Разчитане на снимка от ехограф

  • 81 935
  • 512
  •   1
Отговори
# 420
  • Мнения: 133
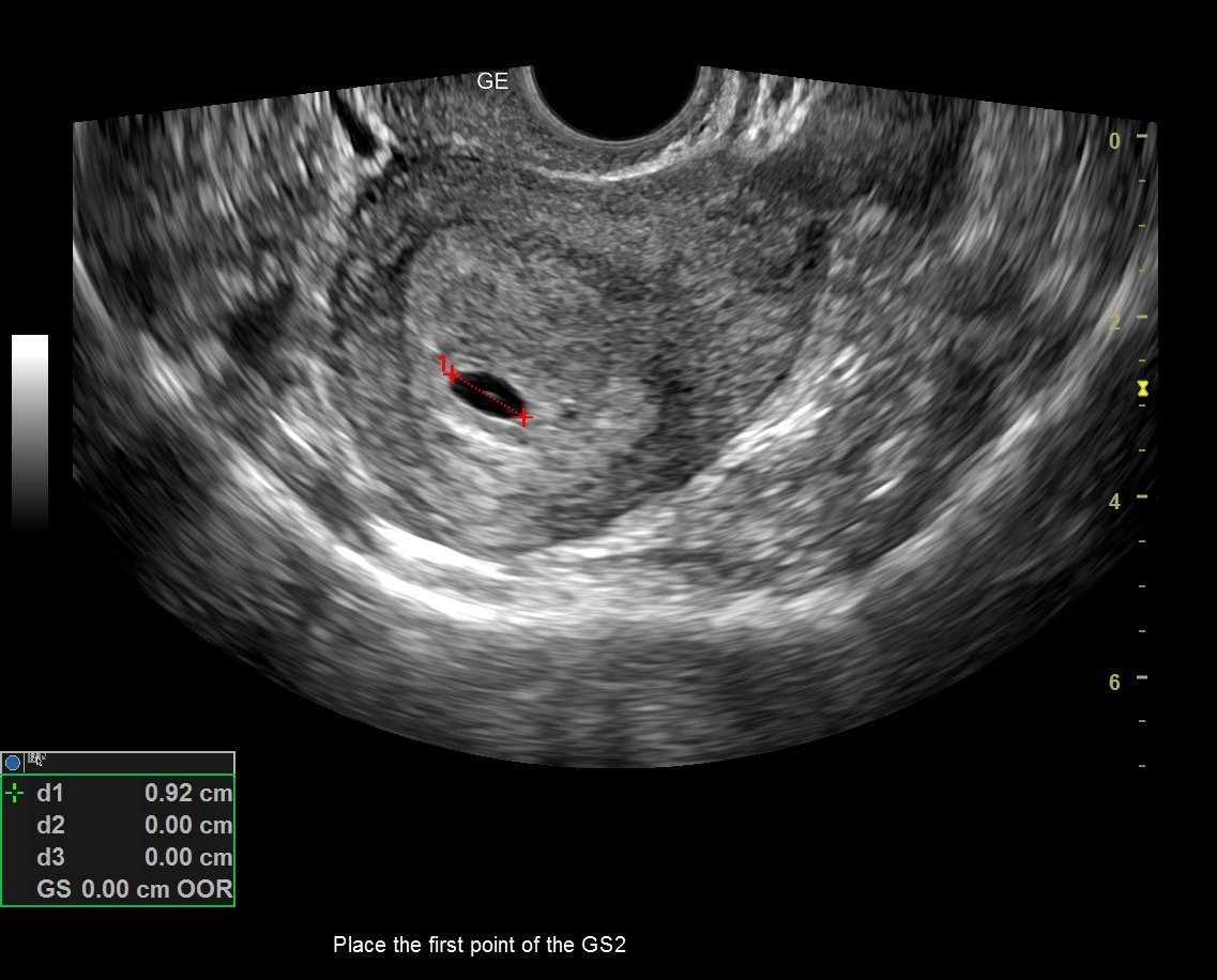
Здравейте тази снимка отговаря ли за 6 г седмица

# 421
  • Мнения: 2 116
Какво ви каза лекаря? Измерване направи ли?

# 422
  • Мнения: 133
Каза че съм в 6 седмица нищо повече ?

# 423
  • Мнения: 361


какво мислите за
пол?

# 424
  • Мнения: 3 650
Ако това , което виждам е това , за което си мисля - момченце 😄

# 425
  • Мнения: 535
Здравейте тази снимка отговаря ли за 6 г седмица

Да!

# 426
  • Мнения: 1

 Здравейте,
За 5 г. с. как ви се вижда?Понеже не успя да се види нищо друго освен плоден сак

# 427
  • Мнения: 1
Здраейте днес бях на лекар в 8-ма г.с съм все още не се вижда ембриомът казаха ми да отида в петък на лекар за да се види... притесявам се много тъй като ми е 1- ва бременност и сме го чакали 3 години

# 428
  • Мнения: 9 759
Идете при друг с по-добра апаратура. В 8 г.с. трябва и пулс да има.

# 429
  • Мнения: 535
Selena2777,отговаря си за 4-5 г.с,няма как друго да се види на този етап.
След 10 дни ще се види и ембрион,успех!



Veronikaaaa,ако са ви преглеждали с коремен ехограф възможно е,но с вагинален няма как да не се види ембрион в 8 г.с.

# 430
  • Бургас
  • Мнения: 411


Моето сакче е 9мм, отговаря на 4г.с според докторката ми. Каза след две седмици да ида пак, дали ще се види нещо вече?

# 431
  • Мнения: 535
Simpliicity_,да. Ще видите ембрион,пулс също може да се улови.

# 432
  • Мнения: 288
В  6та г.с. може и само жълтъчно мехурче да се види. Много зависи кога е настъпила овулацията (и съответно кога е станала имплантацията), както и опитът и апаратурата на лекаря. В много случаи ембрион с пулс се вижда чак в 7ма, а дори и в 8ма седмица. Вече ако след 8ма не се вижда, тогава е лош знак и е възможно да става въпрос за кухо яйце.
Така че, въоръжете се с търпение и спокойствие. 🌸

# 433
  • Мнения: 85
Здравейте, момичета, бихте ли ми помогнали с разчитането, направена е в 5г.с + 3 дни, доктора каза, че има жълто мехурче и пулсации, след инвитро съм, вика ме пак на 20ти, тогава ще съм точно в 7г.с, дали ще видим пулс тогава, много ми е притеснено предвид трудностите през които преминахме и не разбирам какви са размерите. Много благодаря на отзовалите се ❤️

# 434
  • Мнения: 235
Здравейте, момичета, бихте ли ми помогнали с разчитането, направена е в 5г.с + 3 дни, доктора каза, че има жълто мехурче и пулсации, след инвитро съм, вика ме пак на 20ти, тогава ще съм точно в 7г.с, дали ще видим пулс тогава, много ми е притеснено предвид трудностите през които преминахме и не разбирам какви са размерите. Много благодаря на отзовалите се ❤



Всичко за момента изглежда наред, щом виждате и пулсации е страхотно.
Да, би следвало в 7г.с. да чуете пулс, НО има и някои, където чуват в 8.
Успокойте се, доколкото е възможно и се насладете! Heart

Общи условия

Активация на акаунт