Разчитане на снимка от ехограф

  • 79 049
  • 490
  •   1
Отговори
# 480
  • Мнения: 9 031
На коремен почти нищо не се вижда в толкова ранни седмици. Идете при друг.

# 481
  • Мнения: 2 539
Задължително посетете друг АГ. Потресена съм от отношението…

# 482
  • Мнения: 36
Според ПРМ трябва да сте в 5+4 г.с. В десния долен ъгъл на снимката пише “GA”, вижте там какво е измерено. В 5 седмица и при мен не се видя ембрион с вагинален ехограф, не знам защо Вас са Ви гледали само с коремен (АГ започна прегледи с коремен в 9-10 г.с. при мен).
Според мен всичко ще е наред, но отидете при друг лекар следващия път.

# 483
  • Мнения: 346
Здравейте, момичета! Имам нужда от вашата помощ. Днес бях на преглед за потвърждение на бременност, потвърдена е... Но доктора беше изключително груб, не ме гледа вагинално, само коремно, не ми каза в коя седмица съм. Каза че не вижда ембрион, а на мен сякаш ми се вижда. Последния цикъл ми беше на 28 август. Моля, дайте вашето мнение относно седмиците и снимката.
Мен докторката въобще не ме е гледала с вагинален ехограф също, нямам идея защо, но в същата седмица при мен се видя абсолютно същото, малко сакче с жълтъчно мехурче. Седмица по-късно пак с коремен ехограф видяхме ембриончето и сърдечната дейност. Не ви е казала размери, защото на този етап, мерено с коремен ехограф нищо няма да излезе. Това, което виждаш не е ембрион, много е рано да се види, това което може би виждаш е жълтъчно мехурче.

# 484
  • Мнения: 27
Благодаря Ви момичета за бързите отговори! Записах час при друг лекар за след седмица. И още нещо, казах на доктора че преди 5 години съм имала мисед аборт, той се изсмя и ми каза " е нищо то може да се повтори" и сега съм притеснена и разстроена.

# 485
  • Мнения: 346
Благодаря Ви момичета за бързите отговори! Записах час при друг лекар за след седмица. И още нещо, казах на доктора че преди 5 години съм имала мисед аборт, той се изсмя и ми каза " е нищо то може да се повтори" и сега съм притеснена и разстроена.
Мале, какъв е този лекар, ако може да се нарече така, Божее. Сменяй го и въобще не го слушай, това което виждам е напълно нормално за седмицата, в която си. Другата седмица вече трябва да се види ембриончето и сърчицето.

# 486
  • Мнения: 9 031
Аз пък ще кажа, че изобщо може и да не се повтори. Ужасен лекар.

# 487
  • Мнения: 80
Момичета, моля за помощ, по принцип от днес съм 9та седмица, но на снимката пише 8+2 и доктора каза + -5 дни, защото след инвитро не можело точно да се каже, голямо е 19мм.. дали е нормално, много съм притеснена 🫣

# 488
  • Мнения: 823
5 дни отклонение не е проблем, но точно след инвитро най-точно може да се каже. Има калкулатори онлайн, с които изчислявате не по ПРМ, а по трансфер. И вече с това сравнявате като ви казват седмица по мерки. Странно докторско изказване Simple Smile

# 489
  • Мнения: 35
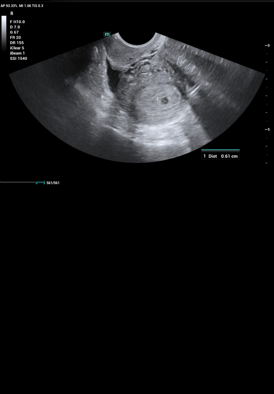
На тази снимка виждате ли сак? АГ не беше много сигурна и малко ме притесни. Трябва да съм в 5гс.

# 490
  • Мнения: 346
На тази снимка виждате ли сак? АГ не беше много сигурна и малко ме притесни. Трябва да съм в 5гс.
Ами прилича на сакче, раничко е, отидете към 7г.с, тогава ще се види и сакче и ембрионче, и сърдечна дейност дори. Разбира се, ако има бременност.

Общи условия

Активация на акаунт