Майски щъркелови доставки 2021

  • 37 936
  • 739
  •   1
Отговори
# 255
  • София
  • Мнения: 25 945
Стискам палци, аз съм сега в сряда, като че ли успях да се поуспокоя малко. Надявам се всичко да е наред, но не мога повече да се напрягам така психически, че ще се разпадна. Гледам да не го мисля.

# 256
  • Мнения: 876
dimi1987 аз имах такива болки предната и тази бременност. И двата пъти беше от Утрогестана. Този път го преместих орално за 2 седмици и болките не се появиха повече... поне засега.

the happy ако се вижда сакче, то няма как да е биохимична бременност. Биохимична се засича само с тестове. Разликата в гестационната възраст е незначителна, така че аз не бих се притеснявала.

Shakeyourbody а предният път нищо че е било само сакче - отговаряше ли си на седмицата?
И аз мисля, че задължително ти трябва второ мнение.

# 257
  • Мнения: 235
dimi1987 аз имах такива болки предната и тази бременност. И двата пъти беше от Утрогестана. Този път го преместих орално за 2 седмици и болките не се появиха повече... поне засега.

the happy ако се вижда сакче, то няма как да е биохимична бременност. Биохимична се засича само с тестове. Разликата в гестационната възраст е незначителна, така че аз не бих се притеснявала.

Shakeyourbody а предният път нищо че е било само сакче - отговаряше ли си на седмицата?
И аз мисля, че задължително ти трябва второ мнение.

*PrimaVera*, вижда се точка, макар и много неясна. Каза, че трябвало да се вижда по-добре. За размера и той каза, че разликата е незначителна. Пия си дуфастона, зацапването си стана малко като слаб цикъл и чакам кръвните. Не знам и те колко ще са верни с тази кръв от пръстта Rolling Eyes

# 258
  • Мнения: 19
Здравейте. Малко уплашено и непознато ми е все още, но се записвам и аз. Първа бременност ми е, според календарите съм в 7г.с.+2дни, с термин около 08.05.2021г.  на преглед още не съм ходила ( не ме нападайте моля, тъй като виждам, че някои дами до този момент вече са ходили.) Имам записан час за другата седмица. Имам леко гадене през деня и най-вече вечер, на няколко пъти повръщах. Иначе леко бременеене на всички бъдещи мами ! Heart

# 259
  • София
  • Мнения: 25 945
Да те нападам? Мога само да те поздравя за търпението. Grinning

# 260
  • Мнения: 876
dimi1987 аз имах такива болки предната и тази бременност. И двата пъти беше от Утрогестана. Този път го преместих орално за 2 седмици и болките не се появиха повече... поне засега.

the happy ако се вижда сакче, то няма как да е биохимична бременност. Биохимична се засича само с тестове. Разликата в гестационната възраст е незначителна, така че аз не бих се притеснявала.

Shakeyourbody а предният път нищо че е било само сакче - отговаряше ли си на седмицата?
И аз мисля, че задължително ти трябва второ мнение.

*PrimaVera*, вижда се точка, макар и много неясна. Каза, че трябвало да се вижда по-добре. За размера и той каза, че разликата е незначителна. Пия си дуфастона, зацапването си стана малко като слаб цикъл и чакам кръвните. Не знам и те колко ще са верни с тази кръв от пръстта Rolling Eyes

Зацапването да не те притеснява, особено ако не е червено или розово. Аз съм с кървене от почти 4 седмици, но имам само две сутрини когато е било червено.
Ся трябвало да бъде по-ясно. Туй да не е математика. То бебетата принципно прохождат около годинката, че и по-рано, а моята щерка проходи на година и половина. Всяко същество си има негов си темп, важното е да не е с огромно отклонение от нормите.

# 261
  • Мнения: 252
dimi1987 аз имах такива болки предната и тази бременност. И двата пъти беше от Утрогестана. Този път го преместих орално за 2 седмици и болките не се появиха повече... поне засега.

Не приемам утрогестан. Пия дуфастон. Болката я имам от март, след късната загуба.. чудя се дали не е пак от шийката.. казаха ми, че е скъсена и трябва серклаж и ще правя, но още е рано за него.. сякаш имам някаква останала травма. Трима доктори ме гледаха казаха, че всичко ми е наред. За болката не съм споделяла. За нея на следващия преглед ще кажа.

# 262
  • Мнения: 19
Да те нападам? Мога само да те поздравя за търпението. Grinning

хаха, благодаря ти много ! GrinYellow HeartYellow Heart

# 263
  • Мнения: 876
dimi1987 аз имах такива болки предната и тази бременност. И двата пъти беше от Утрогестана. Този път го преместих орално за 2 седмици и болките не се появиха повече... поне засега.

Не приемам утрогестан. Пия дуфастон. Болката я имам от март, след късната загуба.. чудя се дали не е пак от шийката.. казаха ми, че е скъсена и трябва серклаж и ще правя, но още е рано за него.. сякаш имам някаква останала травма. Трима доктори ме гледаха казаха, че всичко ми е наред. За болката не съм споделяла. За нея на следващия преглед ще кажа.

Ами аз не съм имала проблем с шийката. Моята късна загуба беше септември миналата година. После не помня дали ме е боляло нещо, но следващата ми бременност започна около средата на февруари и в каря вече я имаше тази болка. Продължи до 10-та седмица когато прекъснаха бременността. Имах и уринарна инфекция тогава и я свързах болката с нея, защото веднага след като изпих антибиотика и болката спря. Но пък бях спряла и утрогестана 10 дни по-рано.
Тази бременност започна около седмица след започване на утрогестана и спря като го прехвърлих на орален прием. От около седмица съм пак на вагинален и нямам проблем. Засега нямам и инфекция. Така че по-скоро я свързвам болката с това, че от прогестерона много се надувам отдолу и дори сега имам едни огромни вени по срамните устни. Надуването става без значение дали съм на орален или вагинален прием.
Но ти ако я усещаш още от предната бременност без прекъсване, значи е от нещо друго. И не е свързана конкретно с бременността. Съмнява ме да е от шийката. Дори да е скъсена, още няма какво да прави натиск върху нея. А и докато не си била бременна, няма как да те боли от шийката.

# 264
  • Мнения: 44
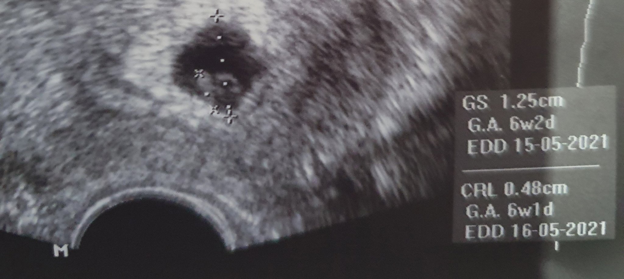
Аз не издържах да чакам до следващия преглед и в събота отидох при друг лекар да видим той какво ще каже. Видя се пак сакче с жълтъчно мехурче, но не се видя ембрион. В 7+0 седмица бях.
Док. каза, че съм съм със една седмица назад, но сакчето изглеждало съвсем нормално. Даде ми надежда, че има шанс да се развие и да отида пак в петък. А предишната лекърка ме беше подготвила утре да го махаме.
Аз имам задържан аборт в 10 седмица, няколко биохимични бременности, две неуспешни инвитро опита и раждане в 27 седмица. Слава Богу детето ми е живо и здраво и е вече на 15 месеца.
С цялото си сърце искам да задържа и това бебе, защото съм вече на 40 и това ми е последния шанс да имам още едно дете.
Стискам палци на всички въпреки трудностите да успеем да устискаме до края и да имаме по едно пухкаво бебче за финал.

# 265
  • Мнения: 137
Аз не издържах да чакам до следващия преглед и в събота отидох при друг лекар да видим той какво ще каже. Видя се пак сакче с жълтъчно мехурче, но не се видя ембрион. В 7+0 седмица бях.
Док. каза, че съм съм със една седмица назад, но сакчето изглеждало съвсем нормално. Даде ми надежда, че има шанс да се развие и да отида пак в петък. А предишната лекърка ме беше подготвила утре да го махаме.
Аз имам задържан аборт в 10 седмица, няколко биохимични бременности, две неуспешни инвитро опита и раждане в 27 седмица. Слава Богу детето ми е живо и здраво и е вече на 15 месеца.
С цялото си сърце искам да задържа и това бебе, защото съм вече на 40 и това ми е последния шанс да имам още едно дете.
Стискам палци на всички въпреки трудностите да успеем да устискаме до края и да имаме по едно пухкаво бебче за финал.

Ох дано имаме късмет Sad виж моите снимки от 2 седмици разлика в преглените

Не мога да се примиря че нещо не е наред Sad Sad

# 266
  • Мнения: 44
Аз не издържах да чакам до следващия преглед и в събота отидох при друг лекар да видим той какво ще каже. Видя се пак сакче с жълтъчно мехурче, но не се видя ембрион. В 7+0 седмица бях.
Док. каза, че съм съм със една седмица назад, но сакчето изглеждало съвсем нормално. Даде ми надежда, че има шанс да се развие и да отида пак в петък. А предишната лекърка ме беше подготвила утре да го махаме.
Аз имам задържан аборт в 10 седмица, няколко биохимични бременности, две неуспешни инвитро опита и раждане в 27 седмица. Слава Богу детето ми е живо и здраво и е вече на 15 месеца.
С цялото си сърце искам да задържа и това бебе, защото съм вече на 40 и това ми е последния шанс да имам още едно дете.
Стискам палци на всички въпреки трудностите да успеем да устискаме до края и да имаме по едно пухкаво бебче за финал.

Ох дано имаме късмет Sad виж моите снимки от 2 седмици разлика в преглените

Не мога да се примиря че нещо не е наред Sad Sad

И аз така се бях притеснила, защото в 5+3 седмица при мен всичко си отговаряше, а след 1 седмица сакчето беше нарастнало само с 3мм и дори не се виждаше ембрион.
След още три дни отидох при друг лекар и той ми даде някаква надежда, но освен да чакаме и да се надяваме, друго не ни остава.
Искрено се надявам след няколко дни да чуем така чаканите сърчица💕! Стискам палци скоро да се похвалиш с добри новини🤞🏻!

# 267
  • Мнения: 137
Аз не издържах да чакам до следващия преглед и в събота отидох при друг лекар да видим той какво ще каже. Видя се пак сакче с жълтъчно мехурче, но не се видя ембрион. В 7+0 седмица бях.
Док. каза, че съм съм със една седмица назад, но сакчето изглеждало съвсем нормално. Даде ми надежда, че има шанс да се развие и да отида пак в петък. А предишната лекърка ме беше подготвила утре да го махаме.
Аз имам задържан аборт в 10 седмица, няколко биохимични бременности, две неуспешни инвитро опита и раждане в 27 седмица. Слава Богу детето ми е живо и здраво и е вече на 15 месеца.
С цялото си сърце искам да задържа и това бебе, защото съм вече на 40 и това ми е последния шанс да имам още едно дете.
Стискам палци на всички въпреки трудностите да успеем да устискаме до края и да имаме по едно пухкаво бебче за финал.

Ох дано имаме късмет Sad виж моите снимки от 2 седмици разлика в преглените

Не мога да се примиря че нещо не е наред Sad Sad

И аз така се бях притеснила, защото в 5+3 седмица при мен всичко си отговаряше, а след 1 седмица сакчето беше нарастнало само с 3мм и дори не се виждаше ембрион.
След още три дни отидох при друг лекар и той ми даде някаква надежда, но освен да чакаме и да се надяваме, друго не ни остава.
Искрено се надявам след няколко дни да чуем така чаканите сърчица💕! Стискам палци скоро да се похвалиш с добри новини🤞🏻!

БЛАГОДАРЯ ЗА КУРАЖА😊😊😊 УСПЕХ 🍀🍀🍀🍀🍀

# 268
  • Мнения: 13
Здравейте,  мами!  И аз се присъединявам към вас. 
Имам балансирана транслокация на 6 и 8 хромозома. Бременна съм за 5 път,  за съжаление предишните 4 бременностти завършиха с аборт в 4 г.с. Този път всичко е наред,  8 седмица съм. И аз имам на моменти болки ниско в корема. От днес са по-чести,  но знам,  че около датата на очакваната М е нормално. Пожелавам лека бременност на всички и мислете само позитивно!

# 269
  • Мнения: 235
Аз ви напускам, резултатът от ЧХГ беше 1. Явно дуфастонът е задържал още 2-3 дни нещата. Прегръдки, позитивни мисли и всичко ще бъде наред Simple Smile

Общи условия

Активация на акаунт