Докато всичко навън разцъфтява, нов живот в мен се появява. ~бебеправене 621~

  • 33 853
  • 767
  •   1
Отговори
# 105
  • На изток от Ада
  • Мнения: 11 217
Ами защото освен хистероскопия , ще предложи и стимулация с кломифен и това в общи линии.
Вецев имам позната роди при него.  Харесва го . Но нсеки си решава .

# 106
  • Мнения: 1 393
А Вецев какво прави? Аз не знам нищо за него, само съм чувала името и че пращат към него за хистеро. Каква е неговата специалност?

# 107
  • На изток от Ада
  • Мнения: 11 217
Ми Вецев следи бременност,  прави хистеро...

# 108
  • Be realistic - plan for a miracle.
  • Мнения: 2 460
Калчев установява проблемите, които може да адресира доста бързо, 2-3 ходения. И ако след това счете, че няма какво повече да направи, не вижда за нужно да следи пациента. Може би това има предвид Ариел.
Иначе знам, че подготовка за инвитро извършва и помага за следене при стимулация, в случаи когато момичета се стимулират в България, но репродуктивния им е в Турция да речем.

# 109
  • Мнения: 340
Салсера, съболезнования за свекърва ти. Присъединявам се към думите на Семира, Калчев същото каза и на мен, тъй като беше видял на неговия ехограф течност в матката. Взе Мб биопсия и каза, че ако са силно редуцирани лактобацилите, ще мислим за хидросалпингс. Но те си излязоха в норма.
Ариел, добре дошла! Струва ми се, че е ясно, кой от двамата си усетила по-като твоя лекар. Мисля, че няма да сгрешиш с нито един от двамата.
Момичета, благодаря на всички за пожеланията, съветите и стиснатите палчета. Наистина като че ли поокупирах темата с моите драматизации.

# 110
  • Мнения: 1 393
Aу Тирамису, притесни ме с това. На мен той не обясни как точно ще разберем от биопсията дали може да има хидросалпингс. А аз нямам никакви лактобацили. Сега се вкарах в тежък филм. А трансфер ще правим този месец.

Но при мен течност не е видял, по-скоро на цветната ми снимка от Надежда сякаш се вижда някакво задържане преди да пропусне тръбата.

# 111
  • Мнения: 10
Момичета здравейте, нова съм и преди всичко желая на всички мечтаните 2 чертички и след това детски смях 👶🏼
На 35 години съм , приятелят ми е на 29 , правим опити от миналата година, запушена дясна тръба ,но не напълно тъй като, Февруари тази година видях двете мечтани чертички, щастието обаче беше за кратко, забременяването се получи точно в тази тръба и бях с ИМБ, не се стигна до медикаментозно лечение или операция, тъй като се почистих сама, лявата ми тръба е проходима, миналия месец отново забременях ,за съжаление отново ИМБ , като до момента съм с ИМБ , цял месец следя чхг и резултатът не се е променя стои на 240/290 , докторът ми обясни че сака е там и заради това вече цял месец кървя и че заради това чхг-то стои на тези стойности. Надяваше се и този път да се почистя сама.Нямам никакви болки само кървене от 20 Май до днес...днес вече ми изписа метотрексат таблетки, прочетох за това лекарство и пише доста страшни неща, моля някоя от вас ако ги е приемала да изкажем мнение, вече не знам дали не е по-добрият вариант направо лапароскопия и да маха тази тръба.

# 112
  • Мнения: 340
Оййй, Семира, съжалявам, че те вкарах във филми точно преди трансфера. Аз го попитах, как ще се ориентира по биопсията и той на мен така каза. Може да е важало за моя случай и моята матка. Щом го е отхвърлил при теб, той е специалиста. Освен това липсата на лактобацили може да се дължи и на развили се други бактерии. Така че не си вкарвай мухата в главата.
А ти без един лактобацили ли ще правиш трансфер? Той Калчев нали изписва лактобацилни вливки, когато се налага?

Валя,съжалявам, че пак минаваш през това. На мен ми се струва, че тази тръба само проблеми ти създава и не съм сигурна, дали ти трябва наистина. Апропо, за първи път чувам за само изчистване при имб. И се чудех,защо Калчев ми казваше, че продължилата ми 4 седмици биохимична бременност може би е била тубарна. Мислех си, как път тубарна, нали щеше да ми се спука тръбата. Ама явно си е напълно възможно.

Последна редакция: пт, 20 юни 2025, 18:33 от *тирамису*

# 113
  • Мнения: 10
Да,да изчистих се сама тогава, докторът каза,че често се случва, но този път не можах, съжалявам само за това,че не се пазихме поне 3 месеца , само един месец се пазихме,може би и това е причината за втората ИМБ или просто така е писано,не знам... 🤷🏼‍♀️

# 114
  • Мнения: 1 584
При мен последното забременяване е в сивата зона между саморезорбирала се ИМБ и БХ.
Развиха се теории, понеже лявата тръба е запушената, но жълтото тяло беше вдясно, че има вариант да е прешляпало през матката и да се е заболо някъде тубарно вляво (това бяха теориите в Надежда).
Според репрото обаче тия пътешествия са супер супер редки и по-скоро неадекватност от страна да организма да се справи с недобра бременност (щото аз имах доста солидно кървене, след което ЧХГ си продължи да си расте до към 800)
На хистерото после ми показаха как било имало петно като белег от скорошно имплантиране… ама можело и да не е такова. Та адски е неясно ако не се визуализира нищо никъде.
Слагам гифче на объркан Джон Траволта.

Валя, тая тръба ако е склонна към такива неща, аз бих я махнала.

# 115
  • Мнения: 1 393
Тирамису, благодаря за инфото, полезно ми е.

Аз имах бактерии и бях на антибиотици до скоро, може от това да е липсата на лактобацили. Ще правим вливки сега в месеца на трансфера.

Не съм срещала доктора след резултатите, разясни ми ги негова сътрудничка по тел. Ще пробвам да измоля някой от прегледите преди трансфера сега да е при него да си задам всички въпроси.

Благодаря и успех на теб!

# 116
  • На изток от Ада
  • Мнения: 11 217
Ей Валя много съжалявам.
Едва ли е от тона че не сте ке пазили 3м .

При мен явно е о ..Пробвах с тест .

# 117
  • Мнения: 282
Да,да изчистих се сама тогава, докторът каза,че често се случва, но този път не можах, съжалявам само за това,че не се пазихме поне 3 месеца , само един месец се пазихме,може би и това е причината за втората ИМБ или просто така е писано,не знам... 🤷🏼♀
Не се обвинявай, няма общо пазенето по 3 месеца.

# 118
  • Мнения: 1 732
Благодаря ви, момичета Sparkling Heart

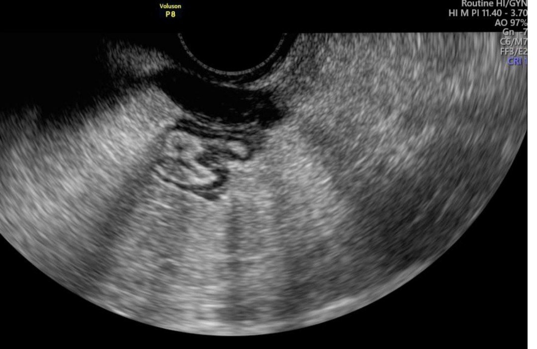
Семира, как я прави тази МБ биопсия? Аз сега пуснах Фемофлор и чакам резултати, че имах една БВ, но мисля на следващ цикъл да пусна Фертилити. То ендометриалната биопсия не е ли това, Фертилити? В моята матка няма течност. Док е видяла правоъгълна кистична формация. Ще се опитам да пусна снимка. Иначе преди една седмица пак ходих, но при друг АГ и то беше малко след Ц, когато повече има видимост и той нищо не видя. А миналия месец още 4-ма ме гледаха, те ли са зле, тя ли си измисля, не знам. Има нещо, ама какво е и дали ще го има другия месец, не знам. Факта е че досега никой нищо не е видял, само тя твърди, че е това. И ме праща на ЯМР за малък таз. ( на снимката черното)

# 119
  • Мнения: 1 393
Салсера, какво имаш предвид как я правих? Биопсия от матката при Калчев. Той му вика микробиом, в Надежда му викат МБ биопсия, май в неовитро е фертилити? Един принцип но различни бактерии гледат. На мен в Надежда нищо не ми откриха преди година освен завишени левкоцити. При Калчев бактерии, вирус. Не ме кефи хич това, че така и не повторихме ЦС, но Калчев бързаше да ми прави хистеро и биопсия, а след надраскването бързаме за трансфер. Ама с тия левкоцити, бактерии и без лактобацили дано не идва нещо от тръбата.

Течност в матката обикновено хидросалпингс ли значи? Как се вижда течност? На мен ми е правено хистеро сега и преди, гледана съм на добри апарати при Калчев, Сигридов, Мемориал и никога никой не е казвал нищо за течност.

Общи условия

Активация на акаунт