Онлайн консултации с ортопед - задайте въпрос на д-р Росен Георгиев

  • 80 305
  • 702
  •   1
Отговори
# 450
  • Мнения: 318
Здравейте г-н Георгиев, бих искала консултация относно състоянието на майка ми. Оперирана е 2021 заради фрактура на прешлен на три места и е поставен гръбначен стабилизатор, има няколко остеопорозни прешлени, почти всички вторични болки от зарастването на импланта в процеса на възстановяване са изчезнали или в много редки случай има леко сковаване след силна физическа преумора. Лятото мисля че юли месец 2024г. при спъване майка ми имаше лек инцидент и леко падане, но не на гърба, а се е подпряла на лакът и колена, никакви сериозни симптоми и болки не последваха, но след месец два след малко по-голямо физическо натоварване в градината на вилата се появиха отделни стрелкащи болки и леко сковаване в ляво от долната страна на импланта при ставане от леглото след продължително лежане , също по-рязко ставане от седнало положение или вдигане на ръцете нагоре и изпъване. Болките са моментни не постоянни, но се притеснявам, с оглед на прекараната операция да не би да има някаква травма, на която трябва да се обърне внимание. Направихме снимка октомври 2024 и по снимката по долу и разчитането й не бяха описани никакви травми на гръбнака или импланта, но стрелящата болка се появява от време на време за ден или няколко после изчезва и след време пак се появява, в момента е вече трети ден, сякаш малко поотшумява от топли нагрявки, но е упорито и болезнено. Би могло да е нараняване на мускул, сухожилие или настинка, но няма  конкретно предаване и изтръпване на крайници, няма слабост в гръбначния стълб, няма и болка при продължителни разходки, тя се разхожда по 5-6 км на ден, нито при продължително стоене права. Само придръпването и срелкащата болка, която минава до 5-6 мин след ставане. Бихте ли погледнали снимката за мнение, да не би лекарите да пропускат нещо, мислим също да направим до дни ЯМР за всеки случай, благодаря предварително!

Здравейте, благодаря за въпроса.

От направените рентгенови снимки няма данни за проблем с импланта. Меките тъкани не могат да се оценят от тази снимка. Макар да са преходни болките, не Ви съветвам при тази операция да има претоварвания.

Препоръка:
- Да се направи ЯМР (ако позволява имплантът) или скенер.
- Консултация с Вашия лекуващ лекар или оператор

С уважение:
д-р Георгиев


Здравейте, много благодаря за отговора, щом не се вижда проблем с импланта или фрактура по гръбнака и прешлените около него ще търсим проблем в меките тъкани. Ами импланта е титаниев, мисля че е възможно да се направи ЯМР. Бихте ли ме посъветвали дали би имало проблем. Благодаря предварително!

Здравейте, благодаря за отговора.

Ако имплантът е титаниев, не трябва да има проблем да се направи ЯМР.
Много често центровете за образна диагностика извършват проверка чрез детектори.

С уважение:
д-р Георгиев

Последна редакция: чт, 09 яну 2025, 11:47 от Рaдост

# 451
  • Мнения: 318
Здравейте д-р Георгиев,
На 44г. съм с двустранна коксартроза (2-ра степен), като първите симптоми бяха около 25г. възраст. Отначало само лявата става ,но от известно време вече балките се усилват  и в дясната, като вече започвам да имам праблеми със съня- по-ранно събуждане, с болки. Продължавате ли да практикувате лечение на коксартроза със стволови клетки и къде? Смятате ли,че би било ефективно и какво е вашето мнение за този метод. Пре всички консултации до момента, ортопедите казват,че няма какво много да се направи- хондро протектори и НСПВ...и отлагане на смяната на ставата. Физиотерапията не помага.

Здравейте, благодаря за въпроса.
Отлагането на оперативното лечение не е малко. Моля да предоставите рентгенови снимки, за да се прецизира и лечението. Винаги има какво да се направи.

С уважение:
д-р Георгиев

Последна редакция: чт, 09 яну 2025, 11:48 от Рaдост

# 452
  • Мнения: 318
Здравейте, тъй като незнам как да ви кача целия диск Ви качвам малко снимки
[/url]

Здравейте, благодаря за ЯМР-а.

Подборът на срезове/снимки не е най- добрият. Моля да изпратите диска на имейл: infо@beta-clinic.com или чрез спедитор на адреса на Бета клиник.

С уважение:
д-р Георгиев

Последна редакция: чт, 09 яну 2025, 11:48 от Рaдост

# 453
  • Мнения: 318
Д-р Георгиев, моля за вашето мнение.
Бях писала по-назад заради майка си. На 76 г със счупване на тибията (голям пищял) след удар от кола.
Беше гипсиран кракът. Без операция. Имаше малко разместване, докторът каза, че е за смяна на става и не направи операция.
20 дни след сваляне на гипса вече се движи с проходилка. Боли я, което не е изненадващо. Физиотерапевт я насочи какво да прави.
Докторът и каза след 3 месеца да взима решение за операция за смяна на става.

Въпросът ми е- Възможно ли е да се ползва някаква ортеза на този етап, с която ходейки да се предпазва от неправилно движение и голямо натоварване? Отоци видимо няма. Има изписани добавки за стави, разреждане на кръвта, нестероидно противовъзпалително, мазило, и т. н.
Описаното е след сваляне на гипса. Един месец беше с гипс.


Здравейте, благодаря за въпроса.

Хубаво е да предоставите и актуална рентгенова снимка. Възможно е да се постави ортеза, която да предоставя стабилност и да профилактира от неправилни движения. Това, което не става ясно, колко време е била имобилизацията.

Препоръка:
- Нови рентгенови снимки.

С уважение:
д-р Георгиев
- Направете нови рентгенови снимки.

Последна редакция: чт, 09 яну 2025, 11:49 от Рaдост

# 454
  • Мнения: 318
Здравейте,

Съпругът ми си счупи костица на глезена и му сложиха ортопедичен ботуш, с който ходи вече около 5 дни, без да го е махал. Махна го и на крака му имаше огромен мехур, пълен с течност, отпред при пръстите на крака. Мехурът не боли и не е топъл при докосване.
Трябва ли да се притеснявам и да се посещава спешно лекар или ще мехурът ще се разнесе сам?

Благодаря предварително.

Здравейте, благодаря за въпроса.

Наличието на мехур/була след счупване на костите на ходилото е често срещано явление. Това е отговор на травма на меките тъкани в зоната на фрактурата и ходилото.

Препоръки:
- Нека постави крайника нависоко.
- Слагайте лед.
- Да намали натоварването.
- Можете да предоставите тук рентгеновите снимки.

С уважение:
Д-р Георгиев

Последна редакция: чт, 09 яну 2025, 11:50 от Рaдост

# 455
  • Мнения: 2
Много Ви благодаря, д-р Георгиев! Рентгенови снимки нямаме, тъй като в суматохата не поискахме в Пирогов. Очакваме да се разнесе мехура и всичко с глезена да е наред....

# 456
  • Бургас
  • Мнения: 26 191
Здравейте, Др. Георгиев!
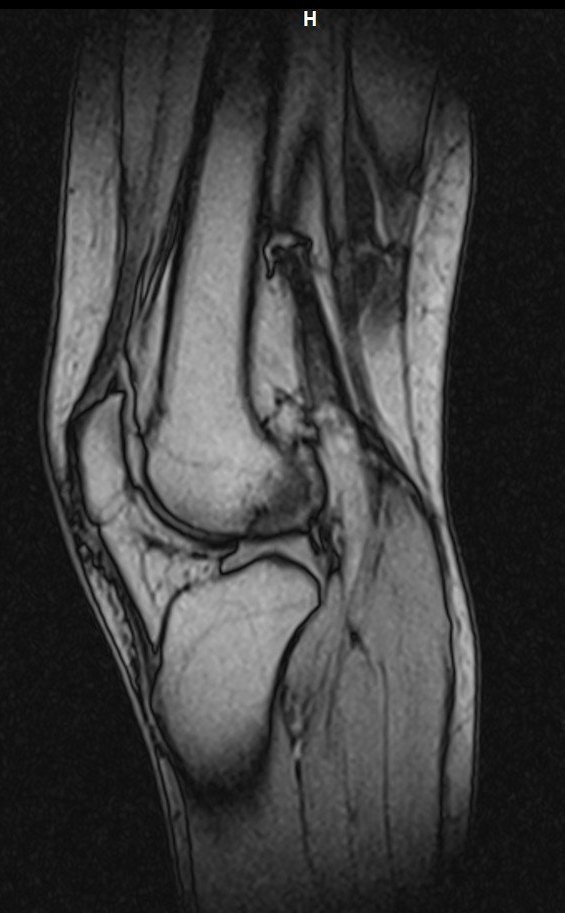
От повече от година имам болки в дясното коляно. Има моменти (дни) в които болката намаля има други в които боли много. При ставане се чува пукане от коляното. А при качване на стълби и двете ми колена хрускат силно, все едно хрупам солети.
От задна страна на дясното коляното, на моменти усещам мястото все едно е надуто и нещо като усукване. Много е сложно да се обясни, какво точно е усещането.
Понякога усещам как крака ми започва да получава крампи, докато ходя.

И другият проблем, който имам е в дясното рамо. В най-лошите дни, когато болката е много силна  рамото ме боли, ако го натисна назад, цялата ръка ми се сковава. Има определени движения, които не мога да направя. Ръката ми изтръпва понякога и тежко не мога да нося.
Ходих на невролог и правих и рентгенова снимка. Като диагноза ми написаха Синовит и теносиновит, неуточнен.
Казаха, че било възпаление, шип. Казаха ми, нещо от рода на ,,замръзнала ръка,, не се сещам точното наименование.

Какво мога да пия за облекчаване на болките и какъв всъщност е проблема ми?

Благодаря ви за вниманието!

# 457
  • Мнения: 318
Здравейте, Др. Георгиев!
От повече от година имам болки в дясното коляно. Има моменти (дни) в които болката намаля има други в които боли много. При ставане се чува пукане от коляното. А при качване на стълби и двете ми колена хрускат силно, все едно хрупам солети.
От задна страна на дясното коляното, на моменти усещам мястото все едно е надуто и нещо като усукване. Много е сложно да се обясни, какво точно е усещането.
Понякога усещам как крака ми започва да получава крампи, докато ходя.

И другият проблем, който имам е в дясното рамо. В най-лошите дни, когато болката е много силна  рамото ме боли, ако го натисна назад, цялата ръка ми се сковава. Има определени движения, които не мога да направя. Ръката ми изтръпва понякога и тежко не мога да нося.
Ходих на невролог и правих и рентгенова снимка. Като диагноза ми написаха Синовит и теносиновит, неуточнен.
Казаха, че било възпаление, шип. Казаха ми, нещо от рода на ,,замръзнала ръка,, не се сещам точното наименование.

Какво мога да пия за облекчаване на болките и какъв всъщност е проблема ми?

Благодаря ви за вниманието!

Здравейте, благодаря за въпросите.

Причините за оплакванията от болки в колянната става може да са множество. Хубаво е да се започне от рентгенова снимка, за да се установи какви артрозни промени са настъпили. Може да се наблюдават периоди на изливи, които да увеличават болката.

Замръзналото рамо се характеризира най-често с болки и ограничени движения. Ако има изтръпвания, това означава притискане на нерв. За да се установи на какво ниво е , трябва да се направи хубав преглед.
Можете да видите още информация: https://beta-clinic.com/%D0%B7%D0%B0%D0%BC%D1%80%D1%8A%D0%B7%D0% … 0%B0%D0%BC%D0%BE/

Не Ви съветвам да приемате лекарства без извършването на преглед.

С уважение
Д-р георгиев

Последна редакция: чт, 16 яну 2025, 13:49 от Рaдост

# 458
  • Мнения: 12 938
Благодаря, д-р Георгиев!
32 дни беше с гипс. Имаме снимка на диск след сваляне на гипса. Нямам опция в момента да я кача онлайн.
При първа възможност ще я пусна
Скрит текст:
Д-р Георгиев, моля за вашето мнение.
Бях писала по-назад заради майка си. На 76 г със счупване на тибията (голям пищял) след удар от кола.
Беше гипсиран кракът. Без операция. Имаше малко разместване, докторът каза, че е за смяна на става и не направи операция.
20 дни след сваляне на гипса вече се движи с проходилка. Боли я, което не е изненадващо. Физиотерапевт я насочи какво да прави.
Докторът и каза след 3 месеца да взима решение за операция за смяна на става.

Въпросът ми е- Възможно ли е да се ползва някаква ортеза на този етап, с която ходейки да се предпазва от неправилно движение и голямо натоварване? Отоци видимо няма. Има изписани добавки за стави, разреждане на кръвта, нестероидно противовъзпалително, мазило, и т. н.
Описаното е след сваляне на гипса. Един месец беше с гипс.


Здравейте, благодаря за въпроса.

Хубаво е да предоставите и актуална рентгенова снимка. Възможно е да се постави ортеза, която да предоставя стабилност и да профилактира от неправилни движения. Това, което не става ясно, колко време е била имобилизацията.

Препоръка:
- Нови рентгенови снимки.

С уважение:
д-р Георгиев
- Направете нови рентгенови снимки.

# 459
  • Мнения: 463
Здравейте д-р Георгиев ,
Имам гонартроза 3 та степен , установена с рентген от преди 2 год.  Горе долу от тогава  болката при претоварване от ходене стана много силна . Зимата боли и при по леки натоварвания , като изкачване или слизане на стълби , а понякога дори без никакви натоварвания .
Правих няколко пъти физиотерапия  и веднъж колагенова терапия с гуна . След колагеновата терапия имаше период почти 4-5 месеца в който се чувствах доста добре.  Сега от няколко седмици пак съм с постоянни болки и лек оток в колянната става.
Чудя се да ходя ли пак на колагенова терапия гуна , да слагам инжекции или да пробвам плазмотерапия !
Не съм от София и лечението с плазма ще е по-трудно осъществимо .
Какво бихте предложили като терапия  ?

# 460
  • Мнения: 9 748
Здравейте! От вчера започна лека болка във възглавничката на ходилото на десния крак. Към момента болката се усилва, но отново само при стъпване, когато съм в покой не ме боли. Стъпвайки усещам нещо като топче във възглавничката, а такова при допир няма. Може би е надуто мястото.
Възможно ли е да е някакъв възпален нерв? Какво да приемам, за да отшуми болката?

Последна редакция: сб, 18 яну 2025, 07:12 от Кристал

# 461
  • Мнения: 318
Здравейте д-р Георгиев ,
Имам гонартроза 3 та степен , установена с рентген от преди 2 год.  Горе долу от тогава  болката при претоварване от ходене стана много силна . Зимата боли и при по леки натоварвания , като изкачване или слизане на стълби , а понякога дори без никакви натоварвания .
Правих няколко пъти физиотерапия  и веднъж колагенова терапия с гуна . След колагеновата терапия имаше период почти 4-5 месеца в който се чувствах доста добре.  Сега от няколко седмици пак съм с постоянни болки и лек оток в колянната става.
Чудя се да ходя ли пак на колагенова терапия гуна , да слагам инжекции или да пробвам плазмотерапия !
Не съм от София и лечението с плазма ще е по-трудно осъществимо .
Какво бихте предложили като терапия  ?

Здравейте, благодаря за въпроса.

Препоръчвам Ви да направите нова рентгенова снимка, защото нещата може да са се променили.
Можете да приложите снимката ТУК. Тази рентгенова снимка, която имате е стара.
Не мога да Ви дам препоръка за терапия без нови изследвания.

С уважение
д-р Георгиев
www.beta-clinic.com

# 462
  • Мнения: 318
Здравейте! От вчера започна лека болка във възглавничката на ходилото на десния крак. Към момента болката се усилва, но отново само при стъпване, когато съм в покой не ме боли. Стъпвайки усещам нещо като топче във възглавничката, а такова при допир няма. Може би е надуто мястото.
Възможно ли е да е някакъв възпален нерв? Какво да приемам, за да отшуми болката?

Здравейте, благодаря за въпроса.

Това усещане за болка и дискомфорт е важно да се установи на какво се дължи. Може да е причинено от претоварване, неудобни обувки, плоскостъпие, компресия на нерв и още много други.
Без да се направи преглед, не мога да Ви препоръчам медикамент. Можете да намалите натоварването на първо време.

Препоръки:
Pushpin Преглед при ортопед
Pushpin Намалете натоварването
Pushpin Направете изследване за плоскостъпие

Можете да видите още за компресия на нерв на ходилото: https://beta-clinic.com/%D0%B4%D0%B8%D0%B0%D0%B3%D0%BD%D0%BE%D1% … 1%82%D1%8A%D0%BD/

С уважение:
д-р Георгиев

Последна редакция: пн, 20 яну 2025, 10:21 от Рaдост

# 463
  • София
  • Мнения: 2 080
Здравейте! Парене в ходилата, което се появява за няколко секунди и изчезва, 2-3 пъти на ден, на какво може да е признак? За какъв специалист е- ортопед или невролог?

# 464
  • Мнения: 2 376
Здравейте, от известно време имам болки в колената, които не са постоянни, повече в лявото коляно - отзад на сгъвката и точно под капачката, пукат от време на време. Също така се усеща нещо като напрежение в коляното, което след няколко крачки изчезва - сякаш си се намества. Усещам и напрежение в мускулите на прасците, не е крампа, ами по скоро като напрежение по мускула, както и слаби мускулни потрепвания/ако специално не обърна внимание, не се усещат/. Не знам дали нещата имат връзка по между си. Личния лекар ми изписа "Вимово" за една седмица и към момента го приемам, но не съм убедена, че това е решението. Четох, че е възможно потрепванията да бъдат от липса на калий, а за коленете ми се искаше да мина курс физиотерапия. Според Вас как да процедирам от тук нататък - изследвания, терапии, към какъв специалист да се насоча?

Общи условия

Активация на акаунт