Въпроси до зъболекарите от форума! - 3

  • 217 084
  • 3 583
  •   1
Отговори
# 900
  • Мнения: 137
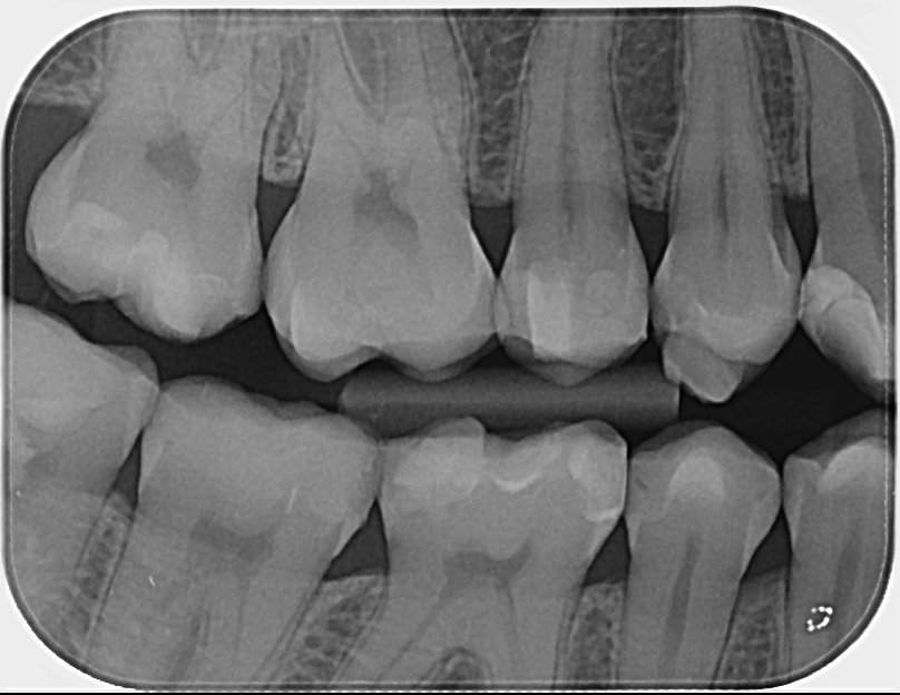
Здравейте, може ли мнение за тази снимка. Според зъболекаря, при когото бях при прегледа не се вижда нищо. А имам ужасна мигрена и имам чувството, че горе 7ми зъб ме боли.

# 901
  • Мнения: 1 369
Кога последно е направена пломбата?

# 902
  • Мнения: 137
Мисля, че 5+ години. А от снимката виждат ли се проблеми или трябват още снимки или друг метод за диагностка?

# 903
  • Мнения: 1 369
Под този ъгъл сниман зъбът не се виждат проблеми.

Аз бих проверила за чуватиелнсот/оголване в шиечнага зона (на снимката няма как да се види).
Как зъбът реагира на термични дразнения (топло/студено).
Реакция при почукване на зъба.
Реакция при стискане на зъба.

Ако всичко е отрицателно бих го изключила като евентуален източник на болка.

Вашият стоматолог направил ли е някакви допълнителни изследвания (като някое от тези, които съм изброила)?

# 904
  • Мнения: 137
Благодаря ви много за изчерпателния отговор. Правиха почукване и тест с нещо като лед и имах само чувствителност от студено на този и няколко други зъба, но това преди месец и нещо. Вероятно ще сменя пломбата за да ми е спокойно.

# 905
  • Мнения: 472
На снимката изглежда, че пломбата Ви е добре направена и не се вижда да има вторичен кариес, т.е. не би следвало болката да е от зъба, особено щом не сте реагирали и от студено и шиечната зона е добре. Сменяйки пломбата с друга, няма да постигнете нищо, най-много зъбът да се травмира и да започне да се самоумъртвява. Не изглежда проблемът да е от зъбен произход.
Синусът добре ли е?

# 906
  • Мнения: 137
Благодаря Chrissilicious. И на прегледи така ми казаха, че не се вижда проблем, освен че пломбата изглежда леко стара.
Не съм проверявала синуса. Това главоболие, което ме притесни вчера и към синуса вървеше - цялата дясна половина. За синусите панорамна снимка върши ли работа, че такава трябва да правя по принцип за друго? А от съседните или долните зъби възможно ли е да е?

# 907
  • Мнения: 3 210
Може и да е от челюстта.
Моята пука от години едностранно, понякога когато спя накриво ме заболява и болката стига чак до слепоочието.
Направете снимка на синус. С очите как сте ?

# 908
  • Мнения: 2 058
Здравейте, от 2 дни съм нова коронка на преден зъб от цирконий, това ми е единствената коронка. Чудя се нормално ли е да я усещам по- студена от останалите зъби?

# 909
  • Мнения: 99
Здравейте, от 2 дни съм нова коронка на преден зъб от цирконий, това ми е единствената коронка. Чудя се нормално ли е да я усещам по- студена от останалите зъби?
Субективно е за всеки и може да се очаква чувството да е различно спрямо останалите естествени зъби в устата.

# 910
  • Мнения: 282
Искам да попитам въпрос за кътник. Нормална ли е болка при стискане на зъби, почукване и натискане с език..първо посещение ми сложиха арсен, на второ посещение махнаха нервите и сложиха някакво лекарство и временна пломба която да изкара 2седмици. Вече мина почти седмица, но болка си има. На тази страна въобще не ям дори

# 911
  • Мнения: 1 087
Здравейте, на дъщеря ми (3г и половина) забелязах мин. Седмица че има жълти петна по дъвкателната част на кътниците. Мие зъбки всеки ден с моя помощ, не е остатък от храна, притеснява ме дали не е зачатък на кариес. След празниците мисля да я заведа на зъболекар, но със сигурност ще чакам поне месец за час.

# 912
  • Мнения: 1 369
Candy, тази симптоматика е възможно да се появи след подобни лечение, но с тенденция да отшуми. За мен на този етап не е нормално вече да я има.

Дори, не са кариеси. Simple Smile Все пак посетете стоматолог, един профилактичен преглед никога не е излишен. Simple Smile

# 913
  • Мнения: 5
Здравейте.. имам въпрос.. надявам се да има някой с подобен проблем като моя .. четох много и всичко води до дентален проблем.. та затова пиша и тука .. На езика ми се появи черно петно от няколко дни .. и не изчезва .. на какво се дължи това ..

# 914
  • Мнения: 77 172
Може би сте за лицево - челюстен хирург /ЛЧХ/...

Общи условия

Активация на акаунт