Онлайн консултации с ортопед - задайте въпрос на д-р Росен Георгиев

  • 80 347
  • 702
  •   2
Отговори
# 495
  • Мнения: 318
Здравейте доктор Георгиев при дискова херния  на ниво Л5/Еc1 лявоцентрална и субартикуларна с компресия на лявото Еc1 нервно коренче , бихте ми препоръчали някаква хранителна добавка или колаген ? Ако е колаген какъв да си вземе мъжа ми ? Благодаря предварително !

Здравейте, благодаря за въпроса.

За дискова херния не мога да Ви препоръчам хранителна добавка или колаген. Това е сериозно състояние, от което може да има последици.

Препоръка: Да се обърнете към невролог, неврохирург.

С уважение:
д-р Георгиев
www.beta-clinic.com

Последна редакция: ср, 05 мар 2025, 12:02 от Рaдост

# 496
  • Мнения: 167
Здравейте д-р Георгиев. 4м след раждане имам ужасни болки в кръста, не мога да стоя седнала повече от 10 Мин, а ако съм наведена пак толкова горе-долу едвам се изправям. Направих снимка, но не знам към ортопед или невролог да се обърна. Ще се радвам ако успеете да я разчетете.


Здравейте, блаагодаря за въпроса.

Много често след раждане се засилват болките в кръста и гърба. Както и се открива и сколиоза, както е при вас: ляво конвексна сколиоза около 6 гр.

Препоръки:
 - Започнете физиотерапия
- Започнете редовно спортуване
- Намалете натоварването

Можете да прочетете повече по темата: https://beta-clinic.com/%d0%ba%d0%b0%d0%ba%d0%b2%d0%be-%d0%b5-%d … 0%be%d0%b7%d0%b0/

С уважение
Д-р Георгиев
Здравейте!Имам същата сколиоза!Съгласна съм напълно със вашите съвети ,но да попитам каква по-точно физиотерапия е подходяща?

# 497
  • Мнения: 318
Скрит текст:
Здравейте д-р Георгиев. 4м след раждане имам ужасни болки в кръста, не мога да стоя седнала повече от 10 Мин, а ако съм наведена пак толкова горе-долу едвам се изправям. Направих снимка, но не знам към ортопед или невролог да се обърна. Ще се радвам ако успеете да я разчетете.


Здравейте, блаагодаря за въпроса.

Много често след раждане се засилват болките в кръста и гърба. Както и се открива и сколиоза, както е при вас: ляво конвексна сколиоза около 6 гр.

Препоръки:
 - Започнете физиотерапия
- Започнете редовно спортуване
- Намалете натоварването

Можете да прочетете повече по темата: https://beta-clinic.com/%d0%ba%d0%b0%d0%ba%d0%b2%d0%be-%d0%b5-%d … 0%be%d0%b7%d0%b0/

С уважение
Д-р Георгиев

Здравейте!Имам същата сколиоза!Съгласна съм напълно със вашите съвети ,но да попитам каква по-точно физиотерапия е подходяща?

Здравейте, благодаря за въпроса.

Едва ли е същата сколиоза. Важно е да се направи преглед и индивидуално да се измерят ъглите Коб и да се оцени сколиозата.

С уважение:
д-р Георгиев

Последна редакция: ср, 05 мар 2025, 12:03 от Рaдост

# 498
  • Мнения: 368
Добър ден , д-р Георгиев.
С 13 годишният ми син тази седмица посетихме ортопед поради изпукване на коляното и болка. След ренгенова снимка докторът каза ,че е "отлепване на костичка" често срещано в тази възраст. Каза,че няма нещо страшно ,но да почива един месец от футбола и да не натоварва коляното.
Обаче на снимката видя "кистичка" над коляното и каза да направим ЯМР с контраст в София. Като попитах какво го притеснява каза ,че прилича на киста а не на друго но за всеки случай и да я наблюдаваме.
Какво е вашето мнение в случая?

# 499
  • Мнения: 1 266
Здравейте, доктор Георгиев! На 47 г. съм, от 2 години съм в менопауза. И от тогава ми почнаха проблемите с костите и ставите. Ту единия крак, ту другия, ръцете, пръстите. В момента съм с болки в лакътя на едната ръка. Направила съм куп изследвания. Нямам остеопороза, имам остеопения. Имам първична гонартроза на коленните стави, първично износване, не знам дали го обяснявам правилно. Синдром на замръзналото рамо - излекувано вече с кортикостероиди. Напривх си генетични и всякакви изследвания за артрити - нямам такива. Само за псориатичен артрит не съм правила. Очевидно има някакво възпаление в организма ми, както каза един ревматолог, което се мести от става на става, но никой не знае какво е. Ако сега имам тези проблеми, не ми се мисли какво ще правя като стана на 60 години. Баба ми имаше жестоко изкривени крака на преклонна възраст, на баща ми вече също са така, не искам и при мен да се случи това. Много ви моля, посъветвайте ме какво да предриема, към какъв лекар да се насоча, макар, че съм минала през всички, какви изследвания да направя още, какво да почна да пия профилактично, всичко, което би ми било полезно? Забравих да кажа, че имам остър дефицит на витамин Д - 14, 2. От един месец започнах да пия Вигантол два пъти седмично по 25 капки. Това достатъчно ли е според вас? Направих си и изследване за калций за да знам дали да пия и витамин К успоредно с витамин Д, защото трябвало. Моля ви да ги погледнете, имам ли нужда от витамин К? И последен въпрос - може ли да пия и ходроитин и глюкозамин сулфат за костите заедно с витамин Д и по колко и как се пие? Бихте ли ми препоръчали какво да си взема, че има страшно много? Благодаря предварително.

# 500
  • Мнения: 141
Здравейте д-р. Росен Георгиев!

От няколко месеца баба ми има болки в ръката, най-вече в лакътя.
Ходихме на лекар на 23.12.2024 година ,който я изпрати на снимка,на която излезе,че има остеопороза на рамото и бурсит на лакътя....
Началото на януари отидохме отново на преглед при същия доктор и й изписа  лекарства,от които нямаше никакъв  ефект - болката си продължава до ден днешен.....
Какво може да се направи в такъв случай Sad?

Здравейте, благодаря за въпроса.
Остеопорозата е заболяване, което протича безсимптомно. Първите й симптоми , най- често са фрактури.
Често се забелязва на рентгенови снимки, но се доказва чрез остеодензитометрия.
Бурситът е също често срещано състояние, което се повлиява сравнително лесно.
Моля, да предоставите, както фото снимки на лакътната става , така и рентгенови снимки.

Вижте още по темата: https://beta-clinic.com/%d1%82%d0%b8%d1%85%d0%b8%d1%8f%d1%82-%d1 … 1%81%d1%82%d0%b8/

С уважение
д-р Георгиев
Здравейте!
Ето това е снимката,която поискахте

# 501
  • Мнения: 167
Скрит текст:
Здравейте д-р Георгиев. 4м след раждане имам ужасни болки в кръста, не мога да стоя седнала повече от 10 Мин, а ако съм наведена пак толкова горе-долу едвам се изправям. Направих снимка, но не знам към ортопед или невролог да се обърна. Ще се радвам ако успеете да я разчетете.


Здравейте, блаагодаря за въпроса.

Много често след раждане се засилват болките в кръста и гърба. Както и се открива и сколиоза, както е при вас: ляво конвексна сколиоза около 6 гр.

Препоръки:
 - Започнете физиотерапия
- Започнете редовно спортуване
- Намалете натоварването

Можете да прочетете повече по темата: https://beta-clinic.com/%d0%ba%d0%b0%d0%ba%d0%b2%d0%be-%d0%b5-%d … 0%be%d0%b7%d0%b0/

С уважение
Д-р Георгиев
Здравейте!Имам същата сколиоза!Съгласна съм напълно със вашите съвети ,но да попитам каква по-точно физиотерапия е подходяща?

Здравейте, благодаря за въпроса.

Едва ли е същата сколиоза. Важно е да се направи преглед и индивидуално да се измерят ъглите Коб и да се оцени сколиозата.

С уважение
д-р Георгиев
[/spoiler]
Аз си правих ямр на торако -лумбален отдел и като заключение пише същата сколиоза,затова питам.Правих процедури с ток ,още по-зле стана,затова искам съвет за физиотерапия.Благодаря!

Последна редакция: ср, 05 мар 2025, 12:05 от Рaдост

# 502
  • Мнения: 368
Добър ден , д-р Георгиев.
С 13 годишният ми син тази седмица посетихме ортопед поради изпукване на коляното и болка. След ренгенова снимка докторът каза ,че е "отлепване на костичка" често срещано в тази възраст. Каза,че няма нещо страшно ,но да почива един месец от футбола и да не натоварва коляното.
Обаче на снимката видя "кистичка" над коляното и каза да направим ЯМР с контраст в София. Като попитах какво го притеснява каза ,че прилича на киста а не на друго но за всеки случай и да я наблюдаваме.
Какво е вашето мнение в случая?
Да добавя въпрос и за резултатите от ЯМР. Какво означава на разбираем език?

# 503
  • Мнения: 136
Здравейте, д-р Георгиев. Преди 2 седмици паднах и си ударих коляното. Ожулих го доста и ме болеше. Пренебрегнах случая и не отидох на лекар, защото не ми се случва за първи път да падам и удрям същото коляно. Излекувах раната , но не можех да го свивам в коляното. Мислех, че ме стяга така от коричката на раната зщ, защото беше доста голяма. Е , кората се обели, но пак ме стяга нещо вътрешно и го свивам до към 70% , повече не мога. От ляво на капачката усещам болката и свиването. Какво може да е? Благодаря

# 504
  • Мнения: 318
Добър ден , д-р Георгиев.
С 13 годишният ми син тази седмица посетихме ортопед поради изпукване на коляното и болка. След ренгенова снимка докторът каза ,че е "отлепване на костичка" често срещано в тази възраст. Каза,че няма нещо страшно ,но да почива един месец от футбола и да не натоварва коляното.
Обаче на снимката видя "кистичка" над коляното и каза да направим ЯМР с контраст в София. Като попитах какво го притеснява каза ,че прилича на киста а не на друго но за всеки случай и да я наблюдаваме.
Какво е вашето мнение в случая?

Здравейте,
моля да приложите рентгеновата снимка.

С уважение:
д-р Георгиев

Последна редакция: пн, 10 мар 2025, 11:13 от Рaдост

# 505
  • Мнения: 318
Здравейте, доктор Георгиев! На 47 г. съм, от 2 години съм в менопауза. И от тогава ми почнаха проблемите с костите и ставите. Ту единия крак, ту другия, ръцете, пръстите. В момента съм с болки в лакътя на едната ръка. Направила съм куп изследвания. Нямам остеопороза, имам остеопения. Имам първична гонартроза на коленните стави, първично износване, не знам дали го обяснявам правилно. Синдром на замръзналото рамо - излекувано вече с кортикостероиди. Напривх си генетични и всякакви изследвания за артрити - нямам такива. Само за псориатичен артрит не съм правила. Очевидно има някакво възпаление в организма ми, както каза един ревматолог, което се мести от става на става, но никой не знае какво е. Ако сега имам тези проблеми, не ми се мисли какво ще правя като стана на 60 години. Баба ми имаше жестоко изкривени крака на преклонна възраст, на баща ми вече също са така, не искам и при мен да се случи това. Много ви моля, посъветвайте ме какво да предриема, към какъв лекар да се насоча, макар, че съм минала през всички, какви изследвания да направя още, какво да почна да пия профилактично, всичко, което би ми било полезно? Забравих да кажа, че имам остър дефицит на витамин Д - 14, 2. От един месец започнах да пия Вигантол два пъти седмично по 25 капки. Това достатъчно ли е според вас? Направих си и изследване за калций за да знам дали да пия и витамин К успоредно с витамин Д, защото трябвало. Моля ви да ги погледнете, имам ли нужда от витамин К? И последен въпрос - може ли да пия и ходроитин и глюкозамин сулфат за костите заедно с витамин Д и по колко и как се пие? Бихте ли ми препоръчали какво да си взема, че има страшно много? Благодаря предварително.


Здравейте, благодаря за въпросите.

Наследствените фактори при артрозните заболявания имат голямо отношение и при Вас. Дефицитът на витамин Д е от голяма важност за развитието на остеопоения и остеопороза.
Препоръчвам Ви след 1-2 месеца да направите контролни кръвни изследвания. Хубаво е да приемате и витамин К за по- добро усвояване на калция. Не пречи да приемате профилактично ходроитин и глюкозамин сулфат. Най- често се приемат 2-3 месеца, след което се прави почивка от 2-3 месеца.
Моля да предоставите и изследването за остеопороза.

С уважение:
д-р Георгиев

Последна редакция: пн, 10 мар 2025, 11:14 от Рaдост

# 506
  • Мнения: 318
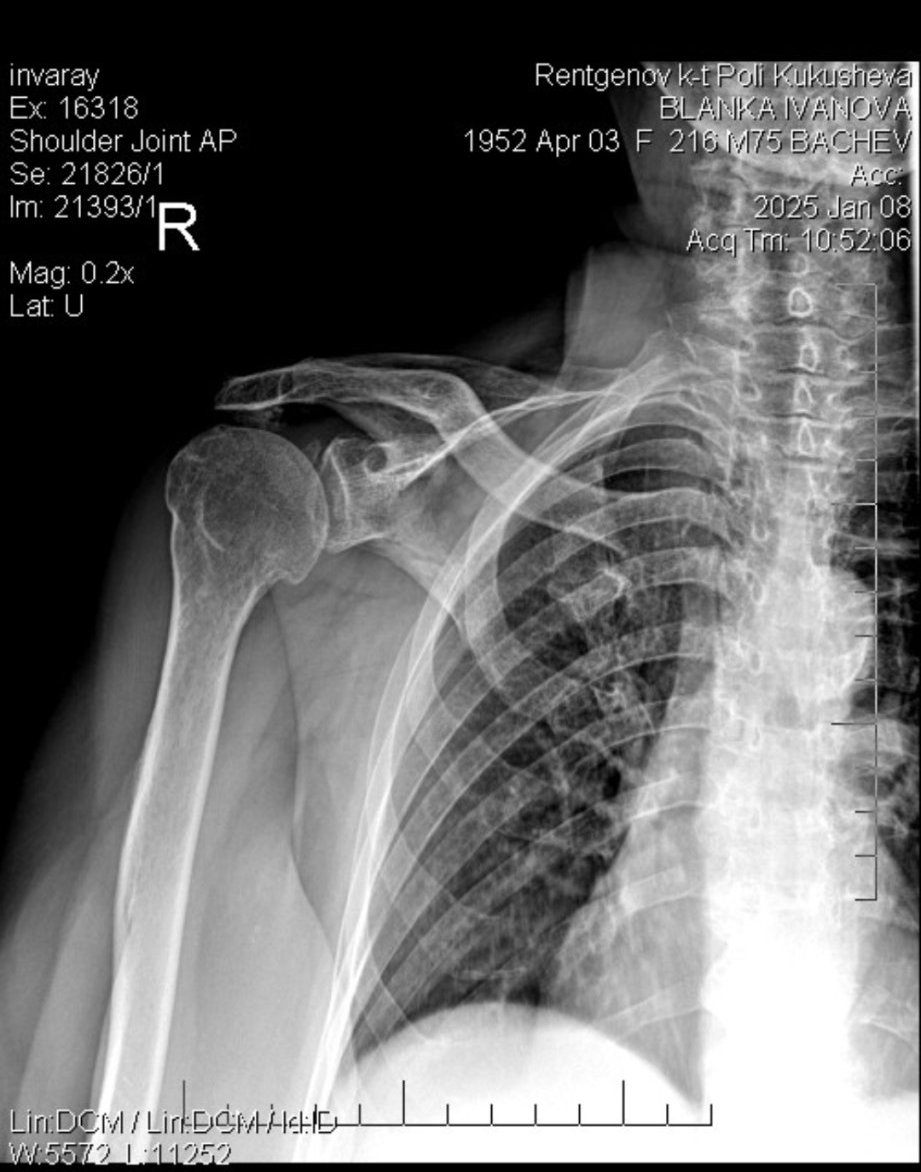
Здравейте д-р. Росен Георгиев!

От няколко месеца баба ми има болки в ръката, най-вече в лакътя.
Ходихме на лекар на 23.12.2024 година ,който я изпрати на снимка,на която излезе,че има остеопороза на рамото и бурсит на лакътя....
Началото на януари отидохме отново на преглед при същия доктор и й изписа  лекарства,от които нямаше никакъв  ефект - болката си продължава до ден днешен.....
Какво може да се направи в такъв случай Sad?

Здравейте, благодаря за въпроса.
Остеопорозата е заболяване, което протича безсимптомно. Първите ѝ симптоми най-често са фрактури.
Често се забелязва на рентгенови снимки, но се доказва чрез остеодензитометрия.
Бурситът е също често срещано състояние, което се повлиява сравнително лесно.
Моля да предоставите както фото снимки на лакътната става, така и рентгенови снимки.

Вижте още по темата: https://beta-clinic.com/%d1%82%d0%b8%d1%85%d0%b8%d1%8f%d1%82-%d1 … 1%81%d1%82%d0%b8/

С уважение:
д-р Георгиев
Здравейте!
Ето това е снимката,която поискахте

Здравейте,
от рентгенографията се вижда, че имате артрозни промени, от които може да се дължат и Вашите оплаквания.

С уважение:
Д-р Георгиев

Последна редакция: пн, 10 мар 2025, 11:16 от Рaдост

# 507
  • Мнения: 318
Скрит текст:
Здравейте д-р Георгиев. 4м след раждане имам ужасни болки в кръста, не мога да стоя седнала повече от 10 Мин, а ако съм наведена пак толкова горе-долу едвам се изправям. Направих снимка, но не знам към ортопед или невролог да се обърна. Ще се радвам ако успеете да я разчетете.


Здравейте, блаагодаря за въпроса.

Много често след раждане се засилват болките в кръста и гърба. Както и се открива и сколиоза, както е при вас: ляво конвексна сколиоза около 6 гр.

Препоръки:
 - Започнете физиотерапия
- Започнете редовно спортуване
- Намалете натоварването

Можете да прочетете повече по темата: https://beta-clinic.com/%d0%ba%d0%b0%d0%ba%d0%b2%d0%be-%d0%b5-%d … 0%be%d0%b7%d0%b0/

С уважение
Д-р Георгиев
Здравейте!Имам същата сколиоза!Съгласна съм напълно със вашите съвети ,но да попитам каква по-точно физиотерапия е подходяща?

Здравейте, благодаря за въпроса.

Едва ли е същата сколиоза. Важно е да се направи преглед и индивидуално да се измерят ъглите Коб и да се оцени сколиозата.

С уважение
д-р Георгиев
[/spoiler]
Аз си правих ямр на торако -лумбален отдел и като заключение пише същата сколиоза,затова питам.Правих процедури с ток ,още по-зле стана,затова искам съвет за физиотерапия.Благодаря!

Здравейте,
правете масажи, ултразвук, магнит. Не всяка физиотерапия е подходяща. Имате и изглаждане на лордозата, което най- вероятно е причината за тези болки при Вас.

С уважение:
д-р Георгиев

Последна редакция: пн, 10 мар 2025, 11:16 от Рaдост

# 508
  • Мнения: 318
Добър ден , д-р Георгиев.
С 13 годишният ми син тази седмица посетихме ортопед поради изпукване на коляното и болка. След ренгенова снимка докторът каза ,че е "отлепване на костичка" често срещано в тази възраст. Каза,че няма нещо страшно ,но да почива един месец от футбола и да не натоварва коляното.
Обаче на снимката видя "кистичка" над коляното и каза да направим ЯМР с контраст в София. Като попитах какво го притеснява каза ,че прилича на киста а не на друго но за всеки случай и да я наблюдаваме.
Какво е вашето мнение в случая?
Да добавя въпрос и за резултатите от ЯМР. Какво означава на разбираем език?


Здравейте,
дали можете да добавите самия образ от ямр на кистата?

# 509
  • Мнения: 318
Здравейте, д-р Георгиев. Преди 2 седмици паднах и си ударих коляното. Ожулих го доста и ме болеше. Пренебрегнах случая и не отидох на лекар, защото не ми се случва за първи път да падам и удрям същото коляно. Излекувах раната , но не можех да го свивам в коляното. Мислех, че ме стяга така от коричката на раната зщ, защото беше доста голяма. Е , кората се обели, но пак ме стяга нещо вътрешно и го свивам до към 70% , повече не мога. От ляво на капачката усещам болката и свиването. Какво може да е? Благодаря

Здравейте, благодаря за въпроса.

Най-вероятната причина е оток/излив в самата колянна става. Това състояние лесно се установява чрез преглед.
Препоръки:
- Намалете натоварването
- Използвайте гел за мазане

С уважение:
д-р Георгиев
www.beta-clinic.com

Последна редакция: пн, 10 мар 2025, 11:17 от Рaдост

Общи условия

Активация на акаунт