Боледуване на децата ни - тема 85

  • 18 559
  • 753
  •   2
Отговори
# 570
  • Мнения: 4 600
Оказа се начална пневмония вляво при сина ми, утре ще го приемат в болница

Кашля ли? Какви са симптомите? Бързо оздравяване!

Римона, миналата година дъщеря ми куцаше няколко дни. Водихме я на ортопед, каза усложнение след вирус. Мина с Нурофен.

Аз съм малко в недоумение какво да правя с това дете.
Петък вечер вдигна към 38,нощес 39
Събота 39.5, повърна сутринта (подозирам от глад и някакъв спад в захарта, случвало се е и преди)
Неделя 39, повърна сутринта
Понеделник вечер 39.4
Вторник сутринта 39.4,вечерта 38.5 и последно съм давала нурофен
Сряда преди обяд лек сопол, дадох Ериус и мина
Четвъртък следобяд се изкашля веднъж и след сън гласът беше дрезгав, но бързо се оправи, няма сополи
Най-високата температура от сряда и четвъртък е 38.5, но от време на време я качва. Следобед се уморява и спи доста. Във вторник спа 5 часа, вчера 2-3 часа, днес 3 часа. Иначе е жизнена, играе си, хапва малки количества храна, пие много вода и чай.
Педиатърката казва вирус,нормално е.
Чудя се обаче наистина ли е нормално шести ден с грип да поддържа тия температури.
Едно се убедих, че есента ще я ваксинирам. Просто съжалявам безброй пъти, че не го направих, измъчих си детето два пъти... 😭

# 571
  • Мнения: 2 097
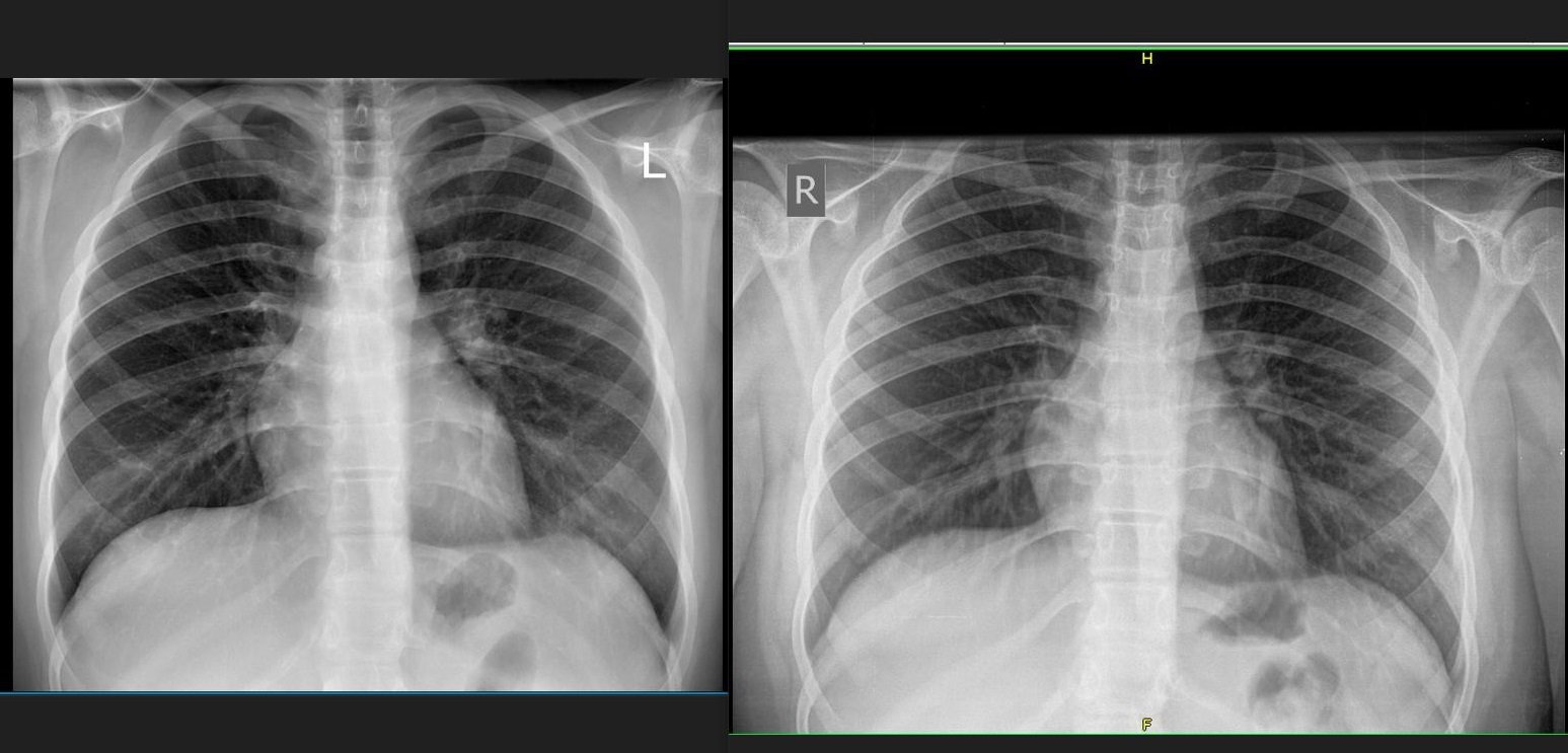
Утре щв ходим в болницата, сега сме в къщи и интересното е че свали температурата на 36,7. Иначе започна много да киха хремата се втечни и го болят очните ябълки при движение, странна работа. Озадачава ме описанието на снимката, интерстициалното възпаление не беше ли по скоро засягане на съединителната тъкан и типична находка за ковид, казваха му пневмонит, конгестирани синуси имаше предния път при бронхит

Кашля но не много , беше сухо сега е по влажно но на мен ми изглежда да идва от носа.

Последна редакция: чт, 30 яну 2025, 21:38 от Sparkles

# 572
  • Мнения: 1 412
И аз за моят се чудех дали пък не е ковид, защото той имаше променен вкус и не усещаше някои миризми. Но вече май клоня към грип. Само да не е втасал и той с пневмония, че е с подобни симптоми.
Ella, на моят днес му беше 5ти ден с температура ту има ту няма.

# 573
  • Мнения: 301
Sparkles бързо оздравяване.Учудвам се щом е за болница защо не са ви приели днес

# 574
  • shumen
  • Мнения: 21 322
Sparkles,да се оправя скоро детето.
Елла,моя е карал пневмония само с Т.Ако трябва заведи пак детето на лекар.

# 575
  • Мнения: 364
При моето дете след грип, температура имаше 8-9дни..
Първите 4 висока и постоянно а следващите вдигаше,само следобяд до 37.6 и я сваляше сам без лекарства.
Но заради кашлица го водих на дежурен, овладяхме я с инхалации.
После се обърнаха нещата и на 10 ти ден беше с 35.2 или 35.4 заради многото температуро понижаващи сигурно.
Та за да е добре и във форма отне около 15 дни общо Sad

# 576
  • Мнения: 4 643
На някое дете промивали ли са му ушите какво да очаквам ? Моят мъж лятото му беше влязла вода в ухото и ходи ..днес като му казах за детето реагира много странно каза ми че не било за него тази процедура ..сега ми е притеснено като го знам какъв драматик е ..днес 40 минути рева на тротоара че не иска да му взимат кръв ..

# 577
  • Мнения: 2 097
Sparkles бързо оздравяване.Учудвам се щом е за болница защо не са ви приели днес
Педиатърката каза че ще даде талон и ни насочи към по-малка болница където можели и да преценят да правят само вливания, по другите нямало места, и докато излезе снимката и отидем мина 18 часа и там казаха по добре да отидем сутринта.

# 578
  • Мнения: 364
На някое дете промивали ли са му ушите какво да очаквам ? Моят мъж лятото му беше влязла вода в ухото и ходи ..днес като му казах за детето реагира много странно каза ми че не било за него тази процедура ..сега ми е притеснено като го знам какъв драматик е ..днес 40 минути рева на тротоара че не иска да му взимат кръв ..
На моето ги промиваха на 7г е бил,с една голяма доста (може би колкото малка бутилка минерална вода) е спринцовката с вода,и отдолу подлагат едно легенче,ако водата е с приятна температура няма проблем.
Не е изпитал болка или дискомфорт голям.

Последна редакция: пт, 31 яну 2025, 00:50 от Teriska

# 579
  • Мнения: 1 412
Sparkles, в София ли сте? Ако е така ще съм благодарна ако споделиш към коя болница ви насочиха. И аз започвам да се подготвям за подобен сценарий вече. А изобщо не ми се ще да влиза пак в болница, миналия месец лежа в болница, обезводнен с чревна инфекция.

# 580
  • Мнения: 2 097
Sparkles, в София ли сте? Ако е така ще съм благодарна ако споделиш към коя болница ви насочиха. И аз започвам да се подготвям за подобен сценарий вече. А изобщо не ми се ще да влиза пак в болница, миналия месец лежа в болница, обезводнен с чревна инфекция.
В Пловдив сме

# 581
  • shumen
  • Мнения: 21 322
Ликеуинд,на мен са ми ги промивали.Не е толкоз лошо.Болка няма.

# 582
  • Мнения: 2 097
Момичета има ли тема за тълкуване на рентгенови снимки? Лятото беше с бронхит. Отворих новата и старата снимка след изклекуването и разлика не виждам, вярно че не съм специалист обаче това ме озадачава, ще ми се да го види пулмолог

# 583
  • Мнения: 4 509
Sparkles, освен да направиш онлайн консултация? Тема не знам да има за рентгенови снимки. Евентуално в темата за ковид за пробваш?

# 584
  • Мнения: 2 097
Sparkles, освен да направиш онлайн консултация? Тема не знам да има за рентгенови снимки. Евентуално в темата за ковид за пробваш?
Качвам за сравнение, вляво е новата с пневмония, вдясно след излекуван бронхит преди 5 месеца:
Скрит текст:
Мисля утре да се консултирам с друг рентгенолог за тълкуване особено ако няма температура

Последна редакция: чт, 30 яну 2025, 23:38 от Sparkles

Общи условия

Активация на акаунт