Брекети – къде, какви, за колко? -тема 13

  • 64 955
  • 831
  •   1
Отговори
# 690
  • Мнения: 3 137
И аз трупам много камък. От киселинността май зависи. Успокоиха ме, че и с брекети ще мога да си правя почистването.

# 691
  • Мнения: 4 387
Днес сложиха и на дъщеря ми брекети. Изпитва известен дискомфорт, все още не болка. Ортодонтът ме предупреди, че от утре ще се появи болка и ще отшуми до седмица. Каза също да не яде ядки, брускети, дъвки и пр. След месец е на преглед да провери как се грижи за зъбите си. Дъщеря ми е отговорна в това отношение, нищо, че е на 12, спазва добра зъбна хигиена. Поне в това отношение не кръшка. Дано така продължи. Въпросът ми е: за какви подводни камъни да следя, за да не се случи някой гаф?

# 692
  • София
  • Мнения: 254
jenica, тя ще усети ако нещо не е наред. Ако има много силна болка първите дни, може да давате панадол/Нурофен.

# 693
  • Мнения: 29 664
jeniqa, да внимава с отхапването на храни, при възможност да са на парчета.
Хубаво е да имате дентален душ за почистване вечер.С конец е бавно .

# 694
  • Мнения: 5 478
И аз бих посъветвала да не се отхапва нищо. Всъщност тя вероятно няма и да може първата седмица заради дискомфорта, но все пак го имайте предвид. Дъвка аз лично не съм употребявала вече десети месец Grinning

# 695
  • Мнения: 141
Относно дъвката,забелязвам колко противоречиви мнения има за нея🤔 Някои ортодонти категорично я забраняват(а може би не са сигурни как са залепили брекетите),други казват,че даже е "полезно" за брекетите.Вие на какво мнение сте?Аз лично на 6-тия месец от поставянето се "престраших" и си дъвча дъвки

# 696
  • Mediterraneo
  • Мнения: 43 202
Дъщеря ми не дъвчи дъвки, казва, че не й е удобно. Но пък чипсове и ядки започна да яде доста скоро след поставянето. Ябълка все още яде на парчета нарязана, но с отхапването на сандвичи и разни други неща няма проблем.
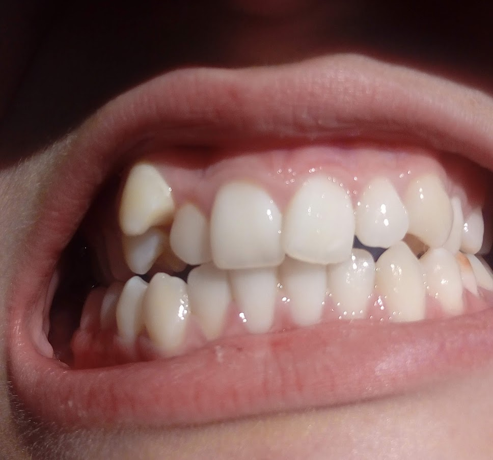
Ето да ви покажа резултата точно година след слагането на брекетите. Още 5-6 месеца и ги махаме!









Зъбът, заради който беше всичко, ще се наложи малко да се изпили, защото на фона на останалите е като чисто нов, не е имал никакво напрежение до момента. Но ще е съвсем минимална инвазията.

# 697
  • Мнения: 141
Ооо за чипсове,пуканки и всякакви пакетирани неща умирам.Аз ги метнах още на първия месец.Много съм внимателна с ядките, обожавам бадеми.А плодовете все още си ги режа (страх си ме е да отхапя)

# 698
  • Мнения: 2 577
Ако отхапваш ябълки с брекети, със сигурност ще разлепиш някой брекет.

# 699
  • Мнения: X
Мами, ново 20 при мен... отидох днес на оклузодонт, че от горе на всичко при мен и ченето криви на една страна изкуствено, заради положението на зъбите. Той ми обясни, че с ваденето на 4 премолара, ще се нареди захапката, но муцуната ми много ще се промени, понеже зъбите ми са огромни и много място ще зейне. Направо цял сантиметър назад, няма да се познавам после. Това и моята докторка ми обясни, но нямало как без вадене. Но сега този доктор ми вкара филм за комплексна диагностика с компютърно моделиране и оклузодонт също, за инвизалайн, да се предвиди точно да се изчисли по колко милиметра стрипинг и разместване на зъбите, план до милиметри. И че имало начин да стане и без вадене - той е първият, който ми казва. Доцент оклузодонт работи по ортодонтски случаи, знам ли, ще разтърсвам за мнения. Използва инвизалайн естествено. Дори по-бързо ставало с инвизалайн. Каза, че преди само брекети слагал, но нямало напълно предвидимост кое как щяло да стане. Та преди да вадя зъбите, ще ходя да видя и там какво ще ми кажат. Таман на мойте години да не се хиля с железа в устата... изкушена съм.

# 700
  • Мнения: X
A аз не мога да свикна с новата височина на челюстите и венците ми май също. На горната челюст над кучешкия и съседния имам огромни подутини, които са бели, изглеждат като кокалчета.

# 701
  • Мнения: 141
A аз не мога да свикна с новата височина на челюстите и венците ми май също. На горната челюст над кучешкия и съседния имам огромни подутини, които са бели, изглеждат като кокалчета.
И аз ги имам😔Моята ортодонтка ми каза,че се премахват само оперативно.

# 702
  • Мнения: X
A аз не мога да свикна с новата височина на челюстите и венците ми май също. На горната челюст над кучешкия и съседния имам огромни подутини, които са бели, изглеждат като кокалчета.
И аз ги имам😔Моята ортодонтка ми каза,че се премахват само оперативно.
Аз чак сега ги виждам и ме наболяват. При теб от кога са ?

# 703
  • Мнения: 3 137
На мен ми правиха отливка за инвизалайн (нали са тези, които се слагат и махат?) и ми казаха, че няма да стане. При ортодонта, който ще ми слага сега брекетите, без вадене, казаха че нямам никакви проблеми със захапка, челюсти и кости, но само с нормални брекети ще станат нещата. Сега на последния разговор преди слагането човекът ми обясни, че в моя случай препоръчва метални брекети. Каза, че хората мислели, че кристалните и други разни естетични са по-скъпи и хубави, но изобщо не било така. Били по-крехки, чупливи и резултатът често спорен. Нямал изгода да слага металните, щото били 10 пъти по-скъпи, като материал, а като крайна цена за клиента - същата. Но хората искали повече другите, че изглеждат по-естетични.

# 704
  • Мнения: X
На мен ми правиха отливка за инвизалайн (нали са тези, които се слагат и махат?) и ми казаха, че няма да стане. При ортодонта, който ще ми слага сега брекетите, без вадене, казаха че нямам никакви проблеми със захапка, челюсти и кости, но само с нормални брекети ще станат нещата. Сега на последния разговор преди слагането човекът ми обясни, че в моя случай препоръчва метални брекети. Каза, че хората мислели, че кристалните и други разни естетични са по-скъпи и хубави, но изобщо не било така. Били по-крехки, чупливи и резултатът често спорен. Нямал изгода да слага металните, щото били 10 пъти по-скъпи, като материал, а като крайна цена за клиента - същата. Но хората искали повече другите, че изглеждат по-естетични.
Аз нямам против да си нося метални, стига да има резултат. За този инвизалайн, непрекъснато чувам различни неща. Едни твърдят, че били за по-леки случаи. Други пък правят едва ли не чудеса с тях - изтеглят зъби, събират захапки с вадене на премолари... не мога да разбера. Имам седмица да мисля, преди да дам 1000лв за план на лечение... залагайки, че има шанс да не си вадя 4те премолара, при положение, че досега ми обясняват, че не можело без... но всички са на мнение, че случаят ми е сложен, макар че външно не съм грозна и зъбите ми са в права линия - малки челюсти, големи зъби... че сега с тези устни напред съм изглеждала като с напуфени с ботокс устни, а ако ми извадят 4 големи зъба, съм щяла да стана тънкоусто бабе... не искам така. Сега са ми много издадени зъбите, но няма да се приема и в другата крайност...

Та затова търся мнения за клиниката на доц. Филчев - не знам дали той е ортодонтът или не, отидох при него за консултация за оклузията, въпреки че той ме насочи към дигиталната диагностика на моя случай с инвизалайн. Пише, че проф. Филчев бил най-изявеният имплантолог в България.

Общи условия

Активация на акаунт