Онлайн консултации с д-р Милена Янкова – специалист по педиатрия и детска пулмология

  • 281 256
  • 4 333
  •   1
Отговори
# 3 885
  • Мнения: 1 800
Здравейте д-р Янкова, можете ли да ми препоръчате абсорбиращо лекарство за дете на 1 г и 10 м за разнасяне на буца останала от ваксинация. Опитахме с риванол, а след това и с мед, но няма ефект ☹ Предварително благодаря
От колко време е бучката
Вече повече от година НЕ минава. Правихме компреси, после чакахме да се разнесе после пак правихме компреси и вече си мисля, че трябва да се използва някакво лекарство.
За съжаление е минало доста време. След 1г може евентуално някаква физиотерапия да пробвате.

# 3 886
  • Мнения: 1
Здравейте, доктор Янкова дъщеря ми е на 40 дни,  снощи поради много газове и дадохме капки инфакол, днес на обяд се изходи и в акото забелязах две малкикървави жилки. Можете ли да ми кажете на какво може да се дължи, възможно ли е да е от напъните от газовете. Вчера я водихме на профилактичен преглед при гастроентеролог и всичко й беше наред.

# 3 887
  • Мнения: 1 800
Здравейте, доктор Янкова дъщеря ми е на 40 дни,  снощи поради много газове и дадохме капки инфакол, днес на обяд се изходи и в акото забелязах две малкикървави жилки. Можете ли да ми кажете на какво може да се дължи, възможно ли е да е от напъните от газовете. Вчера я водихме на профилактичен преглед при гастроентеролог и всичко й беше наред.
Проследявайте изпражненията, ако има пак, се обърнете отново към гастроентеролога.

Последна редакция: ср, 14 фев 2024, 11:08 от Рaдост

# 3 888
  • Мнения: 105
Здравейтей,д-р Янкова .Може ли да ми кажете какъв витамин Д и за витамин Б12 за дете на 9 години да взема при тези стойности.

# 3 889
  • Мнения: 561
здравейте доктор Янкова , бебчо е на 21 дена от два дена му излязоха тези пъпчици на лицето , няма никъде само там , какво може да е . Благодаря

# 3 890
  • Мнения: 1 463
Здравейте д-р Янкова, можете ли да ми препоръчате абсорбиращо лекарство за дете на 1 г и 10 м за разнасяне на буца останала от ваксинация. Опитахме с риванол, а след това и с мед, но няма ефект ☹ Предварително благодаря
От колко време е бучката
Вече повече от година НЕ минава. Правихме компреси, после чакахме да се разнесе после пак правихме компреси и вече си мисля, че трябва да се използва някакво лекарство.
За съжаление е минало доста време. След 1г може евентуално някаква физиотерапия да пробвате.
Да разбирам ли, че според вас няма как да избие или да се разнесе с мазане на лекарство? Физиотерапия за какво е? За да се разнесе ли? Можем ли да ползваме ихтамол с надеждата да избие?

# 3 891
  • Мнения: 1 089
Здравейте, аз и дъщеря ми (4г) сме с грип А от Събота, тя пие Тамифлу като от онзи ден и предписаха и Зинат защото има хрипове. От тази сутрин есещам че и аз имам хрипове при дишане и кашлица, все още качвам температура вече е около 37,5, но и гърлото ми е много възпалено. Какво мога да пия за кашлицата и хриповете? Почти съм изпила една опаковка Флудитек, пия и АЦЦ.

# 3 892
  • Мнения: 900
Здравейте детето ми е на годинка и половина месец притесняваме това което каза педиатърката ни че единствено от всички деца при нея и бебета само те е забавила развитието и растежа притеснени ми е много

# 3 893
  • Мнения: 1 800
Здравейтей,д-р Янкова .Може ли да ми кажете какъв витамин Д и за витамин Б12 за дете на 9 години да взема при тези стойности.
Давайте вигантол 2 капки сутрин на гладно.

# 3 894
  • Мнения: 1 800
Здравейте детето ми е на годинка и половина месец притесняваме това което каза педиатърката ни че единствено от всички деца при нея и бебета само те е забавила развитието и растежа притеснени ми е много
Какви са теглото и ръстът на вашето бебе?

Последна редакция: пн, 19 фев 2024, 10:13 от Рaдост

# 3 895
  • Мнения: 1 800
здравейте доктор Янкова , бебчо е на 21 дена от два дена му излязоха тези пъпчици на лицето , няма никъде само там , какво може да е . Благодаря
Здравейте, приличат ми на възпалени потни жлези /милиария/ - това е нормално и ще изчезнат след 40-ия ден.

Последна редакция: пн, 19 фев 2024, 10:13 от Рaдост

# 3 896
  • Мнения: 1 800
Здравейте, аз и дъщеря ми (4г) сме с грип А от Събота, тя пие Тамифлу като от онзи ден и предписаха и Зинат защото има хрипове. От тази сутрин есещам че и аз имам хрипове при дишане и кашлица, все още качвам температура вече е около 37,5, но и гърлото ми е много възпалено. Какво мога да пия за кашлицата и хриповете? Почти съм изпила една опаковка Флудитек, пия и АЦЦ.
Нека ви прегледа доктор и да установи имате или не хрипове.

# 3 897
  • Мнения: 1 800
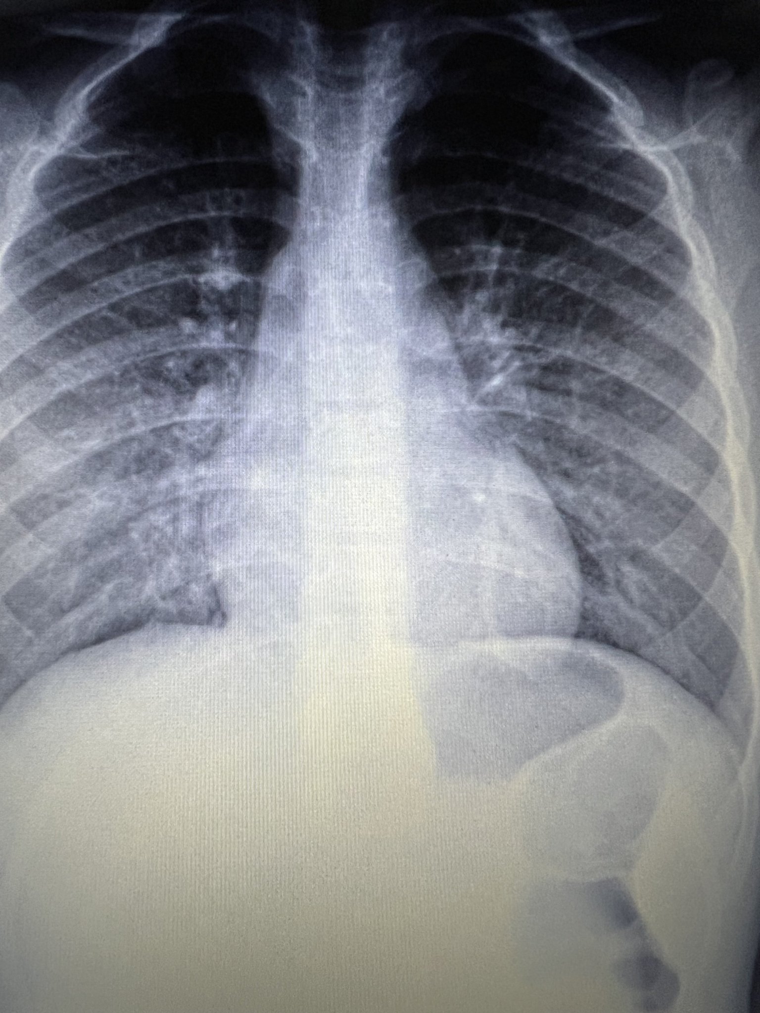
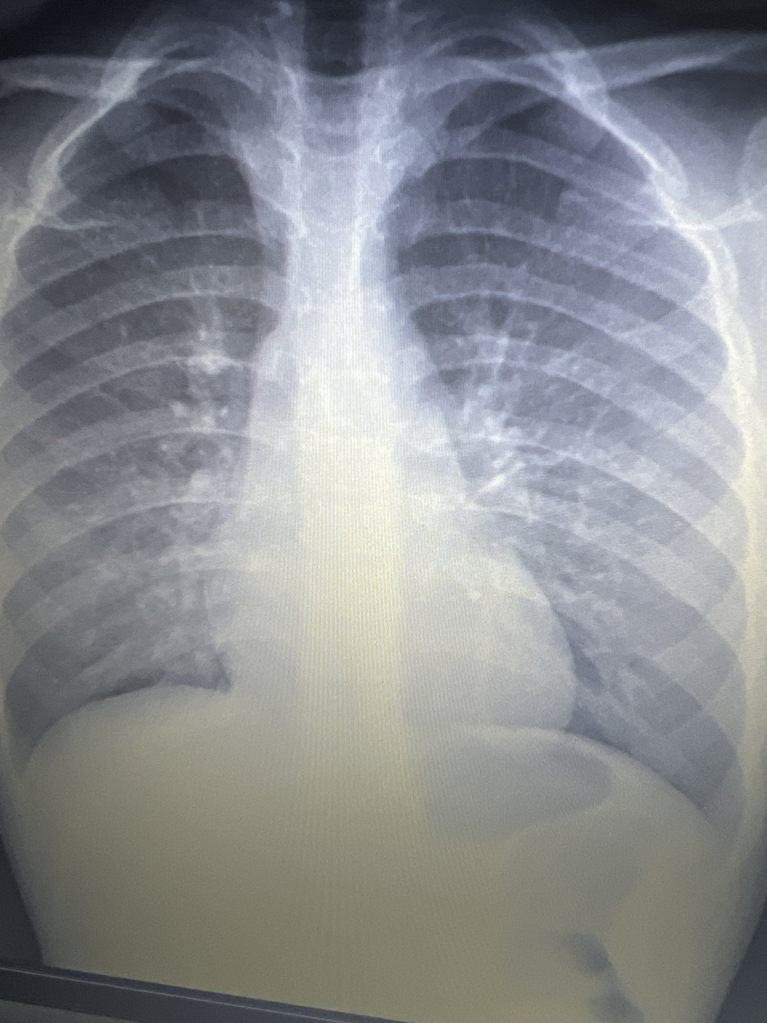
Здравейте, д-р Янкова! Ще може ли да коментирате рентгеновата снимка на сина ми, която е правена след изкаран Ковид и Грип А. Снимката е правена на 26 януари и пи АБ до преди 10 дни, но от два дни детето е с температура около 37-37,7, слаба кашлица, хрема и нощно изпотяване и треска при ниска Т около 37 градуса. Целият става мокър вечер. Вчера му пуснахме изследвания, които според мен (до колкото разбирам) говорят за бактериална инфекция. Ще ви прикача рентгена и изследванията. Моля Ви за съвет, защото вече се виждам в чудо с това болно дете от 1 месец! Притеснява ме да не би да е бил с пневмония и да не се е доизлекувал...... т.е. да не е разчетена правилно снимката, а ме е страх за няма месец да го снимам два пъти. АБ беше Клацид от 250 за 7 дни.

Здравейте, на снимката и изследванията няма нищо притеснително. Всички тези оплаквани и симптоми, които има, са най-вероятно вследствие на постковид синдром. След 2 седмици ще отзвучат.

Последна редакция: пн, 19 фев 2024, 10:14 от Рaдост

# 3 898
  • Мнения: 900
Здравейте детето ми е на годинка и половина месец притесняваме това което каза педиатърката ни че единствено от всички деца при нея и бебета само те е забавила развитието и растежа притеснени ми е много
Какво е теглото и ръста на вашето бебе?
година и половина месец заради ваксините които не и повлияха добре октомври и  спряха по медицински причини 7.170 78 см има ли вероятност да си навакса килограмите и кога ще ги навакса това ме притеснява

Последна редакция: сб, 17 фев 2024, 23:02 от viara1912

# 3 899
  • Мнения: 1 831
Др Янкова здравейте.
Днес пуснахме изследвания на малкия 3г и 3м.
Моля за вашето мнение.
Каква е причината да е отпаднал и да лежи.
Също и да отказва да се храни.
Бяхме във Вторник бяхме на преглед и се установи ,че гърлото му е червено и секрета се стичал на зад.
Какви са резултатите и какво да правим.
Много благодаря.
Прекрасен и усмихнат ден

Общи условия

Активация на акаунт