Брекети - къде, какви, за колко? - тема 6

  • 111 639
  • 731
  •   1
Отговори
# 540
  • Мнения: 5
Е сега, и ти да не останеш назад... Grinning

# 541
  • Мнения: 45
Аз дали съм ви се показвала.... Март 2014 , кръстосана и дълбока захапка. Тогава на 38 години!
http://tpetkova.snimka.bg/other/breketi.826010


Извинявай, но какви са брекетите ти? Цена?

# 542
  • Пловдив
  • Мнения: 4 599
Аз дали съм ви се показвала.... Март 2014 , кръстосана и дълбока захапка. Тогава на 38 години!
http://tpetkova.snimka.bg/other/breketi.826010



Танче, покажи и скорошна - сигурно промяната е голяма  Hug

Аз вече мога да показвам само снимки тип "1,3 г. след махане на брекетите"   Blush

# 543
  • София
  • Мнения: 4 586
Аз дали съм ви се показвала....
Извинявай, но какви са брекетите ти? Цена?

Брекетите са сапфирени.  Излизат ми 3000 лв.

# 544
  • Карлово
  • Мнения: 5 369
Та да ви се похваля от 5 дни и аз нося метални, само на горната челюст.. другият месец докторката, ще ми слага и долните.
Какво всъщност лекуваш? Много подредени ми изглеждат зъбите ти.

# 545
  • София
  • Мнения: 632
В петък слагаме на детето брекети на постоянните зъби (тя е със смесено съзъбие). Ортодонта се опитва да направи място за 1 кучешки зъб, за който няма никакво такова. Това изглежда единствения проблем.
Преди това имаше друг план за лечение от друг ортодонт. Апаратчета, чията функция не ми стана ясна и затова потърсих 2ро мнение.
Надявам се проблемния зъб да се намести с този тип брекети и да се разминем само с тях.
Ще споделя по нататък резултатите.

# 546
  • Мнения: 5
Та да ви се похваля от 5 дни и аз нося метални, само на горната челюст.. другият месец докторката, ще ми слага и долните.
Какво всъщност лекуваш? Много подредени ми изглеждат зъбите ти.
Просто трябва да кача снимка в профил и ще разбереш.... Горната ми челюст е много по-напред от долната... и леко ми стърчат зъбите като на заек Grinning Като сложа и долните ще кача снимка пак Simple Smile

# 547
  • Карлово
  • Мнения: 5 369
Та да ви се похваля от 5 дни и аз нося метални, само на горната челюст.. другият месец докторката, ще ми слага и долните.
Какво всъщност лекуваш? Много подредени ми изглеждат зъбите ти.
Просто трябва да кача снимка в профил и ще разбереш.... Горната ми челюст е много по-напред от долната... и леко ми стърчат зъбите като на заек Grinning Като сложа и долните ще кача снимка пак Simple Smile
Успех с лечението! Peace

# 548
  • Мнения: 32
аз туко що се връщам от консултация при д-р Хунджев. Първите ми впечателяния за него са страхотни - мил, отзивчив и печен. Записахме час за 30.11 за поставяне на брекети. Ще са керамични ( те са като сапфирените, само че малко по-матови, а разликата им е 1000лв  Shocked ). Излиза ми 4000лв, като включва всичко - постасвяне, сваляне, прегледи и после ретайнери. Спред мен си заслужава, този човек е с доказан опит в областта, а и в най-лошия случай пациентът носи макс 2 години брекетите. Бързи и качествени резултати. Но най-много се зарадвах, че вероятността да нося ластици е минимална  Sunglasses

# 549
  • Мнения: 63
Здравейте:) Някой има ли информация за добър ортодонт във В.Търново?

# 550
  • Мнения: 6 804
Здравейте:) Някой има ли информация за добър ортодонт във В.Търново?
Д-р Василева и д-р Чернева  Peace

# 551
  • Мнения: 63
Орентировъчни цени на челюст? А знаете ли дали при тях се плаща на части? Благодаря много :*

# 552
  • Мнения: 3
Здравеите брекетджии обмислям да си сложа и аз брекети на 27г.съм и зъбите са ми многоо криви страх мее да не ме боли.Спряла съм се на ор.Алагьозова ще пробвам да си запиша час при нея казват че е добра,моля ако някои е ходил при нея да ми каже как става вапроса със плящането.Аз съм с малко бебе и въпроса с париете ми е важен.Благодаря предварително.

# 553
  • Мнения: 6 804
Орентировъчни цени на челюст? А знаете ли дали при тях се плаща на части? Благодаря много :*
Не съм се интересувала от цени, не мога да дам актуална информация, по-добре на място. Но мисля, че може разсрочено  Peace Hug

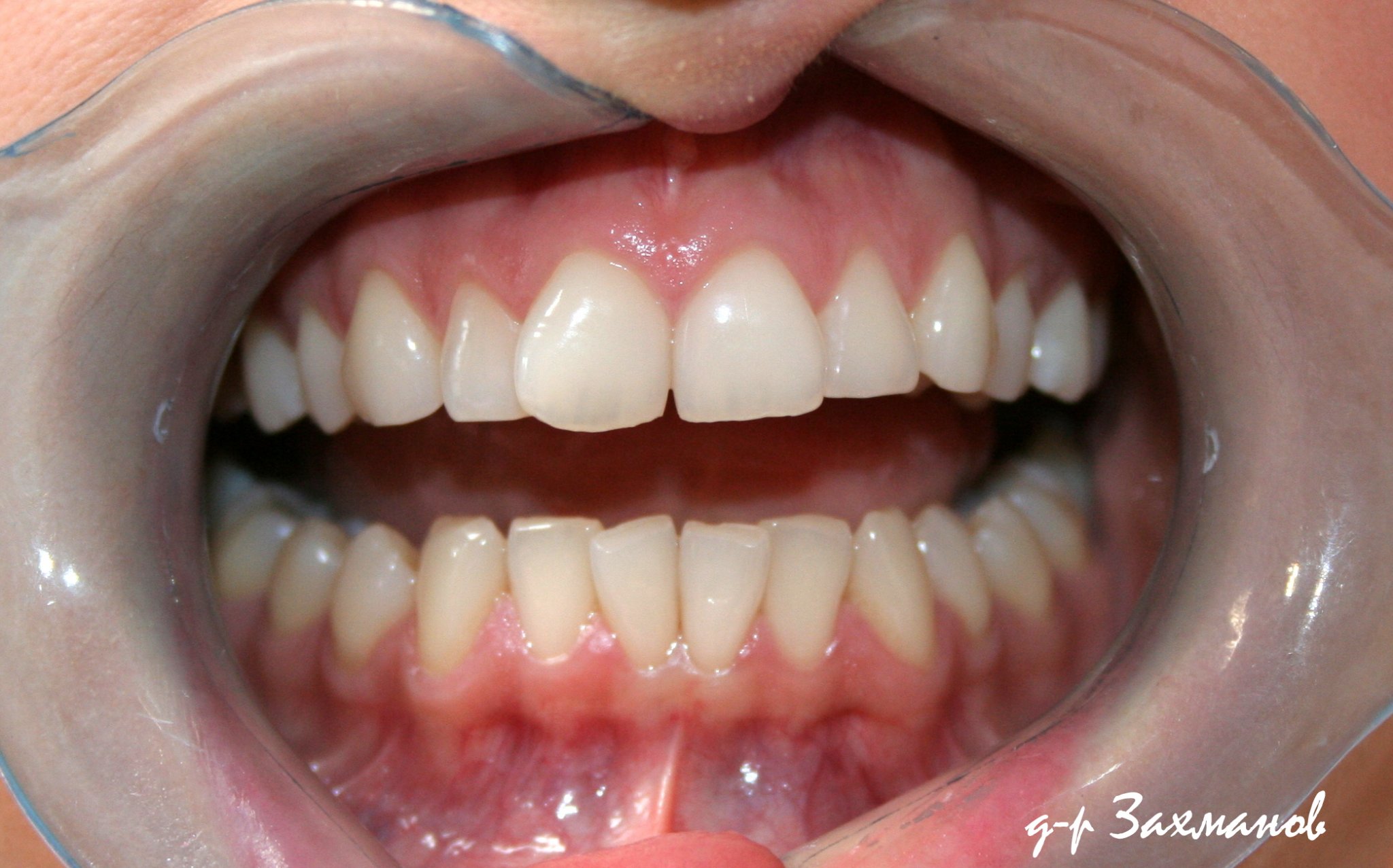
А да попитам по вещите тук - в случай на леко застъпване на един зъб с друг, само с брекети ли може да се коригира? Шини, нещо друго? И ако има друга опция, като цена кое излиза по-изгодно?
Става дума за нещо подобно като на снимката (долните средни зъби леко застъпват съседните)
Скрит текст:

# 554
  • Мнения: X
Искам да ви се похваля и на вас защото много се развълнувах... Януари месец ги свалям, беше огромна изненада за мен, защото не съм го очаквала, буквално се разревах от щастие!! 😆😊

Общи условия

Активация на акаунт