговори
# 1 020
  • Бургас
  • Мнения: 109
Може би, понеже няма случайни неща, аз поне така вярвам причината да съм толкова настоятелна след толкова лекари беше един вирус и един невролог  - нещо ми се разбърка вистибуларния апарат , но не знаех че е това, все пак съм почти на 50 и се притесних да не е друго и на невролога му направи нещо впечатление на окото и ме пита дали съм ходила на очен и аз казвам да - на няколко, последно преди 3 месеца и тогава ми светна лампата, че трябва да потърся някой по квалифициран очен лекар

# 1 021
  • Мнения: 995
Здравейте,
да разкажа и моя случай, от една година имам болка в окото , неестествено усещане, тук в Бургас - 3 ма лекари нищо, от възрастта, от екрани , сухота. Отидох във Варна и се оказа - глаукома, имам увреждане на нерва и на двете очи като налягането ми е нормално - 16 и 21, а тази ескавация за която все питате направо не знам как да я напиша - 0,8-0,9 на дясно око и 0,7-0,8 на ляво. Това, което ме болеше е по добре от другото, което нищо не усещаш. Нямам засегнато зрително поле, дори периферното ми зрение е цяло. Нося очила за близко 1,5. Не знам вече какво да мисля, чета, мисля, чета , мисля и нищо. Имам наследствен елемент, знам, на младини боледувах от менингоенцефалит, имах много високо налягане в главата и очите, със сигурност има значение. ОТ седмица съм с капки, вече не ме боли окото. Ще се следя и това е.

Всички прехвалени очни в Бургас съм обиколила и категорично не мога да препоръчам нито един! В момента се чувствам добре и малко съм неглижирала профилактичните прегледи за сметка на други болежки. Но определено ще търся лекар извън града следващият път.
Знам, че реално никаква полза не нося с този коментар и просто използвам случая да си споделя. Но един човек, който търси очен в Бургас да го види и да се насочи другаде, за да не си губи времето и нервите, все ще е файда.

# 1 022
  • Мнения: 3 510
Здравейте,
да разкажа и моя случай, от една година имам болка в окото , неестествено усещане, тук в Бургас - 3 ма лекари нищо, от възрастта, от екрани , сухота. Отидох във Варна и се оказа - глаукома, имам увреждане на нерва и на двете очи като налягането ми е нормално - 16 и 21, а тази ескавация за която все питате направо не знам как да я напиша - 0,8-0,9 на дясно око и 0,7-0,8 на ляво. Това, което ме болеше е по добре от другото, което нищо не усещаш. Нямам засегнато зрително поле, дори периферното ми зрение е цяло. Нося очила за близко 1,5. Не знам вече какво да мисля, чета, мисля, чета , мисля и нищо. Имам наследствен елемент, знам, на младини боледувах от менингоенцефалит, имах много високо налягане в главата и очите, със сигурност има значение. ОТ седмица съм с капки, вече не ме боли окото. Ще се следя и това е.

Тази екскавация е истинска катастрофа, ако е отчетена вярно. Глаукомните специалисти я отчитат най-правилно. Останалите не са достатъчно обучени. Това е допълнителна специализация, която повечето очни нямат.
Обаче лошата ви екскавация е в пълно противоречие с периферното ви зрение. Тези неща при глаукома се влошават едновременно. У мен остава съмнението, че екскавацията ви не е отчетена точно.
Колко % е зрението ви?
В градове като Бургас обикновено има 1-2глаукомни специалисти, а в градовете, които не са окръжни няма.

Последна редакция: ср, 03 сеп 2025, 00:37 от vl

# 1 023
  • Бургас
  • Мнения: 109
Здравейте,
да разкажа и моя случай, от една година имам болка в окото , неестествено усещане, тук в Бургас - 3 ма лекари нищо, от възрастта, от екрани , сухота. Отидох във Варна и се оказа - глаукома, имам увреждане на нерва и на двете очи като налягането ми е нормално - 16 и 21, а тази ескавация за която все питате направо не знам как да я напиша - 0,8-0,9 на дясно око и 0,7-0,8 на ляво. Това, което ме болеше е по добре от другото, което нищо не усещаш. Нямам засегнато зрително поле, дори периферното ми зрение е цяло. Нося очила за близко 1,5. Не знам вече какво да мисля, чета, мисля, чета , мисля и нищо. Имам наследствен елемент, знам, на младини боледувах от менингоенцефалит, имах много високо налягане в главата и очите, със сигурност има значение. ОТ седмица съм с капки, вече не ме боли окото. Ще се следя и това е.

Тази екскавация е истинска катастрофа, ако е отчетена вярно. Глаукомните специалисти я отчитат най-правилно. Останалите не са достатъчно обучени. Това е допълнителна специализация, която повечето очни нямат.
Обаче лошата ви екскавация е в пълно противоречие с периферното ви зрение. Тези неща при глаукома се влошават едновременно. У мен остава съмнението, че екскавацията ви не е отчетена точно.
Колко % е зрението ви?
В градове като Бургас обикновено има 1-2глаукомни специалисти, а в градовете, които не са окръжни няма.

Не са ме преглеждали в Бургас , а в св. Петка във Варна, нямам загуба на зрение, пише си го на епикризата - периферно зрение - без дегенеративни промени, имам и тест на зрително поле, острота на зрение на далеч 1,0, ползвам очила само за четене и те са 1,5. Това е. Нямам идея кое защо е така,но е така. Не напразно споменах , че съм била болна от менингоенцефалит преди 25 години, и то бях без диагноза над 10 дни с огромно налягане в главата и очите. За да ви обясня колко сериозно беше само ще ви кажа, че бях парализирана от кръста надолу и една седмица бях в реанимация. Структурни измения може да имам още оттогава на очите. Само времето ще покаже.

Последна редакция: ср, 03 сеп 2025, 08:22 от ANNA GERO

# 1 024
  • Мнения: 1 203
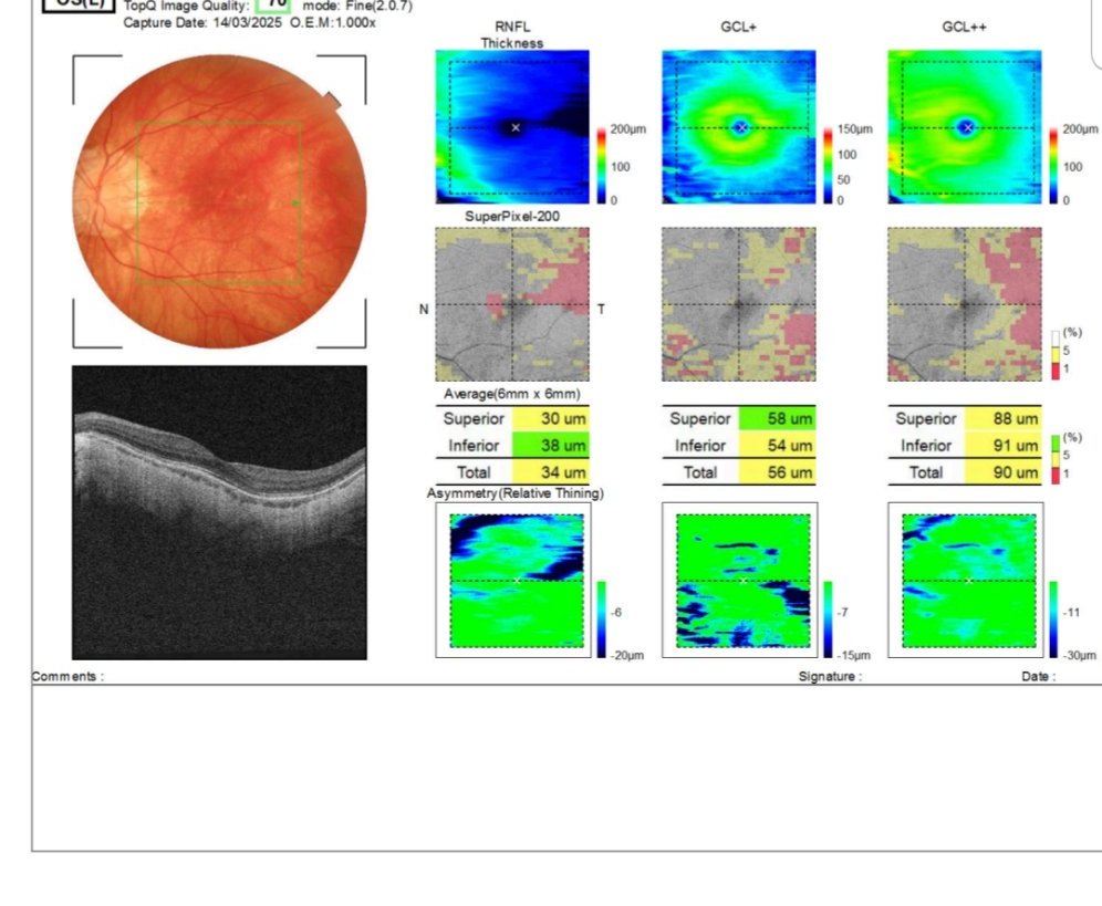
Стана ми интересно тази ескавация
Аз съм в Англия но тук незнам да мерят такава. Това са ми снимките от последните сканове през март и юни. Все още нищо не се споменава за глаукома. Имам.миопична макулна дегенерация
Ако някой тук може да ми помогне с разчета на ОСТ
Иначе ChatGpt каза някои неща и подозира други но той не е лекар все пак
Имам и катаракта early stage И на 2те очи .





ВОН ми е 25 и 24
Но имам и дебела роговица Cebtral corneal Thickness 592 microns и 598 microns left eye и на нея отдават по високото налягане явно

# 1 025
  • Мнения: 3 510
Това изследване ми предстои да го правя. Засега не го разбирам и няма как да коментирам. Надявам се моята топ специалистка по глаукома да ми го обясни подробно.
Екскавацията се определя на око с офталмоскопа от глаукомния специалист. Нормалната е 0,3. Ако е над тази стойност, това означава, че очният нерв е увреден. Глаукомата прави тъкмо това, а дали и други причини могат да я увеличат не зная.

В момента в Русия се продават 3вида капки за катаракта-каталин, квинакс и тауфон. Мой близък е женен за рускиня и ми доставя от тях.

Последна редакция: чт, 04 сеп 2025, 01:17 от vl

# 1 026
  • Мнения: 737
Това изследване ми предстои да го правя. Засега не го разбирам и няма как да коментирам. Надявам се моята топ специалистка по глаукома да ми го обясни подробно.
Екскавацията се определя на око с офталмоскопа от глаукомния специалист. Нормалната е 0,3. Ако е над тази стойност, това означава, че очният нерв е увреден. Глаукомата прави тъкмо това, а дали и други причини могат да я увеличат не зная.

В момента в Русия се продават 3вида капки за катаракта-каталин, квинакс и тауфон. Мой близък е женен за рускиня и ми доставя от тях.
Здравейте, моля да споделите при кий глаукомен специалист ходите?

# 1 027
  • Мнения: 3 510
доц. Наталия Петкова

# 1 028
  • Мнения: 1 203
Аз имам тези стойности
Мисля че те са за ескавацията.


 OD (дясно око)

Average C/D Ratio: 0.38

Vertical C/D Ratio: 0.44

Cup Volume: 0.023 mm³

OS (ляво око)

Average C/D Ratio: 0.32

Vertical C/D Ratio: 0.35

Cup Volume: 0.022 mm³

# 1 029
  • Мнения: 155
Здравейте.
Преди няколко месеца в оптика ми замериха очното налягане и два пъти в рамките на две седмици резултата беше на горна граница
Посъветваха ме да направя по- обстоен преглед .
Мисля да посетя клиника Луксор в Пловдив .
Понеже ще пътувам , може ли по- запознатите от Вас да ми кажат дали се разширяват зениците при такъв вид преглед?

# 1 030
  • Sofia
  • Мнения: 29 357
Понякога ги разширяват.
Зависи какво изследване ще правят.
На мен един път са ми слагали такива капки.
Мислих ,че ще ми се замъгли зрението,но си виждах нормално.След 1-2ч се оправя зеницата.

# 1 031
  • Мнения: 3 510
Здравейте.
Преди няколко месеца в оптика ми замериха очното налягане и два пъти в рамките на две седмици резултата беше на горна граница
Посъветваха ме да направя по- обстоен преглед .
Мисля да посетя клиника Луксор в Пловдив .
Понеже ще пътувам , може ли по- запознатите от Вас да ми кажат дали се разширяват зениците при такъв вид преглед?

Не би трябвало да разширяват зениците, но непременно трябва да посетите глаукомен специалист. Дали има такъв във въпросната клиника не зная. Те са твърде малко.

# 1 032
  • Мнения: 70
Здравейте.
Преди няколко месеца в оптика ми замериха очното налягане и два пъти в рамките на две седмици резултата беше на горна граница
Посъветваха ме да направя по- обстоен преглед .
Мисля да посетя клиника Луксор в Пловдив .
Понеже ще пътувам , може ли по- запознатите от Вас да ми кажат дали се разширяват зениците при такъв вид преглед?

Ако правят оглед на очни дъна за да видят и очения нерв ще разширят зениците , най- добре като записвате час попитайте те ще ви кажат дали ще разширяват зениците

# 1 033
  • Мнения: 155
Попитах, но на регистратура не знаеха.
Казаха , че лекаря ще прецени, а аз не знам при кой ще е прегледа.
Отивам за пръв път за евентуално потвърждаване или Дай Боже да кажат, че нямам такъв проблем.
Ще отида за всеки случай със съпруга си.
Благодаря.

# 1 034
  • Мнения: 995
Много бързо се възвръща зрението вече след разширяване.

Общи условия

Активация на акаунт