Q&A
Обобщени въпроси и отговори от темата *
Какво е препоръчителното лечение за дете с хронични белодробни проблеми?
Какво е мнението за дългосрочната употреба на инхалации с пулмикорт и Сингулар при дете с хронични белодробни проблеми?
Може ли спирометрията да се извърши на 5-годишно дете с хронични белодробни проблеми и кога е подходящо да се направи на 4-годишно дете с подобни проблеми?
* Предложените въпроси и отговори се генерират машинно от автоматизиран езиков модел на база потребителските мнения в темата. Генерираното съдържание може да е непълно, неактуално, подвеждащо или неподходящо. Вашите оценки спомагат за подобряване на модела и неговото усъвършенстване.
-
Какво е препоръчителното лечение за дете с хронични белодробни проблеми?
-
Какво е мнението за дългосрочната употреба на инхалации с пулмикорт и Сингулар при дете с хронични белодробни проблеми?
-
Може ли спирометрията да се извърши на 5-годишно дете с хронични белодробни проблеми и кога е подходящо да се направи на 4-годишно дете с подобни проблеми?
-
Какво е мнението за продължителната употреба на антибиотици и сиропи при дете с хронични белодробни проблеми?
-
Каква може да е причината за задната хрема при бебето ми и какви са възможностите за лечение?




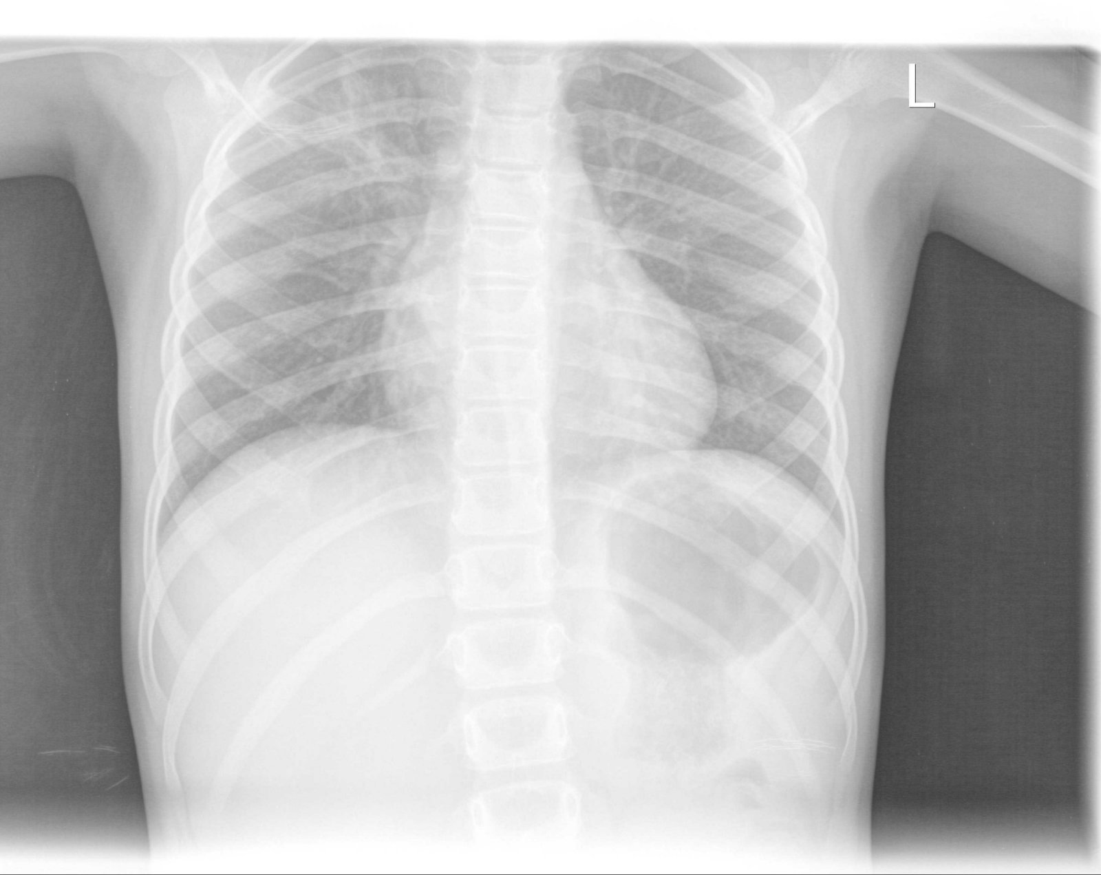
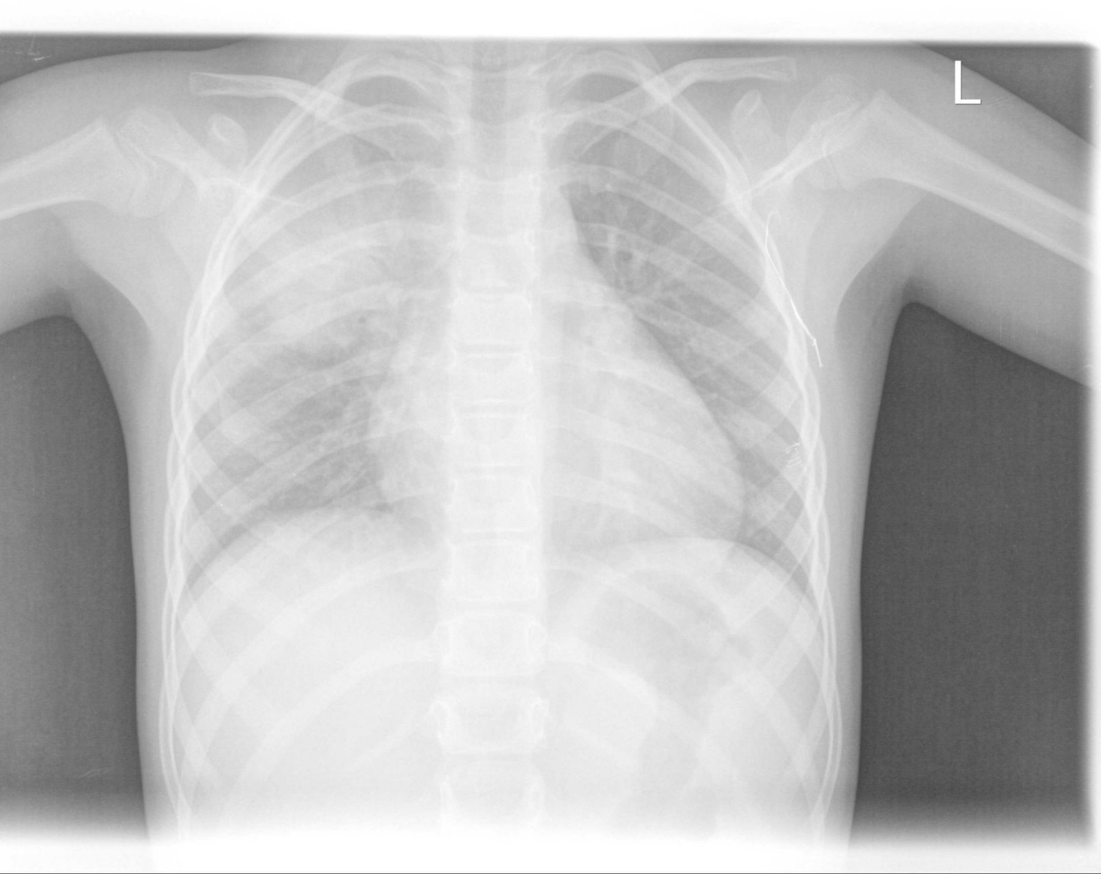
Детето започна с много висока температура около 40 градуса 3-4 дни,които почти не се повлияха от антипиретици и Хексалгин.Също и повръщане.След първият рентген ни назначиха два венозни антибиотика-7 дни-Медаксон и Амикацин ,инхалации с Пулмикорт ,Вентолин ,Урбазон и системи.Интересно беше ,че още след първата венозна апликация температурите изчезнаха.В болницата непрекъснато ни се натякваше ,че положението е много тежко,вероятно да се оправдае дългото лечение .Кръвните резултати -не бяха много добри.Суе-82 ,при изписването спадна