Резултати от микробиология - тема 3

  • 22 294
  • 740
  •   1
Отговори
# 315
  • Варна
  • Мнения: 3 724
О, никакво самолечение, ама прави сте -парадокс-не знаем имаме или нямаме нещо вече с тези лаборатории и очевидно работа през пръсти…Сряда другата седмица ще ходя да ми взимат секрет пак и ще го пусна в други две лаборатории. Варненки може да се включат с препоръка за читава лаборатория за микробиология. Между другото и в резултата от цитонамазката пишеше “без наличие на микроорганизми”, ако под микроорганизми се разбират бактерии.

# 316
  • Мнения: 30
Какво мислите за тези глобули с млечна киселина, за слагане преди пробиотик?

https://galen.bg/donafil-vaginalni-ovoli-2g-h-10

# 317
  • Мнения: 142
Ivka_smile зоните в сиво изобщо не ги гледай. От Геника ми бяха обяснили, че всичко под 10% е ок, ако е в жълта зона лекуваш. За гъбите вариантите са 2, ако скоро си лекувала може да излязат на изследването и ако не са “ живи” така да се каже, защото с този тест изследват ДНК и хваща и бактерии и гъби, които не са живи, а се изчистват от организма ти. За това Фемофлор поне 20 дни след лечение на каквото и да било и поставяне на пробиотик. И вариант 2 изобщо няма да се учудя ако Лаборекспрес не са ги хванали, а като гледам са в червено и аз бих се доверила на Геника.

# 318
  • Варна
  • Мнения: 3 724
Alex, не беше скоро лечението на гъбите, затова е по-скоро вариант 2, а и си имам някаква симптоматика ,която ме притеснява и заради която търся толкова да махна причината.

# 319
  • Мнения: 277
Какво мислите за тези глобули с млечна киселина, за слагане преди пробиотик?

https://galen.bg/donafil-vaginalni-ovoli-2g-h-10
на 10000% ДА
Имат чаено дърво и борна киселина.
Силно оръжие срещу всичко.
Вземай ги

# 320
  • Мнения: 73
Момичета, вече ще слагам Клиндавазин четвърта вечер. След първите две апликации получих странно кървене (знам, че присъства в нежеланите странични реакции), лекаря не ми отговори дали трябва да преустановя лечението. Вчера и днес няма такова, но все пак реших да се допитам за мнението ви дали е проблем да завърша курса?
Също така, загледах се и аз в този Донафил, има ли смисъл да го прилагам алед Клиндавазина, преди Гинофита или да използвам само Гинофит, така и така съм го купила?
Припомням, че главния ми проблем е Стафилококи в изключително високо количество и почти никакви лактобацили.
Искам и вдно мнение за вагиналния пробиотик Нарине. Ползвала съм го, но тогава нито знаех, че е хубаво да подкиселя средата преди да го използвам, а се оказва и че инфекцията не е била овладяна, така че не съм видяла ефект, очевидно защо….

# 321
  • Мнения: 142
Има ги и в геника. Има гш навсякъде, разширен пакет, микробиология на урина…
Гинеколожката още от първият път ми проследява с контрола  гарднерелата в урината и със секрет. Не знам какво да правя, момичета.

И аз такаааааа, 1 година се мъча с нея. Даже на 27 юни завършвам 1 година мъчение ще празнувам рожден ден…. На мъката и захващам 2 рата година проблемен и мъчително болезнен начин на живот……
В кръга на шегата по назад може да видиш мои коментари как изглежда , какво представлява и какъв е нейния биофилм.
Уникално гадно нещо , цялата аптека за лечение по протокол на Гарднерела я имам у нас. Кашона ми с лекарства веече прелива……….
Минавам да ви покажа и новия ми коктейл от зарази освен гарднерела
От много ходене по лекари и обикаляне, вчера установихме , поне при мен че тя седи активно в тялото заради нисък Естроген тънка лигавица и от там липса на Гликоген. Когато няма гликоген и глоколизата не се случва във влагалището ииии няма храна , гинофулус или каквото да слагате нищо не се захваща за нашите стени и те си падат. Глобулата се Рони и така…., не се завъжда нищо.  Ако се завъди полезна бактерия тя е много по дълга, мутирала и негодна да ни пази
Та….. по този повод пуснах кортизол слюнка
3 кратно
Инсулин, пролактин, ТСХ
ц3 ц4 комплимент
Лекаря ми каза , че ако оправим гликогена успешно ще завъдим бацили и те ще се справят с гарднерела
И така предложи ми PRP- плазми терапия със собствени тромбоцити. Извъртяхме плазма и ми ги поставиха инжекционно във влагалището в стените и лигавицата. С упойка не боли…… за 12 мин
Сега се очаква естествена стимулация на всичко и да се оправи тялото.
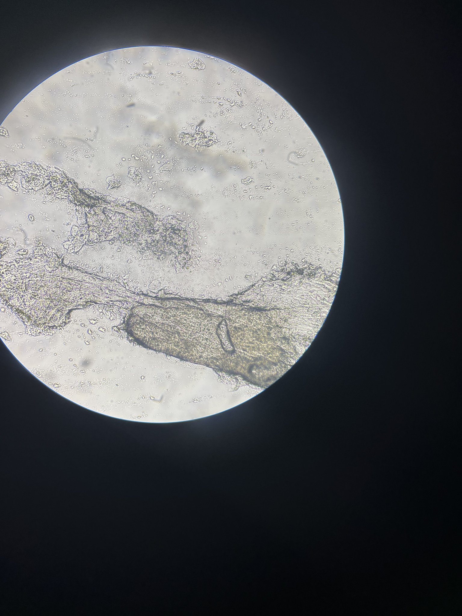
Лекувам се с турски битерал….. ще приложа снимка на снимка 1 се вижда дебел тлъст биофилм на гарднерела
На снимка 2 ще видите как битерала го е разбил ………. Разпукано, като цвете
И ми изтичат бели парцали - Детритна маса мъртви гарднерела ……. В очакване съм да я унищожа…… .   1

.  2.


.   
На тази снимка 3 също се вижда детрит почти вече биофилма е разбит на хиляди малки парчета и вече антибиотика ще лекува.
Исмам да кажа , за схемата на лечение първо изпих 2 грама =2000 милиграма метронидазол наведнъж след него този биофилм се разпадна и започна да ми изтича на парцали и кафяви корички…. Сякаш от рана , после бяха бели парцали. Също сложих Донафил- глобули с борна киселина тя също е 2000 мг
Сега след тази ударна доза 10 дни ще пия Битерал- орнидазол 2 х 500
И 10 дни ще слагам донафил х 1 вечер след него ефекта е уникален
После минаваме на гинофилус 14 дни х2 на ден за супер хроничен случай
И следим Естрадиола дали влиза в норма….


Та така…… гарднерела е сложен казус …..
при мен разбрах от какво. Ако решите може да ми пишете и на лично отворена съм за въпроси 🍀🍀🍀🍀успех
[/quote]
А ентерокока с какво ще го лекувате?

# 322
  • Мнения: 277
Има ги и в геника. Има гш навсякъде, разширен пакет, микробиология на урина…
Гинеколожката още от първият път ми проследява с контрола  гарднерелата в урината и със секрет. Не знам какво да правя, момичета.

И аз такаааааа, 1 година се мъча с нея. Даже на 27 юни завършвам 1 година мъчение ще празнувам рожден ден…. На мъката и захващам 2 рата година проблемен и мъчително болезнен начин на живот……
В кръга на шегата по назад може да видиш мои коментари как изглежда , какво представлява и какъв е нейния биофилм.
Уникално гадно нещо , цялата аптека за лечение по протокол на Гарднерела я имам у нас. Кашона ми с лекарства веече прелива……….
Минавам да ви покажа и новия ми коктейл от зарази освен гарднерела
От много ходене по лекари и обикаляне, вчера установихме , поне при мен че тя седи активно в тялото заради нисък Естроген тънка лигавица и от там липса на Гликоген. Когато няма гликоген и глоколизата не се случва във влагалището ииии няма храна , гинофулус или каквото да слагате нищо не се захваща за нашите стени и те си падат. Глобулата се Рони и така…., не се завъжда нищо.  Ако се завъди полезна бактерия тя е много по дълга, мутирала и негодна да ни пази
Та….. по този повод пуснах кортизол слюнка
3 кратно
Инсулин, пролактин, ТСХ
ц3 ц4 комплимент
Лекаря ми каза , че ако оправим гликогена успешно ще завъдим бацили и те ще се справят с гарднерела
И така предложи ми PRP- плазми терапия със собствени тромбоцити. Извъртяхме плазма и ми ги поставиха инжекционно във влагалището в стените и лигавицата. С упойка не боли…… за 12 мин
Сега се очаква естествена стимулация на всичко и да се оправи тялото.
Лекувам се с турски битерал….. ще приложа снимка на снимка 1 се вижда дебел тлъст биофилм на гарднерела
На снимка 2 ще видите как битерала го е разбил ………. Разпукано, като цвете
И ми изтичат бели парцали - Детритна маса мъртви гарднерела ……. В очакване съм да я унищожа…… .   1

.  2.


.   
На тази снимка 3 също се вижда детрит почти вече биофилма е разбит на хиляди малки парчета и вече антибиотика ще лекува.
Исмам да кажа , за схемата на лечение първо изпих 2 грама =2000 милиграма метронидазол наведнъж след него този биофилм се разпадна и започна да ми изтича на парцали и кафяви корички…. Сякаш от рана , после бяха бели парцали. Също сложих Донафил- глобули с борна киселина тя също е 2000 мг
Сега след тази ударна доза 10 дни ще пия Битерал- орнидазол 2 х 500
И 10 дни ще слагам донафил х 1 вечер след него ефекта е уникален
После минаваме на гинофилус 14 дни х2 на ден за супер хроничен случай
И следим Естрадиола дали влиза в норма….


Та така…… гарднерела е сложен казус …..
при мен разбрах от какво. Ако решите може да ми пишете и на лично отворена съм за въпроси 🍀🍀🍀🍀успех
А ентерокока с какво ще го лекувате?
[/quote]

Излезе ми антибиограма и към него има чувствителност на Аугументин и Амоксиклав.
Ще пия номер 2 14 дни х 2 на ден
Успоредно със гинофилус долу 2 х 1 и лакто баланс

# 323
  • Мнения: 14
Здравейте! При лечението на уреаплазма парвум по време на прием на антибиотици АГ ни предупреди за половия контакт,което да бъде само с презервативи.Мина 2 дена от края на антибиотиците.Трябва да ходим след 2 седмици за преглед.Вечерта имахме контакт с мъжа ми без презерватив.Не ми е ясно трябваше да се пазим до прегледа ли? Ако има някой който да ми отговори ще съм мн благодарна.🌸

# 324
  • Мнения: 4 881
Да, трябваше да се пазите, докато не излязат отрицателни резултати.
Сега, ако единият от двамата не се е излекувал, то по всяка вероятност ще презарази другия.
Освен това - 2 седмици след края на АБ са недостатъчни. Повторен тест за уреаплазми се прави след минимум 21 дни, а най-добре месец. Промени си часа, защото може да излязат фалшиво отрицателни резултатите. И секс - само с презервативи оттук насетне, докато не видите отрицателно и при двама ви.

# 325
  • Мнения: 14
Благодаря!
Да, трябваше да се пазите, докато не излязат отрицателни резултати.
Сега, ако единият от двамата не се е излекувал, то по всяка вероятност ще презарази другия.
Освен това - 2 седмици след края на АБ са недостатъчни. Повторен тест за уреаплазми се прави след минимум 21 дни, а най-добре месец. Промени си часа, защото може да излязат фалшиво отрицателни резултатите. И секс - само с презервативи оттук насетне, докато не видите отрицателно и при двама ви.

# 326
  • Мнения: 277
Пускам ви развитие по лечението на - Гарднерела Вагиналис.
След 7 курса лечение , 8 мия върви успешно.
2000 мг метронидазол еднократно
Битерал Орнидазол- 2 х500 за 10 дни
Донафил - 1 вечер 10 дни
После коки+ пръчки и ентерокок с Амоксиклав 14 дни 2х1 + гинофилус
Поиграх си доста да ви снимам и опиша кое какво е за да видите :

Номер 1 - слаб биофилм разбит, разрушен вече не са натрупани хиляди епители и полепени с Гарднерела , почти слабо звено от струпвания дори единични на места, днес ми е ден 7 от лечението. Ако до ден 10 още ги има ще остане на 14 дни лечение с Битерал.
На номер 2- се виждат  пръчки коки, ентерокок е при мен , но дали е той или друг те всички са от едно семейство Enterobacteriaceae , циститни вредители.
Правите пръчки са те, има и Мобилонкус като S-ка може да се забележи и той.
Може би освен Борна киселина донафил ще сложа и още нещо, за тези коки , още проучвам какво…….
За момента след 7 дни мога да кажа че съм добре. Доста дни имах изтичане на парцали Детритна маса , сега вече нямам.
Не тече нищо и не мириша на риба……..
Това е моя успех до момента
След 10 тия ден и пълното излекуване [ дано успея ] ще ви снимам пак
Успех  на всички ни 🍀🙏🙏

# 327
  • Мнения: 127
Здравйте ! Някой да е отрил добър лекар в Пловдив с адекватно лечение, че изпихме сумати антибитици и всичко се връща ?

# 328
  • Мнения: 10 178
Адекватно лечение на какво?Heart

# 329
  • Мнения: 80
Здравейте, момичета!
Имам въпрос - миналата седмица излезе резултата от МБ - Citrobacter diversus
Гинеколожката ми каза да пусна урина и да пратя резултата. Пуснах урина - общо хим. и седимент и стерилна урина. Всичко е в норма. Пратих резултатите на АГ и тя също каза, че е наред урината, но ще ми изпише лечение по микробиологията. Изписа ми една опаковка Амоксигард на 12 ч. по 1 табл. и допълнително по 1 табл. Кандизол на 1-ви и 5-ти ден от лечението. И отделно една опаковка Полижинакс глобули, вечер по 1 глобула. Сега се чудя дали да започвам лечението, понеже ако наистина е достоверен резултата, нямаше ли да се открие бактерия и в урината?
Конкретно тази бактерия - Citrobacter diversus - къде мога да я изследвам в друга лаборатория? В интернет няма информация...

Общи условия

Активация на акаунт